Urolithiasis Katie Simpson DVM MS DACVIM Cross Timbers
Urolithiasis Katie Simpson, DVM, MS, DACVIM Cross Timbers Large Animal Clinic April 30, 2016
Urolithiasis �Definition � Formation of stones (calculi) in the kidneys, ureter, bladder, or urethra � Most commonly lodge in urethra � Can be anywhere in the urinary tract! �‘Stones’ aka ‘calculi’ aka ‘uroliths’ � Concretions of solid mineral and organic compounds � Cause disease through �Direct trauma to urinary tract �Obstruction of urinary outflow
Urolithiasis: The Basics �Males most affected �Long, narrow, non-distensible urethra �Often a herd problem �If one has it…. assume they all might! �Significant losses �Monetary �Morbidity (sickness) �Mortality (deaths)
Etiology: Types of Calculi �Struvite �Magnesium, ammonium, phosphate �Most common one in SR…C? �Apatite �Calcium & phosphate �Calcium carbonate �Legumes: clover, alfalfa
Etiology: Types of Calculi �Silicate �Native grasses Western US �Diets high in corn gluten or soybean hulls? �Oxalate �Halogeton, sugar beet tops
Causes & Risk Factors � Presence of a nidus � High concentrations of soluble minerals/salts � Diet (low calcium/high phosphorus, high magnesium) � Decreased water intake � Pelleted rations → less saliva → P excreted in urine � Concreting agents � Mucoproteins in grain � Basic urine p. H � NORMAL in sheep, goats, camelids � Leads to certain common types of stones
Risk Factors � Urethral diameter � Gender � Age at castration � Influenced by testosterone � Season � Winter: decreased water intake � Illness � Decreased water intake � Breed? � Texel, Scottish Blackface � Pygmy? ? ?
Site of Obstruction �Sheep & goats �Urethral process & sigmoid flexure �Llamas & alpacas �DSF, distal penis, ischial arch
Urolithiasis �Consequences �Urethral obstruction �Ruptured urethra �Urethral stricture (scarring) �Ruptured bladder* �Ruptured ureter �Hydronephrosis �Rarely—ruptured kidney �Acute renal failure
Clinical Signs, AKA What to look for… �Off feed �Depression �Weakness �+/- Ammonia smell to breath
Clinical Signs… �Crystals on hairs around prepuce �Holding tail up/swishing tail �Pulsations of urethra below tail w/ no urine produced �Bloody appearance to urine* �Straining to urinate (can mistake for straining to defecate) �May lead to rectal prolapse �No urine production, or just dribbling �If not sure, put in a small dry area w/ no bedding
Clinical Signs… �Colic signs �Vocalizing �Grinding teeth �Stretching abdomen �Stamping/shifting back feet �Kicking/looking at abdomen �‘Standing at the pile’….
Clinical Signs… �Ruptured urethra �Cool, non-painful swelling �Base of scrotum to prepuce �Ruptured bladder �Distention of abdomen—down low
Physical Examination �Evidence of dehydration �Also toxin buildup in blood �Examination of penis �Integrity of urinary tract �Bloodwork �Electrolyte levels, acid-base status, toxin buildup �Evidence of infection
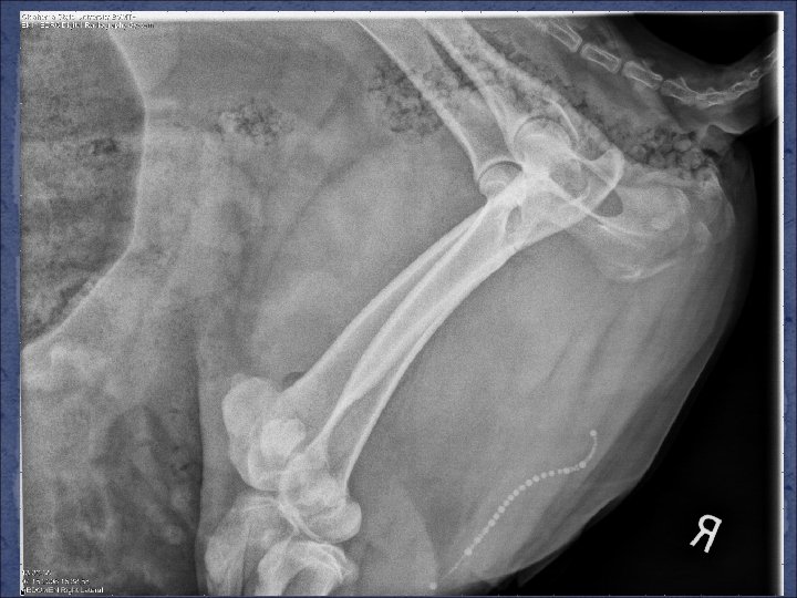
Diagnosis �Species, gender, history, clinical signs �Physical examination �Analysis of urine �IF possible…. incomplete obstruction or cystocentesis �Type of crystals/stones �Ultrasound �Urethra, bladder, kidneys, abdomen �Radiographs (x-rays) �Endoscopy
Considerations �Location of obstruction �Concurrent inflammation/infection of bladder �Urethral diverticulum �Frenulum in young
Management �Stage of disease �Urethral obstruction �Ruptured urethra �Ruptured bladder �‘Water belly’
Management �Class of animal �Commercial/salvage �Breeding �Pet
Obstructed Urethra �Urethral process amputation �Sheep & goats �Catheter & flushing
Catheterize Bladder �IF possible �Lavage w/ acidic solution �Most effective w/ phosphate stones
�Decision time! �Urethrostomy �Urethrotomy �Cystotomy/Cystostomy tube �Bladder marsupialization?
Obstructed Urethra �Commercial/salvage animal �Urethrostomy �AKA ‘PU’ �AKA ‘Rerouting’ �They will urinate like a female
Small Ruminants: ‘Rerouting’ �Also camelids? �PU’s stricture/reobstruct �Most w/in 1 year, some w/in 6 wks-months �Good for urethral ruptures �Time to clear bloodstream of toxins �If valuable as a breeding animal or pet…. DON’T DO THIS
Small Ruminants �Most have multiple stones �Urethral process amputation alone cures < 25% long term �Many reobstruct w/in 3 days
Abdominal Surgery: Urinary Bladder �Cystotomy �Remove all the stones �Flush the urethra �± Leave in tube after surgery
Breeding or Pet Animal: Gold Standard �Cystostomy tube �Also…for ruptured bladder
Cystostomy Tube, or C-Tube �~75% prognosis if non-ruptured �$1500 -2000 �Aftercare is KEY!! �Stall confinement �Goats can chew out tubes �Ascending kidney infection possible…must keep sterile
Ruptured Urethra �Salvage animal �Urethrostomy �Pet �Cystostomy/other �Breeding animal �Now salvage animal �Try C-tube?
Ruptured Bladder �Majority are dorsal �May happen w/ restraint of camelids in chute �Also reported during palpation for pregnancy �Drain abdomen �Gradually
Ruptured Bladder �Valuable breeding animal/pet/show �Drain abdomen/stabilize �Repair bladder – celiotomy �Achieve urinary patency �Or else use C-tube
Bladder Marsupialization �NOT for breeding animals or indoor pets �Prognosis variable �Complications �Urine scald �Cystitis �Ascending UTI �Stricture �Reobstruction �Bladder prolapse
Pain Management �Banamine, NSAIDs? ? �USE WITH CAUTION �Butorphanol - $$$
Prevention �Identify risk factors �Diet �Management �Water �Castration �Environment
Prevention… �Diet �Ration analysis �Extension agents, nutritionists �DO NOT feed horse feeds to SR/C unless specifically instructed by a veterinarian �Mineral analysis of stone!! �Increase salt (water) intake �Salt licks/blocks/loose salt �Add 2 -4% salt to diet if high grain
Prevention: Diet �Phosphatic stones (MOST COMMON) �Dietary calcium: phosphorus ratio of 2: 1 (or greater) �Magnesium content maintained at recommended levels �Decreased amount of pelleted feed �Increased amount of forages fed �Ammonium chloride
Prevention: Diet �Calcium carbonate stones �Reduce alfalfa/legume consumption �Decrease calcium in diet �Ammonium chloride? ? ?
Prevention: Diet �Urinary acidification �Ammonium chloride �In feed up to 1% �Drenching �Bio-Chlor
Prevention: Management �Water � Maximize water intake � CLEAN WATERERS � Summer: shade on waterers � Winter: dark liners or heaters on waterers* � Check automatic waterers frequently to ensure fxn � Shallow water containers = high turnover, less stagnant � Large pastures/many animals �Lots of waterers �Esp sheep
Prevention: Management �Castration �Sheep & goats: castrate at 6 -12 months old �Llamas & alpacas: castrate at 2 -3 years
Questions?
- Slides: 48