Chest XRays Every Resident Should Know Part 1

  • Slides: 36
Download presentation
Chest X-Rays Every Resident Should Know Part 1 Arcot J. Chandrasekhar, M. D. ,

Chest X-Rays Every Resident Should Know Part 1 Arcot J. Chandrasekhar, M. D. , F. A. C. P. Professor of Medicine Loyola University of Chicago achandr@lumc. edu

Normal

Normal

Lobar density Air bronchogram No loss of lung volume RUL Consolidation Strep Pneumonia

Lobar density Air bronchogram No loss of lung volume RUL Consolidation Strep Pneumonia

Loss of left heart margin

Loss of left heart margin

Consolidation Lingula Air bronchogram

Consolidation Lingula Air bronchogram

Radiation Port Air bronchogram Radiation Pneumonia

Radiation Port Air bronchogram Radiation Pneumonia

Round Pneumonia Blastomycosis

Round Pneumonia Blastomycosis

Segmental Pneumonia Aspiration Lung Abscess

Segmental Pneumonia Aspiration Lung Abscess

Superior segment of RLL

Superior segment of RLL

LUL Atelectasis

LUL Atelectasis

Oblique Fissure LUL atelectasis Herniated right lung

Oblique Fissure LUL atelectasis Herniated right lung

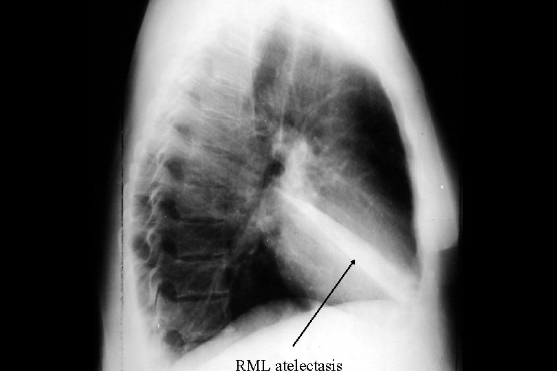
Azygous lobe RML atelectasis

Azygous lobe RML atelectasis

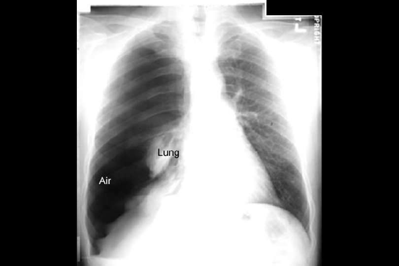
Pneumothorax Relaxation atelectasis Hydro-pneumo Large right hemithorax

Pneumothorax Relaxation atelectasis Hydro-pneumo Large right hemithorax

Diffuse adhesive atelectasis ARDS

Diffuse adhesive atelectasis ARDS

Diffuse alveolar infiltrates Pulmonary edema

Diffuse alveolar infiltrates Pulmonary edema

Butterfly pattern Lobar Air bronchogram Pulmonary hemorrhage

Butterfly pattern Lobar Air bronchogram Pulmonary hemorrhage

Autoppsy Hemorrhagic lung

Autoppsy Hemorrhagic lung

Chronic diffuse aleveolar Alveolar proteinosis

Chronic diffuse aleveolar Alveolar proteinosis

Miliary nodules Interstitial disease

Miliary nodules Interstitial disease

Kerley lines Sub-pulmonic effusion Full hilum

Kerley lines Sub-pulmonic effusion Full hilum

Bronchiectasis Cystic fibrosis Tram lines Multiple cavities

Bronchiectasis Cystic fibrosis Tram lines Multiple cavities

Unilateral haziness Left lung atelectasis

Unilateral haziness Left lung atelectasis

Unilateral haziness Unilateral pulmonary edema Pneumothorax

Unilateral haziness Unilateral pulmonary edema Pneumothorax

Pneumothorax with tube Preceding pulmonary edema

Pneumothorax with tube Preceding pulmonary edema

Unilateral hyperlucency Left hilum pulled up LUL resection Compensatory hyperinflation LL

Unilateral hyperlucency Left hilum pulled up LUL resection Compensatory hyperinflation LL

Pleural effusion LUL cavity Tuberculosis

Pleural effusion LUL cavity Tuberculosis

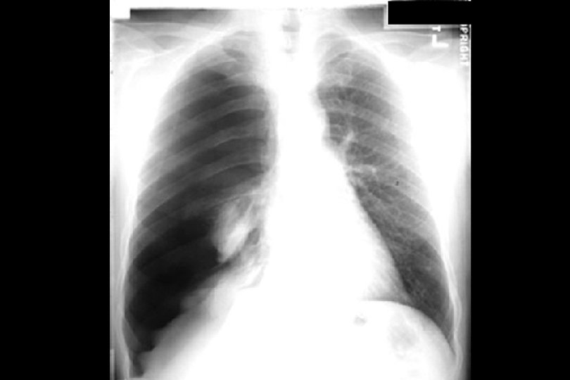
Loculated empyema Sub pulmonic effusion

Loculated empyema Sub pulmonic effusion

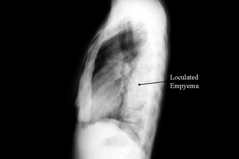
Loculated Empyema

Loculated Empyema

Massive effusion Sub pulmonic

Massive effusion Sub pulmonic

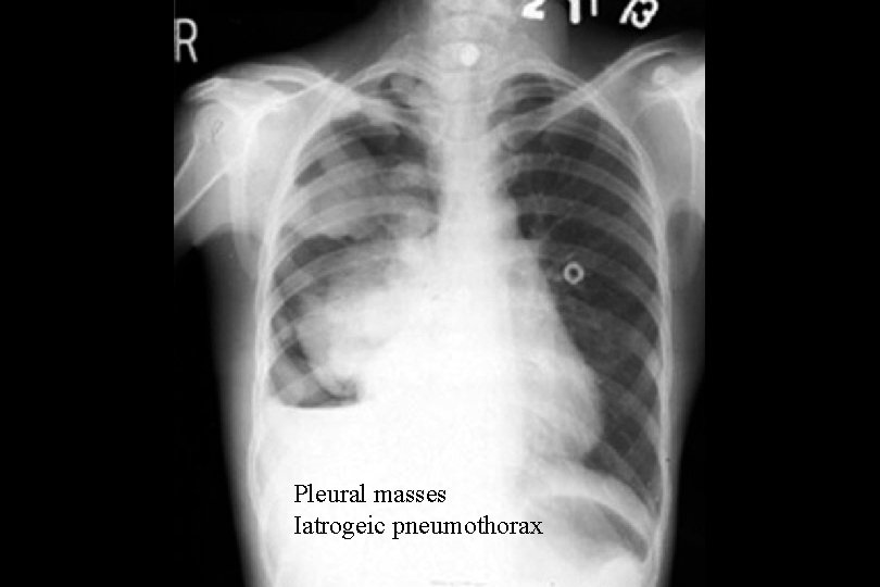
Pleural masses Iatrogeic pneumothorax

Pleural masses Iatrogeic pneumothorax

Triangular retrocardiac density LLL atelectasis

Triangular retrocardiac density LLL atelectasis

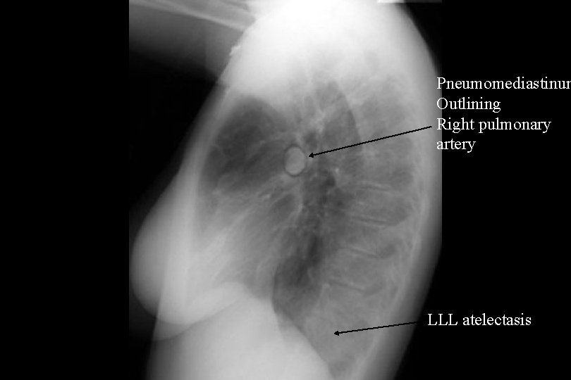
Pneumomediastinum Outlining Right pulmonary artery LLL atelectasis

Pneumomediastinum Outlining Right pulmonary artery LLL atelectasis