Gerinc CT vizsglata Anatmia n n n A






































- Slides: 38
Gerinc CT vizsgálata
Anatómia n n n A gerincoszlop 33 szegmensből áll Nyaki gerinc C 1–C 7 Háti gerinc Th 1 - Th 12 Ágyéki gerinc L 1 – L 5 Keresztcsont S 1–S 5 Farokcsont
Anatómia
• A 12 háti – thorakális csigolya a bordákkal együtt a mellkast alkotja. A csigolyák mérete a lumbális csigolyáknál kisebb
n Lumbalis gerinc
Computer Tomográfia n n n Keresztmetszeti digitális képalkotó Axialis vagy paraxialisképek Szegmentális vizsgálat Hosszú gerinc szakasz vizsgálata sugárterheléssel jár A feltételezett betegség kb. lokalizációja szükséges
CT • Csont ablak • Lágyrész ablak
Az anatómiai struktúrák CT denzitása n n n n In, szalag: közepes denzitás - szürke Izom : közepes denzitás - szürke Porc: közepes denzitás - szürke Ideg : közepes denzitás - szürke Intervertebrális korong: közepes denzitás - szürke Csont: magas denzitás - fehér Zsir: alcsony denzitás – fekete Folyadék: alacsony denzitás – sötét szürke
A GERINC ÉS A GERINCVELŐ BETEGSÉGEI I. Nem-tumoros betegségek – fejlődési rendellenességek – vascularis kórképek – gyulladásos folyamatok – degeneratív elváltozások – traumás eltérések II. Tumorok n extraduralis n intraduralis extramedullaris n intramedullaris
GERINC ÉS GERINCVELŐ - képalkotó eljárások n Hagyományos röntgenfelvétel n Ultrahang vizsgálat n Komputertomográfia (CT) n Mágneses rezonanciás vizsgálat (MRI) n Digitalis subtractiós angiográfia (DSA) n Myelográfia
INDIKÁCIÓK n n Komputertomográfia (CT) - max. 3 szegmens! n Fejlődési rendellenességek: csont / canalis spinalis n gyulladások: csont / discus n degeneratív elváltozások: spondylarthrosis, discus hernia n trauma: csont, epi - subduralis haematoma n tumorok: csont elváltozások Myelo-CT n trauma: duralis és radicularis sérülések n stb.
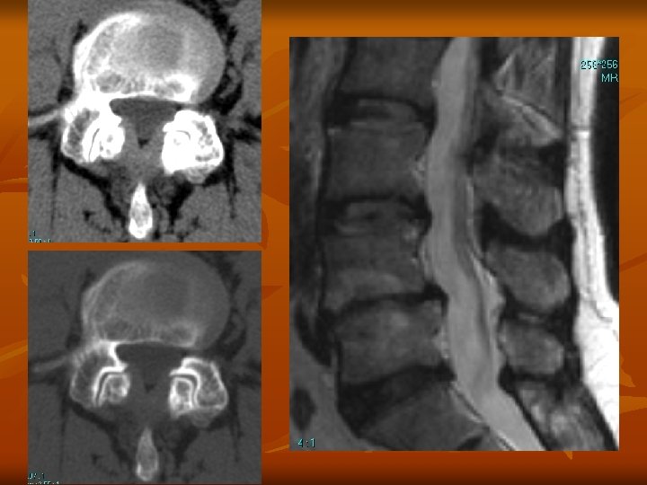
Fejlődési rendellenességek n Csontérintettség n gerinccsatorna szűkület
Lumbalis stenosis (szűkület) n n n n Fokozatos szűkület degenerativ elváltozások miatt Centralis stenosis Lateralis recessus stenosis Foraminalis stenosis A panaszokat sok faktor befolyásolja Fájdalom, idegi tünetek, járászavar Tünetmentes is lehet
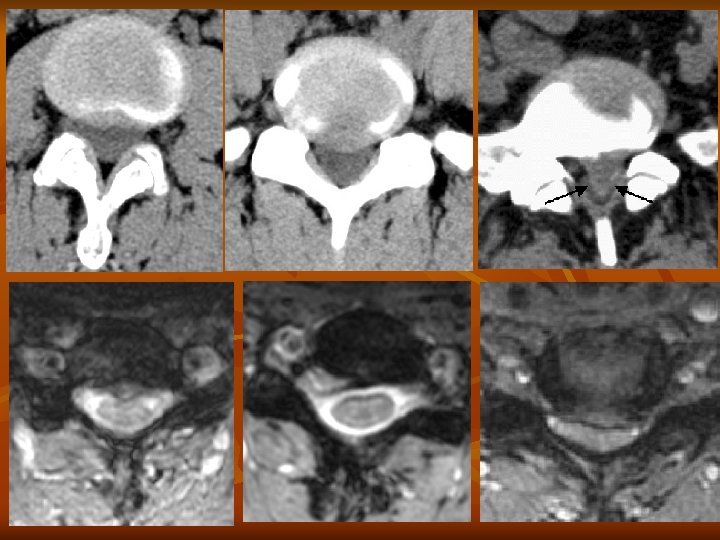
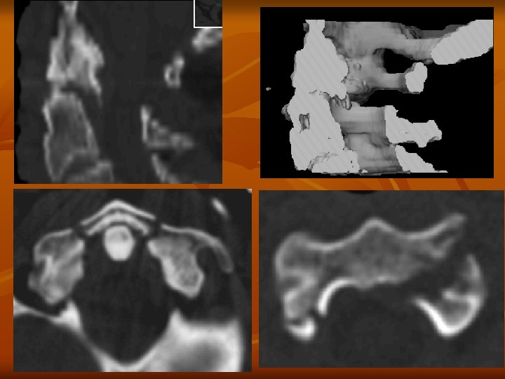
Fejlődési rendellenességek n Csontérintettség n spondylolysis
Spondylolysis, Spondylolisthesis n n n Spondylolysis az un pars intrarticularison képződő defektust jelöli Stressztörés eredménye általában Spondylolysis fájdalommal és gerinc instabilitással járhat Spondylolysis következtében spondylolisthesis alakulhat ki. Spondylolisthesisnél két csigolya között elcsúszás következik be. A gerinc deformálodik és a foramenek beszűkűlnek
CT
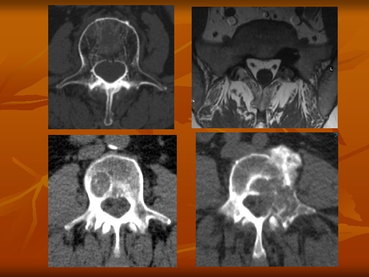
Fejlődési rendellenességek n Csontérintettség n tranzicionális csigolya (Bertolotti syndroma)
Degeneratív betegségek n Spondylarthrosis n Discus hernia
Spodylarthrosis n n n A kisizületek a csigolyák hátsó részeit kötik össze A fájdalmat degeneráció és arthritis (izületi gyulladás) okozza A fájdalom lokalizált és nem kisugárzó jellegű Meszes felrakódások gyakran képződnek MR és CT egyaránt mutatja a degenerációt. Scintigráfián fokozottabb dúsulás
Degeneratív betegségek n Spondylarthrosis n Discus hernia
Hernia (porckorongsérv) n n A belső mag (nucleus pulposus) a fibrózus külső gyűrűn keresztül (annulus fibrosus) előboltosul. Az annulus fibrosus szakadása a hernia helyén fájdalmat okoz Hernia tipusok: n n n n Szétterült korong Discus protrusio Prolapsus Szekveszter (kiszakadt sérv) Éles, metsző fájdalom Izomerő és érzészavar a neurológiai vizsgálat során, reflexeltérések MR CT
n n n Az intervertebralis discusoknak rezgéscsillapitó szerepe van A küső rostos gyűrű biztositja a stabilitást, a belső pulpa adja rugalmasságot A különböző erőhatások kiegyenlitését segitik.
Hernia fokozatok
Posztoperativ gerinc n n A posztoperativ gerinc krónikus jellegű súlyos hát és lábfájdalommal jár, ami gerincsebészeti beavatkozások után alakulhat ki Az eredeti sérv újra kialakult, vagy a sebészeti ellátás nem volt megfelelő A posztoperativ állapotban hegszövet alakul ki, ami a sérvhez hasonlóan ideggyöki nyomást, irritációt okozhat MR kontrasztanyagos vizsgálat a hegszövet kimutatására
Gyulladásos folyamatok n Spondylitis/spondylodiscitis n Abscessus n Meningitis n Myelitis n Sclerosis multiplex
Traumás eltérések n Törések / luxatiók n Haemorrhagiák n Gerincvelő sérülések n Dura és gyöksérülés
Törések n n n Kompressziós törés Hajlitásos, kompressziós törés Hajlitásos, disztrakciós törés Kompressziós, torziós törés Gerinc instabilitás és neurologiai defektusok Csigolyatest, iv törés
Traumás eltérések n Törések / luxatiók n Haemorrhagiák n Gerincvelő sérülések n Dura és gyöksérülés
Daganatok n n n n n Ritka, de súlyos kórkép Jó és rosszindulatú daganat Fájdalom, mely nem specifikus Csontszerkezet destrukciója, instabilitás Myelon és ideggyök kompresszió Patológiás törés Rtg CT és MR Scintigráfia
Tumorok • • • Extraduralis – csonttumorok – metastasis – neurinoma Intraduralis - extramedullaris – meningeoma – neurinoma Intramedullaris – astrocytoma – ependymoma – haemangioblastoma
Tumorok • • • Extraduralis – csonttumorok – metastasis – neurinoma Intraduralis - extramedullaris – meningeoma – neurinoma Intramedullaris – astrocytoma – ependymoma – haemangioblastoma
Tumorok • • • Extraduralis – csonttumorok – metastasis – neurinoma Intraduralis - extramedullaris – meningeoma – neurinoma Intramedullaris – astrocytoma – ependymoma – haemangioblastoma