XLIV REUNIN DE LA ASOCIACIN TERRITORIAL DE LA

  • Slides: 17
Download presentation
XLIV REUNIÓN DE LA ASOCIACIÓN TERRITORIAL DE LA REGIÓN DE MURCIA Mujer de 31

XLIV REUNIÓN DE LA ASOCIACIÓN TERRITORIAL DE LA REGIÓN DE MURCIA Mujer de 31 años con 6 semanas de amenorrea F. García-Molina(1); C. Lizarralde; P. Toro; L. Heredia; E. Andrada (1)R 3 HGUElche

 • Mujer de 31 años con amenorrea de 6 semanas y dolor abdominopélvico

• Mujer de 31 años con amenorrea de 6 semanas y dolor abdominopélvico • Pruebas complementarias – Elevación de HCG • Ecografía transvaginal – Lesión anexial compleja de 25 x 20 x 16 mm de dimensiones máximas en trompa uterina derecha

Ecografía Doppler

Ecografía Doppler

 • Dx. Embarazo ectópico tubárico de alto riesgo • Qx. Salpinguectomía derecha laparoscópica

• Dx. Embarazo ectópico tubárico de alto riesgo • Qx. Salpinguectomía derecha laparoscópica de urgencia con legrado endometrial.

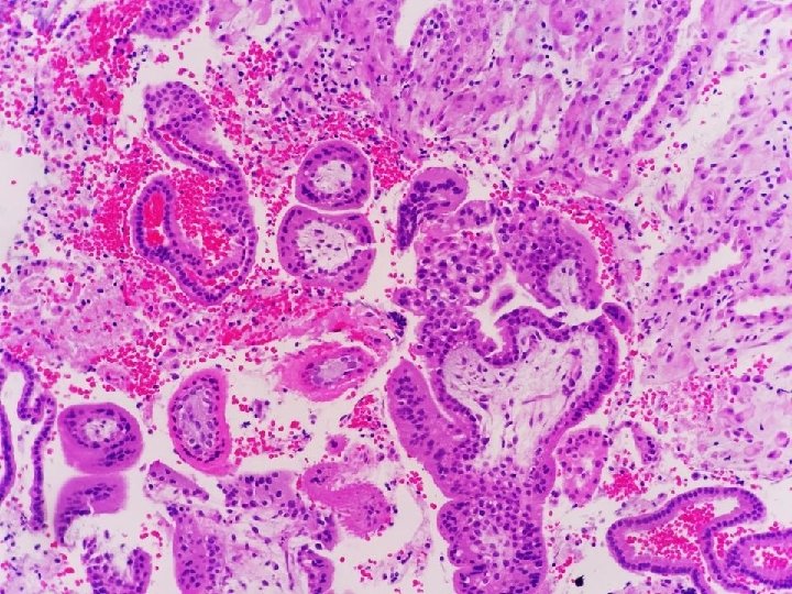
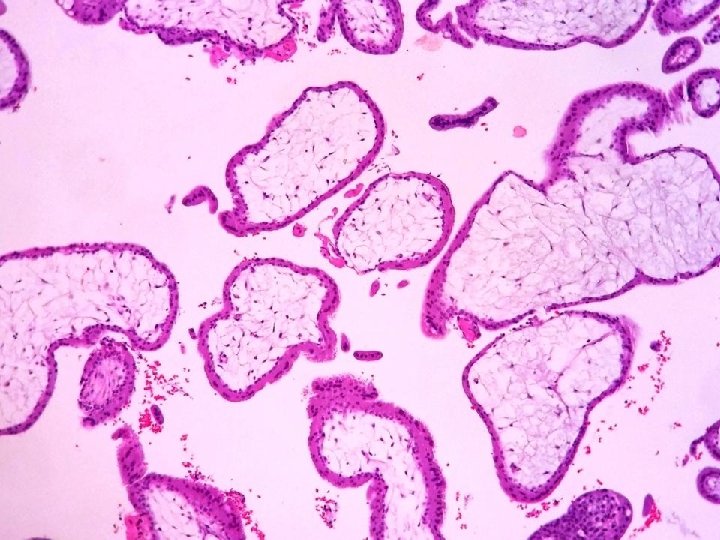
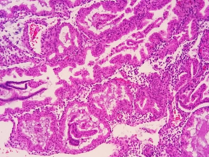
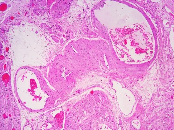
Macroscopía • Pieza de salpinguectomía de 3 x 2 cm de dimensiones máximas con

Macroscopía • Pieza de salpinguectomía de 3 x 2 cm de dimensiones máximas con dilatación de coloración violácea en su porción media. • Fragmentos parduzcos irregulares que agrupados miden 3 x 2 cm

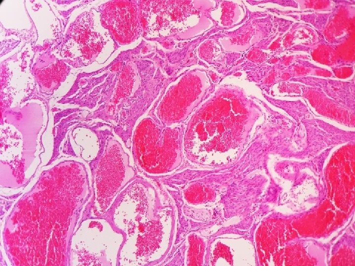
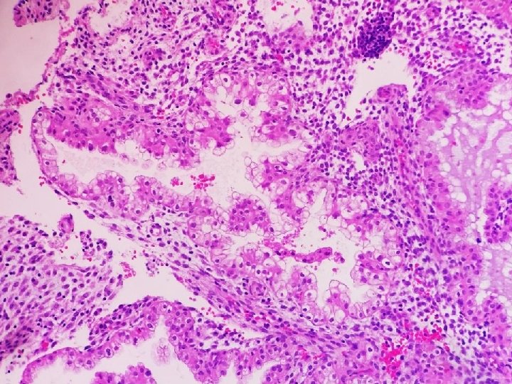
Diagnóstico Anatomopatológico • 1. - Trompa Uterina Derecha (Salpinguectomía) – Malformación Arteriovenosa • 2.

Diagnóstico Anatomopatológico • 1. - Trompa Uterina Derecha (Salpinguectomía) – Malformación Arteriovenosa • 2. - Útero (legrado) – Restos deciduocoriales compatibles con embarazo intrauterino.

Falsos positivos ectópico • Gestación >5. 5 s Eco Transvaginal – S 100% emb

Falsos positivos ectópico • Gestación >5. 5 s Eco Transvaginal – S 100% emb IU – S ectópico 73 -93% • Falsos positivos: quistes paratubáricos, endometrioma, cuerpos lúteos. • Ajustar criterios diagnósticos ecográficos – Evidencia del Saco Vitelino (E. 100% S. 98%)

Malformación arteriovenosa en el tracto genital femenino • • Rara entidad. > Útero <

Malformación arteriovenosa en el tracto genital femenino • • Rara entidad. > Útero < anejos (conjunto 100 casos) Congénito / adquirido Asociación EE – MAV

Gracias

Gracias