Histologia 1 O que vamos estudar na disciplina

  • Slides: 31
Download presentation

Histologia 1. O que vamos estudar na disciplina de Histologia? 2. Como são preparados

Histologia 1. O que vamos estudar na disciplina de Histologia? 2. Como são preparados os materiais para o estudo? Outras técnicas? 3. Que tipos de equipamentos são utilizados? 4. Qual a sua importância e a relação com as outras ciências? 5. Interpretação das imagens visualizadas?

O que vamos estudar?

O que vamos estudar?

Corpo humano Níveis de organização Organismo humano Células Órgãos Sistemas Tecidos

Corpo humano Níveis de organização Organismo humano Células Órgãos Sistemas Tecidos

Corpo humano Níveis de organização Organismo humano Órgãos Sistemas

Corpo humano Níveis de organização Organismo humano Órgãos Sistemas

Corpo humano Níveis de organização Órgãos Tecidos

Corpo humano Níveis de organização Órgãos Tecidos

Corpo humano Níveis de organização Células Tecidos

Corpo humano Níveis de organização Células Tecidos

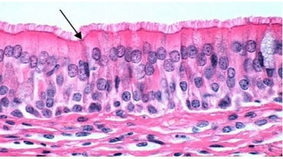
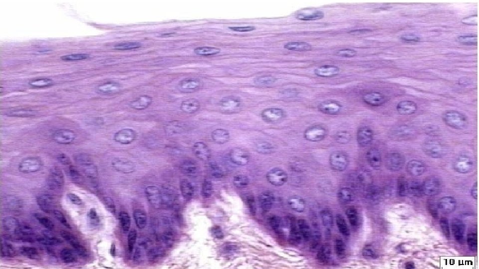
Histologia • Estudo da estrutura microscópica e das funções dos tecidos, órgãos e sistemas

Histologia • Estudo da estrutura microscópica e das funções dos tecidos, órgãos e sistemas • “histos” (grego – tecido), “tissu” (francês – tecido) • História - Bichat (1771 -1802) • Sem microscópio, + de 600 corpos – 21 tipos de tecidos e órgãos • Com microscópio, 4 tecidos fundamentais

Como são preparados os materiais?

Como são preparados os materiais?

Estudo dos tecidos em Histologia • Preparação • • • Bloco de tecido Fixação

Estudo dos tecidos em Histologia • Preparação • • • Bloco de tecido Fixação Impregnação Micrótomo – 5 a 10 µm Montagem Coloração • Corantes básicos: Eosina • Corantes ácidos: Hematoxilina

Bloco de tecido

Bloco de tecido

Fixação Fixador: Formol, líquido de Bouin, etc.

Fixação Fixador: Formol, líquido de Bouin, etc.

Desidratação Água (50%) e etanol (50%) Água (30%) e etanol (70%) Etanol (100%)

Desidratação Água (50%) e etanol (50%) Água (30%) e etanol (70%) Etanol (100%)

Diafanização Etanol (50%) e xilol (50%) Etanol (30%) e xilol (70%) xilol (100%) Impregnação

Diafanização Etanol (50%) e xilol (50%) Etanol (30%) e xilol (70%) xilol (100%) Impregnação Xilol (50%) e parafina/resina (50%) Xilol (30%) e parafina/resina (70%) parafina/resina (100%)

Inclusão

Inclusão

Microtomia

Microtomia

Montagem da lâmina

Montagem da lâmina

Coloração e montagem da lâmina

Coloração e montagem da lâmina

Que equipamentos utilizaremos?

Que equipamentos utilizaremos?

Microscopia Óptico Nos microscópios ópticos, as lentes focalizam a luz visível (feixe de fótons).

Microscopia Óptico Nos microscópios ópticos, as lentes focalizam a luz visível (feixe de fótons).

Qual importância em relação a outras ciências?

Qual importância em relação a outras ciências?

Análises Clínicas Imunologia, Hematologia, Parasitologia Patologia Análises de Alimentos Químicas Anatomia Biologia Molecular Genética

Análises Clínicas Imunologia, Hematologia, Parasitologia Patologia Análises de Alimentos Químicas Anatomia Biologia Molecular Genética Bioquímica Fisiologia Citologia Histologia

Farmacologia, Farmacotécnica, Farmacoterapeutica, Farmacognosia, Farmacovigilância Anatomia Citologia Histologia

Farmacologia, Farmacotécnica, Farmacoterapeutica, Farmacognosia, Farmacovigilância Anatomia Citologia Histologia

Materiais para aula prática • Jaleco branco • Apostila da aula prática • Lápis

Materiais para aula prática • Jaleco branco • Apostila da aula prática • Lápis 2 b • Lápis de cor • Borracha, apontador

Aulas Vera Andrade https: //aulasvera. wordpress. com/

Aulas Vera Andrade https: //aulasvera. wordpress. com/