Introduction to Cancer Definitions The word cancer comes


























- Slides: 26
Introduction to Cancer
Definitions �The word “cancer” comes from the latin word for crab. �The Greek word oncos means swelling and where we get the word oncology or oncologist. �What is the Latin word for swelling? �Tumor
Neoplasia (Gk. new growth) �“A neoplasm is an abnormal mass of tissue, the growth of which exceeds and is uncoordinated with that of the normal tissues and persists in the same excessive manner after cessation of the stimuli which evoked the change. ” �--Dr. R. A. Willis
Benign vs. malignant �Well-differentiated - when cancer cells resemble normal surrounding cells. �benign �Poorly-differentiated – when cancer cells do not resemble normal surrounding cells. �malignant
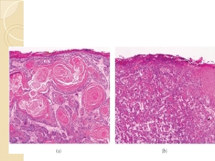
benign – well-differentiated.
malignant-poorly differentiated
Benign: grow slowly low mitotic rate well differentiated not invasive; well-defined borders remain localized; do not metastasize
Malignant Grow rapidly high mitotic index poorly differentiated do not have a capsule invade surrounding structures; can metastasize
Nuclei of cells �Have an abundance of DNA and are therefore large. �Hyperchromatic- stain darkly
In contrast, this hepatocellular carcinoma is not as well circumscribed (note the infiltration of tumor off to the lower right) nor as uniform in consistency. It is also arising in a cirrhotic (nodular) liver. 12
Malignant neoplasms are also characterized by the tendency to invade surrounding tissues. Here, a lung cancer is seen to be spreading along the bronchi into the surrounding lung. 13
This is an example of metastases to the liver. Note that the tan-white masses are multiple and irregularly sized. A primary neoplasm is more likely to be a solitary mass. Metastasis is the best indication that a neoplasm is malignant.
Stages of cancer spread: Stage 1 – confined to site of origin Stage 2 - cancer is locally invasive Stage 3 – cancer has spread to regional structures Stage 4 - cancer has spread to distant sites 15
TNM system: tumor spread node involvement presence of distant metastasis Staging may influence choice of treatment 16
Staging TNM system 1. Size of tumor – T 0, T 1, T 2, T 3 2. Degree of local invasion – lymph node involvement 3. Extent of spread – metastasis 17
Patterns of spread: Metastasis �Direct or continuous extension �By lymphatics or blood stream ◦ As clumps or as single cells ◦ Lymphatics most common 18
Distribution and common sites of distant metastases • often occurs in the first capillary bed encountered • Others show “organ tropism” • Due to: • Local growth factors or hormones • Preferential adherence to the surface • Presence of chemotactic factors 19
Clinical manifestations of Cancer �Pain ◦ Usually not in early stages ◦ 60 – 80 % of terminally ill ◦ Psychogenic, cultural and physiologic components ◦ Due to pressure, obstruction, stretching, tissue damage or inflammation 20
Clinical manifestations of Cancer Cachexia – wasting anorexia early satiety weight loss anemia marked weakness taste alterations altered metabolism 21
Clinical manifestations of Cancer Anemia chronic bleeding malnutrition medical therapies malignancy in blood forming organs Administer erythropoietin 22
Clinical manifestations of Cancer Leukopenia and thrombocytopenia tumor invasion of bone marrow chemotherapy or radiation 23
Cancer Treatment �Chemotherapy ◦ Cytotoxic drugs + body defenses �Single agent �Combination chemotherapy � Avoids single agent resistance � Can use lower dose � Better remission and cure rate 24
Cancer Treatment Radiation targets DNA kill tumor without damage to surrounding tissues tumor must be accessible 25
Cancer Treatment Surgery method of choice can remove entire tumor debulking adjuvant chemotherapy or radiation palliation 26