Urology made easy Matt Dunstan ST 4 Vanessa

















































- Slides: 49
Urology made easy Matt Dunstan ST 4 Vanessa Brown ST 7
Topics 1. Haematuria 2. Renal Colic 3. Pyelonephritis 4. Testicular pain 5. Retention 6. Catheter problems and difficult catheterisation
Haematuria
Haematuria
Causes of haematuria � Infection � Cystitis, prostatitis, urethritis � TB, schistosomiasis, infective endocarditis � Tumour � kidney, ureter, bladder, prostate � Trauma � Inflammation � Ig. A nephropathy, glomerulonephritis, � Structural – Stones � Cysts, PCKD, � Haematological � Anticoagulants more likely to provoke rather than cause haematuria
Haematuria 1 in 5 adults with macroscopic haematuria � AND 1 in 12 adults with microscopic haematuria Will have bladder cancer
Haematuria �History and examination �Where blood occurs in stream �Assoc dysuria �Clots �Any evidence of Retention �PR �Reasons for admission �Retention �FRANK haematuria: concern re Hb �FRANK haematuria with Clots: concern re retention
Haematuria �If admitted � 3 way catheter and irrigation � 30 mls in balloon � Bloods inc U+Es, clotting and G+S � Urine for MC+S, cytology �If not admitted � Send urine for MC+S, cytology � Referral to haematuria clinic �US KUB/CT �Flexible cystoscopy
Haematuria
Renal Colic
Renal Colic �PC � Classical loin to groin pain as stone moves down ureter �Radiates into scrotum/penis as gets close to bladder / VUJ � BEWARE the older pt with 1 st presentation, and PVD risk factors ? AAA �Size matters � 80% of stones <4 mm pass spontaneously � 20% of stones >6 mm pass spontaneously
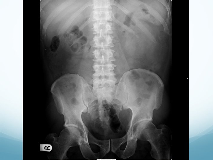
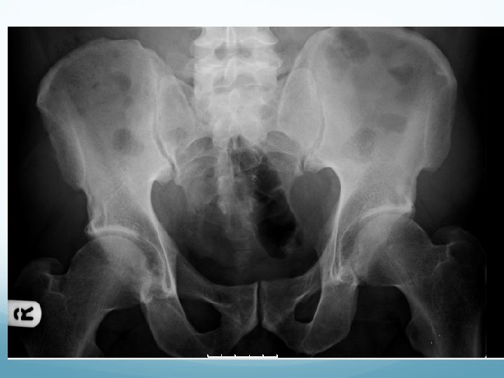
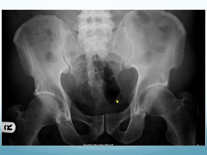
What to look for on a KUB � 90% stones are radio-opaque � Ureteric stones are sausage shaped due to peristalsis of ureters 1. Outline of kidneys 2. Path of ureters � Hila of kidneys L 1 � Tips of transverse processes � SIJ at pelvis 3. Sites of impaction � PUJ � Pelvic Brim � VUJ 4. Rest of abdominal film
1. Outline of kidneys 1. Path of ureters 1. Sites of impaction 1. Rest of abdominal film
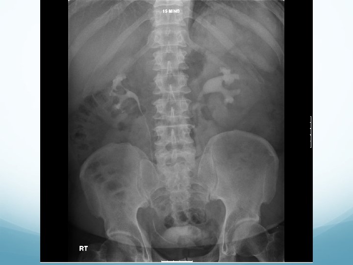
What to look for on an IVU � ALWAYS look at KUB first � CT KUB is gold standard, and only option if U+Es are abnormal 1. Nephrogram � � Contrast in kidney Persistent increasingly dense nephrogram in obstruction 2. Pyelogram � Calyces: � � � ? clubbed / more prominent Extravasation of contrast Ureters: � � � Peristalsis: Normal Dilatation Standing column
Renal Colic – treatment 1. Analgesia – codydramol + PR diclofenac 2. Tamsulosin 400 mcg OD for ureteric spasm 3. Aedequate hydration � Admit if � Pain not controlled � Significant loin pain � Stone >5 mm � Raised WBC / U+E � Temperature � Infected obstructed kidney requires URGENT drainage � Stent/nephrostomy (IR)
Pyelonephritis
Pyelonephritis � PC � Loin pain � Pyrexia / rigors � Assoc urinary symptom � UNWELL � Treatment � Send urine MC+S � Blood cultures � IVI/urine output � Admit for 24 -48 hrs iv abx � H with 1 -2/52 of antibiotics
Testicular pain
Testicular pain Time means testicle!
Testicular pain �Apologise to patient before starting and explain about torsion � Aim is theatre within 1 hour so have to be quick �Take a full hx and examination �Main differential is between torsion and epididimoorchitis � Make sure URGENT bloods have been sent � Urine dip
Torsion � SUDDEN onset pain � They remember what they were doing when it started � They are inconsolable! � No assoc urinary symptoms � No GU hx � On examination � Majority symptoms in testes � Testes high riding and horizontal lie � Pain WORSE on pulling testes down � Pain BETTER on elevation � ALWAYS discuss with Senior on call � Exploration within 6 hours to save the testicle � Consent for � Scrotal exploration +/- same side Orchidopexy +/- Same side Orchidectomy +/- Opposite side Orchidopexy
Epididimo-Orchitis � History � Gradual onset of pain � Assoc urinary symptoms / urethral discharge � Significant GU history � On examination � � Majority of symptoms in epididimis Tender supero-posteriorly over epididimis Testes may be swollen and tender Normal position and lie � Culture � Refer to GU clinic for swabs � Send MSU � Trt 6 weeks of antibiotics � IF IN DOUBT, EXPLORE
Acute Retention
Acute Retention �Definition = inability to pass urine despite desire to do so, assoc lower abdo pain �Normal bladder = 400 -600 ml �Desire to void 300 ml �Normal residual <50 mls �Retention = >500 mls residual AFTER have tried to PU
Acute Retention �History �Examination �Do a PR - ? constipation, ? prostate �Neuro exam ? cauda equina �Beware retention in women - ? cancer – PV exam �Treat UTI / Constipation
Acute Retention �Reasons for admission � >800 mls residual � Abnormal U+Es �WHY � Diuresis leads to dehydration and death � Back pressure hydronephrosis 1. Hourly urine output 2. If UO>300 mls/hr for 3 hours then need iv fluid replacement 3. Replace 90% of urine output / hour with iv fluids
Acute retention �Either attempt TWOC as inpatient (6 am) �Or referral to nurse led TWOC clinic
Catheter problems
How to put in a catheter – properly… � 1 -2 tubes of instillagel �After injection, compress urethral to prevent loss �Do not inflate balloon until urine drains �If urine not draining: � Aspirate the catheter (using the instillagel syringe) � Suprapubic pressure � Get patient to sit up � ? are they dehydrated
Difficult catheterisation - Male 1. PULL penis UP towards ceiling 2. Feed catheter in until you meet resistance 3. Then pull penis DOWN towards toes
Difficult catheterisation - Male �Try a 16 Ch first �If you cant get that, try an 18 Ch or a 20 Ch �Silicon catheter (in theatre) or cool in fridge �DO NOT inflate the balloon unless you see urine �Inflate the balloon SLOWLY �Make sure using LONG TERM catheter �? Call registrar
Difficult catheterisation – Male �Catheterisation should be a gentle, easy pass �If you cannot after 2 attempts – CALL REGISTRAR �“Can you have one more try” – CALL REGISTRAR �Repeated traumatic catheterisation can risk strictures �Bedside suprapubic catheter insertion is DANGEROUS – bowel injury – death � Call your registrar/plan for theatre
Difficult catheterisation - Male �Replace the foreskin…
Paraphimosis �? needs a circumcision – OPD apt �The problem is the tight band � This is what need to advance over glans �Gentle pressure on the paraphimosis to reduce oedema �Firm pressure on shaft to reduce arterial inflow �Instillagel/sugar/? ring block (NO ADRENALINE)
Phimosis – “I can’t catheterise” �Unable to retract foreskin �Use instillagel to “feel” for urethral opening �? ring block (NO ADRENALINE) and dilate with clips/dorsal slit – CALL A UROLOGIST
Catheter problems �If a catheter is not draining � flush it �If a catheter has not drained since it was inserted and there is blood at urethral meatus � DO NOT REMOVE IT � Deflate balloon � Push catheter IN up to hilt � Aspirate urine � Then inflate � Then tell a urologist
Suprapubic catheter � If a suprapubic catheter falls out: � How long has it been in? When did it fall out? � Clean surrounding skin � Sterile field (minor ops pack drapes) and gloves � Instillagel+++ � Get another catheter in as soon as possible � If any difficulty – call the Urology Reg � Why do they have a suprapubic catheter? � Do they still need one? � Urethral?
Difficult catheterisation-Female KNOW YOUR ANATOMY
Difficult catheterisation - female �Don’t try to catheterise the clitoris! �The urethral is often more internal than expected �Ask for assistance �Patient positioning on bed �Use left hand to open introitus
Topics 1. Haematuria 2. Renal Colic 3. Pyelonephritis 4. Testicular pain 5. Retention 6. Catheter problems and difficult catheterisation
Thank you Any questions?