VENTILAO MEC NICA NA DOENA PULMONAR OBSTRUTIVA Guilherme
VENTILAÇÃO MEC NICA NA DOENÇA PULMONAR OBSTRUTIVA Guilherme Schettino UTI – Hospital Sírio Libanês
p. H < 7. 30 ou mortalidade > 10% no grupo controle Ann Intern Med 2003
VNI – III Consenso
Ventilação não Invasiva
A chart of failure risk for noninvasive ventilation in patients with COPD exacerbation Confalonieri M, Eur Respir J 2005
Schettino, G – Crit Care Med 2008
Hiperinsuflação Dinâmica Tuxen, Am Rev Respir Dis 1987
INTERAÇÃO CORAÇÃO & PULMÃO Pressão Média (Pva) P alv Heart DPOC Heart SARA
Vasos Alveolares West, 1986
VD impedância e IPPV Vieillard-Baron, JAP 1999
Hiperinsuflação Dinâmica Fluxo ETCO 2
Mecânica Respiratória Pausa Inspiratória R sist resp (cm. H 2 O/L. s) = C sist resp (ml/cm. H 2 O)= Ppeak – Pplat fluxo insp VT Pplat - PEEP Pausa Expiratória
Hiperinsuflaçäo Pulmonar III Consenso VT= 6 – 8 ml/kg FR= 12/min p. H= 7, 20 -7, 40 VI = 40 – 80 L/min I: E= 1: 3 - 1: 6 Tuxen, Am Rev Respir Dis 1987
Broncodilatador Inalatório Rajiv Dhand, 2005
Broncodilatador Inalatório Rajiv Dhand, 2005
Respir Care 2005
Padrões de Fluxos Reynolds= densidade. velocidade. raio viscosidade Densidade (g/L): He= 0, 18 O 2= 1, 4 Heliox (80: 20)= 0, 43
Heliox (He 80% + O 2 20%) Tassaux D, 2000
Sincronia Pacinte-Ventilador Marini, 1985
Pressure Support (Dys)Synchrony Dyssynchrony 2 1 1 - disparo 3 2 - fluxo 3 - ciclagem Tobin, 2001
“Closed-Loop Control System Expiratory Trigger Criteria” Du, 2001
Results – Synchrony (%) Nery, 2004
Neurally-Adjusted Ventilation Assist (NAVA) Sinderby, 1999
Neurally-adjusted Ventilation Assist (NAVA) Sinderby, 1999
Neurally-adjusted Ventilation Assist (NAVA) – COPD patient PS – pressure trigger NAVA
Levine, S – NEJM 2008
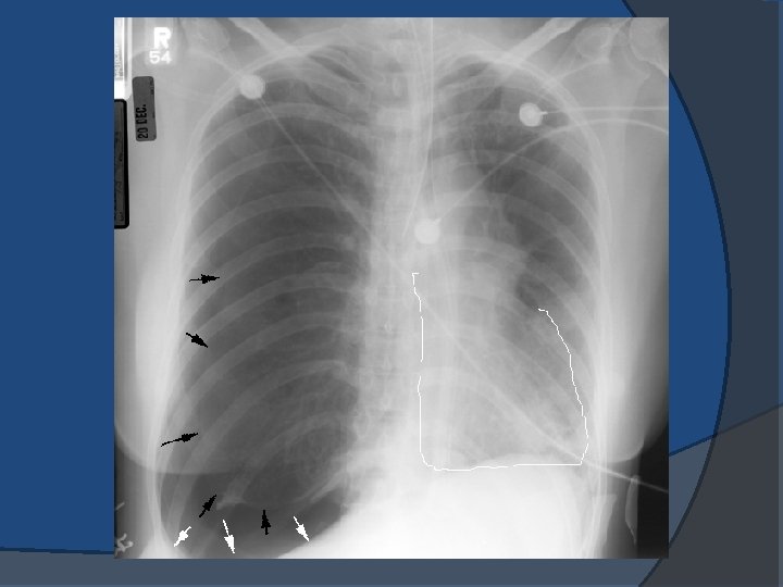
Barotrauma
Costa, E – Crit Care Med 2008
Costa, E – Crit Care Med 2008
DPOC - Fisiopatologia CVF VT CVF CPT VT CRF VR Normal CRF CPT CVF VR CRF VR DPOC: estável DPOC: agudo
PEEPi e Ventilação Minuto Marini, 1993
- Slides: 33