XXVI CURSO DE CIRUGIA GENERAL Sociedad Valenciana de









- Slides: 9
XXVI CURSO DE CIRUGIA GENERAL Sociedad Valenciana de Cirugía COLANGIOCARCINOMA TUMOR DE KLATSKIN Moderador: Dr. José Mir Pallardó
Controversias: Tumor de Klatskin COLANGIOCARCINOMA Los colangiocarcinomas son tumores malignos que se originan de las células epiteliales de los conductos biliares.
Controversias: Tumor de Klatskin COLANGIOCARCINOMA Clasificación (Sociedad Japonesa de Cirugía Biliar, 2004): - Colangiocarcinoma intrahepático - Colangiocarcinoma extrahepático - Hiliar (Tumor de Klatskin) - Medio - Distal - Carcinoma de la vesícula biliar - Carcinoma ampular
Controversias: Tumor de Klatskin Ø Clínica de presentación Ø Algoritmo diagnóstico en la ictericia obstructiva ØQué exploraciones se deben solicitar ØEn qué orden se deben solicitar
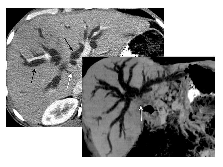
ALGORITMO DIAGNÓSTICO ICTERICIA OBSTRUCTIVA ULTRASONOGRAFÍA ECO DOPPLER � Dilatación de la vía biliar SI NO Baja probabilidad Sospecha de COLANGIOCARCINOMA Alta probabilidad / Lesión PET-TC TC Angio/ Portografía / Venografía CONTROL OTROS Congénita Colangitis Estenosis sin masa Coledocolitias is US ESTADIFICA R TRATAMIENTO PAAF/biopsia US TC Eco-Endoscopia + PAAF Arteriografía RM + CPRM Confirmación diagnóstica Angio. RM RM + CPRM Sainani NI et al. Cholangiocarcinoma: current and novel imaging techniques. Radiographics 2008. 28: 1263 -1287
Controversias: Tumor de Klatskin Ø Estadificación y criterios de resecabilidad Ø Necesidad de biopsia Ø Drenaje de vía biliar ØCuándo ØCTPH vs CPRE ØQué tipo de drenaje / prótesis biliar
Controversias: Tumor de Klatskin Ø Resección quirúrgica curativa ØTécnica quirúrgica de elección. Trasplante. ØPreparación preoperatoria del paciente ØCuándo embolización portal ØCuándo laparoscopia diagnóstica ØCuándo resección vascular ØEstándares de calidad
Controversias: Tumor de Klatskin COLANGIOCARCINOMA EXTRAHEPÁTICO Ø Tratamiento paliativo Ø Tratamiento adyuvante ØCuándo ØEsquema terapéutico KLATSKIN MEDIO-DISTAL