UNIVERSITA DEGLI STUDI DI PERUGIA FACOLTA DI MEDICINA




















































































- Slides: 84
UNIVERSITA’ DEGLI STUDI DI PERUGIA FACOLTA’ DI MEDICINA E CHIRURGIA SCUOLA DI SPECIALIZZAZIONE IN MEDICINA DI EMERGENZA-URGENZA Perugia – 7 MARZO 2016 L’ECOGRAFIA NELLA GESTIONE DELLO SHOCK SETTICO Dott. Gian A. CIBINEL Direttore S. C. Medicina e Chirurgia d’Urgenza - ASL TO 3 Pinerolo (TO) Past -president SIMEU – Società Italiana di Medicina di Emergenza Urgenza
SEPSI e SHOCK SETTICO • SEPSI – Infezione (certa o sospetta) con manifestazioni sistemiche di infezione – generali (T>38. 3 o <36, FC>90, FR >20, iperglicemia, edema, stato mentale alterato) – infiammatorie (GB >12000 o <4000, aumento PCR o pro-CLTN) – emodinamiche e di perfusione – disfunzioni d’organo • SEPSI GRAVE – Sepsi con ipoperfusione tissutale o disfunzione d’organo – – ipotensione (PAs < 90, PAm < 70 mm. Hg) oliguria (<0. 5 ml/Kg per 2 ore consecutive) lattato oltre i valori normali disfunzione polmonare, epatica, renale o coagulativa • SHOCK SETTICO – Ipotensione sepsi-indotta fluidoresistente (PAs <90, PAm <60 mm. Hg) SEPSIS-2 / 2001
Adapted from SEPSIS-2 / 2001
Adapted from SEPSIS-2 / 2001 Diagnostic criteria for septic shock • Adapted from SEPSIS-2 / 2001 SAP < 90 mm. Hg or MAP < 60 mm. Hg or SAP reduction > 400 mm. Hg, despite adequate volume resuscitation
SEPSIS-2 / 2001 • M, 36 aa, febbre e faringodinia da 3 gg • FC 102, PA 105/60, FR 24, GCS 15 • GB 12. 400 T 38. 9 • F, 22 aa, febbre e diarrea da 2 gg T 39. 2 • FC 88, PA 85/45 (dopo fluidi), FR 20, GCS 15 • GB 13. 700, lattati 0. 7 • M, 71 aa, febbre-tosse-dispnea da 4 gg T 38. 9 • FC 108, PA 115/70, FR 28, sa. O 2 89%, GCS 15 • GB 14. 600 • F, 57 aa, febbre e disuria da 2 gg • FC 98, PA 90/50, FR 24, GCS 15 • GB 11. 700 T 38. 1
SEPSI e SHOCK SETTICO • SEPSI – Infezione (certa o sospetta) con manifestazioni sistemiche di infezione – generali (T>38. 3 o <36, FC>90, FR >20, iperglicemia, edema, stato mentale alterato) – Infiammatorie (GB >12000 o <4000, aumento PCR o pro-CLTN) – emodinamiche e di perfusione – disfunzioni d’organo • SEPSI GRAVE – Sepsi con ipoperfusione tissutale o disfunzione d’organo – – ipotensione (PAs < 90, PAm < 70 mm. Hg) oliguria (<0. 5 ml/Kg per 2 ore consecutive) lattato oltre i valori normali disfunzione polmonare, epatica, renale o coagulativa • SHOCK SETTICO – Ipotensione sepsi-indotta fluidoresistente SEPSIS-2 / 2001
JAMA 2016; 315: 801 -10 – Feb 23, 2016
SEPSI e SHOCK SETTICO • SEPSI – Infezione con reazione sregolata dell’ospite e conseguente disfunzione d’organo minacciosa – associato aumento di mortalità Mortalità > 10% – q. SOFA score ≥ 2 : ipotensione (PAs 100), tachipnea (FR 22), stato mentale alterato (GCS < 14 o < 15) – SOFA score 2 con basale = 0 (o aumento 2) : PAm < 70 mm. Hg, GCS < 15, P/F < 400, PLT < 150000/μL, creatinina 1. 2 mg/d. L, bilirubina 1. 2 mg d. L • SHOCK SETTICO – Sepsi con ipoperfusione tissutale (ipotensione + disfunzione cellulare) fluido-resistente – associato aumento di mortalità Mortalità > 40% – ipotensione persistente – necessità di vasopressori per mantenere una PAm ≥ 65 mm. Hg – lattato > 2 mmol/L malgrado adeguato apporto di volume (fluid resuscitation) SEPSIS-3 / 2016
q. SOFA-SOFA SCORE q. SOFA 1 SOFA 2 SOFA 3 SOFA 4 Funzioni 1 Breathing FR 22 P/F < 400 P/F < 300 P/F < 200 + supporto P/F < 100 + supporto Circulation PAs 100 PAm < 70 DOPA < 5 o DOBU DOPA 5 -15 NA/A 0. 1 DOPA > 15 NA/A > 0. 1 Disability GCS <15 GCS < 13 GCS < 10 GCS < 6 PLT < 150 PLT < 100 PLT < 50 PLT < 20 Creat 1. 2 Creat 2. 0 Bilir 1. 2 Bilir 2. 0 CNS Hemocoagulation Kidney Liver Creat 3. 5 Creat 5. 0 U < 500 ml/d U < 200 ml/d Bilir 6. 0 Bilir 12. 0
SOFA SCORE
SEPSIS-2 / 2001 SEPSIS-2 / 2016 • M, 36 aa, febbre e faringodinia da 3 gg • FC 102, PA 105/60, FR 24, GCS 15 • GB 12. 400 T 38. 9 • F, 22 aa, febbre e diarrea da 2 gg T 39. 2 • FC 88, PA 85/45 (dopo fluidi), FR 20, GCS 15 • GB 13. 700, lattati 0. 7 • M, 71 aa, febbre-tosse-dispnea da 4 gg T 38. 9 • FC 108, PA 115/70, FR 28, sa. O 2 89%, GCS 15 • GB 14. 600 • F, 57 aa, febbre e disuria da 2 gg • FC 98, PA 90/50, FR 24, GCS 15 • GB 9. 600 , lattati 4. 9 T 38. 1
SIRS: Criteri selettivi INFEZIONE possibile Generali • T > 38. 2 o < 36. 0 • FC > 90 Infiammatori ABCD storia-EO • GB > 12000/μL o < 4000/μL Criteri SIRS LAB + • GB > 10% forme immature • PCR > 2 DS vs normale • PRCTN > 2 DS vs normale PV SEPSI: Infezione con disfunzioni d’organo INFEZIONE probabile/certa q. SOFA score 2 q. SOFA >2 • PAs 100 mm. Hg SOFA 2 > • FR 22 • GCS < 14 (o < 15) SOFA score 2 LAB • P/F < 400 (p. O 2 < 85 in aa) • PAm < 70 mm. Hg + • GCS < 15 • PLT < 150000/μL SHOCK: Criteri Emodinamica • PAm < 65 mm. Hg dopo correzione volemica – necessità di inotropi/ vasopressori Tessuti • Creatinina 1. 2 mg/d. L SEPSI PV Criteri SHOCK + • Lattati > 2 SHOCK SETTICO • Bilirubina 1. 2 mg/d. L EGA+latt
ECOGRAFIA NELLA SEPSI • La fonte – – torace addome altre fonti localizzate setticemie • La funzione – – circolazione respirazione escrezione neuro-funzione • Le procedure • Il monitoraggio
Am J Resp Crit Care Med 2014; 189: 1204 -13.
LA FONTE SETTICA Leligdowicz A, et al. Am J Resp Crit Care Med 2014; 189: 1204 -13. • Studio osservazionale retrospettivo in 29 ICU di 3 paesi (Canada, USA Arabia Saudita), tra il 1989 e il 2008 – 8670 pazienti consecutivi con shock settico • Attribuzione della fonte settica ad ogni caso – 20 siti diversi identificati in base a criteri predefiniti • Valutazione della mortalità ospedaliera e della mortalità a 28 gg per le diverse fonti settiche • Controllo dei risultati in rapporto ai fattori predisponenti (presenti prima dell’accesso in ICU): anno di ricovero, età e sesso, provenienza (DEA o reparto ospedaliero – medico o chirurgico), comorbilità, infezione comunitaria vs ospedaliera, microrganismo causale • Controllo dei risultati in rapporto all’evoluzione iniziale (elementi idetificabili dopo l’accesso in ICU): score APACHE II, insufficienze d’organo al giorno 1, batteriemia/fungemia, appropriatezza della terapia antibiotica, intervallo di tempo tra l’esordio dell’potensione e l’inizio della terapia antibiotica, terapie aggiuntive
LA FONTE SETTICA Leligdowicz A, et al. Am J Resp Crit Care Med 2014; 189: 1204 -13. • • • Esclusione di 696 pazienti – valutazione di 7974 pazienti consecutivi Età media 63 ± 16 aa – 57% maschi Infezioni comunitarie 61% – ospedaliere 39% Provenienza dal DEA 38% – da reparti ospedalieri 47% – da altri ospedali 15% Esami culturali positivi nel 69% dei casi – emoculture positive nel 33% dei casi Microrganismi isolati: gram negativi 50%, gram positivi 37%, anaerobi 5%, funghi e M. Tuberculosis 8% Score APACHE II: medio 25 (variazione interquartile 20 -31) Insufficienze d’organo al giorno 1: mediana 4 (variazione interquartile 35) Terapia antibiotica appropriata 17. 2% Terapia aggiuntiva: steroidi 30. 9%, proteina C attivata 4. 4%
21 -85% 25 -73% 31 -71% Leligdowicz A, et al. Am J Resp Crit Care Med 2014; 189: 1204 -13.
FONTE INFETTIVA Prevalenza Mortalità 54. 0% TORACE Polmone 40. 1% Viscere perforato 9. 4% Intestino ischemico 5, 3% Colite da Cl. Difficile 2, 6% Peritonite batterica spontanea 2, 0% Altre infezioni endo-addominali 0, 5% 66, 7% 1, 24 Colecistite / colangite 4, 2% 38, 7% 0, 72 Pancreatite 1, 1% Enterocolite / diverticoilite 0, 3% Peritonite / ascesso / ostruzione ileale 3, 7% Pielonefrite 9, 4% Uropatia ostruttiva con infezione 1, 2% Infezione primaria del sangue 5, 0% Infezione disseminata 1, 5% Catetere intravascolare 3, 2% 41, 3% 0, 76 Cellulite / fascite necrotizzante / decubito 6, 9% 42, 0% 0, 78 Artrite / osteomielite 0, 8% 55. 6% 77, 9% ADDOME 68, 3% DIFFUSO 76, 4% ADDOME 50, 0% 28, 0% FOCALE 1 1, 03 1, 44 1, 26 1, 41 0, 93 0, 52 54, 0% 1, 00 34, 1% 0, 63 RENI E VU 21, 1% 59, 5% 84, 5% SANGUE 0, 39 1, 10 1, 56 0, 97 Infezione del SNC ALTRE 52, 5% SEDI 1, 1% 43, 3% FOCALI 0, 8% 44, 8% Altre 0, 9% 0, 71 Infezione di sito chirurgico 38, 4% 0, 80 0, 83
FONTE INFETTIVA Prevalenza Mortalità 40, 1% 40% 54, 0% 1, 00 Viscere perforato 9, 4% 55, 6% 1, 03 Pielonefrite 9, 4% 34, 1% 0, 63 42, 0% 0, 78 Polmone Cellulite / fascite necrotizzante / decubito 6, 9% 5 -10% Intestino ischemico 5, 3% 77, 9% 1, 44 Infezione primaria del sangue 5, 0% 59, 5% 1, 10 Colecistite / colangite 4, 2% 38, 7% 0, 72 Peritonite / ascesso / ostruzione ileale 3, 7% 54, 0% 1, 00 41, 3% 0, 76 Catetere intravascolare 3, 2% 2 -5% Colite da Cl. Difficile 2, 6% 68, 3% 1, 26 Peritonite batterica spontanea 2, 0% 76, 4% 1, 41 Infezione disseminata 1, 5% 84, 5% 1, 56 1 -2% 1, 1% 1, 2% 21, 1% 0, 39 50, 0% 0, 93 Infezione di sito chirurgico 1, 1% 43, 3% 0, 80 Altre 0, 9% 38, 4% 0, 71 Artrite / osteomielite 0, 8% 52, 5% 0, 97 44, 8% 0, 83 Uropatia ostruttiva con infezione Pancreatite Infezione del SNC <0, 8% 1% Altre infezioni endo-addominali 0, 5% 66, 7% 1, 24 Enterocolite / diverticoilite 0, 3% 28, 0% 0, 52
FONTE INFETTIVA Prevalenza Mortalità Infezione disseminata 1, 5% 84, 5% 1, 56 Intestino ischemico 5, 3% 77, 9% Peritonite batterica spontanea 2, 0% 76, 4% 1, 41 Colite da Cl. Difficile 2, 6% 68, 3% 1, 26 Altre infezioni endo-addominali 0, 5% 66, 7% 1, 24 Infezione primaria del sangue 5, 0% 54 -70%1, 10 59, 5% Viscere perforato 9, 4% 55, 6% 1, 03 Polmone 40, 1% 54, 0% Peritonite / ascesso / ostruzione ileale 3, 7% 54, 0% 1, 00 Artrite / osteomielite 0, 8% 52, 5% 0, 97 Pancreatite 1, 1% 50, 0% 0, 93 Infezione del SNC 0, 8% 44, 8% Infezione di sito chirurgico 1, 1% 43, 3% 0, 80 Cellulite / fascite necrotizzante / decubito 6, 9% 42, 0% 0, 78 Catetere intravascolare 3, 2% 41, 3% 0, 76 Colecistite / colangite 4, 2% 38, 7% 0, 72 Altre 0, 9% 38, 4% 0, 71 Pielonefrite 9, 4% 34, 1% Enterocolite / diverticoilite 0, 3% 28, 0% 0, 52 Uropatia ostruttiva con infezione 1, 2% 21, 1% 0, 39 > 70%1, 44 54% 1, 00 40 -54%0, 83 <40%0, 63
FONTE INFETTIVA Preval Mortalità Torace Addome con reni e vie urinarie Altre infezioni diffuse (con catetere iv) Altre infezioni focali 40, 1% 39, 7% 10, 5% 54, 0% 52, 2% 57, 4% 42, 8% 1, 00 0, 97 1, 06 0, 79 Addome diffuso Altre infezioni diffuse Torace Addome focale Altre infezioni focali (con catetere iv) Reni e vie urinarie 19, 8% 6, 5% 40, 1% 9, 3% 13, 7% 10, 6% 65, 3% 54, 0% 48, 5% 42, 5% 32, 6% 1, 22 1, 21 1, 00 0, 90 0, 79 0, 60 ADDOME DIFFUSO: perforazione, peritonite, colite da Cl. Difficile, ischemia ADDOME FOCALE: colecistite, diverticolite, pancreatite, ascessi ALTRE DIFFUSE: infezione primaria del sangue, infezione disseminata, catetere iv ALTRE FOCALI: sito chirurgico, tessuti molli, articolazioni, ossa, SNC , catetere iv
LA FONTE SETTICA Leligdowicz A, et al. Am J Resp Crit Care Med 2014; 189: 1204 -13. • La mortalità per shock settico presenta variabilità importante a secondo della sede di origine dell’infezione (21 -85%), spiegata solo in parte dalle condizioni di base e dall’evoluzione clinica - dopo correzione per tali fattori rimane una variabilità tra il 31% e il 71% • Si osserva un gradiente di mortalità con raggruppamenti – 60 -70%: setticemie primarie e infezioni a partenza addominale con ampia superficie di esposizione (peritoniti e pancoliti) – 50 -60%: infezioni polmonari – 40 -50%: infezioni focali dell’addome e di altri distretti, incluse le sepsi a partenza da cateteri endovascolari – 30 -40%: infezioni a partenza dalle vie urinarie
ECO SEPSI T O 40% R A C E 14% ALTRE Er Mr focali N 1 l N 2 l T 1 r T 1 l T 4 r H 3 T 2 r A 1 r A 2 r L 1 r L 2 r T 4 l H 2 T 6 l 11 A 1 l A 2 A 3 r U 2 l T 5 l T 2 l T 6 r L 3 r diffuse U 1 l T 3 l T 5 r U 2 r U 3 r Ml N 1 r N 2 r U 1 r T 3 r LA FONTE ALTRE El A 3 l L 1 l L 2 l L 3 l U 3 l 6% A D D 40% O M E
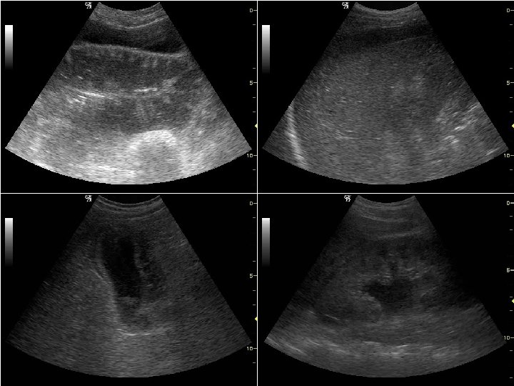
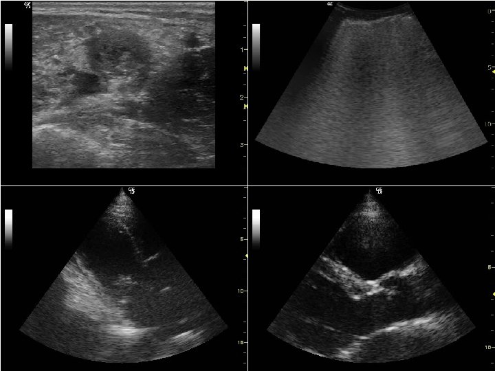
ECO SEPSI LA FONTE • L’ecografia in valutazione primaria e secondaria (testapiedi) consente di identificare il 75 -85% delle fonti settiche, congiuntamente alla clinica • In caso di infezione di origine toracica si riscontra di regola una sindrome focale (versamento pleurico, impegno interstiziale localizzato, consolidamento) • Nell’addome il riscontro di versamento endoperitoneale non localizzato (con o senza gas) è suggestivo per una patologia diffusa, mentre le infezioni focali presentano quadri specifici (indicativi per colecistite, diverticolite, ascessi, ostruzione delle vie urinarie, ecc. ) • Altre infezioni focali (osteo-articolari o dei tessuti molli) sono più facilmente evidenti – l’ecografia può fornire elementi aggiuntivi (p. es. presenza di gas)
SEPSI FASTCRASH SEPSI EGA+latt ABCD storia-EO LAB q. SOFA DOLORE O TUMEFAZIONE CAPO COLLO ARTI DISPNEA O DOLORE TORACE DOLORE ADDOME O DISURIA NON SINTOMI O SEGNI DI LOCALIZZAZIONE ECOcapocollo ECOtorace ECOaddome ECOtorace ECOarti ECOaddome ECOcuore
SEPSI FASTCRASH SEPSI DISPNEA O DOLORE TORACE ECOtorace IMPEGNO DIFFUSO PARENCHIMALE IMPEGNO FOCALE PARENCHIMALE VERSAMENTO PLEURICO Rx. Torace Punt Esplor INTERESSAMENTO SECONDARIO POLMONITE O ASCESSO EMPIEMA Supporto Terapia medica Drenaggio Terapia medica Supporto Terapia medica
SEPSI FASTCRASH SEPSI DOLORE ADDOME DISURIA ECOaddome IDRONEFROSI PATOLOGIA RENALE PATOLOGIA FOCALE VERSAMENTO DIFFUSO TCAddome Punt Esplor PIELONEFRITE IVU con OSTRUZIONE COLECISTITE DIVERTICOLITE PANCREATITE PERFORAZIONE ISCHEMIA PERITONITE Terapia medica Chirurgia Drenaggio VU Drenaggio Terapia medica
ECO SEPSI LA FONTE IMPATTO DEL RISCONTRO • Definizione diagnostica • Valutazione prognostica • Individuazione di sedi per prelievo di materiale e successive indagini microbiologiche • Orientamento per la scelta della terapia antibiotica empirica iniziale • Supporto all’intervento percutaneo o chirurgico per il controllo della fonte • Definizione del livello di monitoraggio e del setting migliore per il trattamento dei pazienti
ECO SEPSI LA FUNZIONE C H 3 H 2 • Precarico dx – VCI • Precarico sn – VTD • Frazione eiezione VS • Postcarico VD ? • Postcarico VS ? 1
VENA CAVA INFERIORE Fluidoresponsività Condizione Parametro Soglia aumento IC > 15% pazienti VCI SN SP LR+ LRVentilazione invasiva 1 d. VCI (Dmax-Dmin) /Dmin Respiro c. VCI spontaneo 2 -Dmin) (Dmax /Dmax >18% 90% 9. 0 0. 11 >40% 80% 70% 4. 67 0. 35 d. VCI = indice di distensibilità cavale c. VCI = indice di collassabilità cavale 1. Barbier C, et al. Intensive Care Medicine 2004; 30: 1740 -6 2. Muller L, et al. Critical Care 2012; 16: R 188 -94
VENA CAVA INFERIORE ∆ misura AP PVC mm. Hg 100% > 50% 33 -50% 0 -33% 0 0 -5 5 -10 10 -15 15 -20 > 20
VENA CAVA INFERIORE ∆ misura AP PVC mm. Hg 100% > 50% 33 -50% 0 -33% 0 0 -5 5 -10 10 -15 15 -20 > 20 ∆ misura AP ∆ IC dopo carico < 18% > 18% Ventilazione meccanica NS > 15%
VENA CAVA INFERIORE ∆ misura AP PVC mm. Hg 100% > 50% 33 -50% 0 -33% 0 0 -5 5 -10 10 -15 15 -20 > 20 ∆ misura AP ∆ IC dopo carico < 18% > 18% < 40% > 40% Ventilazione meccanica Respiro spontaneo NS > 15%
ECO SEPSI VCI PAZIENTI IN RESPIRO SPONTANEO Riduzione insp VCI 100% Riduzione insp VCI < 33% Prex AD = 0 -5 mm. Hg Prex AD = 15 -20 mm. Hg Responsività ai fluidi SI Responsività ai fluidi (NO)
ECO SEPSI VCI PAZIENTI IN RESPIRO SPONTANEO Riduzione insp VCI 100% Riduzione insp VCI 0 % Prex AD = 0 -5 mm. Hg Prex AD = 20 -25 mm. Hg Responsività ai fluidi SI Responsività ai fluidi NO
ECO SEPSI LA FUNZIONE PRE-CARICO e POST-CARICO C • Nei pazienti con sepsi grave e shock settico si ha in genere una diminuzione del precarico dx e sn e una diminuzione del postcarico sn; il post-carico dx può aumentare in caso di polmoniti estese e di ARDS • Una VCI di calibro ridotto di base indica un’ipovolemia • Le variazioni di calibro della VCI sono ben correlate al precarico dx (e alla fluido-responsività) nei pazienti intubati e dipendenti dal ventilatore; la correlazione è meno buona nei pazienti in respiro spontaneo • Anche quando è difficile valutare a priori la responsività al carico volemico, con l’ecografia polmonare si può sempre valutare a priori la tolleranza al carico • Il VTD del VS è un indice del precarico sn
Prevalenza disfunzione VS (FE ridotta) Intervallo (ore) ricovero - eco
On-line pub – march 25, 2015 Diastolic dysfunction Systolic dysfunction 305 patients mortality 331 patients mortality 172 patients mortality 409 patients mortality 58. 4% 27. 5% 41. 9% 43. 0% RR 0. 93 RR 1. 84 SD DD no SD
ECO SEPSI LA FUNZIONE SISTOLICA C • Nei modelli sperimentali di sepsi si può misurare la funzione contrattile ventricolare intrinseca (d. P/d. T), con riscontro costante di compromissione • La FE, impiegata in vivo come misura della funzione sistolica, è carico-dipendente in modo critico • La FE del VS è ridotta in una proporzione variabile dei pazienti con sepsi grave o shock settico, proporzione che aumenta progressivamente nelle prime 72 ore, con ritorno alla normalità entro 7 -10 gg • Nei pazienti che muoiono spesso la FE resta normale • La FE nei pazienti settici può essere considerata un indice inverso del postcarico oltre (e forse più) che un parametro della funzione sistolica del VS
ECO SEPSI LA FUNZIONE DIASTOLICA C • La disfunzione diastolica nei pazienti settici, valutata con il Doppler tissutale, è più frequente della disfunzione sistolica (circa 50% vs 30%) • La disfunzione diastolica è associata ad aumento di mortalità (RR quasi doppio rispetto ai pazienti che non presentano disfunzione diastolica), a differenza della disfunzione sistolica che non dimostra associazioni significative • La disfunzione diastolica ha un impatto negativo sul riempimento del VS, che diventa progressivamente dipendente dal precarico e dal mantenimento del RS con normofrequenza, condizioni spesso assenti nella sepsi
2014; 29: 700 -5 • Studio non randomizzato su 220 pazienti in shock (vasoplegico 75%, cardiogeno 15%, altro 10%), con NORA-dipendenza dopo carico volemico, tutti in VM: 110 gestiti con modalità standard e 110 gestiti con aggiunta di singolo esame FOCUS in 1 a giornata • Valutazione dell’impatto terapeutico (fluidi e inotropi) • Confronto tra i due gruppi: mortalità a 28 gg, incidenza di IRA grave, n° di gg senza terapia sostitutiva renale, n° di gg senza ventilazione meccanica
PROTOCOLLO FOCUS • Valutazione VCI: variazione respiratoria <15% vs >15% • Valutazione ispettiva funzione sistolica VS: normale (FE >45%), ridotta moderatamente (FE 30 -45%) o gravemente (FE <30%) • Valutazione disfunzione VD (VD ≥ VS, setto dislocato a sn) • Ricerca versamento pericardico e valvulopatie VALUTAZIONI ∆ VCI FE VS < 15% N > 15% < 45% < 15% < 45% INTERVENTI Fluidi DOBU STOP NO 20 -40 ml/Kg NO 10 -20 ml/Kg 5 g/Kg/m’ RIDUZIONE 5 g/Kg/m’
J Crit Care 2014; 29: 700 -5
Urine output J Crit Care 2014; 29: 700 -5 LE Standard Survival LE Standard
J Crit Care 2014; 29: 700 -5
JAMA 2016; 314: 708 -17 – Aug 18, 2015
ECO SEPSI LA FUNZIONE T 1 r T 3 r TIIr T 5 r T 4 r T 2 r T 6 r • Impegno pleurico T 3 l T 5 l T 2 l T 4 l T 6 l TDr • Impegno parenchimale • Funzione diaframma TIIl T 1 l TDl A 1 r A 1 l B
IMPEGNO PARENCHIMALE DX SN 1 5 1 3 3 2 6 ANT LAT POST 2 4 4 5 ANT 6 LAT POST Valutazione dell’impegno parenchimale in ogni area, con attribuzione di un punteggio da 0 a 3 e somma totale – i punteggi correlano bene con i dati TC e inversamente con la possibilità di svezzamento nella ventilazione meccanica (< 11 autonomia, > 17 dipendenza)
IMPEGNO PARENCHIMALE DX SN 1 5 1 3 3 2 6 ANT LAT POST 2 4 4 5 ANT 6 LAT POST SCORE: 0 = normale, 1 = linee B ≥ 3 per campo, 2 = linee B confluenti; 3 = consolidamento. Per ogni area si riporta dato peggiore (corrispondente al punteggio più alto)
DIAFRAMMA • Scansioni trans-epatiche e trans-spleniche per visualizzare la cupola diaframmatica – a dx per via sottocostale tra l’emiclaveare e l’ascellare anteriore – a sn per via intercostale tra l’ascellare anteriore e l’ascellare media • Orientamento della linea M-mode ortogonale rispetto alla cupola diaframmatica • Valutazione dell’escursione diaframmatica cranio-caudale • Valori normali (mm) M F – inspirazione tranquilla – ispirazione massimale 18 ± 4 70 ± 10 16 ± 4 60 ± 10
ECO SEPSI RESPIRAZIONE LA FUNZIONE B • Il grado di impegno parenchimale polmonare (interstiziale e da consolidamento) correla inversamente con la prognosi e con la possibilità di recupero dell’autonomia nella ventilazione • Anche la funzione diaframmatica in respiro spontaneo (valutabile con il movimento caudale delle cupole o con l’ispessimento del muscolo) può essere predittiva della possibilità di recupero dell’automomia ventilatoria • Il grado di impegno parenchimale fornisce anche una stima del postcarico dx e permette di valutare preventivamente la tolleranza al carico volemico
ECO SEPSI • Flusso cerebrale • Prex intracranica TDr Er El TDl LA FUNZIONE D
ECO SEPSI LA FUNZIONE K • Ostruzione • Massa parenchimale A 2 r A 2 l A 3
ECO SEPSI LA FUNZIONE L • Flusso epatico • Ostruzione VB • Ascite A 1 r A 2 r 1
ECO SEPSI LA FUNZIONE IMPATTO DELLA VALUTAZIONE • Gestione della terapia con i fluidi • Scelta dei vasopressori e degli inotropi • Previsione della tolleranza polmonare agli interventi terapeutici (fluidi e amine) • Riscontro dell’impegno pleurico (gas o fluido) ed eventuale controllo tramite drenaggio • Verifica dell’impegno parenchimale polmonare e della funzione diaframmatica, con guida al supporto ventilatorio e previsione della possibilità di recupero dell’autonomia negli scambi gassosi • Verifica della massa parenchimale e stima della componente cronica della disfunzione renale • Ricerca dell’eventuale ostruzione urinaria, con supporto alle procedure di drenaggio
ECO SEPSI LE PROCEDURE A • Intubazione tracheale • Cricotirotomia e tracheostomia B • Toracentesi e drenaggio toracico C • Accessi vascolari • Pericardiocentesi D • Rachicentesi E • • Cateterismo vescicale e urostomia Paracentesi Artrocentesi Drenaggio raccolte superficiali e profonde
C ECOMONITOR H 3 H 2 • Precarico dx – VCI • Precarico sn – VTD • Frazione eiezione VS • Postcarico VD ? • Postcarico VS ? 1
ECOMONITOR PRE-CARICO e POST-CARICO C • La VCI può essere monitorizzata per valutare il precarico dx e la risposta alla somministrazione di fluidi: quando l’indice di collassabilità risulti superiore al 40% vi è potenziale indicazione ad ulteriore carico volemico • Un indice monitorizzabile per il volume TD del VS è il diametro trasverso della cavità, indicativo di precarico ridotto quando < 3. 5 -4 cm • Contestualmente alla valutazione seriata della VCI e del volume TD del VS è indicato il monitoraggio dell’impegno interstiziale polmonare, predittivo della tolleranza al carico volemico
ECOMONITOR FUNZIONE SISTOLICA C • Il monitoraggio della funzione sistolica del VD e del VS, dopo la valutazione iniziale, ha un significato quando si preveda una variazione significativa nell’evoluzione clinica, fatto molto frequente nella sepsi • Il parametro più utilizzato è la FE, peraltro strettamente dipendente dalle condizioni di carico, oltre che dalla funzione contrattile intrinseca • La FE del VS può essere monitorizzata anche come indice inverso del postcarico, con riduzione progressiva correlata al controllo adeguato della vasoplegia periferica
ECOMONITOR C Disfunzione VD
ECOMONITOR C Disfunzione VS
B ECOMONITOR T 1 r T 3 r TIIr T 5 r T 4 r T 2 r T 6 r • Impegno pleurico T 1 l T 3 l T 5 l T 2 l T 4 l T 6 l TDr • Impegno parenchimale • Funzione diaframma TIIl TDl A 1 r A 1 l
ECOMONITOR RESPIRAZIONE B • La monitorizzazione ecografica del grado di impegno parenchimale polmonare e della funzione diaframmatica consente di prevedere la necessità di supporto ventilatorio e l’evoluzione clinica • Anche la funzione diaframmatica può essere valutata ripetutamente durante fasi di respiro spontaneo per stimare la probabilitò di recupero dell’automomia ventilatoria
B ECOMONITOR Sindrome interstiziale
ECOMONITOR Consolidamento parenchimale B
FONTE TORACE • Parenchima • Pleura ADDOME • Infezioni diffuse • Infezioni focali • Reni e vie urinarie ALTRE FOCALI • Tessuti molli • SNC • Articolazioni e ossa • Siti chirurgici SETTICEMIE ECO SEPSI FUNZIONE CIRCOLAZIONE • Precarico dx - VCI • Precarico sn - VTD • Funzione VD sistolica • Funzione VS dia-sist RESPIRAZIONE • Impegno pleurico • Impegno parenchima • Funzione diaframma ESCREZIONE • Ostruzione • Massa parenchimale NEURO funzione • Endocarditi • Prex intracranica • Cateteri IV • Flusso cerebrale
ECO SEPSI LA FUNZIONE MOTORE RESISTENZA B Diaframma: dinamica C VD: VCI (precarico) e FE Impegno polmonare VS: VTD (precarico) e FE FE VS D IC e flusso cerebrale Prex intracranica K IC e flusso renale Massa parenchimale Ostruzione vie escretrici Impegno pleurico Impegno polmonare