US HEPATOBILIARY SYSTEM TECHNIQUE AND US IN HEPATOBILIARY
US HEPATOBILIARY SYSTEM TECHNIQUE AND US IN HEPATOBILIARY DISEASE พญ. เสาวลกษณ ชนมยน รงสแพทย โรงพยาบาลนาน
OUTLINE • Anatomy • US technique • Hepatobiliary tract disease( Liver, gallbladder and biliary tract )
ANATOMY
ทอทผาน เขา -ออก LIVER ม 4 ทอ ดงน. 1 Hepatic Vein 2. Portal Vein 3. Bile Duct 4. Hepatic Artery
HEPATIC SEGMENTAL LANDMARKS
NORMAL LIVER ANATOMY
BILIARY SYSTEM
TECHNIQUE
UPPER ABDOMINAL ULTRASONOGRAPHY 1. supine position นอนหงาย 2. left lateral decubitus position นอนตะแคง เอาดานซายลง 3. right lateral decubitus position นอนตะแคง เอาดานขวาลง
���� AORTA AND BRANCHES aorta
เหน PANCREAS ในการตรวจ SAGITTAL VIEW IN EPIGASTRIUM
CAUDATE LOBE IVC
Ligamentum teres
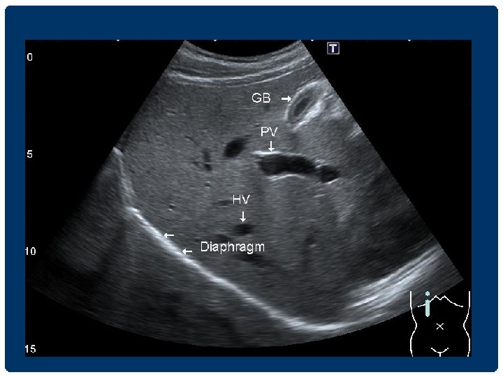
HEPATIC VEINS เทเขา IVC
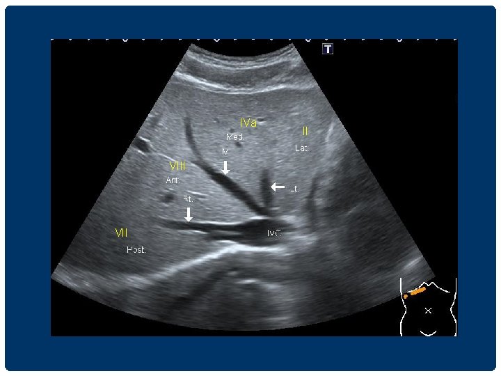
IVa VIII VII II
MHV RHV LHV
PORTAL VEIN • Periportal fibrofatty tissue produces brighter echoes around the portal veins • Normal size ไมควรเกน 13 mm ถามากกวานใหสงสยวามภาวะ portal hypertension
MAIN PORTAL VEIN แยกเปน RIGHT และ LEFT PORTAL VEINS
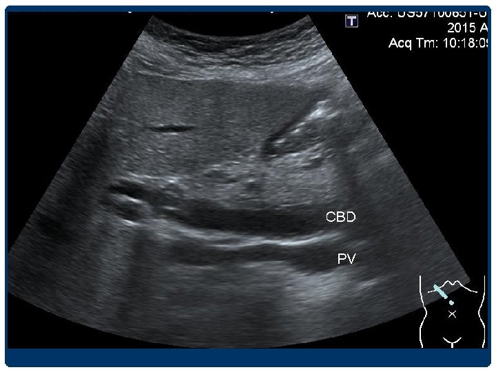
GALLBLADDER GB PV
DILATED CBD
BRANCHES OF RIGHT PORTAL VEIN VIII V VI
RIGHT SUBCOSTAL SECTION IN LEFT LATERAL DECUBITUS POSITION ��������� lesion ����������
THE LIVER
LIVER Size - Right MCL วด craniocaudal direction ขนาดนอยกวา 15 cm - Indirect signs of hepatomegaly extension of the right lobe below the lower pole of the kidney rounding of the inferior tip of the liver extension of the left lobe into the LUQ above the spleen
LIVER ABNORMALITY Parenchymal disease -Fatty liver -Liver cirrhosis -Periductal fibrosis Liver mass /Focal lesion
LIVER PARENCHYMA - Homogeneous echogenicity โดยท echogenicity of the liver ≥ renal cortex, < renal capsule < spleen, < pancreas - Smooth surface - Visible tubular structuresare hepatic veins and portal veins - Hepatic veins ; thin wall IVC - Portal vein ; thick wall hepatic hilum - Bile duct parallel with portal vein seen at porta hepatis
DIFFUSE HEPATIC INHOMOGENEITY • COMMON -cirrhosis -metastasis -fatty infiltration • UNCOMMON -hepatocellular cancer -hepatic fibrosis -lymphoma
FATTY INFILTRATION • Intracellular deposition of triglycerides within hepatocytes • Causes – Alcoholic , Steroid , DM, Drug • NASH ( Nonalcoholic Steatohepatitis ) = Severe fatty liver with hepatomegaly with inflammation and fibrosis • Findings - Increased echogenicity of the liver, finer echotexture than normal liver • เทยบกบ kidney and pancreas
FATTY INFILTRATION • Sensitivity 60 -94 % Specificity 66 -95 % • Diffuse - Grading -mild = mildly increasing echogenicity -moderate = blurring of veins margins -severe = significant of posterior shadowing • Focal fatty infiltration
Diffuse Fatty liver grading 1. Normal 2. Mild - increasing echogenicity 3. Moderate - increasing echogenicity , impaired visualised hepatic vessels and diaphragm 4. Severe - markedly increasing liver echogenicity with poor penetration, poor visualised hepatic vessels and diaphragm
FOCAL FATTY SPARING FOCAL FATTY INFILTRATION Focal fatty sparing Focal fat infiltration • Diffuse fatty infiltration with FFS • Geographic hypoechoic area • Focal or nodular • Anterior aspect of LL (esp. medial segment), adjacent to the falciform ligament, anterior to the PV bifurcation • Atypical locations metastases or hemangioma • Usually located in front of the RPV or PV bifurcation or around the gallbladder • Lack of mass effect on hepatic vessels
FOCAL FATTY SPARING Focal fat sparing at preportal and gallbladder fossa regions
FOCAL FATTY INFILTRATION Focal fat infiltration Focal nodular fatty No mass effect infiltration Multiple focal nodular areas of increased echogenicity
CIRRHOSIS • US appearance • Surface nodularity reliable sign • Coarsening and nodularity of the liver parenchyma(RN/DN) • Segmental hypertrophy/atrophy • Hypertrophy of the caudate lobe and lateral segments of left lobe (S 2&3) • Atrophy of the posterior segments (S 6&7) of the right lobe • RL: LL(longitudinal ratio) < 1. 3 (normal =1. 44) • Signs of portal hypertension
SONOGRAPHIC SIGNS OF PORTAL HYPERTENSION • • • Ascitis Splenomegaly Portal vein enlargement >13 mm Portosystemic collateral Enlarged hepatic arteries Hepatofugal(reversed)portal flow
diffuse heterogeneity and nodularity to the liver parenchyma multiple nodular impressions on the hepatic vein lumen surface nodularity Scattered multifocal hypoechoic nodules LIVER CIRRHOSIS
LIVER ABNORMALITY Parenchymal disease -Fatty liver -Liver cirrhosis -Periductal fibrosis Liver mass /Focal lesion
ECHOGENICITY OF LIVER MASS /FOCAL LIVER LESION • Echogenic pattern - calcifications - anechogenic - hypoechogenic - isoechogenic - hyperechogenic - mixed echogenic • Outline - well defined / poor • Others - acoustic shadow - posterior enhancement - dilated bile duct
CALCIFICATIONS
CALCIFICATION IN THE LIVER
CYSTS Most common focal liver lesion • Simple cyst • Anechoic lumen • Increased through transmission • A well-defined back wall • Partial septation/ puckering of the wall • Complex cyst • Internal echoes • Thick wall • Septations that are numerous or thick • Solid elements • Calcification
CAUSES OF CYSTIC LESIONS IN THE LIVER
LIVER ABSCESS • Complex fluid collections with a mixed echogenicity • May mimic solid hepatic masses • Thick-walled cystic lesions or cysts with fluid-fluid levels • Gas forming abscess • DDx: hematoma, hemorrhagic cyst, necrotic or hemorrhagic tumor
LIVER ABSCESS Complex cystic lesion Large hypoechoic lesion with increased through transmission Multiple small hypoechoic solid-appearing lesions Large heterogeneous, predominantly hyperechoic, lesion
HEMANGIOMA • Approximately 7% of adult, F>M, 10% are multiple Typical appearance (60 -70%) homogeneous round/lobulated hyperechoic mass usually less than 3 cm sharp&smooth margins calcification มได แต rare • Atypical hemangiomas • Hyperechoic periphery and a hypoechoic center “reverse target” appearance
Typical Atypical Typical “reverse target” appearance
HEMANGIOMA • • Usually stable over time ~ 10% decrease in echogenicity ~ 5% regress partially or completely ~ 2% enlarge
DDX HYPERECHOIC MASSES • • Hemangioma Metastasis Hepatocellular cancer Focal fatty infiltration
HEPATOCELLULAR CARCINOMA • Strongly associated with chronic liver disease hepatitis B&C and cirrhosis • Growth pattern of HCC solitary, multifocal or diffuse and infiltrating • Typical a large dominant lesion with scattered smaller satellite lesions • Sonographic appearance non-specific • Venous invasion 30 -60% for the portal veins and 15% for the hepatic veins
HEPATOCELLULAR CARCINOMA
HEPATOCELLULAR CARCINOMA Diffusely infiltrating tumor Intense hypervascularity typical of HCC
METASTASES • 98% multiple • Usually involve both lobes of the liver • Variety of sonographic appearance • สวนใหญจะเหนเปน “target appearance” echogenic/isoechoic center and a hypoechoic halo • Others: hypo/hyperechoic nodule, calcified metastases, cystic metastasis, diffuse heterogeneous
TARGET APPEARANCE Echogenic/isoechoic center and a hypoechoic halo
HEPATIC TARGET LESIONS
OTHER FOCAL LIVER LESION • Benign - Focal nodular hyperplasia hypoechogenic mass with central scar F > M - Hepatic adenoma hyperechogenic with central hypoechogenic heterogenous echogenicity • Malignant - CHCA, Biliary cystic tumor area
GALLBLADDER
THE GALLBLADDER • อยใต interlobar fissure • ใชเปน landmark for identifying the junction between the left and right lobes of the liver • งดนำงดอาหาร ประมาณ 4 -6 ชวโมง adequate gallbladder distention + reduce upper abdominal bowel gas
TRANSVERSE VIEW ligamentum teres interlobar fissure
THE GALLBLADDER GB PV
CHARACTERISTICS OF THE NORMAL GALLBLADDER
GALLBLADDER PATHOLOGY • stones • biliary sludge/ microlithiasis • polyp • contracted gallbladder • porcelain gallbladder • gallbladder wall thickening • acute cholecystitis • Chronic cholecystitis • Hyperplastic cholecystitis • carcinoma of gallbladder
INTRALUMINAL ABNORMALITIES IN THE GB
GALLSTONE Accuracy 96% -echogenic foci -movable -posterior acousticshadow
sludge Sludge ball Sludge and GS polyp
GB polyp Benign 95% m/c cholesterol polyp
GALLBLADDER POLYP Benign • size 5 mm-benign 5 -10 mm FU • pedunculated • m/c multiple • stable size Malignant • size >10 mm(3788%) • sessile • single • increasing in size
ACUTE CHOLECYSTITIS • GB wall thickening > 3 mm • GB enlargement • Pericholecystitic fluid • +/- Gall stone • US Murphy’s sign positive
• GB distension • GB wall thickening • GS&sludge • Pericholecystic fluid collection
GB WALL THICKENING Biliary cause • Cholecystitis • Adenomyomatosis • Cancer • AID cholangiopathy • Sclerosing cholangitis Non biliary cause • Hepatitis • Pancreatitis • Heart failure • Cirrhosis • Hypoproteinemia • Lymphatic obstruction • Portal hypertension
OTHER GALLBLADDER DISEASE • Adenomyomatosis - Intramural diverticular diffuse or focal thickening GB wall • Carcinoma GB - Focal or diffuse thickenedwall - Polypoid maa - GB mass
BILIARY SYSTEM
THE BILE DUCT • Intrahepatic bile duct • จะวงขนานไปกบ portal veins & hepatic arteries • anterior to the adjacent portal veins • IHD สวนใหญจะตรวจไมพบใน US หรอถาพบกมกจะมขนาดไมเกน 2 mm
THE BILE DUCT • The hepatic artery จะอย anterior to the portal vein และ medial to the common duct
• Right hepatic artery จะวงระหวาง and common duct portal vein
BILIARY DILATATION Intrahepatic duct -larger than 2 mm diameter -more than 40% diameter of the adjacent portal vein
parallel channel sign Irregular appearance Posterior enhancement tortuous configuration
BILIARY DILATATION Extrahepatic duct - CHD 4 -5 mm - CBD วดจากขอบดานในของดานหนงไปอกดานหน ง 4 -6 mm 6 -7 mm equivocal >8 mm indicate ductal dilatation • Elderly patients and in postcholecystectomy patients อาจพบ common duct dilatation ไดถง 9 -10 mm • Acute, intermittent, and partial obstruction
DILATED CBD
CHOLEDOCHOLITHIASIS/STONE • Most common causes of biliary obstruction • Intrahepatic duct stones less common than CBD stones • Gall stone --- 15% ass. with CBD stone • CBD stone ---95% ass. With GS
CBD stone
INTRAHEPATIC DUCT STONES DDx • IHD stones • Intrabiliary gas/ pneumobilia • Hepatic artery calcification
Pneumobilia • brighter reflection and dirtier shadow than do stones • a ring-down artifact • mobile on real time Intrahepatic arterial calcification • two bright parallel lines
BILE DUCT WALL THICKENING • Nonspecific finding • Duct wall thickening > 5 mm and disproportionately dilated IHD suspicion of cholangiocarcinoma
CAUSES OF BILE DUCT WALL THICKENING Risk factor of CHCA > 5 mm and disproportionately dilated IHD Risk factor of CHCA
INCREASED PERIPORTAL ECHO ( IPE ) Normal echo IPE
INCREASED PERIPORTAL ECHO ( IPE )
INCREASED PERIPORTAL ECHO (IPE) GRADING = PERIDUCTAL FIBROSIS ( PDF) IPE Grade 1 is diffuse echogenic foci (‘starry sky’) minimal wall thickening of portal and segmental branches IPE Grade 2 is Ring echoes around vessels in crosssection, pipe-stems parallel with portal vein IPE Grade 3 is echogenic ruff around portal bifurcation and main stem ; main portal vein vessels wall thickening
HYPOTHESIS Repeated infection with O. viverrini by consumption of fresh water fish Worms inhabit in biliary tree Chronic inflammation of biliary tree Periductal fibrosis ( PDF) Cholangiocarcinoma
CHOLANGIOCARCINOMA
ULTRASONOGRAPHIC PATTERN OF CHCA • 1. Parenchymal mass • 2. Dilatation of bile duct without mass • 3. Parenchymal mass with dilated duct • 4. Dilatation of bile duct with intraluminal mass
Parenchymal mass Mass with ductal dilatation Dilatation of bile duct with intraluminal mass
TAKE HOME POINT • Review anatomy • Middle hepatic vein is landmark for right and left lobe liver • CBD and all bile duct runs parallel to portal vein • Comparing echo pattern, liver echo > renal cortex • Normal tubular structures visible in liver parenchyma are portal vein, hepatic vein
TAKE HOME POINT • Cholangiocarcinoma have non-specific sonographic feature • Important in surveillance US 1. abnormal echo mass lesion 2. dilatation of IHD or EHD • PDF has protential to be sonographic sign to closely follow up in a risk group of CCA surveillance
THANK YOU
- Slides: 118