PASdiastase stain Glycogen is PASpositive and diastasesensitive alpha

  • Slides: 10
Download presentation

PAS-diastase stain Glycogen is PASpositive and diastase-sensitive alpha 1 antitrypsin granules in hepatocytes PAS-positive

PAS-diastase stain Glycogen is PASpositive and diastase-sensitive alpha 1 antitrypsin granules in hepatocytes PAS-positive and diastase-resistant

Abscess A “lake” of neutrophils

Abscess A “lake” of neutrophils

Hemosisderin-laden macrophages Pulmonary hemorrhage: due to vasculitis and other diseases …presents with hemoptysis

Hemosisderin-laden macrophages Pulmonary hemorrhage: due to vasculitis and other diseases …presents with hemoptysis

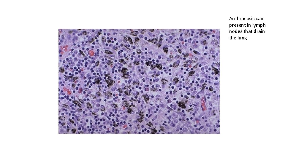
Anthracosis can present in lymph nodes that drain the lung

Anthracosis can present in lymph nodes that drain the lung

Caseating granuloma Chronic inflammation…so we have lymphocytes not only histiocytes

Caseating granuloma Chronic inflammation…so we have lymphocytes not only histiocytes

Anthracosis…not only smokers

Anthracosis…not only smokers

Benign prostatic hyperplasia …branching glands …stratification of nuclei …look at cell secretions characterizing prostatic

Benign prostatic hyperplasia …branching glands …stratification of nuclei …look at cell secretions characterizing prostatic epithelial cells It is a pathologic hyperplasia but doesn’t transform into adenocarcinoma

Testicular atrophy…e. g. , undescended testicles

Testicular atrophy…e. g. , undescended testicles

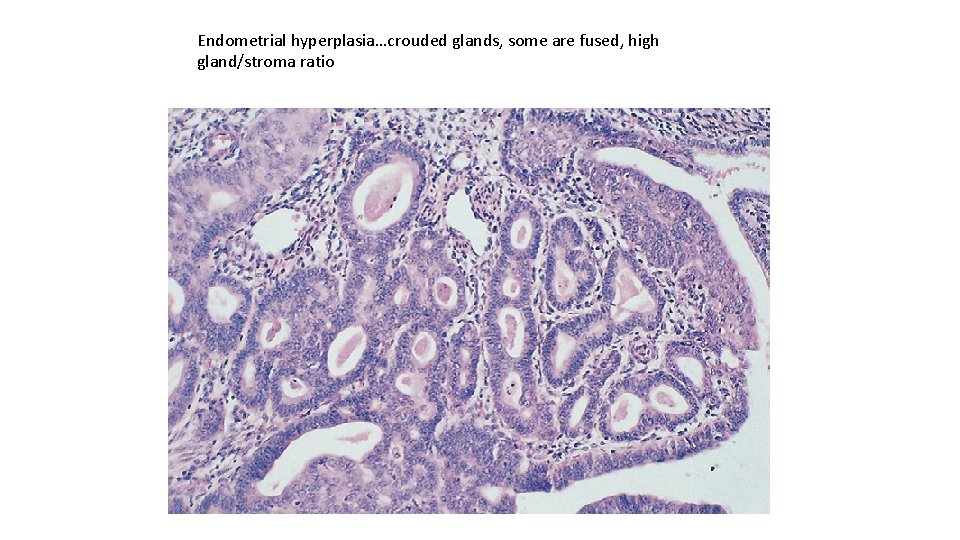
Endometrial hyperplasia…crouded glands, some are fused, high gland/stroma ratio

Endometrial hyperplasia…crouded glands, some are fused, high gland/stroma ratio