Varit des cellules eucaryotes Cellule animale Eucaryote unicellulaire

















- Slides: 17
Variété des cellules eucaryotes • Cellule animale • Eucaryote unicellulaire • Cellule végétale Eucaryote pluricellulaire
Les organites cytoplasmiques membraneux d’une cellule eucaryote animale
Constitution des cellules eucaryotes animales • • • Mitochondries Réticulum endoplasmique (rugueux et lisse) Appareil de Golgi Lysosomes Centrioles Cytosquelette • Flagelle • Membrane plasmique • Noyau
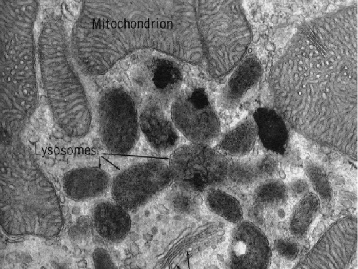
1. Mitochondries (p. 35) • Description ØOrganite ressemblant à une fève possédant: -membrane externe -membrane interne (crêtes) -matrice mitochondriale ØSe divisent de façon autonome = scission • Fonctions ØProduction de l’énergie de la cellule par respiration cellulaire (ATP)
2. Réticulum endoplasmique (p. 42) • Description Ø Prolongement de la membrane nucléaire (simple membrane) Ø S’étend dans tout le cytoplasme (labyrinthe) Ø 2 types: a) Réticulum endoplasmique rugueux (granuleux) b) Réticulum endoplasmique lisse
2 types de réticulums endoplasmiques Rugueux Description Fonctions Lisse • Citernes • Ribosomes sur sa face externe • Sacs et tubules • Aucun ribosome • Production des protéines • Usine à membrane (protéines intégrées, phospholipides et cholestérol) • Vésicule de transport • Synthèse des lipides (cholestérol, phosphoglycérolipides, stéroïdes) • Absorption, et transport des lipides (intestin) • Détoxification (médicaments, drogues, alcool) • Emmagasiner les ions calcium (r. sarcoplasmique) • Vésicule de transport
3. Appareil de Golgi (p. 42) • Description Ø Simple membrane Ø Entouré de vésicules Ø Formé de plusieurs dictyosomes (saccules aplatis) • Fonctions Ø Recevoir les lipides et les protéines du R. E. et les réexpédier, après transformation et tri, vers un certain nombre de destinations internes et externes (exocytose) exocytose à la cellule dans des vésicules de sécrétion Ø Formation des lysosomes
4. Lysosomes (p. 42) • Description: Ø Sacs membraneux (simple membrane) Ø Contiennent un mélange d’enzymes digestives • Fonctions: L’estomac de la cellule !!! ØDigestion intracellulaire des substances nutritives ØDigestion des substances étrangères (bactéries) ØDigestion des composantes endommagées de la cellule ØAutolyse : Autodigestion de la cellule
Formation, emballage et sécrétion de protéines
Cils et flagelles Flagelle : Propulse les spermatozoïdes Cils : Déplacent des substances à la surface de la cellule Ex: mucus des voies respiratoires
Cytosquelette • Rôle dans la motilité cellulaire (cils et flagelles) • Charpente de la cellule (maintien de sa forme)