YA DOKU Adipoz doku Ba dokunun lipid sentezi
YAĞ DOKU (Adipoz doku)
Bağ dokunun, lipid sentezi ve birikimine özelleşmiş hücrelerin oluşturduğu tipidir. n Yağın trigliserit şeklinde depolandığı özel bir bağ dokusudur. n Normal bir insanın % 10 -15 i yağ dır. Bu da yaklaşık 40 günlük enerji sağlar. n Hormonal ve sinirsel uyarılara son derce iyi yanıt verir. n
Mezenşimal hücrelerden veya lipide afinitesi olan modifiye fibroblastlardan köken alır. n Her iki durumda da sentezlenen yağ nedeniyle hücre genişler, stoplazmik uzantılarını kaybeder ve tipik bir adiposite dönüşür. n Yağ dokunun canlıdaki dağılımı yaşa, cinsiyete ve beslenmeye bağlı olarak farklılık gösterir. n
Yağ dokusunun histogenezi
Yağ doku tipleri n n 1. 2. Yağ vakuolunün gelişim süreci Sayısı Yerleşimi Fonksiyonu ve histolojik farklarına göre iki tip yağ dokusu ayırt edilir. Beyaz yağ dokusu Kahverengi yağ dokusu
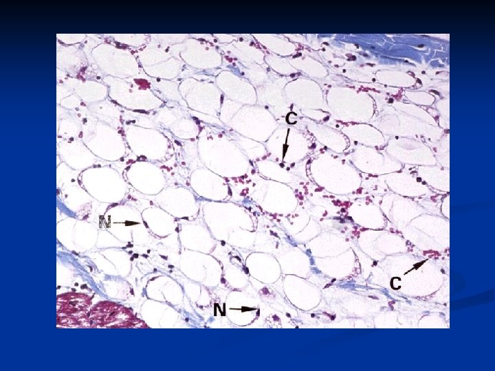
Beyaz yağ dokusu Tek bir yağ damlası içeren hücrelerden oluşur. n Nükleus ve sitoplazma kenara itilmiştir. n Hücre zarı; insülin, nörepinefrin, büyüme hormonu ve glukokortikoidler için reseptör taşırlar. n
Beyaz yağ dokusu
Dağılımları: n Subkutan dokuda n Vücutta biriktiği yerler cins ve yaşa göre değişir n Erkekte: boyunda kalça ve uylukta n Kadında. Göğüs, basen, kalça ve laterallerde n Her 2 cinste: karın içi kavitede omental boşluk ve mezenter etrafında
Depo yağları; n Besinlerden alınan yağlardan oluşan şilomikronlardan gelen yağ asitlerinden n Karaciğerde glukozdan sentezlenen ve serum lipoproteinleri şeklinde yağ dokusuna gönderilen yağ asitlerinden n Yağ hücrelerinin kendilerindeki karbonhidratlardan sentezlenen trigliseritlerden sentezlenir…. .
Kahverengi yağ dokusu Çok sayıda vakuol içeren hücrelerden oluşurlar. n Beyaz yağ doku hücrelerinden küçük olup nükleusları orta konumludur. n Vasküler ve otonomik sinir donanımı bakımından oldukça zengindir. n Bir çok miyelinsiz sinir uzantısı adipositlerle kontakt kurmaktadır. n
Dağılımı: Beyaz yağ dokunun bulunduğundan daha az miktar ve lokalizasyondadır. Genç ve orta yaş erginlerinde çok azdır veya hiç yoktur. Fetüste ve ve yeni doğanda koltuk altı, boynun posterior yanları ve renal bölgede daha yoğun olarak dağılım gösterir. Kış uykusuna yatan canlılarda mevcuttur. n Fonksiyonel özellikleri: beyaz yağ dokununkilere benzer fakat metabolik aktivitesi daha fazla ve ısı üretimi sağlar. n
Dokuyu etkileyen hormonlar İnsülin: glukoz alınımını arttırır ve karbonhidratlardan trigliseritlerin sentezlenmesini aktive eder. n Peptid hormonlar ve nörepinefrinler: adipsitte c-AMP seviyesini arttırırlar. n Glukagon-Yıkım n Büyüme hormonu-yıkım n Tiroid hormonları-yıkım n
Yağ doku fonksiyonları 1. 2. 3. 4. 5. Enerji depolar Sinir ve hormon uyarılarına hassatır. El, ayak, topuk ve taban altında vurma ve çarpmalara karşı koruyucu olur. Isı yalıtımını sağlar. Boşlukları doldurur.
İlgili hastalıklar Şişmanlık (Obezite): hücre fazla yağ biriktiriyorsa hipertrofik, yağ hücre sayısı artıyorsa hiperselüler obeziteden bahsedilir. n Tümörler: adipositlerin iyi huylu tümörleri lipoma olarak bilinirler. En fazla gövdede ve üst kol bölgesinde görülürler. Liposarkoma ise kötü huylu tümörlerdir. Sıklıkla bacaklarda ve peritonal dokunun gerisinde oluşacağı gibi vücudun herhangi bir yerinde de görülebilir. n
- Slides: 18