GLAUCOMA CONGENITO Dra Alejandra Varas C Servicio Oftalmologa




















- Slides: 20
GLAUCOMA CONGENITO Dra. Alejandra Varas C. Servicio Oftalmología Hospital Clínico Regional Concepción
Epidemiología ® Frecuencia : 1: 10. 000 RN vivos (EEUU) a 1: 2. 500 (Arabia Saudita); herencia autosómica recesiva penetrancia variable ® Glaucoma congénito primario: 50 a 70% de todos los glaucomas ® La mayoría son casos esporádicos ® 60% dg. antes de 6 meses de edad ® 80% dg. antes del año ® Varones: Mujeres = 3: 2 ® 75% bilaterales, no simultáneamente
Embriología ® Ángulo primitivo: 12 a 15 semanas de gestación ® Malla trabecular: cresta neural; canal de Schlemm: mesodermo
Anatomía del ángulo camerular anómalo ® Inserción plana del iris periférico ® Inserción anterior del iris periférico en la Malla Trabecular ® Espolón escleral ausente o rudimentario
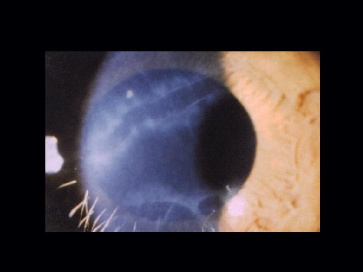
Clínica ® Buftalmos: mayor elasticidad de tejidos ® Megalocornea: 10 mm en recién nacido 11 mm al año de edad, 2 años 11, 6 mm ( adulta) ® Estrías de Haab: crecimiento corneal progresivo con fisuras Descemet ® Edema corneal: secundario a lesión endotelial ® Fotofobia ® Epífora ® Irritabilidad
Clínica ® Presión ocular elevada ® Miopía y astigmatismo, anisometropía ® Excavación papilar aumentada, central redonda y profunda
Exámen anestésico ® Medición PIO ® Diámetros corneales ® Biomicroscopía: Estrías de Haab ® Gonioscopía ® Oftalmoscopía: Excavación papilar ® Refracción ® Biometría: 18, 7 mm al mes, 23 mm a los 7 años ® Cirugía si procede
Clasificación ® Glaucoma congénito primario: trabeculodisgenesia ® Glaucoma asociado a otras anomalías oculares o sistémicas congénitas: disgenesia iridotrabecular, disgenesia iridocorneal ® Glaucoma secundarios: trauma, inflamación, tumor
Tratamiento ® Tto. médico: solo en período post quirúrgico o en espera de cirugía ® Tto. Quirúrgico: ® Goniotomía: cornea transparente, requiere lente de contacto tipo Koeppe ® Trabeculotomía, éxito de 75 a 90 % ® Trabeculectomía con antimetabolitos, en períodos más avanzados; con o sin trabeculotomía
Factores pronósticos de Anderson ® Favorables: edad de comienzo del cuadro después del nacimiento, pero antes del año de vida ® Desfavorables: ® enfermedad ocular asociada ® formas hereditarias ® buftalmo severo ® fracaso cirugías previas