Utilit e appropriatezza delle indagini genetiche nella diagnosi



















































- Slides: 51
Utilità e appropriatezza delle indagini genetiche nella diagnosi precoce di demenza Valentina Bessi AOU-Careggi SOD Neurologia I NEUROFARBA – Università di Firenze
2016 f. AD f. FTLD http: //www. molgen. ua. ac. be/ADMutations/ f. AD Familial Alzheimer’s Disease f. FTLD Familia Frontotemporal Lobe Degeneration
Clinical Phase II/III Study Population Subjects who are either known to have a mutation causing Alzheimer’s disease OR who do not know their gene status but are “at-risk” for a dominantly inherited Alzheimer’s disease (DIAD) mutation AND who are either 1) cognitively normal and are between 15 years younger (-15) to 10 years older (+10) than their expected age at symptom onset or 2) have mild symptoms of dementia (CDR 0. 5 or 1) and are within 10 years of the onset of symptoms of dementia Study Design three study drug arms (gantenerumab, solanezumab and atabecestat) and each enrolled subject have been randomized to active drug or the corresponding placebo.
172 individui da famiglie portatrici con anomalie genetiche nei geni C 9 ORF, MAPT, GRN Sviluppare marcatori che possano identificare la patologia negli stadi precoci o marcatori di progressione della malattia
2011
Macleod et al.
Protocollo Consulenza Genetica
La consulenza genetica può essere effettuata su: Pazienti con una storia familiare suggestiva di causa genetica autosomica dominante di AD o FTLD
Come si definisce una storia familiare positiva, quindi meritevole di una indagine genetica?
indipendentemente dall’età di esordio
<65 anni
Protocollo di consulenza genetica Paziente PRIMO INCONTRO Il test genetico per soggetti sintomatici ha finalità diagnostica cioè di identificare la causa genetica della malattia e confermare la diagnosi di AD e FTLD SECONDO INCONTRO TEST GENETICO POST-TEST FOLLOW-UP Figure professionali coinvolte Spiegazione informativa sulla patologia al paziente, dei possibili risultati, ricostruzione dell’albero genealogico Consenso del paziente al prelievo e prelievo Genetista Neurologo (Psicologo/Psichiatra) Biologo Genetista Neurologo (Psicologo/Psichiatra)
Soggetto a rischio protocollo di consulenza genetica Figure professionali coinvolte Spiegazione informativa sulla patologia, scenari attesi; tipologia di restituzione; spiegazione consenso informato PRIMO INCONTRO Genetista Neurologo Psicologo/Psichiatra 1 mese Ripresa del colloquio per giungere alla decisione, indagine della motivazione a proseguire SECONDO INCONTRO SE C’E’ VOLONTA’ di PROSEGUIRE Valutazione CLINICA, NEUROPSY PERSONALITA’ TERZO INCONTRO si firma il consenso informato e si fissano/eseguono le valutazioni Restituzione clinica/psicologica prelievo Test genetico 2 mesi al MAX Post-Test Follow-up Restituzione risultato del test: referto scritto + spiegazione verbale di persona 1 settimana: contatto telefonico 1 mese 6 mesi 12 mesi Genetista Neurologo Psicologo/Psichiatra Test Valutazione CLINICA, NEUROPSICOLOGICA e PERSONALITA’ + Valutazione ANSIA/DEPRESSIONE Neurologo Psicologo/Psichiatra Genetista (a disposizione: Psicologo/Psichiatra Genetista) Genetista Neurologo Psicologo/Psichiatra Valutazione ANSIA/DEPRESSIONE Genetista Neurologo Psicologo/Psichiatra Valutazione CLINICA, NEUROPSICOLOGICA e PERSONALITA’ + Valutazione ANSIA/DEPRESSIONE
Quali mutazioni ricercare per prime?
Mod. da Meeter et al. 2017
EOFAD show CMRglc reductions before symptoms - Presymptomatic PS-1 FAD (n=7) vs matched controls (n=7) - Age 35 -49 yrs, education>10 yrs, MMSE 29 -30, CDR=0 - MRI and FDG-PET scans Studiare chi si ammalerà F, 42 yrs, MMSE 30, CDR 0 PS-1: F, 35 yrs, MMSE 30, CDR 0 13 yrs before expected onset age Mosconi et al, J Nucl Med 2006
• MM, destrimane, laurea in Scienze Naturali. Insegnante di matematica alle scuole medie Genitori deceduti in età avanzata, in assenza di deterioramento mentale. • All'età di 46 -47 anni la paziente ha cominciato a manifestare difficoltà nell'associazione di nomi e volti dei genitori dei propri alunni, poi degli alunni stessi. Due fratelli deceduti prematuramente. Abbiamo descritto il caso di una SD apparentemente sporadica a insorgenza precoce portatrice di una mutazione nel gene MAPT. Penetranza incompleta? Decritta in alcune mutazioni gene MAPT
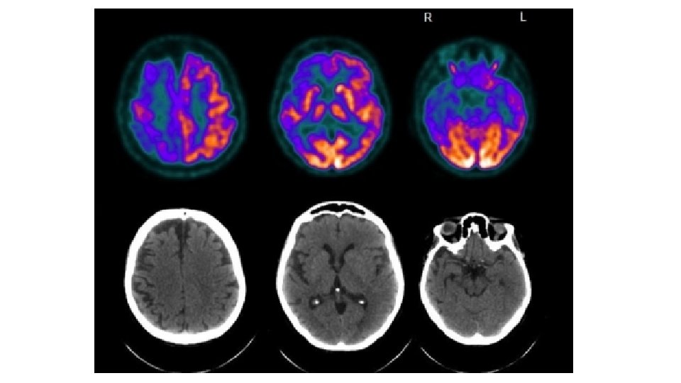
58 anni, decadimento cognitivo rapidamente ingravescente associato a disturbo del comportamento, sintomi psichiatrici precoci, anterocollis Indagini strumentali e laboratoristiche da AD “The clinical course, especially the relatively early-onset (58 years) and rapid course of deterioration suggested the study of the genetics of familial AD» .
PP donna di 57 anni • Dall’età di 56 anni circa riferisce comparsa graduale di disturbo del linguaggio con tendenza ad “incepparsi” e ad interporre sillabe sbagliate all’interno delle parole; la sintomatologia ha avuto un decorso lievemente ingravescente. • Non storia familiare di demenza o disturbo del linguaggio
Valutazione neuropsicologica: • lieve compromissione delle funzioni esecutive e della memoria di lavoro • dubbia riduzione delle abilità visuo-spaziali, che tuttavia potrebbe essere secondaria al deficit esecutivo in termini di una difficoltà di programmazione; • il disturbo preponderante appare comunque il disturbo del linguaggio che si evidenzia perlopiù in eloquio spontaneo piuttosto che nelle prove specifiche e che interessa gli aspetti fonologici del lessico (numerose parafasie e conduites d’approches fonologiche, ma non anomie), con minime alterazioni nella produzione di alcuni complessi consonanti e dittonghi (dubbia speech apraxia) e lievi alterazioni prosodiche, oltre ad un minimo interessamento della componente grammaticale (prevalente in comprensione), ma apparente integrità della parte semantica. PPA variante non fluente-agrammatica
Marcata asimmetria “GRN mutations tend to cause more asymmetric atrophy and hypometabolism than is seen in sporadic Frontotemporal Dementia or in MAPT or C 9 orf 72 mutations”
Take home message • Il test genetico per: Pazienti con una storia familiare suggestiva di causa genetica autosomica dominante di AD o FTLD (test diagnostico) • Fornito da un team multidisciplinare secondo un protocollo armonizzato e strutturato per il test genetico e per la consulenza. • • Valutazione step by step per le analisi genetiche da effettuare in base alla storia familiare, alla presentazione clinica, alle indagini strumentali e di laboratorio (es. biomarcatori liquorali). . • Importanza dell’analisi genetica anche in casi apparentemente sporadici (esordio presenile, in particolare se <60 anni, presentazione atipica) per il corretto inquadramento diagnostico
Prof. Sandro Sorbi Physicians Valentina Bessi Camilla Ferrari Gemma Lombardi Giulia Lucidi Salvatore Mazzeo Federica Terenzi Marco Carraro Neuropsychologists Sonia Padiglioni Cristina Polito Laboratory of Neurogenetics Prof. Benedetta Nacmias Silvia Bagnoli Irene Piaceri
FLO 66 with the TREM 2 p. D 87 N (G > A). Segregazione non completa
Algoritmo per il test genetico per AD e FTLD 2018
Il test genetico • nei pazienti sintomatici si usa per confermare la diagnosi clinica (TEST DIAGNOSTICO) • in familiari cognitivamente integri di pazienti con mutazioni identifica i soggetti che svilupperanno la malattia nel futuro (TEST PREDITTIVO)
Eterogeneità clinica in AD familiare • Mioclono, crisi epilettiche • Presentazione non amnesica (afasia, agnosia visiva, alterazioni comportamentali)
Reggio Emilia (Torino)
Importanza dell’analisi genetica anche in casi apparentemente sporadici per il corretto inquadramento diagnostico
FAMIGLIA “Z” 1724 -VI 1755 1754 -V 1793 -IV 1796 1819 -III 1822 1851 1842 -II 1876 1882 I 1888 1885 2 1910 II 1913 1 1915 1918 3 2 1914 1922 4 5 1917 6 1920 7 1923 8 1913 1929 9 10 1919 11 12 III 1 2 3 1934 1940 probande 4 1942 5 1943 6 1960 7 1945 8 1950 9 1953 10 1953 11 1942 12 1944 13 1947 14 1951 15 1959 16 17 18
GRN Cys 139 Arg: due casi discordanti • Stessa mutazione, fenotipo simile di tipo AD ma marcatori biologici diversi • Il primo paziente, con substrato biologico tipo AD, è simile ai casi descritti precedentemente (Redaelli et al. , 2018) • Il secondo paziente non sembra avere un substrato biologico AD Il ricorso sistematico all’analisi genetica anche nei casi sporadici è importante per una diagnosi corretta
Cacace et al.
Plevani et al. 2014
Only genetic cases have predictable pathology Meeter et al. 2017
Studiare chi si ammalerà PS 1 - F, 35 yrs, MMSE 30, CDR 0 F, 42 yrs, MMSE 30, CDR 0 PS 1 M 40 yrs, MMSE 30, CDR 0 B e C. = RMN e PET di due soggetti di di 35 e 40 anni portatori di una mutazione per la demenza ereditaria senza sintomi clinici. Mosconi et al, J Nucl Med 2006
Nature Genetics 4, 10 (1993) APP 717 and Alzheimer's disease in Italy Sandro Sorbi, Benedetta Nacmias, Paolo Forleo, Silvia Piacentini, Leandro Provinciali, Luigi Amaducci
An overview of genes which have been implicated in Alzheimer’s disease to date. Lane, Hardy and Schott, 2017
Nei familiari a rischio asintomatici il test predittivo offre: • • • la possibilità di valutare il proprio rischio personale, di permettere di organizzare le proprie vite di intraprendere scelte di cura informate e/o scelte riproduttive far fronte emotivamente con il rischio genetico riducendo l’incertezza sul proprio stato e di focalizzarsi sulla pianificazione del futuro Binetti et al. , 2006; Goldman et al. 2011, Goldman JS 2012
D’altra parte…. • può innescare una risposta psicologica negativa, come depressione grave, ansia, anche ideazione suicidaria • Da una prospettiva socio/legale potrebbero esserci problemi di potenziale discriminazione genetica… Le attuali linee guida per AD e altre demenze ereditarie raccomandano che il test genetico debba essere offerto con una appropriata procedura di consulenza genetica Goldman et al. 2011,
Albero genealogico di una famiglia affetta da Malattia di Alzheimer (mutazione PS 1)
I soggetti a rischio cognitivamente integri possono essere sottoposti al test genetico solo dopo la prova della presenza di una mutazione in un familiare sintomatico di primo grado.