Vrozen srden vady Semin 5 ronk Vrozen srden




















































- Slides: 52
Vrozené srdeční vady Seminář 5. ročník
Vrozené srdeční vady • 8/1000 živě narozených dětí • Prevalence dospělých pacientů s vrozenou srdeční vadou je 2800/1 mil. obyvatel • Většina diagnostikována při narození nebo v dětství • V dospělosti se setkáváme s pacienty: • operovanými v dětství radikálně nebo paliativně mohou mít reziduální nálezy • s nově diagnostikovanou vadou – defekt septa síní, koarktace, mírné formy Ebsteinovy anomálie, korigovaná transpozice velkých cév
Defekt septa síní: vývoj septa
Defekt septa síní : vývoj septa
Defekt síňového septa: diagnostika echokardiografie, často jícnová: dilatovaná pravá komora zkratový proud barevným dopplerovským vyšetřením při přítomnosti trikuspidální regurgitace neinvazivně z rychlosti regurgitace odhadovat výši systolického tlaku v plicnici kalkulovat systémový průtok(Qs) ve výtokovém traktu levé komory a plicní průtok(Qp) v kmeni plicnice a počítat jejich poměr EKG: obraz bloku pravého raménka Tawarova u 95 % pacientů je projevem opožděné aktivace dilatované pravé komory Skiagram hrudníku : dilatace pravé komory, pravé síně, dilatace plicnice, zvýšenou plicní kresbu. Katetrizační vyšetření : před uzávěrem defektu u starších pacientů k posouzení plicní vaskulární rezistence a k provedení selektivní koronarografie.
Defekt septa síní: indikace uzávěru • Preferovanou metodou je katetrizační uzávěr • Defekt s dilatací pravé komory, bez těžké plicní hypertenze, a to bez ohledu na symptomy, • Defekt s projevy paradoxní systémové embolizace, pokud není těžká plicní hypertenze.
Defekt septa síní: indikace uzávěru • Preferovanou metodou je katetrizační uzávěr • Defekt s dilatací pravé komory, bez těžké plicní hypertenze, a to bez ohledu na symptomy, • Defekt s projevy paradoxní systémové embolizace, pokud není těžká plicní hypertenze.
Defekt septa síní
Defekt septa síní
Defekt septa síní - TEE
Defekt septa síní- TEE, Color Doppler
Defekt síňového septa: patofyziologie • • • téměř vyrovnané tlaky LS-PS, L-P proudění dáno vyšší poddajností pravé komory, nižším tlakem v pravé síni zkrat není spojen s žádným šelestem objemové zatížení pravé komory, dilatace PK, dilatace PS Při chorobách, kdy se snižuje poddajnost levé komory a stoupá tlak v levé síni, se velikost zkratu zvětšuje (srdeční selhání, arteriální hypertenze) Plicní cirkulace reaguje na zvýšený průtok vazodilatací, dlouho nezvýšené hodnoty tlaku Plicní hypertenze: při poškození endotelu plicních cév vysokým průtokem, vyčerpání vazodilatační rezervy, dojde ke vzniku PH, většinou kolem 50 let Při vzniku PH, poklesu poddajnosti pravé komory, trikuspidální regurgitaci se zkrat levo-pravý může zmenšit, ev. až obrátit v pravo-levý Eisenmengerův syndrom je irreversibilní plicní hypertenze se systémovým tlakem v plicnici, extrémně vzácný Paradoxní embolie Fibrilace síní při dilataci pravé síně
Defekt septa síní: klinika • Dlouho asymptomatický • 40 -50 l. , námahová dušnost, snížená tolerance zátěže přičítány věku, stylu života, palpitace, SVT • Až pravostranná kardiální insuficience, paradoxní embolizace • Fyzikální vyšetření: Systolický ejekční šelest nad plicnicí je projevem relativní stenózy pulmonální chlopně při zvýšeném průtoku. • Fixní rozštěp 2. ozvy nad plicnicí je projevem opožděného uzávěru pulmonální chlopně oproti chlopni aortální při zvýšeném průtoku. Fixovanost rozštěpu (nemění se s respirací) se vysvětluje tím, že pravá komora přijímá tolik krve, že její objem není už schopna v inspiriu zvýšit.
Defekt síňového septa: diagnostika echokardiografie, často jícnová: dilatovaná pravá komora zkratový proud barevným dopplerovským vyšetřením při přítomnosti trikuspidální regurgitace neinvazivně z rychlosti regurgitace odhadovat výši systolického tlaku v plicnici kalkulovat systémový průtok(Qs) ve výtokovém traktu levé komory a plicní průtok(Qp) v kmeni plicnice a počítat jejich poměr EKG: obraz bloku pravého raménka Tawarova u 95 % pacientů je projevem opožděné aktivace dilatované pravé komory Skiagram hrudníku : dilatace pravé komory, pravé síně, dilatace plicnice, zvýšenou plicní kresbu. Katetrizační vyšetření : před uzávěrem defektu u starších pacientů k posouzení plicní vaskulární rezistence a k provedení selektivní koronarografie.
Defekt septa síní: indikace uzávěru • Preferovanou metodou je katetrizační uzávěr • Defekt s dilatací pravé komory, bez těžké plicní hypertenze, a to bez ohledu na symptomy, • Defekt s projevy paradoxní systémové embolizace, pokud není těžká plicní hypertenze.
PFO
Amplatzer okluder
Defekt septum primum TEE
Defekt septum primum TEE
Atrioventrikulární septální defekt
Atrioventrikulární septální defekt
Atrioventrikulární septální defekt • Inkompletní (parciální) AVSD: defekt septa síní typu ostium primum , rozštěp (cleft) předního cípu mitrální chlopně vedoucí k mitrální regurgitaci. • Přechodný (intermediární) AVSD: defekt síňového septa typu ostium primum, rozštěp předního cípu mitrální chlopně a malý (restriktivní) defekt komorového septa. • Kompletní (úplný) AVSD, kompletní AV kanál: defekt síňového septa typu ostium primum a velký (nerestriktivní) defekt komorového septa a jedinou společnou, zpravidla pěticípou AV chlopeň.
Defekt komorového septa
Defekt septa komor
Defekt septa komor • perimembranózní typ : nejčastější • v membranózní části septa, umístěný pod aortální chlopní, v blízkosti trikuspidální chlopně, • muskulární : často je mnohočetný (Swiss cheese), • výtokový typ : nacházíme pod semilunárními chlopněmi, • vtokový typ : ve vtokové části septa pod trikuspidální chlopní.
Defekt septa komor • Nejčastější vrozená srdeční vada • Izolovaný (30 -40% vrozených vad) • Součást komplexní vady (Fallotova tetralogie) nebo sdružený s jinými vadami (koartakce, pulmomální atrezie)
Defekt septa komor- patofyziologie • Závažnost defektu závisí na jeho velikosti a na rozdílu tlaků mezi komorami • Malý defekt : vysoký systolický tlakový gradient mezi levou a pravou komorou je zachován, zkrat je levo-pravý, rychlost průtoku krve přes defekt je vysoká. Traumatizace endokardu vysokorychlostním zkratovým proudem s sebou nese riziko infekční endokarditidy • Velký defekt: objemové zatížení levé síně a komor, v plicním řečišti dochází při zvýšeném průtoku krve k plicní vazokonstrikci, stoupá plicní vaskulární rezistence, následně dochází k přestavbě plicních cév a ireverzibilním změnám plicního řečiště (Eisenmengerův syndrom). Zkrat zpočátku levo-pravý, se stává při vyrovnávání tlaků mezi komorami bidirekčním. Při vzniku Eisenmengerova syndromu se mění na pravo-levý.
Defekt septa komor: poslechový nález • Hlučný holosystolický šelest parasternálně vlevo ve 3. -4. mezižebří. • Není-li šelest holosystolický, defekt je buďto velmi malý nebo hodně velký. U malých muskulárních defektů bývá šelest jen časně systolický, protože při systole komory se defekt uzavírá. • Při vzniku plicní hypertenze: šelest oslabuje, až mizí, je akcetace 2. ozvy nad plicnicí, šelest při pulmonální regurgitaci a trikuspidální regurgitaci • Při přidružené aortální regurgitaci: diastolický šelest vlevo parasternálně.
Defekt septa komor- klinika • Operovaní bez reziduálního nálezu: asymptomatičtí. • Neoperovaní pacienti s malým levo-pravým zkratem: asymptomatičtí. • Pacienti se středním defektem: námahová dušnost, únavnost, palpitace. • Eisenmengerův syndrom je v dospělé populaci velmi vzácný, dušnost při námaze a nevýkonnost, dané nízkým srdečním výdejem, palpitace, cyanóza prohlubující se zátěží, hemoptýzy.
Defekt komorového septa- prognóza Spontánní uzávěr: u 50% do 1 roku Operovaní časně v dětství: prognóza dobrá Malý neoperovaný defekt: prognóza dobrá Větší neoperovaný defekt: dysfunkce objemově přetížené levé (i pravé) komory, riziko vzniku aortální regurgitace • Eisenmengerův syndrom: přežití krátké, pacienti umírají většinou do věku 25 let • •
Defekt komorového septa-léčba • Chirurgická: přímá sutura defektu nebo uzávěr defektu záplatou z perikardu, dacronu nebo goretexu. • Katetrizační uzávěr okluderem u muskulárních. • Prevence infekční endokarditidy u všech VSD. • Po operaci nebo katetrizačním uzávěru po dobu 6 měsíců, dokud nedojde k epitelizaci záplaty či okluderu.
Defekt komorového septa: indikace k uzávěru • Symptomatický defekt bez těžké plicní hypertenze, • Asymptomatický defekt se známkami objemového přetížení levé komory, • Infekční endokarditida, zejména recidivující, na defektu, • VSD s prolapsem aortální chlopně a progredující regurgitací.
Defekt komorového septa
PDA-Patent ductus arteriosus
PDA
Koarktace aorty
Koarktace aorty - TTE
Koarktace aorty – color Doppler
Koarktace aorty - CW Doppler
Koarktace aorty
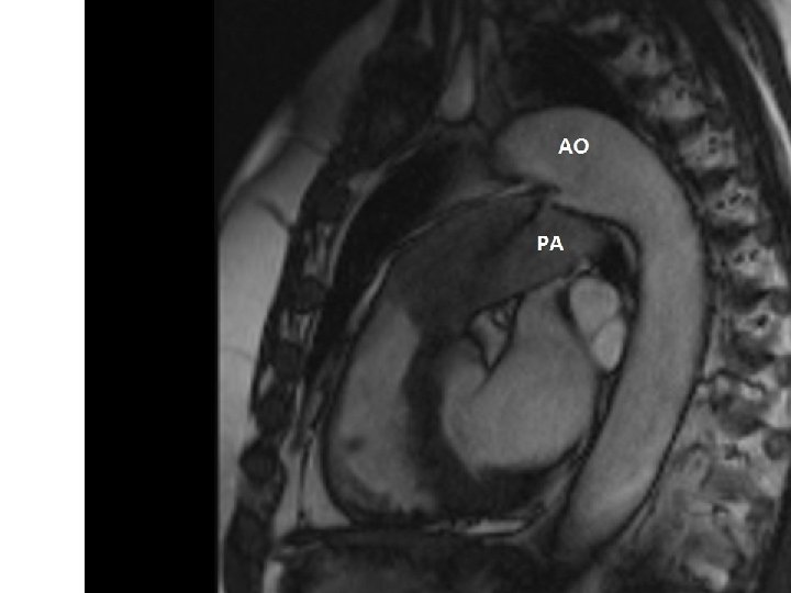
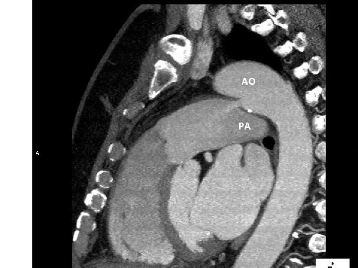
Fallotova tetralogie
Ebsteinova anomalie
Ebsteinova anomalie
Transpozice velkých tepen s ASD, VSD
Transpozice velkých cév – Jatene operace
Korigovaná transpozice velkých tepen