LESION CELULAR ASPECTOS PATOLGICOS v CAUSA ETIOLOGIA v














































































- Slides: 78
LESION CELULAR
ASPECTOS PATOLÓGICOS v CAUSA ( ETIOLOGIA) v MECANISMOS DE SU DESARROLLO (PATOGENIA) v ALTERACIONES ESTRUCTURALES (CAMBIOS MORFOLÓGICOS ) v CONSECUENCIAS FUNCIONALES (SIGNIFICADO CLÍNICO )
ETIOLOGIA O CAUSA v INTRINSECOS v ADQUIRIDAS: O GENÉTICOS INFECCIOSAS NUTRICIONALES FÍSICOS QUÍMICOS
PATOGENIA Secuencia de acontecimientos de la célula frente al agente etiológico, hasta la última expresión de la enfermedad
CAMBIOS MORFOLÓGICOS v ALTERACIONES ESTRUCTURALES CELULAR TISULAR ORGÁNICA v SIGNIFICADO CLÍNICO. SINTOMAS : no cuantificables SIGNOS : cuantificables
l HOMEOSTASIS NORMAL DEMANDAS FISIOLÓGICAS NORMALES l CAMBIOS DE LAS DEMANDAS ADAPTACIONES CELULARES LESIÓN CELULAR
Reacción de la cèlula al stres estrés Demanda funcional aumentada Lesiòn celular reversible adaptación HIPERTROFIA HIPERPLASIA ATROFIA METAPLASIA DISPLASIA DESAPARECE EL STRES CELULA NORMAL LEVE GRAVE LESION IRREVERSIBLE NECROSIS POR COAGULACIÒN
LESIÓN CELULAR Cambios celulares que se dan si se exceden los límites de la respuesta adaptativa. v v v Lesión reversible Lesión irreversible Muerte celular Necrosis Apoptosis
CAUSAS DE LESIÓN CELULAR v Privación de oxigeno: HIPOXIA ISQUEMIA OXIGENACION INSUFICIENTE ALTERACION DE TRANSPORTE DE OXIGENO
CAUSAS DE LESIÓN CELULAR v Agentes físicos v Agentes químicos y fármacos v Agentes infecciosos v Reacciones Inmunológicas v Trastornos Genéticos v Desequilibrios Nutricionales
Principios de la Lesión Celular v La respuesta celular frente a estímulos nocivos depende del : tipo de lesión su duración y su gravedad.
Principios de la Lesión Celular v Las consecuencias dependen del: -tipo de célula -estado de la célula -y capacidad de adaptación de la célula lesionada.
Principios de la Lesión Celular Sistemas intracelulares Vulnerables: v v Integridad de las membranas Respiración aerobia Síntesis de proteinas Preservación del aparato genético.
Principios de la Lesión Celular v Cualquier punto de ataque inicial da amplios efectos secundarios. v Los cambios morfológicos se evidencian al alternarse sistemas bioquímicos de la célula.
Mecanismos Bioquímicos v Agotamiento de ATP v Oxigeno y radicales libres derivados del oxigeno. v Perdida homeostásica del calcio v Defecto en la permeabilidad de la membrana v Lesión mitocondrial irreversible
LESIÓN REVERSIBLE v TUMEFACCIÓN v CAMBIO CELULAR GRASO O ESTEATOSIS
TUMEFACCION CELULAR v CAMBIO HIDROPICO o DEGENERACIÓN VACUOLAR - no apreciable en Microscopio - Evidente en el órgano - Formación de vacuolas
CAMBIO GRASO v Vacuolas lipídicas pequeñas o grandes en citoplasma. Ejemplo: Hígado , miocardio. v ETIOLOGIA: Hipóxica tóxica metabólica
NECROSIS v Cambios morfológicos que siguen a la muerte celular de un tejido vitalizado. v Digestión enzimática : autólisis Heterólisis v Desnaturalización de las Proteinas
Cambios morfológicos v CARIOLISIS v PICNOSIS v CARIORREXIS v Necrosis coagulativa v Necrosis licuefactiva v Necrosis Caseosa v Necrosis Grasa
Necrosis por Coagulación v Característica de muerte Hipóxica v Hay desnaturalización de las proteinas estructurales y enzimáticas v Preserva la arquitectura del órgano v ejemplo: infarto al miocardio
Necrosis de coagulacion
LESIÓN CELULAR ISQUEMICA v LA ISQUEMIA ES LA CAUSA MAS IMPORTANTE DE NECROSIS POR COAGULACIÓN. v TODOS LOS EFECTOS DE LA LESIÓN ISQUÉMICA SON REVERSIBLES SI LA ISQUEMIA DURA POCO.
INFARTO NORMAL
NECROSIS LICUEFACTIVA v Característica de infecciones bacterianas y hongos. v Digestión completa de la célula muerta v Perdida de la arquitectura v Material amarillento-grisaceo Pus
HIGADO ABSCESO Y CIRROSIS
HIGADO NECROSIS DE LICUEFACCION ABSCESO
NECROSIS GANGRENOSA v GANGRENA SECA v GANGRENA HUMEDA v PATRON MIXTO v SIGNIFICADO CLÍNICO QUIRÚRGICO
PIE DIABETICO GANGRENA NECROSIS DE COAGULACION Y LICUEFACTIVA
NECROSIS CASEOSA v Forma de Necrosis Coagulativa v Aspecto macroscópico de queso v Restos de células fragmentadas v Borde inflamatorio v La arquitectura desaparece
PULMON TUBERCULOSIS NECROSIS CASEOSA CAVITACIONES
TBC pulmonar
NECROSIS GRASA v Liberación de Lipasas Pacreáticas v Activadas en el parénquima y abdomen v Pancreatitis Aguda v Acido Graso + Calcio = Blanco calcáreo v Hx : Células grasas necróticas y reaccion inflamatoria
PANCREAS NECROSIS GRASA
PANCREAS NECROSIS GRASA
APOPTOSIS l ES LA MUERTE CELULAR PROGRAMADA, GENETICAMENTE DETERMINADA SIGNIFICA: l LAS CELULAS DEBEN EN ALGUN MOMENTO MORIR
APOPTOSIS MUERTE CELULAR PROGRAMADA v Durante el Desarrollo v Mecanismo Homeostático v Defensa en mecanismos inmunitarios v Envejecimiento v Cuando las células son lesionadas por enfermedad
l PROCESOS NORMALES DESARROLLO l VARIACIONES HORMONALES l l PROCESOS PATOLOGICOS ATROFIA l RESPUESTA INMUNE CELULAR l INFLAMACION l TUMORES l
DIFERENCIAS ENTRE NECROSIS Y APOPTOSIS NECROSIS l DEFINICION Consecuencia l CARACTER Patológica l MICROSCOPIA Picnosis Cariorexis l RESPUESTA Fagocitosis Patológica Inflamación APOPTOSIS Proceso Fisiológica- Condensación
ACUMULACIONES INTRACELULARES v TRANSITORIA O PERMANENTE v CONSTITUYENTES NORMALES: PROTEINAS, AGUA, LÍPIDOS Y CHO. v SUSTANCIAS ANORMALES Exógeno: mineral Endógena: productos de síntesis
ACUMULACIÓN DE LÍPIDOS v TRIGLICÉRIDOS v COLESTEROL v ESTERES DE COLESTEROL v FOSFOLÍPIDOS.
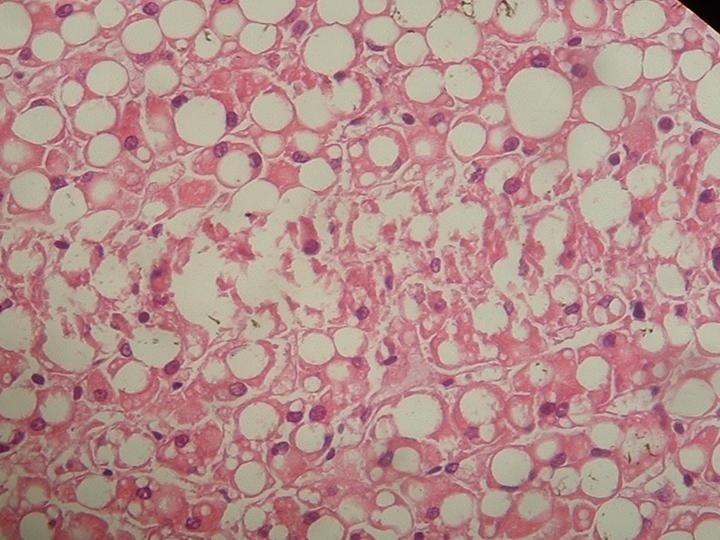
ESTEATOSIS- CAMBIO GRASO v ACUMULACION ANORMAL DE LÍPIDOS v SE OBSERVA EN HIGADO, CORAZÓN, MÚSCULO Y RIÑÓN v CAUSAS: Toxinas Malnutrición proteica diabetes mellitus Obesidad
Esteatosis hepatica
PROTEINAS v Reabsorción en los túbulos renales proximales. v Enfermedades renales asociadas a Proteinuria. v Síntesis excesiva de proteinas. Cuerpos de Russel.
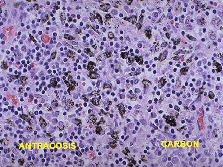
Pigmentos: origen l Exógenos: – Polvo de carbón (antracosis) – Tatuaje
Pigmentos: origen l Endógenos: – Normales: Melanina l Hemosiderina l Bilirrubina l Anormales: Lipofucsina
Antracosis Origen: minas de carbón, contaminación atmosférica Inhalación antracosis pulmonar Macrófagos alveolares ganglios linfáticos Consecuencias: Inerte Pneumoconiosis
ANTRACOSIS CARBON
Melanina l Célula: melanocito l Color: pardo-negruzco l No derivado de la Hemoglobina l Histoquímica: Fontana-Masson
Melanina: alteraciones patológicas l Aumento – Generalizado – Localizado l Disminución – Generalizado – Localizado l Causas: genéticas, físicas, quimicas, endocrinas, etc.
Melanoma
Melanina en ganglio linfático (HE, 10 x)
Lipofucsina (pigmento de desgaste) l Pardo-amarillento l Granular l Histoquímica: PAS, Sudán l Auto fluorescente l Ubicación: lisosoma l Célula: Hígado y Corazòn
Lipofucsina (miocardio, HE, 40 x)
Lipofucsina (hígado, HE, 20 x)
Derivados de la hemoglobina l Porfirínicos Bilirrubina : l Fierro: Hemosiderina
Bilirrubina l Procedede la hemoglobina l Se encuentra en la bilis l No contiene Hierro l Ictericia (>1, 6 mg%) l Aumento: – Tejidos con alto contenido de fibras elásticas
Ictericia
Ictericia (piel)
Kernicterus
HEMOSIDERINA v Pigmento amarillo-oro a pardo v Derivado de la Hemoglobina v Histoquímica: Azul de Prusia v Mononucleares en MO, Bazo e Hígado.
HEMOSIDERINA v Hemosiderosis: Aumento de Fe en dieta Utilización incorrecto del Fe Anemias hemolíticas Transfusiones
Hemosiderina (HE, x 40)
Pulmon Hemosiderina
HIGADO HEMOSIDERINA AZUL DE PRUSIA
CALCIFICACIÓN PATOLÓGICA v Es el depósito anormal de Calcio con pequeñas cantidades de Hierro, magnesio y otros minerales. v CALCIFICACIÓN DISTRÓFICA v CALCIFICACIÓN METASTÁSICA.
CALCIFICACIÓN DISTRÓFICA v Se observa en areas de necrosis. v Ateroesclerosis avanzada v Válvulas cardíacas v Ganglios linfáticos v Niveles séricos de Calcio normales v Ausencia de trastornos en el metabolismo del Calcio.
CALCIFICACION DISTROFICA v Histologicamente de aspecto basófilo v Fases del proceso: Iniciación Propagación v Hueso heterotópico v Cuerpos de Psamoma.
Calcificación distrófica: arteria
Carcinoma intraductal Microcalcificaciones
Calcificación distrófica: tiroides
CALCIFICACION METASTÁSICA v Se da en tejidos vivos y normales v Hay Hipercalcemia por: Aumento de la secreción de Hormona PT Destrucción del tejido Oseo Trastornos relacionados con la Vit. D Insuficiencia Renal.
Calcificación metastásica: pulmón