I SEMINRIO ESTADUAL DE VIGIL NCIA DAS DOENAS




















- Slides: 20
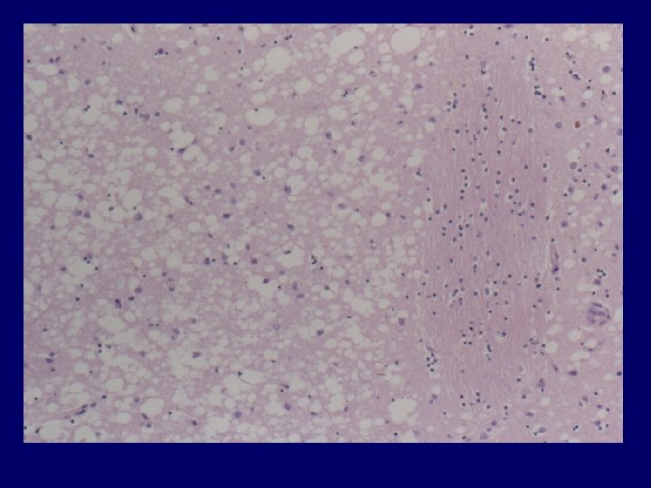
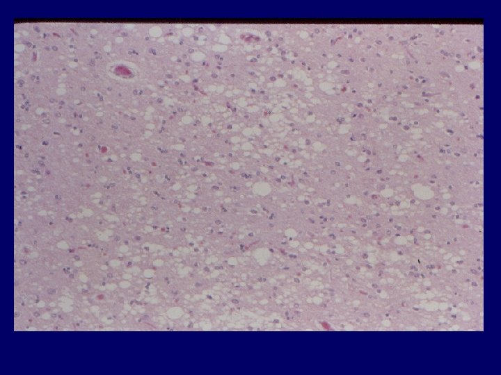
I SEMINÁRIO ESTADUAL DE VIGIL NCIA DAS DOENÇAS PRIÔNICAS NO ESTADO DE SÃO PAULO 6 de novembro de 2006 Vila Mariana, São Paulo, SP. Encefalopatias espongiformes transmissíveis (TSE) Precauções de segurança para o manejo do material Sergio Rosemberg FMUSP Disciplina de Neuropatologia
ü As encefalopatias espongiformes transmissíveis (TSE) são infecciosas mas não contagiosas. ü Não há evidência de risco em contatos com pacientes ou animais portadores de TSE (parentes, pessoal de saúde, técnicos de laboratório, neurocirurgiões, açougueiros, etc. ). ü Os cerca de 200 casos iatrogênicos conhecidos devem fazer com que haja prudência no manejo do material contaminado. ü Não há casos provados de contaminação por outros tecidos além do cérebro, dura-mater e córnea.
O agente das TSE é resistente aos procedimentos padrões de esterilização (fervura, congelação, etanol, H 2 O 2, permanganato, iodo, detergentes, solventes orgânicos, formol, irradiação UV e gama, e autoclavagem.
PRECAUÇÕES DE SEGURANÇA European Union Biomed-1 Concerted Action NÃO HÁ RAZÃO DE RECUSA DE AUTÓPSIA DE PACIENTE SUSPEITO DE TSE O risco é considerado mais baixo do que autópsias em pacientes portadores de hepatite viral ou AIDS.
A AUTÓPSIA Pode ser feita na sala de autópsia e se os procedimentos seguintes forem seguidos não há risco para os técnicos ou patologistas. Evitar feridas penetrantes com o uso de equipamento de proteção. Luvas de Teflon ou metálicas sobre as de borracha. Avental descartável Proteção para olhos e boca Cobrir a mesa com plástico não permeável.
Para remoção do cérebro: serra mecânica; antes de retirar o cérebro, tirar dois fragmentos (2 cm 3) do lobo frontal e cerebelo para congelar. Os fragmentos devem ser colocados e duplo saco plástico e colados em recipiente plástico bem vedado. O cérebro após remoção deve ser colocado em balde plástico com formol 4% e bem fechado. Todo material deve ser devidamente identificado. Após a autópsia, todo o material plástico deve ser ensacado e levado para incineração. Todos os instrumentos devem ser descontaminados. Todas as eventuais intercorrências devem ser comunicadas e registradas.
DESCONTAMINAÇÃO Autoclave a vapor a 134 o. C por uma hora. Material não autoclavável e superfícies: 2 N Na. OH (80 g por litro) por uma hora ou 1 N Na. OH por duas horas;
PREPARAÇÃO DO MATERIAL (TÉCNICA) Usar luvas. Cortar o cérebro sobre toalha plástica não permeável, que deve ser incinerada após. Mergulhar os fragmentos em ácido fórmico a 95% ou 100% por uma hora seguido de formol a 4% por 24 horas. Todos os instrumentos devem ser descontaminados.