v Mtodo diagnstico por imagem mais utilizado v











































- Slides: 43
v Método diagnóstico por imagem mais utilizado v Baixo custo e disponibilidade universal v Pneumologia: dados clínicos + exame físico + Rx = diagnóstico na maioria dos casos
Considerações Técnicas v Raios X são divergentes v Distância mínima necessária • reduz tamanho das estruturas • melhora nitidez Ideal 1, 80 m de distância entre o tubo de Rx e o filme v
v Póstero - anterior v Antero - posterior v Perfil v Oblíquas v Decúbito lateral com raios horizontais v Ápico - lordótica
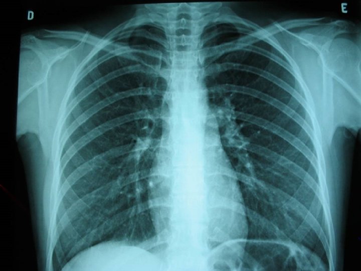
PA AP
PA AP
Perfil
Decúbito lateral com raios horizontais
Posição ápico - lordótica
Axial
Reconstrução coronal
Reconstrução coronal
Reconstrução sagital
Por que é possível visualizar tantas estruturas?
Pulmão - 800 UH Gordura - 120 UH Líquido 0 UH Músculo 40 UH Osso 350 UH UH = unidades Hounsfield Osso absorve mais radiação radiopaco Ar absorve menos radiotransparente
9 1 11 2 3 10 12 4 5 6 7 8
Critérios de qualidade 1. Centrado v Escápulas projetadas para fora dos campos pulmonares v Extremidades mediais das clavículas eqüidistantes da apófise transversa 2. Penetração adequada v Corpos vertebrais bem visíveis acima da sombra cardíaca v Atrás do coração, deve-se ver, no máximo, esboço da coluna torácica 3. Grau de inspiração v v Apnéia após inspiração máxima 9 a 11 arcos costais posteriores sobre os campos pulmonares
Radiograma padrão
Inspiração adequada Inspiração inadequada
Interpretação do Rx tórax - PA 1. Sistematizar interpretação Abdome superior Tórax Mediastino Pulmão unilateral Pulmão comparativo
Interpretação do Radiograma tórax - PA 1. Sistematizar interpretação Abdome superior Tórax Mediastino Pulmão unilateral Pulmão comparativo
Interpretação do Radiograma tórax - PA 1. Sistematizar interpretação Abdome Tórax Mediastino Pulmão unilateral Pulmão comparativo
Interpretação do Radiograma tórax - PA 1. Sistematizar interpretação Abdome Tórax Mediastino Pulmão unilateral Pulmão comparativo
Limites do Mediastino À direita - Linha paravertebral - Veia braquiocefálica - VCS ou aorta ascendente - Silhueta do AD
Limites do Mediastino À esquerda - Linha paravertebral - A. subclávia E - Botão aórtico - Arco médio da pulmonar - Silhueta do VE
Interpretação do Radiograma tórax - PA v Hilos radiológicos Artérias lobares praticamente Hilo D é mais baixo e de mais fácil visualização que o E A artéria interlobar D tem no máximo 1, 6 cm de diâmetro
Interpretação do Radiograma tórax - PA 1. Sistematizar interpretação Abdome Tórax Mediastino Pulmão unilateral Pulmão comparativo
Índice cárdio - torácico ICT = DC/DT <0, 5 Inoue K et al. Gerontology 1999; 45: 53
Radiograma em Perfil
Interpretação do Radiograma tórax - Perfil Sinal da coluna v coluna dorsal mais visível de cima para baixo v maior quantidade de músculos na parte superior do tórax v menor volume de ar pulmonar nesta região