Tejido muscular Introduccin El tejido muscular se encarga


















- Slides: 18
Tejido muscular
Introducción El tejido muscular se encarga del movimiento del cuerpo y de sus partes, se caracteriza por presentar conjuntos de largas células especializadas, dispuestas en haces paralelos, cuya función principal es la contracción.
Tejido muscular La interacción de miofilamentos es la causa de la contracción de las células musculares, los miofilamentos son de dos tipos, unos son finos (actina) y otros son gruesos (miosina). A muchas estructuras en el tejido muscular se le agre- ga el prefijo sarco, ya que en griego sarcos significa carne. Así tendremos un sarcoplasma (citoplasma), sarcolema (lámina basal + membrana plasmática), retículo sarcoplasmático (retículo endoplasmático liso, REL) y sarcosoma (mitocondria).
Clasificación Tejido muscular liso el cual no presenta estriaciones transversales y lo encontramos en las vísceras, vasos sanguíneos, músculos erectores del pelo en la piel y en los músculos intrínsecos de ojo. Tejido muscular estriado el cual presentas las clásicas estriaciones transversales que le otorga la ordenada disposición de los sarcómeros.
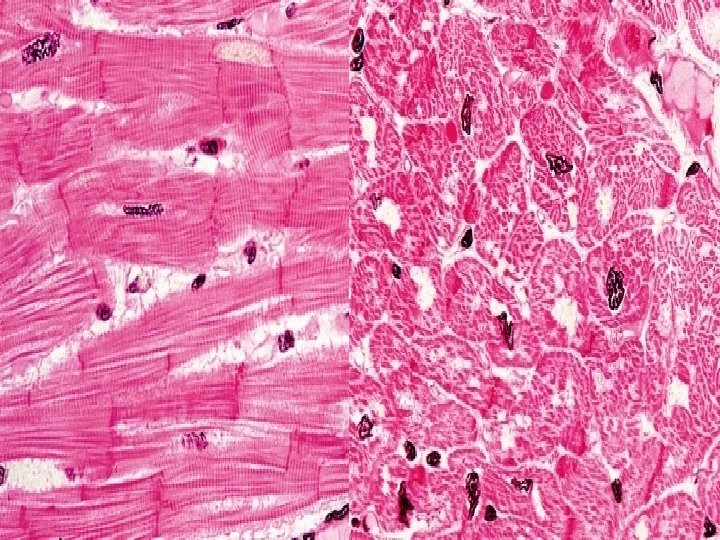
Tejido muscular estriado esquelético que se fija a los huesos y se encarga de los movimientos del esqueleto axial y apendicular además de mantener la postura. Tejido muscular estriado visceral el cual tiene la misma morfología que el estriado esquelético pero con ubicaciones características. Lo encontramos en la lengua, la faringe, porción lumbar del diafragma y segmento superior del esófago. Tejido muscular estriado cardíaco es el músculo estriado que encontramos formando la capa media del corazón, el miocardio.
Las fibras musculares se encuentran rodeadas por tejido conectivo El endomisio es una capa de fibras reticulares junto con GAGs, es la lámina basal que junto con la membrana plasmática conforma el sarcolema. El perimisio es una capa más gruesa de tejido conectivo que rodea a un grupo de fibras para formar un fascículo o haz. El epimisio es una vaina de tejido conectivo denso que rodea al conjunto de fascículos que forman el músculo.
En la contractilidad de las fibras musculares estriadas intervienen los filamentos finos de actina, los filamentos gruesos de miosina II y varias proteínas accesorias, estas proteínas conforman a los miofilamentos. Los monómeros de miosina II conforman fibras gruesas interpuestas entre los filamentos de actina. Cada una de estas fibras está integrada por numerosas moléculas de miosina II, cuya combinación da lugar a una estructura bipolar en forma de vara
Sarcómero en contracción Durante la contracción la banda A no se modifica, pero las hemibandas I se acortan en forma proporcional al grado de contracción, por lo tanto los discos Z se acercan mutuamente. Este desplazamiento se debe a que las cabezas de las fibras de miosina II se deslizan sobre los filamentos de actina.
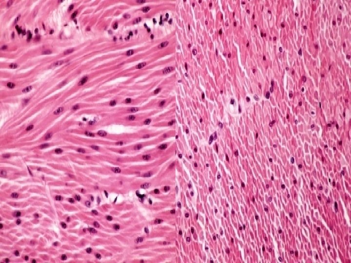
Músculo estriado cardíaco Las fibras musculares cardíacas están compuestas por células que se ramifican y forman en conjunto una red tridimensional. En los extremos estas células se unen mediante discos intercalares y el núcleo tiene localización central. Los núcleos son grandes, ovales o rectangulares (pare- cen ladrillos), de cromatina laxa y siempre centrales. Las cisternas terminales del REL interaccionan con los túbulos T para formar una díada.
Discos intercalares Los discos intercalares representan sitios de adhe- sión entre las células musculares cardíacas, mediante el microscopio óptico vemos al disco intercalar como una estructura lineal densa acidófila que se orienta transversalmente con respecto a la fibra muscular. Varios discos intercalares a diferentes niveles y desfasados unos de otros conforman lo que se denomina banda escaleriforme.
Músculo liso Las células musculares lisas presentan filamentos contráctiles, pero a diferencia de la musculatura estriada esquelética y cardíaca, estos filamentos contráctiles no se disponen en forma de sarcómeros. Por lo tanto esto nos marca la ausencia de las estria- ciones transversales que son visibles mediante la microscopía óptica. El núcleo siempre está ubicado en el centro de la célula, es alargado con forma de cigarro o habano.