Radiological Category Ultrasound Principal Modality 1 Ultrasound Principal













- Slides: 13
Radiological Category: Ultrasound Principal Modality (1): Ultrasound Principal Modality (2): CT Case Report # 0018 Submitted by: Michelle Miller-Thomas, M. D. Faculty reviewer: Phebe Chen, M. D. Date accepted: August 4, 2003
Case History 14 year old female complains of right lower quadrant pain. She is not sexually active and refuses transvaginal portion of the ultrasound exam.
Radiological Presentations Bladder Uterus Image 1 – Sagittal transabdominal view with partially distended bladder
Image 2 – Transabdominal Radiological Presentations color Doppler of the right adnexa
Radiological Presentations Image 3 – CT with contrast
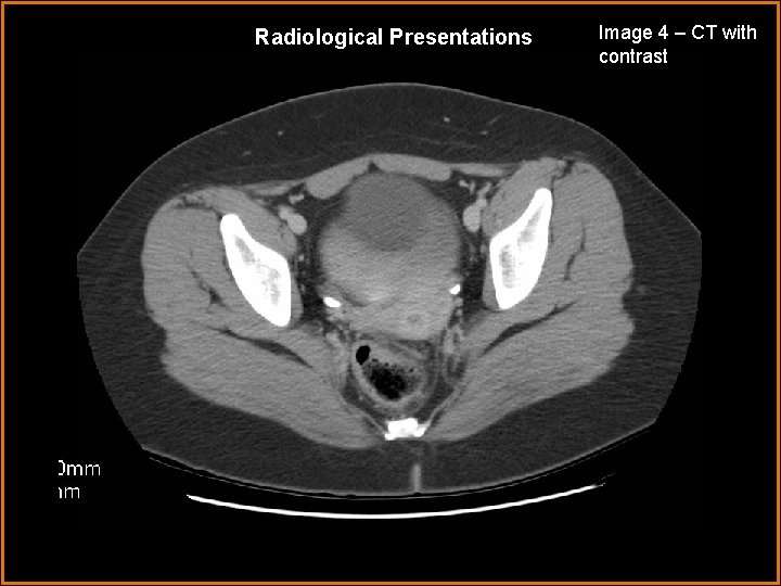
Radiological Presentations Image 4 – CT with contrast
Test Your Diagnosis Which one of the following is your choice for the appropriate diagnosis? After your selection, go to next page. A. Tubo-ovarian abscess B. Dermoid cyst C. Para-ovarian cyst D. Ovarian torsion E. A and C F. C and D
Findings and Differentials Findings: Image 1 – Transabdominal ultrasound image showing a normal uterus with a large cystic mass separate and superior to the bladder. Image 2 – Color Doppler image of the right adnexa showing some color flow within an apparently enlarged but incompletely visualized right ovary. No spectral Doppler was performed. Image 3 – CT image of the pelvis showing an enlarged right ovary and a large cystic mass superior to the bladder. Image 4 – CT image inferior to image 3 confirms the cystic mass separate from and superior to the bladder. Differentials: • Ovarian torsion • Hemorrhagic ovarian cyst • Dermoid
Discussion Ovarian torsion is an acute abdominal condition requiring prompt diagnosis and surgical intervention. It can be idiopathic or result from an underlying cyst or other benign mass. The ovary undergoes partial or complete rotation about its vascular pedicle compromising venous and lymphatic drainage. The ovary becomes congested and edematous, eventually leading to infarction and necrosis. The fallopian tube may be torsed along with the ovary. Hemorrhagic, enlarged torsed ovary secondary to a para-ovarian cyst
Discussion Ovarian torsion occurs more commonly during childhood and reproductive years. The underlying cause in young females with idiopathic ovarian torsion may be increased mobility of the adnexa making them prone to torsion at the mesosalpinx. The higher incidence of torsion during pregnancy may be related to altered mobility from the enlarging gravid uterus. Ovarian or tubal cysts or masses may also precipitate torsion. Symptoms of ovarian torsion are nonspecific but the patient may complain of lower abdominal or pelvic pain, nausea, or vomiting. Ovarian torsion may mimic acute appendicitis if the pain is on the right. Hemorrhagic ovarian cyst, endometrioma with an acute hemorrhage, tubo-ovarian abscess, and ectopic pregnancy must also be considered. The patient’s history and clinical findings are helpful in differentiating between the many different diagnostic possibilities. The pathology specimen must be examined for a coexisting benign or malignant process, such as: • Ovarian cancer • Benign ovarian or paratubal cysts • Polycystic ovarian disease • Tubo-ovarian abscess • Dermoid
Discussion The sonographic findings in ovarian torsion vary depending on the degree of vascular compromise and whether an adnexal mass is present. The ovary is almost invariably enlarged. Multiple cortical follicles in an enlarged ovary is suggestive. Color flow is absent in only 20% due to the dual blood supply to the ovary. Flow however is usually diminished compared to the contralateral normal ovary. Spectral Doppler should be used to confirm presence or absence of flow. Free fluid in the cul-de-sac is also commonly present. Transvaginal sonography may not be possible in young patients but is highly recommended for better visualization of the adnexal structures and better Doppler evaluation of ovarian blood flow.
Discussion References: Rumack et al, Diagnostic Ultrasound 2 nd Edition, 1998 Mosby, St. Louis, MO. Chapter 15 – The Uterus and Adnexa Stark JE, Siegel MJ: Ovarian torsion in prepubertal and pubertal girls: sonographic findings, AJR 163: 1479 -1482, 1994. Helvie MA, Silver TM: Ovarian torsion: sonographic evaluation, J Clin Ultrasound 17: 327 -332, 1989. Graif M, et al: Torsion of the ovary: sonographic features, AJR 143: 1331 -1334, 1984.
Diagnosis Right ovarian torsion secondary to a large para-ovarian cyst.