Wheeze with a difference Dr Aditya Jindal 15















- Slides: 15
Wheeze with a difference Dr. Aditya Jindal
• 15 years • Female • Presented with – Dry cough – Breathlessness – Wheeze x 4 m – Rapid worsening of symptoms x 3 days
Diagnosed as bronchial asthma Given inhaled bronchodilators and steroids Poor response Respiratory failure Endotracheal intubation and mechanical ventilation Dramatic improvement Extubated within 2 days
Discharged on MDIs and oral steroids Persistent wheeze Referred to Pulmonary Medicine Admitted for further evaluation
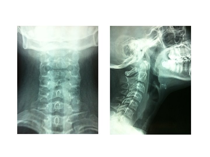
• Examination findings – Respiratory system : Stridor + – Other systems : Normal • Suspected diagnosis: – Post intubation tracheal stenosis
• Histopathological examination – Inflammatory myofibroblastic tumour of the trachea
Asthma mimics • Shared symptomatology between respiratory disorders • Leads to other diseases being misdiagnosed as asthma • High index of suspicion required, especially in – Atypical presentations – Poor response to treatment
General hallmarks of asthma • Some combination of wheezing, chest tightness, cough, and dyspnea • Symptoms are often worse in early morning • Identifiable triggers provoke symptoms • Evidence of airflow obstruction which is at least partially reversible • King CS, Moores LK. Respir Care 2008; 53(5): 568 – 580
1. 2. 3. 4. 5. 6. 7. 8. 9. 10. COPD VCD Congestive cardiac failure Pulmonary embolism Cystic fibrosis Bronchiolitis obliterans Hypersensitivity pneumonitis GERD Central airway obstruction ABPA Asthma mimics 1. Tropical pulmonary eosinophilia 2. Loffler’s syndrome 3. Idiopathic hypereosinophilic syndrome 4. Churg-Strauss syndrome King CS, Moores LK. Respir Care 2008; 53(5): 568 – 580
Learning points 1. All that wheezes is not asthma 2. All wheezes are not wheezes 3. High index of suspicion required, especially in 1. Atypical presentations 2. Poor response to treatment