Vr vrkpzs Dr Puskr Zita FOK I M













































- Slides: 45
Vér, vérképzés Dr. Puskár Zita FOK I. M 2020/02/11
A vér funkciói Szállítás Gázok: oxigén és szén-dioxid (a tüdő és a többi szövet között) Tápanyagok (az emésztőrendszerből, tároló helyekről a szövetekhez) Salakanyagok (májhoz és veséhez) Hormonok (a célterületekre) Védelem Fehérvérsejtek (mikroorganizmusok, daganatsejtek elpusztítása) Antitestek, fehérjék (patogének megsemmisítése) Vérlemezkék (véralvadás, vérveszteség csökkentése) Szabályozás Hő Vízháztartás p. H
A vér összetétele 5 -6, 5 l Hematokrit: a vér sejtes elemei által elfoglalt térfogat százalékos arányát fejezi ki a teljes vér térfogatához viszonyítva. (férfiban 44 --48 %, nőben 40 --44 %)
A vér alakos elemei Vörösvértest (erythrocyta) Fehérvérsejtek (leukocyta) Lymphocyta (20 -30%) Monocyta (3 -8%) Granulocyták Neutrophil (60 -70%) Eosinophil (2 -4%) Basophil (0, 5 -1%) Vérlemezke (thrombocyta) A keringő vér scanning electron mikroszkópos képe Vörösvérsejt (4 -6 millió/mm 3) > Vérlemezke (250 000 -400 000/mm 3) > Fehérvérsejt (5000 -9000/mm 3)
Vérkenet Festés : 1. May-Grünwald oldat (methanol - fixálás, metilénkék – bázikus festék, eosin – savanyú festék) 2. Giemsa oldat (azúrkék – bázikus festék, eosin – savanyú festék) Basophil festődés: sejtmag, basophil granulumai, RNS Eosinophil festődés: vörösvérsejt, eosinophil granulumai
Vörösvértestek (erythrocyták) Erythrocyták scanning elektronmikroszkópos képe • élettartam ~ 120 nap • nincs magja • nincsenek organellumai • a feladatát a véráramban végzi el Egy érben lévő erythrocyta transmissziós electronmikroszkópos képe
Vörösvértestek (erythrocyták) • bikonkáv alakú • az oxigén és a szén-dioxid szállításáért felelős • eosinophil plasma (proteinek, 95% hemoglobin)
Éretlen vörösvérsejt - reticulocyta a vörösvérsejtek 0. 5 -1% -a riboszómacsoportok reticularis hálózata a cytoplazmában
A vörösvértest membránja Rugalmasan deformálható • magas protein tartalom • actin, spectrin, ankyrin → alak, ellenállás, rugalmasság • glycocalix – szénhidrátok → AB 0 vércsoport
Hemoglobin Vérszegénység (anaemia): a vér hemoglobintartalmának csökkenése - vörösvértestek hemoglobinjának megfogyatkozásából vagy - vörösvértestek számának csökkenéséből
Vérlemezke (thrombocyta) granulomer hyalomer méret: 2 -3 μm élettartam: 7 -11 nap granulomer (sötétebb festődés, tubulusok, granulumok) hyalomer (microtubulusok-marginális köteg, aktin mikrofilamentumok, miozin)
A vérlemezkék funkciója Funkció: véralvadás, az alvadék összehúzása, megsemmisítése α –granulum (véralvadási faktorok, PDGF növekedési faktor, fibrinogén, plazminogén, fibronektin, IV vérlemezke faktor, von Willebrand faktor, trombospondin), δ –granulumok (szerotonin, hisztamin, ADP, ATP, kálcium), λ –granulumok (lizoszómális enzim) • mikrotubulusok, filamentumok (aktin, miozin) • kanalikuláris rendszer (granulumok exocytosisa)
A vérlemezke elektronmikroszkópban nyugvó aktivált
Fehérvérsejtek (leukocyták) (granulocyták, lymphocyták, monocyták) monomorphonuclearis polymorphonuclearis • Átmenetileg vannak a vérben • A vérárammal jutnak el a különböző szövetféleségekhez • A kapillárisok és venulák falán lépnek ki a kötőszövetbe, nyirokszövetbe és a csontvelőbe Funkció: Patogén mikroorganizmusok, fertőzött sejtek, idegen molekulák felismerése és eliminációja
Neutrophil granulocyta Barr body condensed X cromosome • a fehérvérsejtek 60 -70%-a • átmérője: 8 -10 μm (vérben), 12 -14 μm (vérkenetben) • élettartam kb. 3 nap (8 -10 óra a vérben) • szegmentált mag (öregedéssel fokozódik), heterochromatikus • nem festődik jellegzetesen sem savanyú, sem bázikus festékekkel
Neutrophil granulocyta funkciója azurophil granulum specifickus granulum • akut gyulladás elsőként aktiválódó sejtjei (amoboid mozgás v=15 -40 µm/perc) • phagocytózis (specifikus granulumok: antibakteriális anyagok: lizozim, phagocytin, alkalikus foszfatáz, azurophil granulumok: primer lizoszómák, mieloperoxidáz, defenzinek egyéb granulumok: elasztáz, kollagenáz)
Egy neutrophil baktériumot kerget https: //www. youtube. com/watch? v=I_xh-bkiv_c
Tonsillitis, tonsillectomia fiziológiás gyulladt tonsillectomia
Fiatal (jugend) és pálcika(stab) alakok érett stab 10% jugend 5% • érett sejt magja: 3 -5 lebeny (lobulus) kromatin hidakkal összekötve • nem teljesen érett sejtalakok: a mag még nem szegmentálódott - fiatal-jugend alak: a sejtmag kifli vagy elnyúlt bab alakú - pálcika-stab alak: a mag tovább nyúlik egyenes vagy S alakban görbült pálcikává
Balra tolt vérkép • Balra tolt vérkép: a leukocyták között (főként a neutrophilek között) felszaporodnak az éretlenebb alakok (stab, jugend). Akut gyulladásra, folyamatban lévő fertőzésre utal. https: //hematblog. wordpress. com/2013/08/09/left-shift/
Eosinophil granulocyta
Eosinophil granulocyta • 2 -4% • átmérő : 12 -17 μm • élettartam (legalább) 6 nap • kétlebenyű mag • funkció: vírusfertőzés, parazita elleni küzdelem, allergiás reakció restitúciója, gyulladás csökkentése, antigen-antitest complexek endocytosisa • idegen anyagoknak kitett nyálkahártya kötőszövetében (tápcsatorna, légutak)
Eosinophil granulumok granulum crystalline body Granulumok átmérője: 0, 5 -1, 5 μm A granulum centrumában – „crystalline body” major basic protein (MBP) nagy bázikus protein-cytotoxicitás A granulumok mátrixa: RNáz, phospholipáz, peroxidáz, hisztamináz, arylsulphatáz, eosinophil peroxidáz (EPO), eosinophil kationos protein (ECP), (eosinophil-derived) neurotoxin (EDN)
Basophil granulocyta metakromázia • a fehérvérsejtek 0, 5 -1 % • átmérő : 10 -14 μm • élettartam: 3 -10 nap • nincs valódi szegmentált magja • a specifikus granulumok bázikusan festődnek (heparin, hisztamin, slow reacting substance SRS) • funkció: allergiás reakció (receptor for Ig. E), véralvadás gátlása (heparin, SRS), vasodilatáció (hisztamin)
Lymphocyták Natural killer or transformed T or B lymphocyte közepes (7 -11 μm) 5 -15% kicsi (5 -7 μm) 80 -90% nagy (11 -18 μm) 3% Intenzíven festődő sejtek gömb alakú, heterochromaticus maggal, egyik oldalon mély invaginációval, amelyet keskeny, enyhén basophil cytoplasma vesz körül. (azurophil granulumok, mitochondriumok, ribosomák, Golgi apparátus)
Lymphocyták típusai Funkció (A nyirok- és az immunrendszer legfontosabb sejtjei) • T lymphocyta (70 -90%) – sejt mediált immunitás • B lymphocyta (5 -15%) – humorális immunválasz, Ig termelés (plazmasejt) • Természetes ölősejt (Natural killer) (1 -3%) – fertőzött és tumorsejtek elpusztítása (perforin) Fejlődés T: csontvelő (keletkezés), thymus(érés), nyirokszervek (T függő területek, aktiválódás) B: csontvelő (keletkezés, érés), nyirokszervek (B függő területek, aktiválódás)
Lymphocyta aktiváció
Ilyen volt… Ilyen lett… B lymphocyta Plasma sejt
Plasmasejt • B lymphocitából transzformálódik • Antitestet szekretál • Cytoplasmában nagy mennyiségű r. ER basophilia • Ovális sejt • Excentrikus mag • Perifériás heterochromatin váltakozik euchromatinnal → kerékküllő alak Előfordul • Gastrointestinális traktus lamina propriájában • Légzőrendszer kötőszövetében • Nyálmirigyekben
Naív és adaptív immunválasz
https: //www. youtube. com/watch? v=w. YPlc 6 -nnz. U
Vérképzés (haemopoesis) Intrauterin – magzati vérképzés 1. Első vagy prehepatikus (mesenchymalis, mesoblasticus) fázis – vérszigetek a szikhólyag falában 2. Második vagy hepatolienalis fázis – máj, lép, nyirokszövet. 3. Harmadik vagy myeloid fázis – csontvelő és nyirokszövet Felnőtt haemopoesis Myelopoesis – csontvelő Erythropoesis Granulocytopoesis Monocytopoesis Thrombocytopoesis Lymphopoesis - csontvelő, nyirokszervek
A vörös csontvelő előfordulása 1. izületi porc 2. szivacsos állomány 3. compakt állomány 4. velőűr 5. sárga csontvelő 6. periosteum 7. proximális epiphysis 8. diaphysis 9. distális epiphysis Csöves csontok proximalis epiphysiseben, lapos csontok (pl. bordák, szegycsont, koponya, medence) szivacsos állományának közei között található. 0 -1 évig vörös csontvelő van mindenütt. Később a hosszú, csöves csontok diaphysiseben és distalis epiphysisében sárga csontvelő jelenik meg.
Vörös csontvelő
A vörös csontvelő összetétele Confocal image of old bone marrow. The image shows blood vessels (blue) and certain markers indicating increased cell division activity (green). Hematopoietic stem cells are glowing red. image: Mehmet Sacma / Ulm University
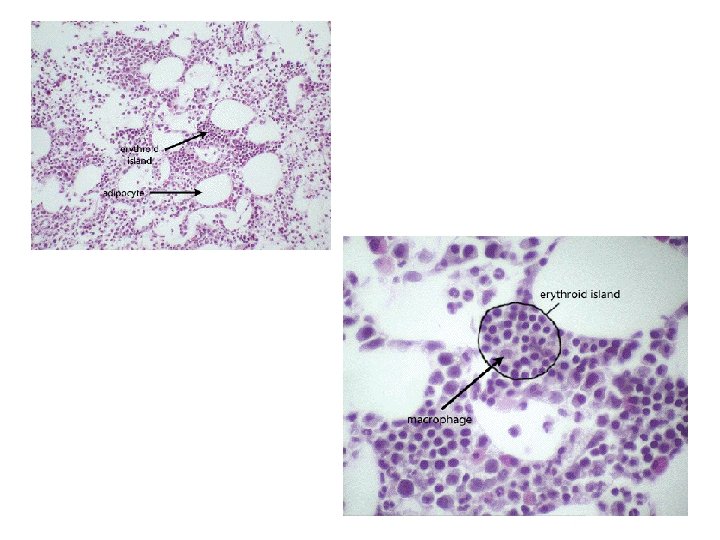
A vörös csontvelő összetétele Alapszövet (stroma) – retikuláris kötőszövet reticulumsejt és rácsrostok Specializált erek – sinusok (átmérő: 50 – 70 μm) artériák és vénák között - endothel sejtek - lamina basalis (nyomokban) - külső (adventitialis) reticulumsejt réteg rácsrost termelés, őssejtek vérsejtté való differenciálódásának stimulációja Sejtek: fejlődő vérsejtek, megakaryocyták, macrophágok, hízósejtek, plasmasejtek, zsírsejtek
Vérképzés vérképző őssejt - haemocytoblast Hematopoietic Stem Cell (HSC) Pluripotens (valódi) őssejt, önmegújító, proliferál, számos sejtvonal fejlődése indul belőle Myeloid SC Lymphoid SC Multipotens őssejt CFU-Gemm CFUs progenitor sejtek B T Colony Forming Unit Cells (CFU) Proliferál és precursor sejtekké differenciálódik megfelelő növekedési faktorok jelenlétében. Morfológiailag nem különíthető el az őssejtektől BLAST prekurzor sejt pro. B T NK Specific Colony Forming Cells jellegzetes morfológiai sajátságokat mutat blast CSF: Colony Stimulating Factor Minden más sejt Lymphocyta család
Erythropoesis Szabályozó faktor : erythropoetin (vese, máj). Szükséges: vas, kobalt, C, B 6, B 12 Hemoglobin szintézis, accumuláció ↓ Basophilia → Eosinophilia A nucleus kilökődése → Reticulocyta (riboszómacsoportok finom hálózata) ↓ Érett erythrocyta normoblast
Erythropoetin Front. Physiol. , 03 June 2015 | https: //doi. org/10. 3389/fphys. 2015. 00167
CFU-GM CFU-Eo CFU-Bas Granulopoesis Promyelocyta (azurophil granulumok) ↓ Myelocyta (specifikus granulumok → neurophil, basophil, eosinophil) ↓ Metamyelocyta (a mag lebenyeződése, specifikus granulumok számának növekedése ) ↓ érett éretlen érett basophil neutrophil eosinophil „stab, jugend” (a mag szegmentálódása) ↓ érett neutrophil Szabályozó faktorok : (GM-CSF, G-CSF, interleukinek 3, 5, 6, 11) stromalis eredet - makrofágok, endothel, reticulum sejt, fibrocyta, zsírsejt
Megakaryopoesis-thrombopoesis diploid 2 n Megacaryoblast (diploid) ↓ (endomitosis) Promegakaryocyta (poliploid) poliploid 4 n, 8 n, 16 n, 32 n, 64 n ↓ Megakaryocyta ↓ Thrombocyta Demarkációs membránok Vérlemezke: a megakaryocyta plazmájának fragmentációja Szabályozó faktor : thrombopoetin (máj)
Lymphopoesis
Monopoesis
Irodalom: Röhlich Pál: Szövettan. Budapest, 2006 Michael Ross and Lynn J. Romrell: Histology, Baltimore, 1989 Anthony L. Mescher: Junqueira’s Basic Histology, New York, 2010 Mehmet Saçmaet al: Haematopoietic stem cells in perisinusoidal niches are protected from ageing. Nature Cell Biology volume 21, pages 13091320 (2019) doi. org/10. 1038/s 41556 -019 -0418 -y https: //doi. org/10. 1038/s 41556 -019 -0418 -y Souma et al: Renal erythropoietin-producing cells in health and disease Front. Physiol. , 03 June 2015 | https: //doi. org/10. 3389/fphys. 2015. 00167