Usages de leau alimentation boisson prparation des repas
Usages de l’eau • alimentation : boisson, préparation des repas, . . . • hygiène : toilette, entretien des locaux, … • soins : lavage des mains, balnéation, traitement des dispositifs médicaux, hémodialyse, … • technique : stérilisation, blanchisserie, automates, chauffage, traitement de l’air, …
Eaux destinées à la consommation humaine toutes les eaux, qui soit en l’état, soit après traitement, sont destinées à la boisson, la cuisson, la préparation des aliments ou à d’autres usages domestiques (hors eaux minérales naturelles)
Critères de qualité ne pas contenir un nombre ou une concentration de micro-organismes, de parasites ou de toutes autres substances constituant un danger potentiel pour la santé des personnes. quantifier une substance ou un micro-organisme non spécifié et évaluer le risque sanitaire
Critères de qualité • être conformes aux limites de qualité pour des paramètres présentant un risque sanitaire immédiat ou à plus long terme • satisfaire à des références de qualité pour des indicateurs témoins du fonctionnement des installations, à l’origine d ’inconfort ou de désagrément pour le consommateur • aux robinets utilisés pour la consommation
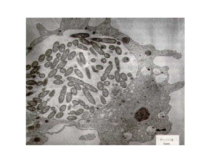
Contaminants microbiens • • Pseudomonas aeruginosa Legionella pneumophila Protozoaires (amibes libres, …) Aeromonas hydrophila Mycobactéries non tuberculeuses Cryptosporidium parvum Giardia lamblia …
Pseudomonas aeruginosa • bactérie aquicole et ubiquiste (eaux douces, sol, végétaux, eau d’alimentation) • exigences nutritionnelles faibles • croissance : 4°- 43°C (optimum 42°C) • pathogène opportuniste (infections cutanées) et nosocomial (infections de plaies, pneumopathies, ostéoarthrites, méningites, septicémies, …) • germe témoin de contamination environnementale : Ets de santé (alimentaire, soins), piscines médicales, bains à remous
Legionella pneumophila • bactérie aquicole et ubiquiste (eaux de surface, sols humides, eau d’alimentation) • croissance : 20° et 43°C (optimum : 32 -35°C), favorisée par tartre, fer, sédiments, et association avec cyanobactéries, algues ou protozoaires • pathogène opportuniste : pneumonie aiguë • germe témoin de contamination environnementale (eau chaude, bains à remous, brumisateurs, TAR humides)
Nombre de cas déclarés de légionellose en France
Adhésion d’une bactérie à une surface et formation du biofilm
• Mode de contamination – Inhalation de micro gouttelettes d’eau inférieures à 5 µm diffusées en aérosol par pulvérisation – pas de transmission inter humaine Micro-gouttelettes d’eau
Les réseaux d’eau chaude sanitaires • Les réseaux d’eau chaude sanitaire – – – Douches Bains bouillonnants Bains à jets Bassins à remous Les humidificateurs d’air à gouttelettes d’eau • Lieux concernés – Etablissements de santé – Etablissements thermaux – Maisons de retraite – Camping – Hôtels – Piscines
Les tours aéroréfrigérantes
Un double objectif 1. Prévenir le risque de brûlures profondes de la peau 2. Maîtriser la prolifération des légionelles
Les réseaux d’eau chaude sanitaires Prévention à 3 niveaux : maîtrise de la température lutte contre l ’entartrage et la corrosion A la conception des installations lutte contre la stagnation de l’eau Lors de la maintenance et de l’entretien
Prévention de la prolifération des légionelles dans les établissements de santé et établissements recevant du public Règles de conception et de maintenance 16
Les réseaux d’eau chaude sanitaires • Objectif – Produire et distribuer l’eau à 60°C – Calorifuger les réseaux d’eau chaude pour ne pas réchauffer le réseau d’eau froide et pour limiter les déperditions pertes thermiques – Elaborer des plans de réseaux – Mettre en place un carnet sanitaire pour le suivi et la maintenance des installations de production et de distribution d’eau chaude
Production et distribution à caractère familial d'eau chaude • Production – par accumulation (ballon électrique, ou gaz) – instantanée (chauffe-eau) • traitement associé : adoucisseur par résines échangeuses d’ions en fonction de la dureté de l’eau • Distribution – distribution de l’eau chaude produite aux alentours de 55°C – circuit de distribution très court – mitigeage de l’eau au point d’usage
Production individuelle d’eau chaude production instantanée Par accumulation
Production et distribution à caractère collectif d'eau chaude • Production – par accumulation (ballon électrique, stockage, distribution) – par échangeur à plaques – semi- instantanée (couplage d'un échangeur à plaques + ballon de faible capacité) • traitement associé : adoucisseur par résines échangeuses d’ions • Distribution – le circuit de distribution est très long. Ne dispose pas toujours d’un retour de boucle. Nécessite un équilibrage et un calorifugeage – Présence de bras morts
Lutter contre la stagnation de l’eau • Supprimer les ballons de stockage dont la température est inférieure à 55°C • Purge hebdomadaire des fonds de ballon • Vérifier le débit des pompes de recirculation • Equilibrer les boucles de distribution • Supprimer les bras morts • Purger les points d’eau sous-utilisés
Ballon de stockage Purge de fond de ballon
Lutter contre l’entartrage et la corrosion des réseaux d’eau chaude sanitaire • Connaître la minéralisation de l’eau : TH, TAC, . . . • Mettre en place des manchettes test démontables pour évaluer l’intérêt de mettre en place un traitement • Nettoyer, détartrer, désinfecter les ballons de stockage au moins une fois par an • Changer la robinetterie usagée
Évaluer l’efficacité du traitement d’adoucissement de l’eau Manchette démontable
Éviter l’entartrage • - «le consommateur final doit toujours disposer dans une installation collective, d ’une eau froide non soumise au traitement complémentaire» • - les adoucisseurs présentent différents inconvénients : Prolifération de germes au sein de la résine et dans le bac à saumure, Augmentation de la teneur en sodium de l ’eau Il est recommandé de réserver l’adoucissement aux eaux utilisées à des fins techniques, en particulier la production d eau chaude.
Adoucissement de l’eau chaude
Éviter la corrosion • Mettre en place des indicateurs • Éviter la juxtaposition de canalisations métalliques en matériaux différents • Eau chaude : traitement par procédés filmogènes (produits autorisés par circulaires du 7/05/90 et 27/05/92) • Éviter de desservir les services sensibles par un réseau d’eau surpressé -> risques de « coups de bélier » -> érosion des canalisations
Choix des matériaux Les matériaux constitutifs des canalisations doivent être choisis en fonction : • Des caractéristiques de l’eau • Des usages de l’eau et des traitements mis en œuvre • De la compatibilité des différents matériaux entre eux Ils doivent posséder une Attestation de Conformité Sanitaire (ACS)
Choix des matériaux Cuivre • Sensibilité à la corrosion par « érosion/cavitation » pour les tubes recuits ou surchauffés • Incompatibilité avec de l’acier galvanisé situé en aval • Adapté à tous types d’eau PER • Adapté aux eaux corrosives • Adapté aux eaux chaudes PP • Adapté aux eaux corrosives • Adapté aux eaux chaudes PVC • Matériau incompatible avec l’eau chaude • Les produits de collage et de soudage des canalisations doivent respecter les ATEC PVC-C • Adapté aux eaux corrosives • Les produits de collage et de soudage des canalisations doivent respecter les ATEC Inox 316 L • Adapté aux eaux corrosives et agressives • Coût de fourniture élevé. La mise en œuvre doit être réalisée par un personnel qualifié • Facilité d’entretien Inox 304 L • Non adapté si les clhorures sont > à 50 mg/l ou en cas de traitement avec des produits chlorés Acier galva • Incompatible avec une température de l’eau > à 60°C. Risque de corrosion favorisant les développements bactériens. Déconseillé pour l’eau chaude • Incompatible avec le cuivre en amont ou dans une boucle
Prévention de la prolifération des légionelles dans les établissements de santé et établissements recevant du public La maîtrise de la température 30
Maîtriser en permanence la température des réseaux d’eau chaude • • • Produire à haute température T > 60°C Stocker si nécessaire à T > 55°C Distribuer en permanence à T > 50°C Retour de boucle à T > 50°C Mitiger au plus près possible du point d’usage
Production d’eau chaude (situation actuelle) Vanne thermostatique Echangeur Aérosols T= 40 / 45°C T Ballon de stockage Primaire A la température de 40 / 45°C le réseau d’eau mitigé est favorable à la multiplication des légionelles 60°C Arrivée eau froide
Production d’eau chaude (situation modifiée) Mitigeur Thermostatique Echangeur T Aérosols Ballon de stockage T Primaire T= 55 60°C T= 40°C 60/65°C Retour de boucle Arrivée d’eau froide Le mitigeage de l’eau doit être réalisé le plus près possible du point d’usage.
Production d’eau chaude Schéma de principe avec retour (situation modifiée sans ballon de stockage) Mitigeur Thermostatique Départ de boucle T= 60°C Echangeur T Primaire Aérosols Retour de boucle T= 55°C T= 40°C T Arrivée d’eau froide P FOURRIER Le mitigeage de l’eau doit être réalisé le plus près possible du point d’usage.
L'eau chaude au point d'usage • Une eau à haute température au plus près du point d’usage Mitigeur thermostatique – T = 55 à 60°C • Mélange de l'eau par mitigeur thermostatique au point d'usage pour les douches • Température au point d’usage = 40°C Aérosols T= 40°C
Prévention de la prolifération des légionelles dans les établissements de santé et établissements recevant du public Surveillance des installations 36
Surveillance de la contamination • Réaliser des prélèvements d’eau pour identifier les légionelles (indicateur bactériologique) • 5 à 10 prélèvements en différents points représentatifs • photographie à un instant donné • nécessité de réaliser 2 à 3 séries d’analyses • Nota : il est très difficile de suivre l’évolution des légionelles grâce aux prélèvements d’eau • faire appel à un laboratoire agréé : Institut Pasteur de Guadeloupe
Notion de transfert d ’indicateur • Objectif : mettre en place une traçabilité de la température de l’eau chaude – Mesurer en permanence la température de l’eau en différents points représentatifs (indicateur physique) – Photographie en continu (temps réel) – Envisageable de ne réaliser qu’une seule série d’analyses par an – Coût d’investissement acceptable – Exploitation des données plus aisée
Prévention de la prolifération des légionelles dans les établissements de santé et établissements recevant du public Règles de maintenance 39
Maintenance des réseaux • bonne connaissance du réseau • sensibilisation du personnel • Mise en place d ’un suivi de la température • traçabilité --> procédure écrite traçabilité --> carnet sanitaire • supprimer les défauts de conception (eau stagnante, supprimer les défauts de conception production eau chaude) • nettoyage et désinfection réguliers • soutirages réguliers --> plans de purges réseaux/chambres inoccupées. . . --> plans de purges ballons, réservoirs
Les réseaux d’eau chaude sanitaires « Les éléments de robinetteries » Attention aux dépôts de tartre Nettoyage périodique des têtes de robinets entartrées Suppression des mousseurs
Prévention de la prolifération des légionelles dans les établissements de santé et établissements recevant du public Gestion des résultats d ’analyse 42
Niveaux de concentration en Legionella proposés dans l’eau chaude sanitaire au niveau des points les plus représentatifs
Désinfection • Actions préventives – Traitements discontinus préventifs : Méthode validée que pour les petits réseaux – Traitements continus : la désinfection en continu de l ’ECS est à éviter autant que possible • Actions curatives – Choc thermique – Choc chloré En l ’absence de mesures préventives, le réseau se recolonisera en quelques semaines Tout produit utilisé doit être autorisé
Eau chaude et actions curatives Réglementation sanitaire Choc Thermique Difficile à mettre en œuvre sur le plan technique : • Capacité de production suffisante • T = 70°C à chaque point de puisage durant 15 à 30 min • Agir obligatoirement la nuit • Purger les canalisations pour un retour à la normale • Fuites possibles Choc chloré (Javel) Plus facile à mettre en œuvre sur le plan technique : taux recommandé : 50 mg. L-1 pendant 12 heures Purger les canalisations pour un retour la normale Ne pas consommer l’eau (teneur excessive en chlore pour les usages alimentaires et sanitaires)
Traitement préventif des légionelles dans l’eau chaude Production d’eau chaude Programme d’action Contrôle réglementaire • Obtenir de l’eau chaude à 60°C au point de production • Entretenir les ballons de stockage au moins une fois/an • Supprimer les bras morts, et boucler le réseau d’eau chaude • Mitiger l’eau au point d’usage pour les douches • Remplacer les joints, filtres, flexibles et pommeaux de douches … 1 - Réaliser le programme d’analyses conformément à la circulaire : 1 fois/an Transfert d’indicateur 2 - Mettre en place une traçabilité de la température de l’eau chaude : • départ et retour de boucle • plusieurs points de référence dans l’établissement
Conclusion • Le gestionnaire de l’établissement de santé doit vérifier et garantir à ses patients la qualité de l’eau au point d’usage • Le gestionnaire doit mettre en place un carnet sanitaire • La maîtrise de la qualité « est l’affaire de tous » • L’objectif recherché est : – d’accroître la sécurité sanitaire dans les établissements de santé (coût / efficacité de l’impact sanitaire) – de renforcer la collaboration entre les différentes compétences gestionnaire, médecin, infirmière, hygiéniste, ingénieur, technicien, exploitant – de classer les priorités et programmer les actions
- Slides: 48