UNIVERSITA DEGLI STUDI DI FIRENZE CORSO DI LAUREA

  • Slides: 24
Download presentation
UNIVERSITA’ DEGLI STUDI DI FIRENZE CORSO DI LAUREA IN SCIENZE INFERMIERISTICHE 2° anno –

UNIVERSITA’ DEGLI STUDI DI FIRENZE CORSO DI LAUREA IN SCIENZE INFERMIERISTICHE 2° anno – 2° semestre PNEUMOTORACE (PNX) Dr. Marco Veltri

IL TORACE SPAZIO PLEURICO POLMONI

IL TORACE SPAZIO PLEURICO POLMONI

LO SPAZIO PLEURICO

LO SPAZIO PLEURICO

PNEUMOTORACE pnx

PNEUMOTORACE pnx

CLASSIFICAZIONE PNX Spontaneo EZIOLOGICA Traumatico Iatrogeno Aperto FISIOPATOLOGICA Chiuso Iperteso (con meccanismo a valvola)

CLASSIFICAZIONE PNX Spontaneo EZIOLOGICA Traumatico Iatrogeno Aperto FISIOPATOLOGICA Chiuso Iperteso (con meccanismo a valvola)

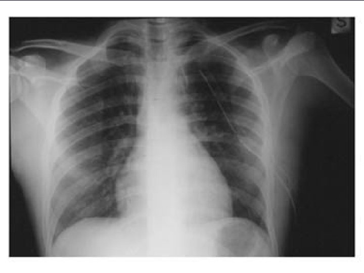
IL PNX IN RADIOLOGIA

IL PNX IN RADIOLOGIA

IL PNX IN RADIOLOGIA

IL PNX IN RADIOLOGIA

PNEUMOTORACE IPERTESO Muscoli rigonfi nella reg. sovraclaveare Grossi vasi compressi Polmone compresso Sede della

PNEUMOTORACE IPERTESO Muscoli rigonfi nella reg. sovraclaveare Grossi vasi compressi Polmone compresso Sede della ferita Vene cave compresse Spazi intercostali rigonfiati Spazio pleurico riempito d’aria Cuore compresso polmone collassato diaframma

PNEUMOTORACE IPERTESO continuo richiamo di gas dall'esterno verso il cavo pleurico aumento pressione endopleurica

PNEUMOTORACE IPERTESO continuo richiamo di gas dall'esterno verso il cavo pleurico aumento pressione endopleurica spostamento del mediastino collasso delle vene cave riduzione dell'afflusso di sangue al cuore

IL PNX IPERTESO IN RADIOLOGIA

IL PNX IPERTESO IN RADIOLOGIA

POSIZIONAMENTO DEL DRENAGGIO

POSIZIONAMENTO DEL DRENAGGIO

POSIZIONAMENTO DEL DRENAGGIO

POSIZIONAMENTO DEL DRENAGGIO

POSIZIONAMENTO DEL DRENAGGIO tubo di drenaggio pnx polmone riespanso

POSIZIONAMENTO DEL DRENAGGIO tubo di drenaggio pnx polmone riespanso

DRENAGGIO PLEURICO CONTINUO = un sistema che consta di 3 elementi: il catetere il

DRENAGGIO PLEURICO CONTINUO = un sistema che consta di 3 elementi: il catetere il sistema delle bottiglie il sistema di connessione

Il CATETERE o TROCAR

Il CATETERE o TROCAR

…e dopo il DRENAGGIO… …una o più BOTTIGLIE…

…e dopo il DRENAGGIO… …una o più BOTTIGLIE…

IL SISTEMA DELLE BOTTIGLIE Spazio pleurico

IL SISTEMA DELLE BOTTIGLIE Spazio pleurico

LA VALVOLA AD ACQUA

LA VALVOLA AD ACQUA

LA VALVOLA AD ACQUA inspirazione

LA VALVOLA AD ACQUA inspirazione

LA VALVOLA AD ACQUA espirazione

LA VALVOLA AD ACQUA espirazione

Terapia chirurgica delle bolle polmonari Bullectomia polmonare per via toracoscopica

Terapia chirurgica delle bolle polmonari Bullectomia polmonare per via toracoscopica