X 2007 Mujer 26 aos Astenia adelgazamiento 5









































- Slides: 41
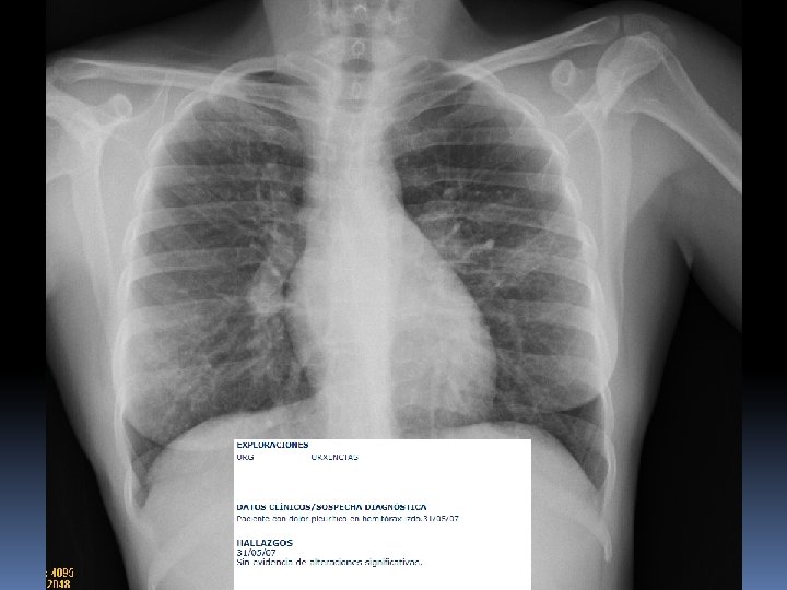
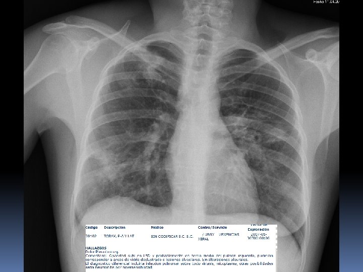
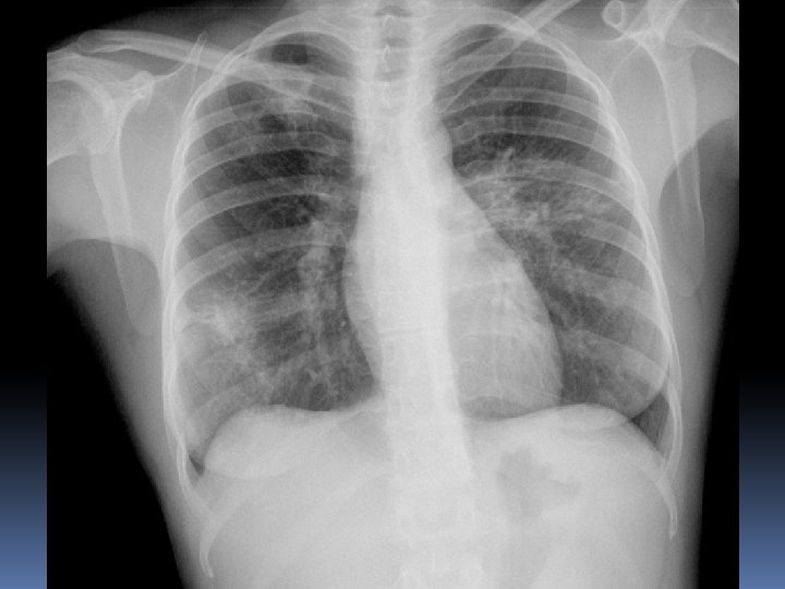
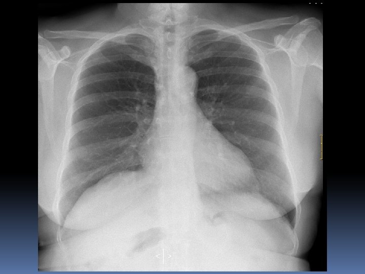
X 2007 Mujer 26 años Astenia, adelgazamiento 5 kg en 3 -4 meses. Nerviosa. Problemas de pareja. Hace 15 dias : tos seca y dolor en costado izquierdo por lo que acude a Urgencias del hospital. No fiebre termometrada. Dolor en costado Izquierdo de características pleuríticas. Auscultación normal. Sat 98%.
Un mes mas tarde……. .
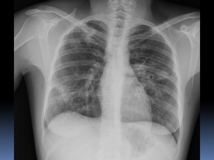
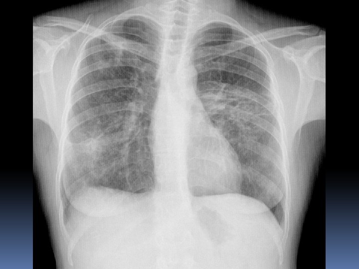
5 años mas tarde……….
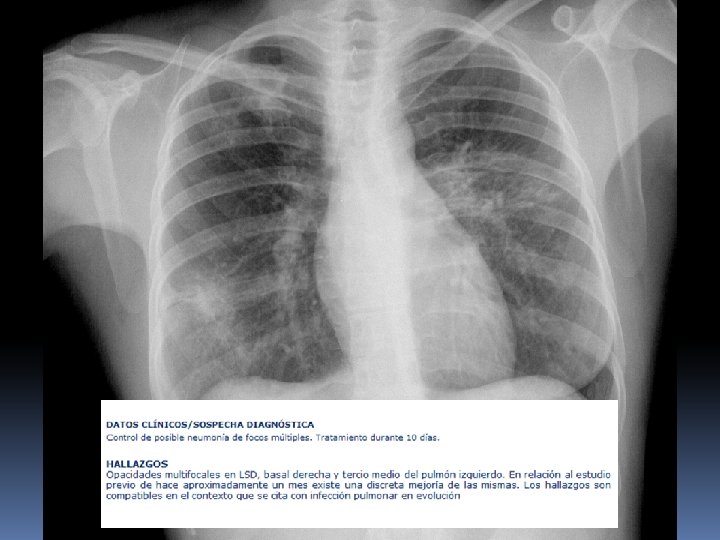
2008 2013
Tratamiento: Metotrexate Wyeth 2, 5: 3 comp/sem (7, 5 mg) Acfol 5: Un comp/semana separado tres dias del anterior. Dacortin: 15 mg/dia.
SARCOIDOSIS [ sark(o)- σάρ-ξ/-κός gr. 'carne' + -eid(és) -ειδ-ής/-ές gr. 'que tiene el aspecto de' + -ō-sis gr. 'proceso patológico'
EPIDEMIOLOGÍA La sarcoidosis puede afectar a las personas de todas las edades pero afecta más comúnmente a los sujetos entre la segunda y cuarta décadas de la vida. Es ligeramente más común en mujeres y ciertos grupos raciales, como el africano-americano y escandinavo. Las estimaciones de incidencia y prevalencia varían ampliamente. En Estados Unidos, la tasa de incidencia anual ajustada en las personas de raza negra es casi 3 veces más elevada que la de las personas de raza blanca (35, 5 casos por 100. 000 habitantes vs. 10, 9 por 100. 000 habitantes, respectivamente). En España se estima que la incidencia es de 1, 36 / 100. 000 habitantes. http: //www. intramed. net/contenidover. asp? contenido. ID=62457 http: //www. intramed. net/contenidover. asp? contenido. ID=69685
ETIOLOGÍA Debido a que la sarcoidosis afecta con más frecuencia a la piel, los ojos y los pulmones, se presume que la causa está en el aire. A pesar de un gran estudio comparativo importante, multicéntrico, no se hallaron factores particulares, ambientales u ocupacionales, aunque se comprobó un riesgo moderado con la exposición a ambientes con moho (riesgo relativo [RR], 1, 61) e insecticidas (RR, 1, 52).
es una enfermedad multisistémica inflamatoria de etiología no determinada (probablemente desencadenantes ambientales) que en individuos geneticamente susceptibles, ocasiona una superrespuesta inmunitaria con formación de granulomas y la distorsión de la microarquitectura normal y la función de los órganos afectados. La sarcoidosis
Síndrome de Löfgren: eritema nodoso, adenopatía hiliares bilaterales, artralgias. Síndrome de Heerfordt-Waldenström: fiebre, hinchazón parotídea, uveítis anterior, parálisis facial.
90% 20 -35 % 25 %
Desde AP: Laboratorio: puede haber anemia, linfopenia, eosinofilia, trombocitopenia, hipergammaglobulinemia, aumento de VSG, hipercalcemia e hipercalciuria, alteraciones específicas de órganos afectados. En 50 -80% de pacientes se detecta un aumento de la enzima conversora de angiotensina (secretada por fagocitos del granuloma), lo que indica un estadio activo. Hacer serologías para posibles diagnósticos diferenciales. Radiografía de tórax: el 90 -95% de los pacientes tiene alguna alteración radiológica en tórax; lo más frecuente es observar un patrón intersticial retículo-nodular y/o adenopatías hiliares bilaterales. Otros hallazgos posibles son: calcificaciones hiliares “en cáscara de huevo”, cavitación, bronquiectasias, derrame pleural unilateral (exudado linfocitario), cardiomegalia, hipertensión pulmonar. En caso de eritema nodoso con radiología normal y etiología no filiada es conveniente repetir el estudio radiológico al mes.
Diagnóstico El diagnóstico de sarcoidosis necesita un cuadro clínico compatible. Demostración histológica de un granuloma no caseificante. Exclusión de otras causas de enfermedades granulomatosas, como infecciones por micobacterias u hongos.
Clasificación Radiológica.
El tratamiento inicial consiste en la administración de glucocorticoides (No existe consenso respecto al inicio, duración, dosis e indicaciones. ) En el estadio I no está indicado el tratamiento. En los estadios II y III se instaura tratamiento si hay sintomatología y/o alteraciones funcionales respiratorias; o aun no existiendo lo anterior se observa progresion radiológica de la enfermedad. En el estadio IV deben tratarse todos los pacientes.
Fibrosis pulmonar Insuficiencia renal Parálisis nerviosas Trastornos visuales
Mujer mediana edad 20 -40, clínica iinespecifica , rx torax “rara” Eritema nodoso, solicitar Rx torax y si es normal repetir al mes.