Vasculites des petits et moyens vaisseaux diagnostic et













































































- Slides: 77
Vasculites des petits et moyens vaisseaux: diagnostic et avancées thérapeutiques Patrick Liang Service de rhumatologie Université de Sherbrooke
Vascularites: Définition Groupe de maladies inflammatoires chroniques au cours desquelles la paroi des vaisseaux sanguins est la cible d’une réaction immune. Elles peuvent être primaires: Aucune étiologie connue ne peut être démontrée ou secondaires: Induction par : infection, néoplasie, collagénoses, médicaments
Vascularites systémiques: difficultés diagnostiques • Symptomatologie souvent non-spécifique: symptômes constitutionnels: infection, néoplasie symptômes ischémiques: athérosclérose, mx thromboemboliques • • Chevauchement des manifestations entre vascularites Absence de changements histopathologiques diagnostiques Absence de tests de laboratoire diagnostiques Système de classification non idéal
Vascularites: Classification: taille des vaisseaux Selon le type de vaisseau touché de façon prédominante • Gros vaisseaux: aorte et ses principales branches • Moyens vaisseaux: artères viscérales principales et leurs branches (peut inclure des artères moyennes et petites) • Petits vaisseaux: artérioles, capillaires, veinules Les vasculites des moyens ou grands vaisseaux ne touchent pas (rarement) les petits vaisseaux. En contre partie, les vasculites des petits vaisseaux touchent volontiers les vaisseaux de calibre moyen.
CHAPEL HILL NOMENCLATURE Gracieuseté de Loïc Guillevain
Vasculites syttémiques • Entités cliniques relativement jeunes: • 1866: Définition par Kussmaul et Maïer de la PAN • 1931: Reconnaissance du patron propre à la granulomatose de Wegener (Klinger) • 1939: Wegener fait une description plus détaillée de la maladie • 1948: Davson décrit une forme de PAN avec atteinte des petits vaisseaux, distincte de la PAN classique • 1951: Churg et Strauss définissent le syndrome portant leur nom • 1982: Identification des ANCA • 1994: La classification de Chapel Hill définit la polyangiite microscopique (anciennement polyartérite microscopique) en tant qu’entité bien distincte
Épidémiologie • Données générales: (à partir d’une population d’Angleterre) Incidence (WG, MPA, CSS): 20/1 000 Prévalence: 145/1 000 ge: 40 -74 ans Homme: 23/1 000 Femmes: 16/1 000 • Incidence: Wegener: 5 -10/1 000 MPA: 5 -10/1 000 CSS: < 5/1 000 PAN: 2 -3/1 000
Épidémiologie • Hérédité: rares cas familiaux de granulomatose de Wegener PR 3 polymorphismes génétiques ex: CTLA 4, CXCR 2 caucasiens: maladie plus prévalente • Agents infectieux: S. aureus Inflammation granulomateuse PAN: HBV, (HBC, VIH) • Agents environnementaux Silice: PAM, Wegener Activités agricoles: bétail: Wegener Solvants organiques • Médicaments: PTU, allopurinol, minocycline, hydralazine, inhibiteurs des leucotriènes etc…
Quelles sont les manifestations cliniques?
Vascularites des moyens vaisseaux: PAN • Vascularite nécrosante n’atteignant que les vaisseaux de moyen calibre, i. e. , petites et moyennes artères • Étiologie inconnue • Dans certains cas, associée à infections par virus de l’hépatite B, et parfois hépatite C et VIH • Rares cas de vascularites nécrosantes avec: EBV, CMV, B 19 • Lésions histopathologiques caractérisées par régions d’inflammation focales, exsudatives, d’aspect nodulaire, le long des artères. • Mécanismes responsables: complexes immuns
Périartérite noueuse • • • 30 -60 ans Touche les hommes autant que les femmes Rare: incidence d’environ 1 -3/1 000 Hyperthermie: 50 -60% Perte de poids: 60 -70% Manifestations musculosquelettiques: 70 -80% arthralgies, myalgies, arthrite Neuropathie périphérique: 50 -70% Manifestations abdominales: 25 -50% Hypertension: 20 -25% Insuffisance rénale: 25% Lésions cutanées: 50%
Atteinte des moyens vaisseaux
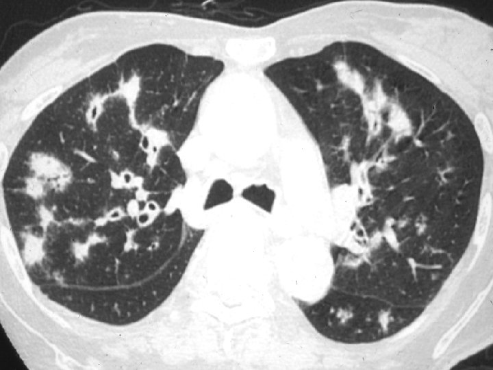
Atteinte des petits vaisseaux
Périartérite noueuse
Vascularites des moyens vaisseaux: PAN • Absence de glomérulonéphrite • Absence de manifestations pulmonaires • Pas associé à ANCA (présents chez au plus 5% des patients)
Vasculites à ANCA • Granulomatose de Wegener (WG) • Polyangiite microscopique (PAM) • Syndrome de Churg-Strauss (CSS) • Glomérulonéphrite pauci-immune • Vasculites médicamenteuses à ANCA
Vasculites à ANCA: manifestations cliniques granulomatose de Wegener Présentation (%) Durant la maladie(%) ORL 70 90 Poumons 45 85 Reins 20 80 Yeux 15 50 MSK 30 65 Neuro Mononévrite multiplex Rare SNC Rare 15 8
Vasculites à ANCA: manifestations cliniques Polyangiite microscopique (PAM) • • • Symptômes constitutionnels 50 -75% Atteinte cutanée 40 -66% Atteinte neurologique 30 -60% Glomérulonéphrite 80 -90% Atteinte pulmonaire 50% ORL 0 -35% Distinctions du Wegener: Inflammation non-granulomateuse Absence de cellules géantes Atteinte ORL plutôt rare Image pulmonaire exempte de lésions nodulaires et cavitations
Vasculites à ANCA: manifestations cliniques Syndrome de Churg-Strauss (CSS) Classiquement, on décrit 3 phases: Asthme, rhinite allergique +/- polypes nasaux, sinusites Début souvent plus tardif (>30 ans) Sévérité plus importante chez environ 50%, dans les semaines précédant la vasculite Précède en moyenne le Dx de CSS de 9 ans Eosinophilie, infiltrats pulmonaires Vasculite Il existe beaucoupe de chevauchement entre les stades toutefois
Vasculites à ANCA: manifestations cliniques Syndrome de Churg-Strauss (CSS) % • Infiltrats pulmonaires: 40 -70 • Hémorragie alvéolaires • Épanchements pleuraux • Atteinte neurologique: • Périphérique 50 -75 • SNC 8 • Peau 40 -70 • Gastrointestinal 30 -50 • Cœur 13 -23 • Rein 16, 5 jusqu’à 45 -50
Vasculites à ANCA: Induction par médicaments Propylthiouracil Allopurinol Hydralazine Minocycline ciprofloxacine Clozapine Penicilline Sulfasalazine phenytoine • Manifestations peuvent survenir quelques semaines à quelques mois après le début du médicament • Peuvent être légères à sévères, indissociables de celles rencontrées dans la granulomatose de Wegener • Notre expérience: manifestations cutanées, arthralgies/arthrite, uvéites représentent les manifestations les plus fréquentes
Comment les diagnostiquer?
Diagnostic • • • Clinique Laboratoire et radiologie Biopsie lorsque possible ANCA Exclusion de maladies infectieuses ou néoplasiques ou encore d’effets secondaires médicamenteux
Distinctions entre vasculites à ANCA et PAN vasculites à ANCA PAN Taille des vaisseaux Petits et moyens: artérioles, capillaires et veinules post capillaires moyens: petites et moyennes artères Manifestations pulmonaires OUI NON Glomérulonéphrite OUI NON Circulation artérielle rénale NON OUI Peau Purpura palpable, macules, Nodules sous-cutanés, ulcères, ischémie/gangrène digitale ANCA OUI (30 -90%) NON (0 -5%)
Churg-Strauss Wegener PAM rhinite allergique/asthme/ atopie ++ - - sinusites ++ ++ - + + + (cavitation) - Eosinophilie +++ + - Inflamm. granulomateuse + + - Infiltrats rétroorbitaires - + - Neuropathies ++ + + Glomérulonéphrite + ++ ++ Poumons: infiltrats nodules
Vasculites des petits et moyens vaisseaux Bilan sanguin: • Formule sanguine: – Leucocytose; (leucopénie plus rare, en particulier ds WG) – Anémie: chez jusqu’à 70% des patients avec WG – Thrombocytose: idem – Thrombopénie: rare dans WG • VS et CRP: – Tendent à suivre l’activité de la maladie, mais beaucoup de chevauchement • Microbiologie: – Cultures – Sérologies virales (Hép. B, C (cryoglobulines), VIH)
Radiologie: • Radiographies: – Poumons: • WG: Infiltrats interstitiels ou alvéolaires, parfois evanescents Nodules pouvant devenir cavitaires 34% des patients: infiltrats/nodules asymptomatiques • CSS: Infiltrats (surtout) evanescents chez 38 -70% Nodules: moins fréquents, moins tendance à cavitation Hémorragie alvéolaire: rare • PAM: Infiltrats alvéolointerstitiels 70%
Radiologie: • Radiographies: – Sinus: Peuvent être anormales même chez pts asymptomatiques: épaississements muqueux Mauvais examen: Sensibilité mauvaise Mauvaise définition spatiale Radiation élevée Avantageusement remplacé par CT scan sinus et orbites
Histopathologie: • Biopsie: – Dx: Idéalement toujours, si possible – Où: Selon organe touché – Wegener: (vasculite, nécrose, inflammation granulomateuse) – ORL: sinus: 55% muqueuse nasale: 20% larynx: 18% – Poumons: Bx ouverte: 91% BTB: 7% – Rein: glomérulonéphrite Utile pour l’immunofluorescence (DDx) inflammation granulomateuse: rare
c. ANCA p. ANCA
ANCA: algorithme de détection Immunofluorescence indirecte: 3 patrons c. ANCA (rehaussement cytoplasmique) p. ANCA (rehaussement périnucléaire Confirmation par ELISA ou RIA Anti-PR 3 Confirmation par ELISA ou RIA Anti-MPO a. ANCA (ANCA atypiques)
ANCA • Spécificité de combinaison c. ANCA/αPR 3 élevée • Spécificité de combinaison p. ANCA/ αMPO: 98% • Rarement, un patron c. ANCA est associé avec anti-MPO • Rarement, un patron p. ANCA est associé avec anti-PR 3 • Utilité clinique: • Diagnostique • Suivi de l’activité de la maladie (? )
Prévalence des ANCA selon le diagnostic • Granulomatose de Wegener – Diffus: 90% (c. ANCA 75 -85%) – Limité: 50 -65% – Rémission: 30 -35% • Polyangiite microscopique – 50 -80% (p. ANCA 60%) • Syndrome de Churg Strauss – 30 -70% (p. ANCA principalement)
ANCA: utilité diagnostique • Fonction de la probabilité pré-test VPP Manifestations ORL uniquement: 7 -10% Manifestations ORL-pulmonaires 45% Manifestations ORL-pulmonaires-rein 98% • Besoin d’exclure les conditions mimant des vasculites et pouvant être ANCA +. (Infections, médicaments) • Le résultat d’ANCA + n’est en soi que rarement suffisant pour confirmer un diagnostic de vasculite: Bx lorsque possible
Comment les traiter?
Granulomatose de Wegener: traitements • Cyclophosphamide et stéroïdes – 158 patients – Suivi moyen de 8 ans (6 mois à 24 ans) – Protocole: • Cyclophosphamide 2 mg/kg ad 1 an après rémission • Puis sevrage de 25 mg aux 2 -3 mois • Prednisone 1 mg/kg X 1 mois • Puis passage à jours alternés sur 2 -3 mois et lent sevrage par la suite – Résultats: • Amélioration importante (rémission partielle): 91% • Rémission complète: 75% Hoffman. Ann Intern Medicine (1991)
Granulomatose de Wegener : traitements – Toxicité: • Infections sévères: 46% • Cystite: 43% • Néoplasie de la vessie: 2, 8% • Myélodysplasie: 2% • Hypogonadisme (femmes): 57% • risque relatif : néoplasie: 2, 4 vessie: 33 lymphome: 11 • Effets secondaires des stéroïdes • Donc; morbidité reliée au traitement présente chez 42% pts – Rechutes: 50%
Granulomatose de Wegener : traitements • Besoin: réduire l’exposition des patients à la cyclophosphamide • Nouveau schéma: traitement d’induction avec cyclophosphamide suivi d’un traitement de consolidation avec agent moins toxique • Induction: – Cyclophosphamide 2 mg/kg pour 3 -6 mois – Prednisone 1 mg/kg pour 1 mois puis sevrage ad 0, pour une durée totale de stéroïdes de 6 mois Ou – Bolus • Doses: 600 -1000 mg/m 2 • Résultats: Taux de rémission: semblable à Cy p. o. Moins d’effets secondaires Taux de rechute plus élevé Hoffman. Am J Med (1990); 89: 403 -410 Guillevin. Arthritis Rheum (1997); 40: 2187 -2198
Granulomatose de Wegener : traitements • Consolidation: – Methotrexate: – Langford. Am J Med (2003); 114: 463 -469) – Étude ouverte prospective • 42 patients • Cy 2 mg/kg X 3 -6 mois + prednisone 1 mg/kg • Remplacement de Cy par MTX 0, 3 mg/kg/sem (max 15 mg) puis à 20 -25 mg/sem X 2 ans après rémission puis sevrage (2, 5 mg chaque mois) • Suivi médian: 32 mois suivant la rémission (5 -71) • Résultats: rémission: 100% rechute: 52% (médiane: 15 mois post rémission) 72% atteinte rénale Tous avaient cessés la prednisone (médiane 9 mois) 64% prenaient toujours mtx pleine dose
Vasculites à ANCA: traitements • Consolidation: – Azathioprine: • Étude CYCAZAREM réalisée par le groupe EUVAS; NEJM (2003); • Population avec PAM (62) et WG (93) = 155 • Protocole: – Prednisone 1 mg/kg – Groupe 1: Cyclophosphamide 2 mg/kg X 3 mois Puis remplacé par AZA X 15 mois – Groupe 2: Cyclophosphamide X 12 mois puis remplacé par AZA X 6 mois • Résultats: – Rémission: 92% – Rechutes: Cy: 17% À 18 mois AZA: 16%
Granulomatose de Wegener : traitements • Consolidation: – Mycophenolate mofetil (MMF) • Nowack. JASN (1999); 19: 1965 -1971 • Étude ouverte, 11 patients • MMF 2 g die • Résultats: – 15 mois après début MMF: rémission: 10 (95%) rechute: 1 Langford. (Arthritis Rheum Care research (2004); 51: 278 • Étude ouverte, 14 pts, MMF 1000 mg bid • Rémission 100%; rechute: 6/14 (43%) – Étude Improve (groupe EUVAS) en cours
Granulomatose de Wegener : traitements • Consolidation: – Trimethoprim-sulfamethoxazole (TMP-SMX) • Stegeman. NEJM (1996); 335: 16 -20 • • 81 patients avec WG, tous en rémission (médiane 13 mois) 41: TMP-SMX 40: placebo Résultats: à 24 mois: – Rémission maintenue : groupe TMP-SMX: 82% groupe placebo: 61% – Le seul bénéfice apparent est sur les affections des voies respiratoires supérieures. – Leflunomide: petite étude ouverte semble encourageante
ANCA+ VASCULITIDES NORAM, (EUVAS) n Comparison of CYC vs MTX for induction of remission in non-renal ANCA+ vasculitis n 100 patients n At 6 mo the remission rates were 89. 8% (MTX) and 93. 5% (CYC) Gracieuseté du Dr Loïc Guillevain
Relapse: MTX 69. 5% and CYC 45% NORAM. Preliminary results (K de Groot for the EUVAS) Gracieuseté du Dr Loïc Guillevain
Granulomatose de Wegener : traitements • Induction avec autres agents que cyclophosphamide (3) – TMP-SMX: • Stegeman. Clev Clin J Med (2002); 69 suppl II: 187 • 31 patients avec Dx confirmé par biopsie et n’ayant jamais reçu Tx – 14 avec atteinte ORL – 17 avec atteinte ORL, arthralgies, sclérite, lésions pulmonaires • Résultats: – Rémission complète : 18 pts – Rémission partielle: 9 pts – Progression de la maladie: 2 pts – Rechute: 11 patients (moyenne 14 mois (2 -32)) • Hoffman. Ann Intern Med (1992); 116: 488 -494 • 9 patients traités sans aucune rémission obtenue – Utilité demeure controversée comme agent d’induction; se limiterait au traitement de maladie des voies respiratoires seulement
Plasmaphérèse: MEPEX 123/150 patients Gracieuseté du Dr Loïc Guillevain
Vasculites à ANCA: Nouveaux traitements Agents anti TNFα: – Etanercept: • WGET: (NEJM (2005); 352: 351 -361) – Étude multicentrique – 180 patients: nouveau diagnostic ou rechute de granulomatose de Wegener – Traitements standard + placebo ou etanercept – But: maintien de la rémission
Nouveaux traitements: etanercept • Résultats: – Aucune différence dans • induction de rémission • maintien de rémission • taux de rechute • dose cumulative de prednisone 6 néoplasies solides dans groupe etanercept
Nouveaux traitements: infliximab Bartolucci P. Rheumatology (2002); 41: 1126 -1132
Vasculites à ANCA: traitements Polyangiite microscopique: Approche thérapeutique similaire à celle de la granulomatose de Wegener
Vasculites à ANCA: traitements • Syndrome de Churg-Strauss – Cesser inhibiteurs des leucotriènes – Prednisone – Cyclophosphamide, selon sévérité de maladie Guillevin. Arthritis Rheum (2001); 44 (suppl): s 56 • En l’absence de facteurs de mauvais pronostic, utiliser stéroïdes seuls – Rémission complète chez 76% – Pas de bénéfice à ajouter azathioprine ou cyclophosphamide (IV 0, 6 g/m 2) – Utiliser cyclophosphamide si échec à prednisone seule, ou si maladie sévère (plus d’expériences avec bolus)
FIVE FACTOR SCORE q Proteinuria > 1 gr/day q Creatininemia > 140 mmol /l q GI tract involvement q Specific cardiomyopathy q CNS involvement Gracieuseté du Dr Loïc Guillevain
Vascularites des moyens vaisseaux: PAN • Traitements: – Sans HBV: • Stéroïdes 1 mg/kg +/- agents cytotoxiques, selon sévérité • Cyclophosphamide si facteurs de mauvais pronostic – Avec HBV: • Stéroïdes et cyclophosphamide si atteinte sévère seulement • Plasmaphérèse • Agents antiviraux (αIFN ou lamivudine) Gayraud. Arthritis Rheum (2001); 44: 666 Guillevin. Arthritis Rheum (1998); 41: 2100
TREATMENT OF HBV-RELATED PAN CS LAMIVUDINE 100 mg/d 7 - 14 days 1 to 6 months Gracieuseté du Dr Loïc Guillevain
HBV-RELATED POLYARTERITIS NODOSA Gracieuseté du Dr Loïc Guillevain
HBV-RELATED POLYARTERITIS NODOSA Gracieuseté du Dr Loïc Guillevain
Dépistage des rechutes • Clinique • Examens de laboratoire à la recherche d’atteinte d’organes cibles • Exclusion des diagnostics alternatifs • ANCA?
ANCA: dépistage de l’activité de la maladie • Évalué surtout dans contexte de granulomatose de Wegener • Boomsma. Arthritis rheum (2000) – 100 pts avec Wegener ANCA+ (85: PR 3, 15: MPO) – Suivi sur 2 ans – Mesure des ANCA aux 2 mois – Résultats: • Rechutes: 37 pts titre avant rechute – Pts c. ANCA / PR 3: 33 31 (94%) – Pts p. ANCA / MPO: 4 3 (75%) VPP 71% 100% • Rechutes pouvant survenir quelques semaines à plus d’un an après la hausse des ANCA.
ANCA: dépistage de l’activité de la maladie • Boomsma. Arthritis rheum (2000) • Il existe une corrélation imparfaite avec l’activité de la maladie • La plupart des rechutes s’accompagnent d’une élévation du titre d’ANCA • Une hausse du titre des ANCA n’est pas suivie d’une rechute, chez une proportion importante des patients (29%) – Le titre d’ANCA n’est pas un indicateur suffisant pour guider la thérapie. • Si positivation après avoir été négatif Suivre patient de • Si augmentation du titre plus près
Conclusions • Le traitement conventionnel des vasculites systémiques procure une rémission chez la plupart des patients. • Le taux de rechute demeure élevé au sevrage des médicaments quels qu’ils soient • La morbidité attribuable à la médication est élevée • L’utilisation de protocoles d’induction et de consolidation permet de minimiser l’emploi de cyclophosphamide et de hautes doses de stéroïdes de façon prolongée • L’utilisation d’immunosuppresseurs autres que le cyclophosphamide pour induire une rémission clinique est appropriée dans certaines circonstances • Pour ce faire, il importe de déterminer le degré d’activité et la sévérité de la maladie
Regroupements pour l’étude des vasculites systémiques EUVAS: European vasculitis study group www. vasculitis. org FVSG: French Vasculitis Study Group www. vascularite. com INSSYS: International network for the study of systemic vasculitides www 2. ccf. org/inssys Que vas dis? (Quebec vasculitic diseases study group) Che Que vara? (Check the Quebec vasculitis research association) Patrick. Liang@USherbrooke. ca
MERCI
Conclusions: vascularites: chez qui suspecter? • Manifestations multisystémiques inexpliquées – Exclusion de: Infections (bactériennes (endocardite), mycoses, virales Néo: carcinomes, lymphomes, myélodysplasie, leucémie Emboliques: valvulopathie: myxome, endocardite marantique, Libman-Sacks, cholesterol Coagulopathies, PTT Médicaments Calciphylaxie Sarcoïdose – Vascularites secondaires: causes ci-haut, collagénoses • Syndrome clinique caractérisé
Traitement des rechutes • Mineures: (arthrite, purpura, otite séreuse, éosinophilie) – augmenter stéroïdes • Sévères: – Corticothérapie et immunosuppresseurs • si rechute survient sous immunosuppresseurs, augmenter la dose ou changer d’agent. • Si rechute survient après discontinuation d’immunosuppresseur: stéroïdes et même immunosuppresseur, ou nouvel agent, selon sévérité de l’atteinte. • Thérapie anti-virale si PAN-HBV
Annexes
Annexes
Vasculites à ANCA: Traitements • Divisé en phases d’induction de rémission et consolidation • Induction: prednisone (1 mg/kg) agents cytotoxiques: cyclophosphamide pour manif sévères MTX, ou Imuran lorsque intégrité d’organe ou la vie ne sont pas compromises • Consolidation: – Changer cyclophosphamide pour MTX ou Imuran à 3 -6 mois si rémission atteinte • Durée traitement: au moins 1 an après obtention de la rémission; puis débuter sevrage cytotoxiques. • Pronostic: rémission chez la plupart rechutes chez jusqu’à 50% Dommages séquellaires à la maladie ou aux traitements Risque de malignité
Vascularites: bilan 1) Exclure infections: Cultures, echocardiaque, sérologies virales (hépatites) 2) Exclure néoplasies: selon âge et selon indices cliniques 3) Exclure coagulopathies (par exemple, si manifestation ischémiques) 4) Exclure collagénoses: selon manifestations cliniques (pas d’indication de demander toutes les sérologies en l’absence de faible probabilité pré test) 5) Exclure médications causales, y compris agents sympathomimétiques 6) Analyse et sédiment urinaire: chez tout patient avec mx multisystémique 7) Biopsie: toujours, lorsque possible 8) Imagerie: CT, angiographie, IRM: selon syndrome clinique
Granulomatose de Wegener : traitements • Induction avec autres agents que cyclophosphamide (1) – Methotrexate: • Sneller. Arthritis Rheum (1995); 38: 608 -613 • • 42 patients avec WG, sans danger imminent vital 50% avec glomérulonéphrite, créatinine < 175 μmol/L Prednisone 1 mg/kg MTX 20 -25 mg/sem maintenu 1 an après obtention rémission puis sevrage • Résultats: – Rémisison: 71% (médiane: 4, 2 mois) – Rémission partielle: 83% – Patients avec GN: 20/21 en rémission – Rechutes: 52%: médiane: 29 mois Stéroïdes avaient été cessés chez tous 79% des pts: MTX cessé ou ≤ 15 mg/sem
Vasculites à ANCA: traitements • L’avenir: – Agents anti TNFα: • Etanercept: – Étude pilote: » 20 patients avec maladie active de façon persistente ou souffrant de rechute malgré traitements standards » Etanercept ajouté aux traitements en cours (chez 14 patients, l’etanercept fut le seul ajout) » Obtention de BVAS de 0 chez 80% » Rechutes chez 15 patients: 10 légères, 3 sévères, 2 maladie de l’orbite – WGET: » Étude multicentrique » 180 patients » Traitements standard + placebo ou etanercept » But: maintien de la rémission Stone J. Arthritis Rheum (2001); 44: 1149 -1154
Vasculites à ANCA: traitements – Agents anti TNFα: • Infliximab: – Petites études ouvertes au cours desquelles infliximab a été utilisé pour traiter des patients avec maladies réfractaires – Résultats très encourageants – Anticorps anti-CD 20