VARS TEDAVS DR EROL AKSUNGUR UKUROVA NVERSTES TIP
























































- Slides: 56
VARİS TEDAVİSİ DR. EROL AKSUNGUR ÇUKUROVA ÜNİVERSİTESİ TIP FAKÜLTESİ RADYOLOJİ AD
HASTALIK YOKTUR HASTA VARDIR
1. HASTA
27 Y KADIN • Şikayet: Sağ bacakta ağrı, gece krampları, damarlarda belirginlik • Öykü: Şikayetleri 10 yıldır mevcut • Soy geçmiş: Amca ve amca çocuklarında varis • Hasta kaygısı: Medikal ve kozmetik
MUAYENE • BMI normal standartlarda (20, 07) • Sağ uyluk anterior ve baldır medialinde variköz venler • Sağ ayak bileğinde fokal pembe pigmentasyon • Sol uyluk posterior kesminde az sayıda telenjiektazik ve retiküler venler
RDUS • Her iki BSV’de >3 sn reflü • Sağda uyluk anterior, baldır medial kesiminde BSV’ye katılan varisler • Solda uyluk posteriorunda BSV ile ilişkili retiküler ve telenjiektazik venler
S 1. Tedavi planınız nedir?
SINIFLAMA SAĞ SOL CEAP C 4 a. Ep. As. Pr C 1 Ep. A 0 P 0 VCSS 4 0 HŞS 3 0 AĞRI SKORU 6 0
TEDAVİ • İşlem öncesi topikal anestezi (EMLA krem) • Sağ BSV’ya EVLA: 15 watt/980 nm (dizüstü: 100 joule/cm, dizaltı: 80 joule). 8 -10 ml/cm tümesan anestezi • Sol uyluktaki telenjiektazik – retiküler venlere köpük skleroterapisi %0, 5’lik polidokanol
S 2. Nasıl takip edelim?
TAKİP VE MEDİKASYON • 1. hafta, 3. ay ve 1. yıl muayene ve RDUS • Üç hafta Class II kompresyon çorabı • Mobilizasyon: Düzenli yürüyüş, yüzme veya bisiklet sürme • Medikasyon: ▫ Augmentin 1000 mg : 2 x 1 (5 gün) ▫ Dolorex 50 mg : 3 x 1 (İlk hafta) ▫ Hirudoid jel krem
2. HASTA
43 Y KADIN • Şikayet: Sağ bacakta ağrı, yanma, karıncalanma, uyuşma, gece krampları, damarlarda belirginlik • Öykü: 17 yıldır şikayetleri mevcut, multipar • Özgeçmiş: Hipertansif • Hasta kaygısı: Medikal
MUAYENE • İleri derecede obez (BMI: 35, 75) • Uyluk medial, anterior ve lateralinde baldıra uzanan variköz venler • CEAP: C 2, VCSS: 4, HŞS: 7, AĞRI SK: 8
S 1. Hangi tip yetmezlik düşünürsünüz?
RDUS • Sağ BSV’nin proksimal kesminde belirgin genişleme (11 mm) • Uyluk orta kesimde BSV’ye katılan tortiyoz anterolateral dal (9 -10 mm) • BSV proksimali ve trunkal dalda reflü >3 sn
S 2. Nasıl tedavi edersiniz?
TEDAVİ • EVLA: BSV’ye dizüstü girim (100 joule/cm) • Eş zamanlı, çoklu girim ile köpük skleroterapisi
S 3. Nasıl takip edelim?
TAKİP VE MEDİKASYON • 1. hafta, 3. ay ve 1. yıl muayene ve RDUS • Dört hafta class II kompresyon çorabı • Mobilizasyon: Düzenli yürüyüş, yüzme veya bisiklet sürme • Diyetisyene başvurması önerildi • Medikasyon: ▫ Augmentin 1000 mg : 2 x 1 (5 gün) ▫ Dolorex 50 mg : 3 x 1 (İlk hafta) ▫ Hirudoid jel krem
3. HASTA
35 Y ERKEK • Şikayet: Sol bacakta ağrı, damarlarda belirginlik • Öykü: Beş yıldır şikayetleri mevcut. Bilateral BSV yetmezliği nedeniyle 6 ay önce EVLA tedavisi • Soygeçmiş: Baba, abla ve teyze venöz yetmezlik nedeniyle kliniğimizde tedavi edildi • Hastanın kaygısı: Medikal ve kozmetik
S 1. Ne tür yetmezlik düşünürsünüz?
RDUS • Bilateral BSV fibrotik, KSV normal • Sol uyluk posteriorunda perforan ven yetmezliği PV 5 mm
S 2. Nasıl tedavi edersiniz?
TEDAVİ • EVLA: PV’in ekstra-intrafasiyal segment ablasyonu • Eş zamanlı köpük skleroterapisi: 1 ml %2’lik polidokanol
4. HASTA
22 Y KADIN • Şikayeti: Sağ bacakta ağrı, erken yorulma, şişlik, damarlarda belirginlik • Öykü: 5 yıldır şikayetleri mevcut, 2 doğum yapmış • Özgeçmiş: • Soygeçmiş: Annede varis • Hasta kaygısı: Medikal ve kozmetik
MUAYENE VE RDUS • Sağ BSV yetmezliği ve ilişkili variköz venler • Sağ popliteal fossa ve uylukta retiküler venler • Sol ayak bileği düzeyinde retiküler venler • C 3 Ep. As. Pr, VCSS: 4, HŞS: 4, Ağrı skoru: 6 (Sağ) • C 1 Ep. As. Pr, VCSS: 0, HŞS: 0, Ağrı skoru: 0 (Sol)
S 1. Nasıl tedavi edersiniz?
TEDAVİ
1. YIL KONTROL • Sağ BSV fibrotik, BSV komşuluğunda variköz venler • Sol BSV’de dizaltı segmenter yetmezlik ve varisler • Sol uylukta nontrunkal varisler(gonadal? ) • C 3 Ep. As. Pr, VCSS: 4, HŞS: 6, Ağrı skoru: 6 (sağ) • C 3 Ep. As. Pr, VCSS: 4, HŞS: 6, Ağrı skoru: 0 (sol)
S 2. Tekrar tedavi uygulanmalı mı?
TEDAVİ VE KONTROL
Varisler büyük oranda oklüze ancak hasta mutsuz, şikayetlerini tam ifade edemiyor veya biz anlamıyoruz. S 3. Başka bir sorunu olabilir mi?
AYRINTILI DEĞERLENDİRME • Adet öncesi ağrılar artıyor. Sadece bacakta değil kasık ve alt karın bölgesinde de ağrıları mevcut • Karın alt bölgesinde dolgunluk hissi, sık idrara çıkma, disparoni • Muayene: Sağda belirgin genital varisler
S 4. Ne düşünürsünüz?
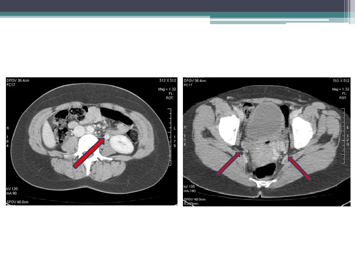
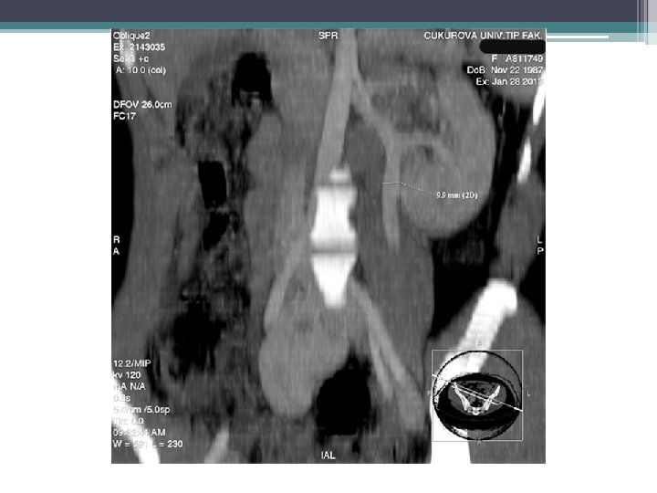
GONADAL VEN EMBOLİZASYONU
GONADAL VEN EMBOLİZASYONU
GONADAL VEN EMBOLİZASYONU
5. HASTA
35 Y KADIN • Şikayeti: Menstrüasyonla artan bacak ve alt karın ağrısı, disparoni, bacakta yanma ve şişlik, damarlarda belirginlik • Öykü: 10 yıldır şikayetleri mevcut, 2 doğum yapmış • Soygeçmiş: Annede varis • Hasta kaygısı: Medikal • RDUS: Her iki kasıkta nontrunkal varisler (gonadal? ) • CEAP: C 2, VCSS: 2, HŞS: 7, AĞRI SK: 7
S 1. Ne yapalım?
Ovaryan seröz kistadenom
6. HASTA
55 Y ERKEK • Şikayeti: Bilateral bacak ağrısı, yanma, kaşınma, uyuşma, gece krampları, damarlarda belirginlik, pigmentasyon • Öykü: 20 yıldır şikayetleri mevcut, Emekli teknisyen • Özgeçmiş: 17 yıl önce varis operasyonu • Soygeçmiş: • Hasta kaygısı: Medikal
RDUS • Sağ AA-SV de yetmezlik ve bununla ilişkili uyluk ve baldır anteriorunda varisler • Sol BSV yetmezliği ve baldır medial kesiminde varisler • Sol KSV yetmezliği ve ilişkili posteriomedial varisler • Sağ BSV izlenmedi (opere). Derin ve perforan venler doğal
TEDAVİ • Sağ AA-SV, sol BSV ve KSV’ye EVLA • Sağ uyluk-baldır anteriorundaki varislere %3’lük polidokanol ile KS
ACİL BAŞVURU (1. ay) • ŞİKAYET: Sol bacakta şişlik, ciddi ağrı, hareket kısıtlaması • RDUS: Sol eksternal iliak, ana femoral ven proksimalinde nonkanalize akut tromboz
VENOGRAFİ
ASPİRASYON TROMBEKTOMİ VE TROMBOLİZİS SONRASI