Universit degli Studi di Siena Dipartimento di Scienze















































































- Slides: 79
Università degli Studi di Siena Dipartimento di Scienze Radiologiche, Ortopedico-Riabilitative ed Otorinolaringoiatriche Clinica Ortopedica e Traumatologica Direttore: Prof. P. Ferrata I anno Corso di Laurea in fisioterapia MALATTIE DELL’APPARATO LOCOMOTORE Fratture: generalità Dr. CRAINZ Edoardo
Contusione Lesione traumatica prodotta dalla violenta compressione di un agente esterno sulla superficie del corpo, oppure dall’urto del corpo spinto contro un ostacolo Trauma a bassa energia: lesione del sottocute con le sue terminazioni vascolari e nervose Trauma ad alta energia: lesione del sottocute + masse muscolari, vasi ematici, tronchi nervosi
Trauma a bassa energia Ecchimosi: stravaso ematico modesto con infiltrazione del tessuto sottocutaneo Ematoma: stravaso emorragico con tendenza ad infiltrare i tessuti e raccogliersi in cavità accidentali
Classificazione di Dupuytren Grado I: Rottura dei capillari cutanei e sottocutanei con lievi emorragie interstiziali (ecchimosi) Grado II: Rottura dei vasi più importanti con raccolta di sangue in focolai e cavità (ematomi) Grado III-IV: Gravi lesioni a carico dei vasi arteriosi e venosi e delle masse muscolari, che non tendono alla guarigione ma alla necrosi
Sintomatologia La cute si presenta iperemica ed arrossata, raramente ischemica. L’ecchimosi si evidenzia rapidamente (poche ore) nelle contusioni lievi con rottura dei vasi superficiali, più tardivamente (3 -4 giorni) se l’insulto interessa i tessuti più profondi. Il dolore è immediato, di variabile intensità in rapporto alla sede ed alla intensità del trauma. Sollievo dopo qualche ora. Il rialzo termico, non sempre presente, è a carattere immediato o tardivo. Il primo dovuto a reazione nervosa riflessa, il secondo dovuto a reazione contro i prodotti riassorbiti dallo stravaso ematico.
Terapia Forme lievi: Borsa del ghiaccio, FANS Forme gravi: Drenaggio della raccolta ematica, bendaggio compressivo, riposo, arto in scarico
Traumi ad alta energia Lesioni traumatiche dei muscoli Gamma di lesioni che vanno dalla infiltrazione ematica del muscolo alla frammentazione e necrosi di alcuni fasci muscolari Sintomatologia: Dolore locale, difficoltà alla contrazione del muscolo interessato Terapia: Riposo, borsa del ghiaccio, FANS, ciclo di FKT
Complicanze Miosite ossificante post traumatica: ossificazione intramuscolare che si verifica dopo un trauma, dovuta a metaplasia del tessuto connettivale proveniente dall’organizzazione dall’ ematoma Ernia muscolare: fuoriuscita del muscolo dalla lesione della fascia Rigidità: escursione articolare ridotta, dovuta al non uso dell’articolazione rimasta immobilizzata per la sintomtologia dolorosa o per fenomeni aderenziali tra i piani di scorrimento interfasciali
Distorsioni Insieme delle lesioni capsulo-legamentose determinate da un movimento fisiologico forzato oppure da un escursione articolare abnorme, che si traduce nella perdita parziale e temporanea dei rapporti di superfici articolari contigue, contrarimente a quanto si osserva nelle lussazioni dove la dislocazione è permanente Sedi più colpite: A)Tibio-peroneo-astragalica B) Ginocchio C) Radiocarpica D) Gomito E) Spalla F) Metacarpo-falangee G) Interfalangee
Anatomia Patologica Distorsioni lievi: Rappresentate da semplice distensione dei legamenti o della capsula, da lacerazioni parcellari di alcuni fasci fibrosi, etc. Distorsioni gravi: Sono comprese le rotture a tutto spessore di uno o più legamenti, le loro disinserzioni con eventuale strappamento della corticale ossea sulla quale si inseriscono, le lesioni capsulari, etc. Sintomatologia -Dolore nei punti di inserzione o sul decorso dei legamenti interessati, suscitato dalla digitopressione o dalle sollecitazioni -Tumefazione dell’articolazione, per emartro o per infiltrazione nei tessuti molli periarticolari -Eventuali segni di lassità articolare, in dipendenza alla lacerazione completa di uno o più legamenti
Complicazioni Distorsioni lievi: Benigna Distorsioni gravi: Lassità articolare, traumi distorsivi recidivanti, alterazioni artrosiche Terapia - Riposo - Borsa del ghiaccio - FANS - Immobilizzazione - FKT
Generalità sulle fratture degli arti
Generalità Sulle Frattura: Interruzione della continuità di un osso di origine: - traumatica (intensità della sollecitazione esterna > resistenza osso) - patologica (è la diminuita resistenza dell’osso la causa della frattura) - chirurgica (interruzione provocata a scopo terapeutico)
PATOGENESI Fratture per trauma diretto: interruzione nel punto di applicazione dell’ agente traumatizzante Fratture per trauma indiretto: interruzione a distanza dal punto di applicazione della forza
Meccanismo delle fratture • Traumatismo diretto • Fratture trasversali, comminute. • Contusioni, lesioni delle parti molli • Traumatismo indiretto • Torsione • Fratture spiroidi
Fratture trasversali Spostamento • Angolazione • Rotazione • Traslazione • Sovrapposizione
Fratture trasversali Frattura metafisaria bassa delle 2 ossa della gamba molto scomposta
Frattura diafisaria a farfalla
FRATTURE PER TRAUMA INDIRETTO A) B) C) D) Fratture per flessione Fratture per torsione Fratture per compressione Fratture per strappamento
Fratture spiroidi da torsione Tratto di frattura ± lungo - deformazione in rotazione
Fratture spiroidi da torsione La deformazione è importante. I frammenti possono minacciare la pelle
Fratture a due livelli
Fratture meta-epifisarie
Fratture meta-epifisarie
Deformazioni delle fratture
Deformazioni delle fratture
Fratture articolari
SINTOMATOLOGIA DELLE FRATTURE A) Soggettivi: dolore, impotenza funzionale. B) Oggettivi: deformità della regione, stravaso sanguigno, mobilità preternaturale, crepitio.
DIAGNOSI A) Anamnesi B) Sintomatologia C) Esame Rx in AP ed LL
ANATOMIA PATOLOGICA Sede delle fratture nelle ossa lunghe A) Fratture diafisarie B) Fratture metafisarie C) Fratture epifisarie
ANATOMIA PATOLOGICA Fratture complete: Interruzione completa del diametro dell’osso Fratture incomplete: Interruzione parziale del diametro dell’osso
FRATTURE COMPLETE A) Fratture trasversali B) Fratture oblique C) Fratture spiroidi D) Fratture complesse E) Fratture comminute
FRATTURE COMPLETE Fratture composte: I frammenti di frattura restano a mutuo contatto o addirittura compenetrati tra loro Fratture scomposte: I frammenti di frattura hanno subito uno spostamento
FRATTURE SCOMPOSTE A) Spostamento trasversale “ad latus” B) Spostamento longitudinale “ad longitudinem” C) Spostamento angolare “ad axim” D) Spostamento rotatorio “ad peripheriam
FRATTURE INCOMPLETE A) A legno verde B) Infrazioni C) Infossamenti
Classificazione AO delle ossa lunghe
FRATTURE ESPOSTE Comunicazione con l’esterno del focolaio di frattura in seguito alla lesione dei comuni tegumenti. Tale comunicazione si può verificare con due meccanismi diversi: A) È l’agente vulnerante che tagliando, contundendo o penetrando nei tessuti molli raggiunge l’osso e lo frattura. B) Sono i frammenti della frattura che perforano i comuni tegumenti dal dentro in fuori.
FRATTURE ESPOSTE Classificazione di Gustilo TIPO I Trauma a bassa energia con minimo danno dei tessuti molli e piccola ferita (< 1 cm); lieve comminuzione. TIPO II Trauma a media energia con danno dei tessuti molli e lacerazione tra 1 e 10 cm; moderata comminuzione. TIPO IIIA Traumi ad alta energia con ampia lacerazione dei tessuti molli o flaps, ma sufficiente copertura ossea. Ampia perdita di sostanza. Lesioni vascolari che necessitano la riparazione per la sopravvivenza dell’arto. TIPO IIIB TIPO IIIC
FRATTURE CHIUSE CON LESIONE DEI TESSUTI MOLLI Classificazione di Tscherne GRADO O Nessuna lesione delle parti molli. GRADO 1 Abrasione o contusione superficiale. GRADO 2 Abrasione profonda e contaminata con danno contusivo della cute e dei muscoli. GRADO 3 Estesa contusione o schiacciamento della cute o dei muscoli.
Esposizione cutanea – dall’interno all’esterno – dall’esterno all’interno – 3 stadi Rischio settico alto
Fratture esposte Classificazione di Gustilo
Classificazione di Tscherne Grado 0 Nessuna lesione delle parti molli. Grado 1 Abrasione o contusione superficiale. Grado 2 Abrasione profonda e contaminata con danno contusivo della cute e dei muscoli. Grado 3 Estesa contusione o schiacciamento della cute o dei muscoli.
Complicanze vascolari Palpazione del polso Doppler o arteriografia: Sezione, compressione, dissezione dell ’intima Arterie distali Grossi tronchi arteriosi
CALLO OSSEO NORMALE SEQUENZA DI GUARIGIONE DELLA FRATTURA 5 STADI: • Ematoma e processo infiammatorio • Angiogenesi e condrogenesi • Calcificazione della cartilagine • Rimozione della cartilagine • Formazione di osso Rimodellamento osseo
Stadio 1: L’ematoma - La reazione infiammatoria (dal primo al 20° giorno) • Ogni focolaio di frattura viene invaso da un ematoma • Questo ematoma si traforma rapidamente e si organizza con la comparsa di nuovi vasi provenienti dai tessuti sani circostanti • L’ematoma viene sostituito a poco da tessuto fibroso vascolarizzato. La proliferazione cellulare è già intensa 24 ore dopo il trauma • I monconi ossei sono devitalizzati per molti millimetri
Stadio 2: Il callo di congiunzione (Dal 20° al 30°) • Il focolaio di frattura acquisisce a poco una certa stabilità grazie allo sviluppo del callo fibroso: si "invischia". • La mobilità diminuisce, le fibre collagene sono rimpiazzate da sali minerali che si depositano. Il tessuto fibro-vascolare presenta una metaplasia cartilaginea e poi ossea che definisce il callo primario. • L'apporto vascolare aumenta la tensione d'ossigeno responsabile della transformazione dei condrociti periferici in osteociti. Inoltre compaiono degli osteoclasti che cominciano a riassorbire le estremità ossee devitalizzate. • Nello stesso tempo, ha inizio un’attività identica nel midollo.
Consolidamento osseo: il callo
Il callo osseo si sviluppa anche in caso di spostamento, a condizione che sia di modesta entità
TERAPIA DELLE FRATTURE E’ costituita da due fasi fondamentali: A) Riduzione (correzione della scomposizione dei frammenti ossei) B) Contenzione (finalizzata ad evitare movimenti reciproci dei frammenti ossei durante la consolidazione) E’ divisa in : 1) Cruenta (chirurgica) 2) Incruenta (conservativa)
TERAPIA INCRUENTA Riduzione: si effettua esercitando sul frammento distale una trazione che tende ad allineare i frammenti, mentre sul frammento prossimale agisce una forza di intensità uguale ma in senso opposto (controtrazione) Riduzione rapida ed estemporanea Riduzione continua e graduale (trazione transcheletrica)
TERAPIA INCRUENTA Contenzione con app. gessato Caratteristiche generali : A) Immobilizzazione delle articolazioni a monte ed a valle del focolaio di frattura B) Modellamento in corrispondenza delle salienze ossee C) Adeguata solidità Brachiometacarpale Antibrachiometacarpale Femoropodalico Ginocchiera Stivaletto
Confezione d’una doccia gessata semplice Confezione d’un gesso circolare
Fratture senza deformazione Confezione d’una doccia gessata semplice Confezione di un gesso circolare
Gambaletto da carico Gesso articolato
Trattamento ortopedico delle fratture Trazione su lettino ortopedico Trattamento d’attesa Raramente trattamento definitivo Trazione verticale (allo zenith) per le fratture della diafisi del femore Trazione a pelle o skintraction (bambini)
Fratture scomposte Riduzione manuale della deformazione ed apparecchio gessato
Precauzioni - sorveglianza del gesso R est I ce C ompression E levation
Flittene da gesso
Prevenire la sindrome di Volkmann Retrazione ischemica dei flessori Sintomi: Dolori all’avambraccio Parestesie alle dita Edema Deformazione acquisite • Flessione del polso • Iperestensione delle MF • Flessione delle IFF
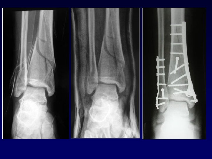
METODI DI OSTEOSINTESI DINAMICA OSTEOSINTESI RIGIDA Generatori endomidollari di forza (osteosintesi dinamiche interne centro-midollari), applicazione di placche semirigide (osteosintesi dinamiche interne periferiche), montaggi di fissazione esterna (osteosintesi dinamica esterna). Il processo riparativo avviene attraverso la callificazione periostale a manicotto apposizionale Viti e placche a compressione (osteosintesi rigida interna periferica), chiodi bloccati (osteosintesi rigida centromidollare), fissatori esterni in compressione (osteosintesi rigida esterna). La giunzione ottenuta è di tipo endosseo, per ossificazione diretta haversiana.
Opzioni terapeutiche • Fissatore esterno: rapidità di applicazione ridottissima invasività chirurgica stabilizzazione della frattura non sempre adeguata • Chiodo endomidollare: buona stabilizzazione della frattura ridotta invasività chirurgica alesaggio ? ? • Placca a compressione: buona stabilizzazione della frattura alta invasività chirurgica
Complicanze precoci • • • Esposizione cutanea Lesione vascolare Lesione nervosa Embolia grassosa Infezione
Complicanze precoci • Lesione nervosa • Embolia grassosa • Infezione
Infezione da germi anaerobi Gangrena gassosa
Complicanze tardive • Callo vizioso • Pseudartrosi • Algodistrofia
Algodistofia post-traumatica Dopo trattamento chirurgico Dopo gesso Osteoporosi
Consolidamento vizioso
Consolidamento vizioso Callo vizioso in varo del terzo distale della tibia
Consolidamento vizioso Eterometria degli arti
Consolidamento vizioso • Callo vizioso in varo ed in recurvato
Consolidamento vizioso • Callo vizioso in rotazione
Consolidamento vizioso Valgo Recurvato Rotazione
Consolidamento vizioso Valgo Sovrapposizione Rotazione
Esempio di correzione di un callo vizioso complesso del femore
RIABILITAZIONE In gesso: A) Sollecitare movimento attivo delle articolazioni libere dal gesso B ) Contrazione di muscoli inclusi nel gesso Dopo rimozione gesso: A) Elettrostimolazioni e massaggi (aumento del tono e trofismo muscolare) B) Contrazione muscolare contro gravità e resistenza C) Mobilizzazione articolare attiva e passiva Con l’osteosintesi inizio precoce della riabilitazione