liyev adna ADHT Dandy Walker Spekturum xstliyi a




























- Slides: 28
Ə. Əliyev adına ADHTİ Dandy Walker Spekturum xəstəliyi. Şüa diaqnostikası kafedrası Rezident: Kamran Məmmədov Kafedra müdiri : dos. Fəridə Nəsirova
DWS � Nadir görülən, etiologiyası tam olaraq bilinməyən, beyincik inkişafına təsir göstərən, spesifik klinik əlamət verməyən anomaliyadır. � Diaqnozu antenatal ve postnatal dövrdə USM, həyatın hər hansı dövründə MRT və KT müayinələr ilə qoyulur
DWS-lu xəstələrdə DWS-lu xəstələrin 2/3 -də MSS/ekstrakranial anomaliyalar yanaşı olur � Kraniofasial, ürək- damar /sidik cinsiyyət sistemi anomaliyaları, polidaktiliya, ortopedik ve respirator problemlər olur -Genetikası ü Əksərən sporadik, bəzi xəstələrdə X xromosomla ilişikli keçən ailəvi DW ü DWS-lu xəstələrdə xromosom və ya orta xətt anomaliyaları təyin oluna bilər ü PHACE(fasial hemangiomalar, koartikasya DW 81%) �
ETIOLOGIYA -PATOGENEZ � Arxa beyin inkişafının dayanması � IV mədəcik çıxış dəliyinin (Majendi və Luşka dəliklərinin) atreziyası � Kista mexaniki olaraq kaudal migrasiyaya mane ola bilər
EPIDEMIOLOGIYASI Görülmə sıxlığı : 125000 Bütün hidrosefaliyalı xəstələrin 1 -4%- nin səbəbidir Qadın≥kişi
Klinika � 80% hallarda 1 yaşa qədər diaqnoz qoyulur (makrokraniya, əmgəklərin qabarması) � Gec dövrdə- epilepsiya tutmaları, inkişafdan geriqalma, motor hərəkətlərdə pozulmalar � 44% hallarda xəstənin erkən dövrdə vəfatı
DANDY WALKER SPEKTRUMU DWS- na – arxa kəllə çuxurun (A. K. Ç-posterior fossa) bir neçə anomaliyaları (malfarmasiyalari) aiddir. Diaqnostik meyarlar: Geniş A. K. Ç+ böyük BOM kistası; normal olmayan IV mədəcik • IV ventrikulosele • Klasik DW • DW variant • sisterna magnanın genişlənməsi
Diaqnostik görüntülərdə ümumi xüsusiyyətlər �IV ventrikulosele (10 -15%) Ø Böyük ölçülü kista ənsə sümüyünü aşındıraraq ensefalosele yaradır Ø Yaxud da IV mədəciyin kistası ənsə ensefoloselesi içərisinə yırtıq kimi daxil olur
Yenidoğulmuşda böyük ölçülü kistik kütlə görülür. T 1 ağırlıqlı MRT görüntünün sagital kəsiyində -kistin kiçik ənsə sümüyü defektindən çıxması və genişlənmiş foramen magnum görünür.
KLASSIK DW � IV mədəciyin kistoz genişlənməsi (dilyatasiyası) arxa kəllə çuxurunda genişlənməyə səbəb olur � Hipoplastik beyincik, kompressiya olunmuş beyin kötüyü � Beyincik soxulcanının qalığı kistanın üzərində yuxarıya doğru çevrilir � Çadır/venoz sinus birləşməsinin yüksək yerləşməsi
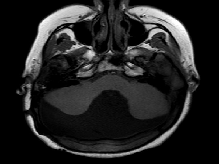
Aksial T 2 ve sagital T 1 MRT: Arxa çuxuru genişləndirən ve 4. mədəcik ilə əlaqəli kista görülür ve hipoplastik beyincik izlənməktədir.
DW variant � Beyincik soxulcanının hipoplaziyası və IV mədəciyin hissəvi obstruksiyası � Aydın vallekula (açar dəliyi görüntüsü) � Kiçik bir kista mövcutdur və ya kista yoxdur, arxa kəllə çuxuru, beyin kötüyü normaldır
Sisterna magnan. In dilyatasiyas. I � Sisterna magnanın 10 mm-dən geniş ölçülməsi � Geniş arxa çuxur, normal beyincik soxulcanı � IV mədəcik normada (kist və ya kompressiya yoxdur) � Sisterna içindən beyincik orağı və incə venaların keçməsi görünür
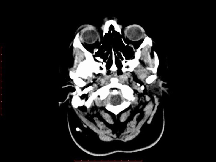
KT əlamətlər � Geniş arxa kəllə çuxuru � Müxtəlif ölçülərdə kista � Sagital lambdayabənzər tikişin inversiyası. � Mega sisterna magna daxil olmaqla butun DW tiplərində ənsə sümüyünün daxili səthinin formasının dəyişilməsi
MRT əlamətlər � Sagital § § T 1 AG- də IV mədəcik divarları mövcuddur və arxada, müxtəlif ölçüdə BOM siqnal intensivliyində olan kistaya keçir Soxulcan qalıq kistanın üzərində yuxarıya çevrilir Soxulcan qalıq beyincik çadırına bitişik və ya ayrı ola bilər. Beyincik çadırı yüksək yerləşmişdir: klassik DW
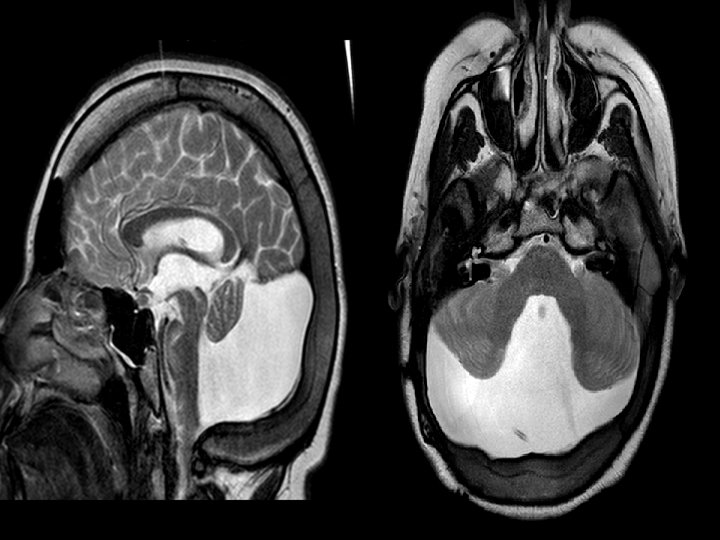
Klassik DW -li xəstə � Cins: qadın � Yaş : 20 � Diaqnoz : Klassik DW � Klinik əlamətlər-əqli inkişafdan geriqalma , hərəkət koordinasiyasının pozulması, yaşıdlarından geriqalma, baş ağrıları � Xəstəyə 04. 08. 2014 tarixində MRT çəkilmişdir
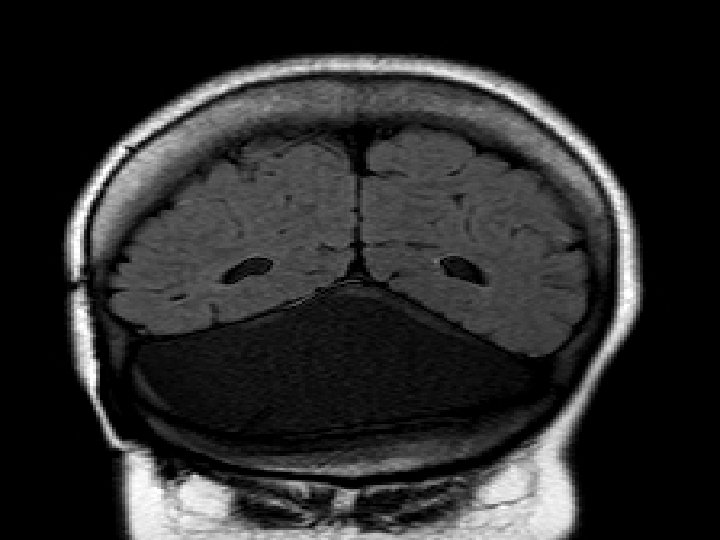
2 - ci xəstə � Qız uşağı � Yaş : 5 � Klinik əlamətlər : Hidrosefaliya, əqli inkişafdan geriqalma, hərəki aktivliyin pozulması � Diaqnoz : klassik DW
T 1 sagital kəsikdə arxa çuxurda böyük ölçülü kista, hipoplastik soxulcan kist üzərində yuxarıya çevrilib. Beyincik yarımkürələri və beyin kötüyü hipoplastikdir, incəlmiş ənsə pulu
T 2 şəkildə hidrosefaliya, arxa çuxurda böyük BOM kistası incəlmiş ənsə sümüyü və hipoplastik beyincik yarımkürələri qanad şəkilli
T 1 aksiyal kəsikdə yan mədəciklərin böyüməsi , arxada kista
Differensial diaqnostika Ø • • Araxnoid kista Bəzi ədəbiyyatlarda DWS-na aid edilir IV mədəcik kompressiya olunub, yeri dəyişilir ancaq normal konfiqurasiyalı AK içərisindən beyincik orağı, incə venalar keçmir AK-lərin daxili səthi araxnoid hüceyrələr /kollagen ilə örtülüdür
T 1 sagital kəsikdə beyincik yarımkürələrinə , soxulcan , IV mədəciyə və beyin kötüyünə təzyiq edən böyük ölçülü araxnoid kista
Müalicə və proqnoz � BOM dövranının bərpa edilməsi � Proqnoz çadırüstü anomaliyalar, hidrosefaliya və ağırlaşmalarla əlaqədardır � Klassik DW- li xəstələrin 50%-də əqli inkişafdan geriqalma olmur
Diqqətinizə görə minnətdaram!