ASPECTE ALE ESTETICII LUCRRILOR PROTETICE Cursul 5 Estetica






























- Slides: 30
ASPECTE ALE ESTETICII LUCRÃRILOR PROTETICE Cursul 5
Estetica reprezintã ştiinţa care studiazã legile generale relaţiilor estetice ale oamenilor cu realitatea, capacitatea omului de a crea şi a percepe frumosul. În Grecia anticã estetica a fost definitã drept ‘‘arta percepţiei’’. De aici derivã responsabilitatea foarte mare a medicului stomatolog şi a tehnicianului dentar în refacerea acestei funcţii. În stomatologie fiecare practician trebuie sã înveţe sã examineze şi sã încerce sã înţeleagã legile fizicii, fiziologiei şi psihologiei care guverneazã percepţia formelor şi culorilor dinţilor naturali spre care aspirã, în mod normal, sã le reproducã cât mai apropiat posibil. Apariţia de noi materiale şi metode în practica stomatologicã obligã pe cel care practicã restaurãri în acest domeniu la cunoaşterea manipularii luminii, culorii, aspectului şi formei cu scopul de a crea o situaţie mai esteticã decât a existat în mod iniţial.
1. BAZELE ESTETICII 1. 1. Percepţia , , Percepţia reprezintã imaginea rezultatã în urma reflectãrii în totalitate a obiectelor şi fenomenelor care acţioneazã nemijlocit asupra organelor de simţ’’(DEX). În sensul larg, estetica este un produs al intelectului; când se utilizeazã termenul de estetic sau inestetic, el produce o emotie cu conotaţii plãcute sau neplãcute. Percepţia vizualã este necesarã în aprecierea esteticã, în aceeaşi mãsurã în care examinarea vizualã este o rutinã în cadrul investigaţiei clinice obişnuite. Capacitatea de a percepe pericolele, ostilitatea sau furia este naturalã, sau în orice caz este atât de bine asimilatã, încât, pare naturalã. În schimb, capacitatea de a transforma imaginile bidimensionale în imagini tridimensionale se învaţã. Ralea, în lucrarea , , Prelegeri de esteticã’’ afirmã , , fenomenul estetic tinde cãtre o finalitate intrinsecã automatã, o finalitate strãinã oricãrui alt scop’’. Prin extrapolare, atunci când, la finalul tratamentului, privind la zâmbetul unui pacient, ne gândim doar la frumuseţea lui, nu şi la munca depusã sau la banii câştigaţi pentru a-l realiza, înseamnã cã percepţia noastrã este pur esteticã.
1. 2. Iluzia , , Iluzia reprezintã o percepţie falsã a unui obiect prezent înaintea ochilor, determinatã de legile de formare a percepţiilor sau de anumite stãri psihice sau nervoase’’(DEX). Din punct de vedere artistic, iluzia este arta modificãrii percepţiei, astfel încât sã parã diferit de aspectul sãu real. În practica medicalã dentarã, prin controlarea iluziei, dinţii pot fi cosmetizaţi, astfel încât sã parã mai laţi sau mai înguşti, mici sau mari, scurţi sau lungi, bãtrâni sau tineri, masculini sau feminini. Din punct de vedere clinic, sub aspect estetic, scopul final este de a face ca restaurãrile sã parã cât mai naturale. Important în obţinerea unor refaceri estetice este folosirea luminii şi umbrei. Percepţia vizualã nu este posibilã în absenţa luminii. Din punct de vedere fiziologic, acuitatea percepţiei vizuale este în strânsã legãturã cu nivelul de iluminare, cu poziţia privitorului faţã de obiectul de studiu şi cu particularitãţile obiectului respectiv.
În condiţiile unei iluminãri constante, percepţia vizualã diferã în funcţie de distanţa la care ne aflãm faţã de obiectul pe care îl privim. Este evident cã, pânã la anumite limite (aproximativ 25 -30 cm), cu cât vom privi un dinte de la o distanţã mai micã, cu atât posibilitatea depista rugozitãţile de suprafaţã şi varietatea de nuanţe este mai mare. La o distanţã cuprinsã între 1, 5 şi 3 m, vom sesiza doar morfologia de ansamblu a dintelui şi discromiile accentuate, iar de la peste 5 metri, nu vom mai putea percepe decât prezenţa (sau absenţa) lui de pe arcadã. Lumina poate fi naturalã sau artificialã. Când sunt luminate artificial, cele mai multe obiecte prezintã douã dimensiuni: înãlţime şi lãţime. Lumina naturalã, fiind multidirecţionalã, genereazã umbre, care dau senzaţia da profunzime şi permit perceperea celei de-a treia dimensiuni, profunzimea (adâncimea). Practic, cu ajutorul umbrelor ne este dezvãluitã forma obiectelor (morfologia dinţilor, în cazul nostru).
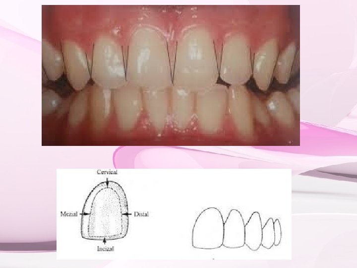
Umbrele create prin incidenţa luminii pe faţa vestibularã a dinţilor evidenţiazã particularitãţile de relief, iar cele care se formeazã la nivelul unghiurilor liniare de trecere spre feţele laterale, delimiteazã o arie mai luminoasã, denumitã faţã aparentã – adicã acea porţiune a feţei vestibulare care este vizibilã observatorului dintr-un anumit unghi. Privit din faţã, incisivul central superior va avea o faţã aparentã mult mai mare decât dacã îl privim din lateral (şi invers, în cazul caninului). Din punct de vedere al percepţiei artistice, obiectele, sau acele porţiuni din ele, care sunt intens luminate, ni se par mai mari şi mai apropiate, iar cele aflate în umbrã, mai mici şi mai îndepãrtate.
Perimetrul feţei aparente variazã în funcţie de poziţia privitorului. ▪ ▪ Ilustrarea unei diferenţe de mãrime iluzorii între dinţi identici, datã de diferenţa de intensitate a culorii.
Restaurãrile dentare pot mima umbrele dinţilor naturali învecinaţi, pentru a obţine un aspect cât mai apropiat de al acestora. Manipularea cu abilitate a umbrelor poate face ca dinţii mai puţin conturaţi sã capete un aspect estetic corespunzãtor. Accentuarea contururilor dentare cu ajutorul diferenţelor de luminozitate. În estetica dentarã se urmãreşte crearea unor feţe aparent egale la doi dinţi vecini de aspect diferit, dând iluzia cã dinţii sunt identici. Feţele egale pot fi create prin uşoare ajustãri cromatice la nivelul feţelor vestibulare.
Prin ajustãri cromatice creãm iluzia unor feţe aparente egale. O modalitate de reconturare a feţelor aparente, sau de mascare a unor imperfecţiuni ale restaurãrilor ce implicã feţele vestibulare ale dinţilor, constã în accentuarea convexitãţii acestora atât în plan vertical, cât şi în plan orizontal. În acest fel, modificând unghiul de incidenţã al fasciculelor luminoase, acestea nu se vor mai reflecta în totalitate spre ochiul privitorului, ci vor suferi un proces de deflecţie, ceea ce va avea ca rezultat o diminuare a acuitãţii vizuale şi implicit, o modificare a percepţiei estetice. Influenţarea percepţiei estetice prin accentuarea convexitãţii feţelor vestibulare ale dinţilor.
În ceea ce priveşte rolul formei în cadrul unei compoziţii, se diferenţiazã douã aspecte: pe de o parte, forma de ansamblu a întregii compoziţii, iar pe de altã parte, crearea unor forme singulare care, în diferite combinaţii, se subordoneazã formei de ansamblu. În acest fel, un numãr de elemente se subordoneazã în cadrul unei compoziţii unei singure forme mari şi se modificã în sensul potrivirilor cu acea formã. În cazul nostru, în cadrul compoziţiei faciale, forma dinţilor se armonizeazã cu forma feţei. Percepţia noastrã, din punct de vedere fiziologic, este astfel acomodatã încât atunci când privim un corp geometric ceea ce sesizãm, în primul moment, este forma de ansamblu a obiectului şi nu liniile care îl compun. Prin analogie, forma dinţilor fiind asimilatã figurilor geometrice, aceştia vor fi percepuţi în întregime şi nu în diferitele pãrţi componente, acestea ni se dezvãluie abia dupã o analizã ulterioarã.
În mod particular, compoziţia dentarã, dento-facialã şi facialã conţine o multitudine de linii mai mult sau mai puţin exprimate: la nivelul planului ocluzal, incizal, liniei mediane, direcţiei dinţilor, etc. De vizualizarea lor intuitivã depinde în mare mãsurã aprecierea frumuseţii. Poziţionarea orizontalã a liniilor pe suprafaţa unui obiect face ca acesta sã parã mai lat, în timp ce liniile verticale dau senzaţia de alungire. Aceastã perceptie esteticã este mult exploatatã în modã, dar poate fi la fel de bine utilizatã şi în cadrul restaurãrilor dentare estetice. Liniile verticale, sub forma unor şanţuri de dezvoltare accentuate, liniile hipo-plazice şi convexitãţile verticale accentueazã lungimea; liniile orizontale, sub forma unor coloraţii cervicale, sau muchiile incizale lungi şi drepte accentueazã lãţimea. Şlefuirea marginilor incizale cu o înclinare cervicalã în zona distalã, obţinând ambrazuri mai largi şi o muchie incizalã mai îngustã (în sens meziodistal), ajutã la crearea iluziei unei lungimi crescute.
Principiul liniei, utilizat pentru a crea iluzia de dinte mai lung sau mai lat.
Mãrind uşor deschiderea ambrazurii incizale obţinem iluzia de alungire a dintelui. În ceea ce priveşte forma dinţilor, din punct de vedere al psihologiei esteticii, dinţii pãtaţi, cu uzurã accentuatã şi dinţii alungiţi sunt percepuţi ca aparţinând unei persoane mai în vârstã. Formele rotunjite, cu delimitãri line, sunt atribuite sexului feminin, iar formele angulare şi aspre, sexului masculin.
2. RELAŢIA DINTRE CULORI Culoarea, aşa cum este sesizatã de ochiul uman, este fie rezultatul absorbţiei, fie al reflexiei. Atunci când privim o suprafaţã acoperitã de culori, acestea exercitã asupra noastrã douã efecte: un efect pur fizic (lumina care intrã în ochi stimuleazã fotoreceptorii din retinã) şi un efect psihologic (culoarea produce o vibraţie sufleteascã, printr-un proces asociativ). În 1915, Albert Henry Munsell a creat un sistem numeric ordonat pentru descrierea culorilor, care constituie şi astãzi sistemul standard. În acest sistem culoarea este caracterizatã prin trei parametri: nuanţa, saturaţia şi luminozitatea. Nuanţa este coordonata care exprimã familia din care face parte culoarea (roşu, oranj, galben, verde, albastru, indigo, violet). La dinţii tinerilor cu dentiţie permanentã, nuanţa tinde sã fie aceeaşi pentru toţi dinţii. O datã cu înaintarea în vârstã, apar frecvent variaţii ale nuanţei, datorate coloraţiilor intrinseci şi/sau extrinseci.
Saturaţia sau intensitatea este corelatã cu nuanţa şi reprezintã capacitatea de saturare, de puritate a acesteia, sau tãria culorii. Saturaţia este proprietatea care diferenţiazã o culoare palidã (nesaturatã), de o culoare intens pigmentatã (saturatã). În general, prin impregnarea ţesuturilor dure dentare cu substanţe cromofore, intensitatea sau saturarea culorii dinţilor creşte odatã cu înaintarea în vârstã. Fenomenul invers, de reducere a saturaţiei, se produce prin procedeele de decolorare chimicã a dinţilor (albirea dinţilor).
Strãlucirea sau luminozitatea este o proprietate acromaticã care exprimã calitatea nuanţei de gri din structura culorii, pe o scalã de la alb la negru. Astfel, o culoare (nuanţa+saturaţia) pare deschisã şi strãlucitoare sau închisã şi întunecatã. Luminozitatea unei culori depinde de energia luminoasã radiatã sau reflectatã de un corp. Ţinând cont de aceastã interpretare, pentru obtinerea unei strãluciri adecvate a restaurãrilor dentare, este importantã modalitatea de manipulare a culorilor, în aşa fel încât sã se obţinã efectul scontat. În practica medicalã dentarã, strãlucirea este cel mai important factor în alegerea culorii. Dacã aceasta este corespunzãtoare, micile imperfecţiuni de nuanţã şi saturaţie pot trece neobservate. Aceasta este posibil deoarece analizatorul vizual sesizeazã mai uşor variaţiile de luminozitate decât pe cele de intensitate sau de nuanţã. Nuanţele utilizate în medicina dentarã reprezintã interrelaţii , care pot fi demonstrate cu ajutorul roţii culorilor ( R. O. G. V. A. I. V. ). Se disting trei categorii de nuanţe:
Nuanţele primare: sunt roşu, galben şi albastru. Ele formeazã structura de bazã a roţii culorilor şi alcãtuiesc baza sistemului de culori dentare. Pigmenţii de oxizi metalici care sunt utilizaţi în ceramica dentarã pentru roşu se pare cã sunt destul de limitaţi, aşa încât ei sunt substituiţi prin roz.
Nuanţele secundare: sunt violet, portocaliu şi verde. Se obţin prin amestecarea oricãror douã nuanţe primare. Dacã se amestecã roşu cu albastru se obţine violet, albastru cu galben dã verde, iar galben cu roşu dã oranj. Modificând proporţia nuanţelor primare din amestec se obţin variaţii de nuanţã ale culorilor secundare propuse. Pe roata culorilor nuanţele secundare se situeazã între nuanţele primare.
Nuanţele complementare: reprezintã culorile opuse direct pe roata culorilor, roşu-verde, portocaliu-albastru, galben-violet. O culoare primarã este întotdeauna opusã unei culori secundare şi invers. Prin amestecul unei culori primare cu una secundarã efectul constã în neutralizarea ambelor culori şi apariţia culorii gri. Aceasta reprezintã cea mai importantã relaţie în cadrul utilizãrii culorilor dentare.
Nuanţele cele mai des folosite în estetica dentarã, pentru a obţine modificarea culorii dinţilor sau a restaurãrilor dentare, în sensul dorit de noi, sunt: alb, gri, galben-portocaliu, galben-brun, albastru şi roşu. Albul creşte strãlucirea oricãrei nuanţe de pigment utilizate în cadrul restaurãrilor dând senzaţia de tinereţe, de prospeţime. Se foloseşte şi pentru simularea liniilor de creştere şi a petelor hipoplazice. Albastrul şi negrul se folosesc pentru a mima transluciditatea naturalã a dinţilor. Nuanţele de galben-brun se utilizeazã in treimea cervicalã a coroanelor dentare pentru a da iluzia cã dintele e mai scurt prin modificarea înãlţimii feţei aparente şi uneori, de-a lungul zonelor de tranziţie, de la faţa vestibularã la cea proximalã, cu scopul de a crea iluzia de îngustare. Galbenul, fiind o nuanţã complementarã violetului, se poate utiliza la neutralizarea petelor brune, date de pigmentarea tetraciclinicã. Aceeaşi utilizare o are şi combinaţia dintre galben şi alb. Roşul simuleazã tonurile gingivale putând fi folosit, la fel de bine, pentru neutralizarea petelor cu tentã albãstruie, date uneori de coloraţia tetraciclinicã. Cunoscând aceste culori de bazã practicianul are posibilitatea sã obţinã culorile dorite pe segmente de dinte aşa încât sã realizeze construcţii cât mai naturale.
3. INTERRELAŢIA FORMÃ – CULOARE Între forma şi culoarea obiectelor existã o relaţie de reciprocitate. Valoarea unor culori este accentuatã de unele forme şi atenuatã de altele. O culoare puternicã, , , ascuţitã’’, cum este roşul, va deveni şi mai stridentã dacã va fi asociatã cu o formã ascuţitã, de exemplu cu triunghiul, dupã cum culorile care tind spre , , tonuri adânci’’, de exemplu albastrul, vor fi accentuate în aceastã tendinţã de formele rotunde, cum ar fi cercul. Aplicabilitatea acestor relaţii în estetica dentarã s-ar putea traduce prin faptul cã, în cazul dinţilor uzaţi, de exemplu, senzaţia de îmbãtrânire va fi accentuatã de nuanţe mai închise de culoare, în timp ce culorile deschise şi strãlucitoare, în combinaţie cu o morfologie nealteratã, vor da senzaţia de prospeţime şi tinereţe.
4. METAMERISMUL Metamerismul reprezintã fenomenul prin care douã mostre de culoare sunt percepute ca fiind identice atunci când se foloseşte o anumitã sursã de luminã, dar care, cu o altã sursã luminoasã, par diferite. O culoare se poate obţine prin mai multe modalitãţi: poate sã fie purã, sau se poate obţine prin amestecarea altor culori. De exemplu: verde pur, sau amestec de albastru şi galben. Culoarea verde purã va reflecta lumina în banda de verde, în timp ce verdele obţinut din amestec va reflecta lumina simultan în banda de albastru şi galben. Dacã ambele culori sunt expuse la o luminã ce conţine intreg spectrul de culori, ele apar identice. Dacã însã sunt expuse la o sursã de luminã care nu conţine lumina din banda albastrã, cele douã culori apar diferite. Verdele pur apare tot verde, în timp ce amestecul apare galben, deoarece, în absenţa unei surse de luminã din banda albastrã, componenta albastrã a amestecului nu este vizibilã pentru ochi.
Metamerismul complicã alegerea culorilor restaurãrilor fizionomice deoarece trebuie luat în considerare un numãr de factori care pot influenţa acest lucru. În practica dentarã existã, de obicei, trei surse de luminã: lumina naturalã a zilei, lumina incandescentã de la sursa luminoasã a unitului dentar şi lumina albã, fluorescentã de pe tavan. Lãmpile fluorescente cu culori corectate reproduc mai bine lumina zilei, motiv pentru care ele sunt preferate în locul lãmpilor standard. Dacã întreg cabinetul este luminat de o lampã fluorescentã cu culori corectate, o altã încãpere ar trebui sã aibã o sursã de luminã rece, albã, pentru selecţionarea comparativã a culorilor. Culoarea care corespunde cel mai bine în condiţiile celor trei surse luminoase este cea mai bunã alegere.
5. OPACITATEA, TRANSLUCIDITATEA, PROFUNZIMEA, FLUORESCENŢA Opacitatea , , este acea calitate a unui material care îl face impenetrabil la luminã’’(DEX). Un fascicul luminos care cade pe o suprafaţã opacã va fi în întregime reflectat. În restaurãrile estetice este obligatorie aplicarea unui strat de material opac care sã împiedice transparenţa materialelor subiacente, ca, de exemplu, metalul în reconstrucţiile metaloceramice. Stratul de material opac nu trebuie insã sã fie exagerat ca şi grosime deoarece un strat prea gros ar duce la un aspect cretos. De aici decurge şi cantitatea de ţesut dur dentar ce trebuie sã fie îndepãrtat în timpul preparaţiei clinice.
Transluciditatea este , , caracteristica unor medii de a fi parţial transparente, putând fi strãbãtute de un fascicul de raze luminoase pe care le împrãştie parţial, astfel încât, privind prin corpul sau prin mediul respectiv, nu pot fi distinse contururile sau detaliile obiectelor aflate de partea cealaltã’’(DEX). Dentina este opacã. Smalţul dentar, având un grad de mineralizare mai mare decât al dentinei, este translucid. Toate materialele de restaurare utilizate în practica dentarã trebuie sã conţinã nuanţe opace şi nuanţe translucide. Dacã cantitatea de opac este prea mare, restaurãrile vor avea aspect artificial, cretos, iar dacã este prea micã, sau stratul prea subţire, va permite luminii sã le strãbatã într-o proporţie prea mare, scoţând astfel în evidenţã defectul. De acest aspect trebuie sã se ţinã cont la restaurarea distrucţiilor coronare care intereseazã atât feţele vestibulare cât şi pe cele palatinale frontalilor superiori. În aceeaşi ordine de idei, în cazul faţetãrilor, ariile la nivelul cãrora dintele este redus, de regulã, insuficient, sunt cele din treimea cervicalã şi incizalã, acestea fiind zonele în care practicianul trebuie sã creeze efecte de opac, respectiv, de translucid.
Profunzimea este un concept spaţial al jocului de lumini şi umbre sau al îmbinãrii culorilor. La dinţii naturali, lumina traverseazã parţial smalţul translucid şi este reflectatã înapoi de stratul de dentinã, relativ opac. Prin combinarea conceptelor de opacitate şi transluciditate în alegerea şi stratificarea materialelor de restaurare la cavitãţile mari din zona frontalã este posibilã realizarea unei iluzii naturale de profunzime. Aceasta se poate obţine aplicând în porţiunea lingualã a restaurãrii un strat de opac care se va acoperi cu mai multe straturi translucide. Controlul luminii reflectate şi controlul contrastului de culoare ne vor permite crearea unor efecte de iluzie opticã, dupã cum urmeazã: creşterea contrastului va creşte vizibilitatea; creşterea reflexiei luminii va scãdea vizibilitatea; umbrele dau senzaţia de profunzime, luminozitatea dã senzaţia de proeminenţã.
Fluorescenţa este , , proprietatea pe care o au unele substanţe de a emite luminã cât timp sunt iradiate cu radiaţii luminoase aparţinând spectrului vizibil sau ultraviolet’’(DEX). Structurile dentare naturale emit în spectrul ultraviolet o fluorescenţã alb-verzui, motiv pentru care firmele producãtoare de materiale dentare au adãugat în structura materialelor cu proprietãţi estetice agenţi fluorescenţi, cum ar fi samariu sau ceriu.
VA MULTUMESC !!!