a chauffe o a pique EPU SFR HN




















- Slides: 20
ça chauffe où ça pique EPU SFR HN Mercredi 22 Avril 2015 Mickael LAIR Pr Céline SAVOYE-COLLET
Mr T • Patient de 76 ans consultant aux urgences • Syndrome douloureux abdominal évoluant depuis 10 jours , majoration des symptômes depuis 3 jours • Fièvre à 38. 5°C, frissons et vomissements • Abdomen dépressible mais douloureux en fosse iliaque gauche • Hyper leucocytose à 17 000/mm 3, CRP à 115 Recherche de sigmoïdite
Qu’en dites vous? • Sigmoïdite • Abcès au contact d’anses grêles • Perforation digestive • Anévrisme de l’aorte
v
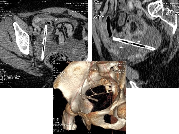
Quel est votre diagnostic? • Collection hétérogène au contact de l’intestin grêle associé a la présence d’un pneumopéritoine localisé • Diagnostic positif: perforation grêlique avec abcès au contact
Quel est votre diagnostic? • Diagnostic étiologique: – Vaisseaux perméables, absence de défaut de rehaussement, absence de syndrome occlusif mécanique – Absence d’épanchement, d’épaississement pariétal, de sténose, de diverticule – Corps étranger peu dense
Les perforations digestives • 1 à 3% des syndromes abdominaux aigus • Urgence diagnostique et thérapeutique • Imagerie: TDM avec injection
Les perforations du grêle • Elles sont rares • Etiologies: – D’origine ischémique • Contexte d’occlusion mécanique du grêle compliquée d’ischémie • Vasculaire: artériel, veineuse, bas débit – Maladie de Crohn, Tuberculose, Lymphome, Diverticulite du grêle/Meckel, Ulcère jéjunal, Vascularite, Corps étranger
Les perforations du grêle sur corps étranger • Sièges de perforation des corps étrangers – Œsophage – Iléal ou iléocaecale – Rectosigmoïde • Type de corps étrangers: – Arêtes de poissons etc…
Imagerie TDM • Signes de perforation – Direct: interruption de paroi – Indirect: pneumopéritoine, infiltration de la graisse, épaississement de la paroi digestive – Elle peut être ouverte ou couverte • Bilan étiologique – Occlusion mécanique, ischémie mésentérique, Crohn, lymphome, diverticulite, tuberculose, ulcère jejunal, vascularites, corps étranger
Peut on identifier le corps étranger? • Devenir des corps étranger ingérés: – 80 -90% passent spontanément, – 10 à 20% nécessitent des manœuvres non chirurgicales d’extraction et – moins d’ 1% le recours à la chirurgie.
Peut on identifier le corps étranger? • Les corps étrangers: – Sont le plus souvent radio-opaques: pièces, piles, aiguilles, épingles – Les cartilages, os, arêtes, morceaux de plastique, parfois verre ou alliage n’étant pas toujours radioopaques – Alimentaires sont le plus souvent radiotransparents.
Peut on identifier le corps étranger?
Peut on identifier le corps étranger?
« Un petit dernier… »
« Un petit dernier… » Abcès hépatique sur perforation du 2ème duodénum par une arête de poisson (fête du hareng à Dieppe)
Références • Imagerie de l’abdomen: Valérie VILGRAIN • KIMCHI NA, BROIDE E, SHAPIRO M, SCAPA E. Non-traumatic perforation of the small intestine. Report of 13 cases and review of the literature. Hepato -gastroenterology, 2002, 49 : 1017 -1022. • Recommandations de la société française d’endoscopie digestive: Les corps étrangers ingérés Les corps étrangers ingéré. J-C LETARD, Sept 2004 • Scanner des perforations couvertes de l’intestin grêle : les 10 commandements, JFR 2011, Balaj C, Ottenin M-A, Gervaise A, Ropion. Michaux H, Fairise A, Laurent V, Régent D. Nancy