You are sick Canine estrous cycle dog in

  • Slides: 28
Download presentation
You are sick!

You are sick!

Canine estrous cycle dog in

Canine estrous cycle dog in

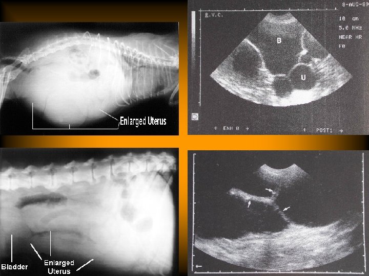
Early proestrus Proestrus Early estrus Diestrus

Early proestrus Proestrus Early estrus Diestrus

proestrus過長 • 發情前期的動情素濃度未能上升到最高 • 外陰部紅腫且流出血樣分泌物超過21天。 – previous exogenous estrogen treatment – endogenous (physiological) sources

proestrus過長 • 發情前期的動情素濃度未能上升到最高 • 外陰部紅腫且流出血樣分泌物超過21天。 – previous exogenous estrogen treatment – endogenous (physiological) sources of estrogen • • • developing follicles, abnormal follicular cysts, functional ovarian tumors, pituitary or hypothalamic tumors, Hypothyroidism (→prolactin , Gn. RH )

estrus過長 • 診斷 – 陰道抹片以角化的上皮細胞為主(90%)。 – monitoring serum progesterone (< 2 ng/ml) – ultrasonography

estrus過長 • 診斷 – 陰道抹片以角化的上皮細胞為主(90%)。 – monitoring serum progesterone (< 2 ng/ml) – ultrasonography – exploratory laparotomy

estrus過長 • 治療 – ovariohysterectomy – injection of Gn. RH or h. CG(50 -100

estrus過長 • 治療 – ovariohysterectomy – injection of Gn. RH or h. CG(50 -100 IU), no breeding this time – progestin therapy(medroxyprogesterone acetate, 20 -25 mg,SC) Side effect: cystic glandular hyperplasia and pyometra

陰道腫瘤 • 診斷:以指頭觸診、組織切片等。 • 治療:外科切除並配合內科療法。 TVT in vagina after surgery Neoplastic cells have a

陰道腫瘤 • 診斷:以指頭觸診、組織切片等。 • 治療:外科切除並配合內科療法。 TVT in vagina after surgery Neoplastic cells have a round nucleus, single nucleolus, and thin rim of basophilic, vacuolated cytoplasm.