Dysphonie C Winter Anatomie VADS larynx Physiologie phonation

  • Slides: 14
Download presentation
Dysphonie. C Winter

Dysphonie. C Winter

Anatomie VADS, larynx

Anatomie VADS, larynx

Physiologie phonation Ü Soufflerie: poumons Ü Vibrateur: larynx ACTIF Ü Caisse de résonnance: cavité

Physiologie phonation Ü Soufflerie: poumons Ü Vibrateur: larynx ACTIF Ü Caisse de résonnance: cavité buccale

DEFINITION Ü Altération de l’émission sonore laryngée. Ü Intensité Ü pression de l’air sous-glottique

DEFINITION Ü Altération de l’émission sonore laryngée. Ü Intensité Ü pression de l’air sous-glottique Ü amplitude de vibration des CV Ü Hauteur Ü fréquence des vibrations des CV Ü Timbre (+fréquent) Ü son fondamental et d’harmoniques Ü proportionnelle à la surface , pression et durée d’accolement des CV Ü Facteurs locaux et généraux Ü Contrôle proprioceptif et auditif

Interrogatoire Ü Evolution Ü Aigue < 3 semaines Ü Chronique Ü Facteurs favorisants Ü

Interrogatoire Ü Evolution Ü Aigue < 3 semaines Ü Chronique Ü Facteurs favorisants Ü Malmenage vocal (profession, hypoacousie) Ü Atmosphère de travail (confinée, polluée, climatisée) Ü Traumatisme (intubation récente, AVP) Ü Antécédents ORL (thyroïde, thorax, carotide) Ü Tabagisme +++ Ü Signes d’accompagnement Ü Dyspnée, toux, dysphagie

Clinique Ü Ecouter la voix, palpation cervicale Ü Laryngoscopie indirecte au miroir et une

Clinique Ü Ecouter la voix, palpation cervicale Ü Laryngoscopie indirecte au miroir et une nasofibroscopie Ü Rhinoscopie Ü éliminer un foyer infectieux sinusien Ü Perméabilité Ü Test l’audition

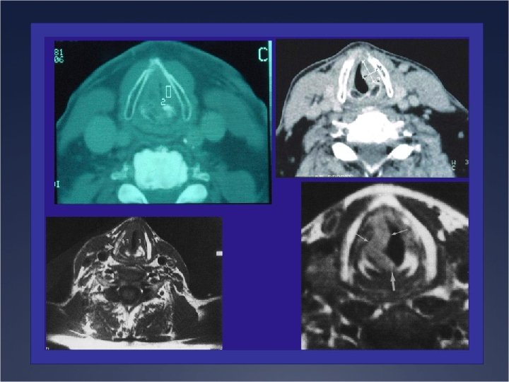
Examens Complémentaires Ü Morphologie Ü Pan endoscopie Ü TDM cervical ou IRM (thyroïde) Pathologie

Examens Complémentaires Ü Morphologie Ü Pan endoscopie Ü TDM cervical ou IRM (thyroïde) Pathologie tumorale laryngée Ü Mécanique Ü Stroboscopie des cordes vocales Ü TDM Ü EMG laryngé Ü Pan endoscopie Lésion fonctionnelle ou immobilité

Etiologies Ü Lésions laryngées Ü Laryngites aigues et chroniques Ü Tumeurs bénignes Ü Tumeurs

Etiologies Ü Lésions laryngées Ü Laryngites aigues et chroniques Ü Tumeurs bénignes Ü Tumeurs malignes Ü Traumatisme Ü Causes nerveuses Ü Périphérique Ü Centrale Ü Causes fonctionnelles Ü Malmenage vocal Ü Trouble du comportement phonatoire