UROLOGIC EMERGENCIES Hakan KOYUNCU MD Associate Professor Yeditepe













































- Slides: 45
UROLOGIC EMERGENCIES Hakan KOYUNCU; MD Associate Professor Yeditepe University Medical Faculty Department of Urology
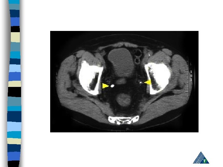
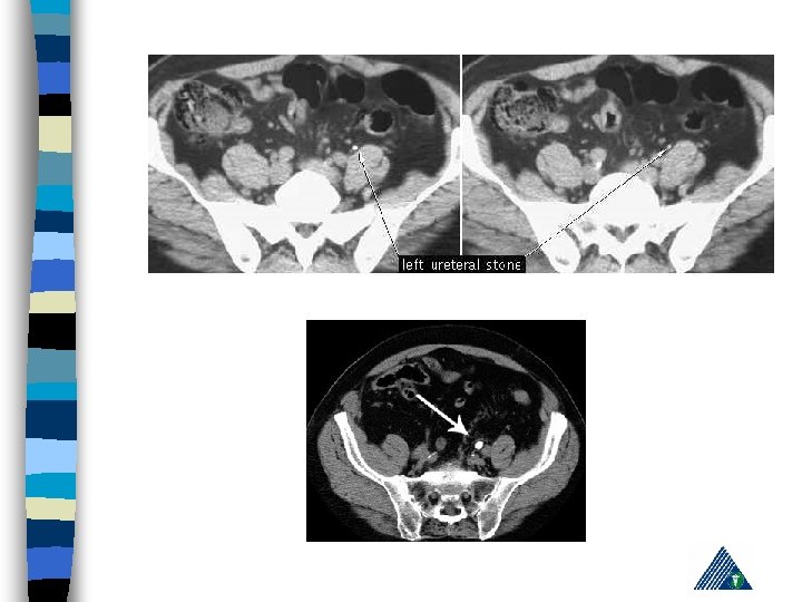
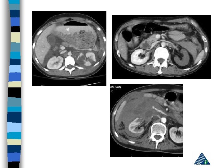
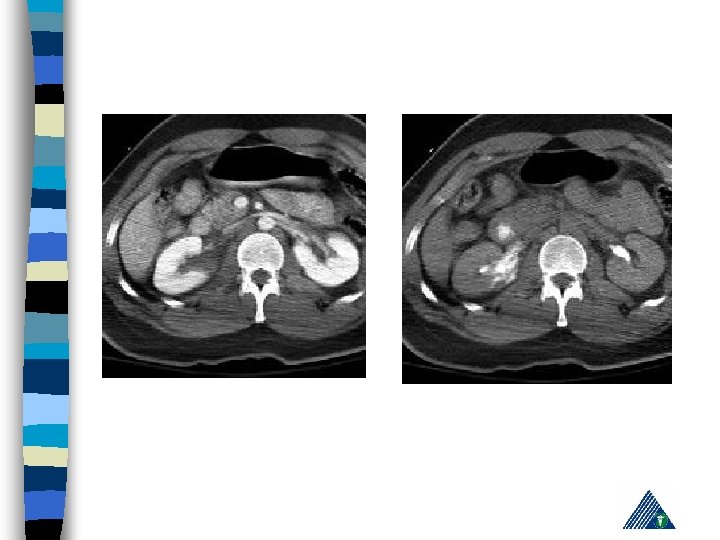
n 34 -yo male n Severe right sided flank pain
34 M, R flank pain n Hx n PE n urinalysis n imaging
RENAL COLIC n n Stones of the urinary tract Hematoma or tissue in the ureter Upper ureter: lumbar-inguinal Lower ureter: genital n n Intermittant Not affected by body positioning Lumbar tenderness Nausea & vomiting
R: Appendicitis - Cholelithiasis n urinalysis: hematuria n KUB n IVP n Computerized Tomography n Pain management, hydration, hot bath n Treatment of the underlying cause n
n Solitary kidney n Ureteral stone n Hydronephrosis anuria, uremia
n 62 yo male Severe abdominal and inguinal pain, 30 hrs in duration, “have not slept for 5 min. ” n Feels like voiding every 10 -15 minutes, passes a few drops each time n n He presented to the ER of a hospital, was diagnosed as cystitis, was given a parasymphatholytic, but did not get any better.
Acute Urinary Retention Bladder neck – prostate – urethra n Usually in elderly with BPH n Massive hematuria, acute prostatitis, prostate abcess, stones lodged at the bladder neck/urethra, phimosis, uretral trauma n History n Suprapubic mass n Urethral catheterization n Suprapubic catheterization (cystostomy) n
n 42 yo male n High fever, chills, malaise, frequency, perineal pain n DRE: n Lab: enlarged, pain, warm prostate leucoytosis, shift to the left n culture-sensitivity
Admitted Antibiotics, NSAID Urinary retention in the evening ? ? • Suprapubic catheterisation
n The patients general health deteriorates on day 3, fever does not resolve
Prostate Abcess n n n n Coliform bacteria Generally urethral (ascending) Staphilococcus via hematogenous route Diabetes, immune compromised, urethral trauma, prostate biopsy Pollakiuria, disuria, acute urinary retention; fever, malaise Usually excacerbation of symptoms after acute prostatitis DRE: fluctuation Lab: pyuria, leucocytosis
n TRUS: definitive diagnosis n Drainage n Antibiotics n Suprapubik catheterization
n Telephone: n 15 yo male n Enlargement and pain in L testis
Testicular Torsion n n Newborn – adolesents %50 uykuda olur Usually anomaly of tuniga vaginalis or the spermatic cord Pain-sudden onset, skrotal edema, enlargement and redness, nausea, vomiting PE: usually retracted, Loss of cremasteric reflex Increased pain with testicular elevation (Prehn)
n n n Epidydimis may be palpated in an abnormal location – early sign Leucocytosis within a few hours Doppler US or nuclear scan Manuel de-torsion (inside out) (local anest) Eksploration !!! 5 -6 hrs
TRAUMA GU tract in 10% of all traumas n Kidney is the most commonly involved organ – Suspect GU taruma when: – Hematuria – Descelerating injury – Penetrating abdominal or flank injury – Echimosis of the flank n
Renal Trauma n Blunt : (85 -90% ) – vehicle accident, fall, rapid deceleration, iatrogenic n Penetrating : Gunshot and (85 -90 % associated with intraabdominal or thoracic injury)
Renal Trauma - Diagnosis History n PE (lumbar echimosis, pain with palpation) n Hematuria n – (Renal vascular injury - 36 % not associated with hematuria) n Variable clinical presentation (asymptomaticshock)
Radiologic Imaging n n n KUB (loss of psoas or renal contour) IVU (delayed renal function, nonhomogenous collecting system) USG (lumbar hematoma and urinoma lokalizasyonu) Computerized Tomography Renal angiography
American Association for the Surgery of Trauma Organ Injury Severity Scale for the Kidney Grade Tip Tanım 1 kontüzyon Mikroskobik ya da gross hematuri, ürolojik incelemeler normal hematom Sub. Kapsuler, genişlemeyen parankimal hasar yok hematom Genişlemeyen perirenal hematom , renal retroperitona sınırlı laserasyon <1 -cm derinlikte parenkimal korteks hasarı, üriner ekstravazasyon yok 3 laserasyon >1 -cm derinlikte parenkimal korteks hasarı, üriner ekstravazasyon yok 4 laserasyon Medulla ve toplayıcı sisteme ulaşan parenkim hasarı vasküler Renal arter ve vende hemoraji içeren hasar laserasyon Tamamen parçalanmış Böbrek vasküler Renal hilusun ayrılması 2 5
Expectant Management: n Hemodynamically stable, well defined and non-expanding injury on CT scan n 88 % patienst are observed n If there is associated gross hematuria, admit and observe
Surgery : Absolute Indication – Persistant renal bleeding – Expanding perirenal hematoma – Perirenal hematoma with pulsation n Relative indication – Urinary extravasation – Inability in proper staging – Delayed arterial injury – Canlı olmayan doku varlığı n
Bladder & Urethra – – – – Suspect trauma in the presence of: Blood at the urethral meatus DRE: “prostate displaced superiorly " Hematuria Penetrating abdominal, pelvic or genital injury Anterior pelvic fracture Open pelvic fracture Perineal laseration
Urethral Injury n A partial rupture could be a complete rupture during catheterisation! n A urethrogram should be performed n In the presence of urethral disruption, a suprapubic catheter should be placed.
THANK YOU