Disorders of the Respiratory System The respiratory tract


















- Slides: 18
Disorders of the Respiratory System
The respiratory tract is the path of air from the nose to the lungs. It is divided into two sections: Upper Respiratory Tract and the Lower Respiratory Tract. Included in the upper respiratory tract are the Nostrils, Nasal Cavities, Pharynx, Epiglottis, and the Larynx. The lower respiratory tract consists of the Trachea, Bronchioles, and the Lungs. Human Respiratory System
Carbon Monoxide Poisoning: caused when carbon monoxide binds to hemoglobin in place of oxygen. • Carbon monoxide binds much tighter, causing the hemoglobin to become unavailable to oxygen. • The result can be fatal in a very short amount of time. • Mild Symptoms: dizziness, fatigue, headaches, nausea, and irregular breathing • • Moderate Symptoms: chest pain, rapid heart beat, difficulty thinking, blurred vision, shortness of breath Severe Symptoms: seizures, palpitations, disorientation, irregular heart beat, low blood pressure, coma and death.
An infection of the larynx(voice box) is called laryngitis. It is accompanied by hoarseness and being unable to speak in an audible voice. Usually, laryngitis disappears with treatment of the URI. Persistent hoarseness without a URI is a warning sign of cancer, and should be checked into by your physician. Laryngitis
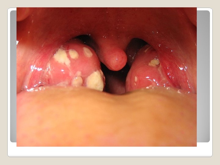
Tonsillitis occurs when the tonsils become swollen and inflamed. The tonsils located in the nasopharynx are often referred to as adenoids. If you suffer from tonsillitis frequently and breathing becomes difficult, they can be removed surgically in a procedure called a tonsillectomy. Tonsillitis
An infection that is located in the bronchi is called bronchitis. Most of the time, it is preceded by a viral URI that led to a secondary bacterial infection. Usually, a cough turns into a deep cough that causes inflammation, the production of mucus and sometimes pus. Bronchitis
A bacterial or viral infection in the lungs where the bronchi and the alveoli fill with a thick fluid. Symptoms of pneumonia include high fever & chills, with headache and chest pain. Pneumonia can be located in several lobes of the lung and obviously, the more lobes involved, the more serious the infection Pneumonia
• Asthma is a respiratory disease of the bronchi and bronchioles. The symptoms include wheezing, shortness of breath, and sometimes a cough that will expel mucus. The airways are very sensitive to irritants which can include pollen, dust, animal dander, and tobacco. Even being out in cold air can be an irritant. When exposed to an irritant, the smooth muscle in the bronchioles undergoes spasms. Bronchial inflammation reduces the diameter of the airways and contributes to the seriousness of the attack. Asthma
In this disorder, the walls of the alveoli lose their elasticity, which reduces the surface area available for gas exchange, causing oxygen shortage in the body. Symptoms include difficulty exhaling, low levels of oxygen in the body and a change in the shape of the chest (barrel back) to accommodate increased breathing volumes. The primary cause of emphysema is smoking. Emphysema
This is a genetic disorder that affects the consistency of the mucous that lines the air ways (and other mucous membranes in the body). Individuals with CF produce a thicker, sticky mucous that is difficult to clear from the airways, and can trap infectious agents leading to respiratory infections. Cystic fibrosis
Lung cancer is a disease caused by uncontrolled cell growth in the tissues of the lungs. Cells grow rapidly forming a large mass (tumour) of nonfunctional cells. The tumours reduce the surface available for gas exchange, and sometimes can break free and spread to other areas of the body (metastasis). Lung Cancer
Symptoms of lung cancer are persistent cough, difficulty breathing, chest pain and loss of appetite. Exposure to the following carcinogens can lead to lung cancer development: ◦ Tobacco smoke and second hand smoke ◦ Radon gas (found naturally in rocks and soils, can enter building through foundation cracks) ◦ Asbestos Lung cancer
Respiratory 1. Videos Asthma 2. COPD 3. Pneumonia