UNIT 3 CELLS NUCLEUS LARGE MEMBRANEENCLOSED STRUCTURE THAT
UNIT 3 -CELLS
NUCLEUS • LARGE MEMBRANE-ENCLOSED STRUCTURE THAT CONTAINS DNA • SURROUNDED BY A NUCLEAR ENVELOPE
PROKARYOTES • CELLS THAT DO NOT HAVE A NUCLEUS • SMALLER • SIMPLER • BACTERIA
EUKARYOTES • CELLS THAT DO CONTAIN A NUCLEUS • LARGER • MORE COMPLEX • DNA IN NUCLEUS, MANY INTERNAL STRUCTURES
WHAT’S AN ORGANELLE? • THINK OF IT AS A “CELL ORGAN” • ONLY FOUND IN EUKARYOTIC CELLS
RIBOSOMES • ASSEMBLE (PUT TOGETHER) PROTEINS BY FOLLOWING INSTRUCTIONS FROM THE NUCLEUS • SMALL PARTICLES OF RNA & PROTEIN • FOUND IN THE CYTOPLASM OR ON THE ROUGH ER • SMALL MACHINE IN A FACTORY
ROUGH ENDOPLASMIC RETICULUM • PROTEIN SYNTHESIS (MAKING PROTEINS) • RIBOSOMES ARE ON THE SURFACE…THAT’S WHAT MAKES IT ROUGH! • PROTEINS LEAVE THE RIBOSOMES, GO INTO THE ROUGH ER
GOLGI BODIES • PROTEINS GO FROM ROUGH ER TO GOLGI APPARATUS • MODIFIES, SORTS AND PACKAGES PROTEINS • THEN SHIPS PROTEINS TO THEIR FINAL DESTINATION
LYSOSOMES • FILLED WITH ENZYMES • BREAKDOWN LIPIDS, CARBS AND PROTEINS • BREAKDOWN OLD ORGANELLES • THINK OF THEM AS THE “CLEAN UP CREW”
VACUOLES • STORE MATERIALS LIKE WATER, SALTS, PROTEINS AND CARBS • SACLIKE STRUCTURE • CAN BE FOUND IN SOME SINGLE CELLED ORGANISMS FOR MOVEMENT
CENTRAL (LARGE) VACUOLE • PLANT CELLS HAVE SINGLE LARGE VACUOLE FILLED WITH LIQUID • GIVES STRENGTH TO PLANTS TO HOLD UP LEAVES AND FLOWERS
MITOCHONDRIA • CELL “POWER HOUSE” • TWO MEMBRANES • CONVERT CHEMICAL ENERGY FROM FOOD INTO COMPOUNDS THE CELL CAN USE • ONLY INHERITED FROM MOM
CHLOROPLAST • FOUND IN PLANTS • CAPTURE ENERGY FROM SUNLIGHT AND CONVERT IT TO CHEMICAL ENERGY • PHOTOSYNTHESIS • THINK OF “SOLAR POWER PLANTS” • TWO MEMBRANES • CONTAIN PIGMENT (COLOR)-CHLOROPHYLL
CENTRIOLES • LOCATED NEAR THE NUCLEUS • FOUND IN PAIRS • ORGANIZE CELL DIVISION (MITOSIS/MEIOSIS) • MADE OF MICROTUBULES • NOT FOUND IN PLANT CELLS
CELL WALL • FOUND IN PLANTS • PROVIDES SUPPORT AND PROTECTION FOR THE CELL • MADE OF CELLULOSE (WHICH IS A CARB!) • WOOD AND PAPER
CELL (PLASMA) MEMBRANE • DETERMINES WHAT ENTERS AND EXITS THE CELL • PROVIDES PROTECTION AND SUPPORT • COMPOSED OF LIPID BILAYER (DOUBLE-LAYERED SHEETS)
CYTOPLASM • THICK SOLUTION-THINK OF “GOO” • MADE OF WATER, SALTS AND PROTEINS • PORTION OF THE CELL OUTSIDE OF THE NUCLEUS
PLANT VS. ANIMAL
PHOSPHOLIPID BILAYER • TWO LAYERS OF LIPID MOLECULES • FOUND IN ALL CELL MEMBRANES • BARRIER FOR THE CELL (ALLOWS THINGS IN AND OUT) • ONLY ALLOWS WATER AND GAS TO PASS THROUGH FREELY • LARGE AND SMALL POLAR MOLECULES CANNOT CROSS WITHOUT HELP • HYDROPHILIC-WATER LOVING • HYDROPHOBIC-WATER HATING
PHOSPHOLIPID BILAYER Micelle
PROTEINS • ALLOW FOR INTERACTIONS BETWEEN CELLS *CHANNELS & PUMPS • TWO TYPES IN MEMBRANE: • INTEGRAL-EMBEDDED, SPAN THE ENTIRE MEMBRANE • PERIPHERAL-ON EDGE OF MEMBRANE, MOVE MORE FREELY • TRAVEL! • ALSO CAN TRANSMIT SIGNALS
TRANSPORT
GOALS • COMPARE AND CONTRAST ACTIVE TRANSPORT AND PASSIVE TRANSPORT • DIFFUSION • OSMOSIS • ENDOCYTOSIS • EXOCYTOSIS • PHAGOCYTOSIS • PINOCYTOSIS
PASSIVE TRANSPORT • NO ATP (ENERGY) REQUIRED • MOVE FROM AN AREA THAT IS MORE CONCENTRATED TO LESS CONCENTRATED • WITH THE CONCENTRATION GRADIENT • EX: DIFFUSION & OSMOSIS
DIFFUSION • PARTICLES MOVE FROM MORE CONCENTRATED TO LESS
FACILITATED DIFFUSION • PROTEINS IN THE MEMBRANE ALLOW LARGER MOLECULES TO MOVE ACROSS THE MEMBRANE
OSMOSIS • DIFFUSION OF WATER THROUGH A SELECTIVELY PERMEABLE MEMBRANE
HYPERTONIC, HYPOTONIC, ISOTONIC • HYPERTONIC: MORE SOLUTES, LESS WATER RUSHES OUT OF THE CELL & PLASMOLYSIS OCCURS (SHRINKS) • HYPOTONIC: LESS SOLUTES, MORE WATER RUSHES INTO THE CELL & CYTOLYSIS OCCURS (BURSTS) • ISOTONIC: EQUAL CONCENTRATIONS OF WATER & SOLUTES INSIDE & OUTSIDE THE CELL
OSMOSIS
OSMOSIS • HTTPS: //WWW. YOUTUBE. COM/WATCH? V=IAZ 8 MTF 3 C 6 M
ACTIVE TRANSPORT • ATP (ENERGY) IS REQUIRED • MOVE FROM AN AREA THAT IS LESS CONCENTRATED TO MORE CONCENTRATED • AGAINST THE CONCENTRATION GRADIENT • EXAMPLES: ENDOCYTOSIS & EXOCYTOSIS
ENDOCYTOSIS • TAKING THINGS INTO THE CELL BY FOLDING THE CELL MEMBRANE • PHAGOCYTOSIS: EXTENSIONS FROM CYTOPLASM SURROUND A PARTICLE AND PACKAGE IT IN A FOOD VACUOLE. THE CELL THEN ENGULFS IT (THINK OF THE CELL AS EATING IT ) • PINOCYTOSIS: CELLS TAKE IN WATER AND POCKETS FORM IN THE MEMBRANE. THEY PINCH OFF TO FORM VACUOLES IN THE CELL.
EXOCYTOSIS • MEMBRANE OF A VACUOLE STICKS TO CELL MEMBRANE AND FORCES THE CONTENTS OUT OF THE CELL
ENDOCYTOSIS VS. EXOCYTOSIS
• HTTPS: //WWW. YOUTUBE. COM/WATCH? V=EMPFJFMW_O 8
DNA
GOALS • MODEL THE COMPONENTS OF A DNA NUCLEOTIDE • DESCRIBE THE WATSON-CRICK MODEL OF DNA, USING BASE-PAIR RULING • DESCRIBE AND MODEL THE PROCESS OF REPLICATION
NUCLEOTIDES • TWO TYPES OF NITROGENOUS BASES: • PURINES • PYRIMIDINES • PURINES PAIR WITH PYRIMIDINES
PURINES AND PYRIMIDINES • PURINES: • DOUBLE RING PYRIMIDINES: • SINGLE RING • ADENINE • CYTOSINE • GUANINE • THYMINE
DNA • 2 METERS OF DNA IN EACH CELL OF YOUR BODY • DNA WRAPS AROUND HISTONE PROTEINS TO FORM CHROMATIN • BEFORE CELL DIVISION, CHROMATIN WINDS UP (CONDENSES) TO FORM CHROMOSOMES
DNA REPLICATION • PROCESS IS SEMI-CONSERVATIVE: • EACH “NEW” MOLECULE OF DNA HAS ONE STRAND THAT IS NEW, AND ONE THAT CAME FROM THE ORIGINAL STRAND
REPLICATION PROCESS 1. HELICASE UNWINDS THE DNA & SEPARATES THE STRANDS 2. DNA POLYMERASE BINDS TO EACH TEMPLATE STRAND OF DNA 3. AS DNA POLYMERASE MOVES ALONG THE STRAND, NEW NUCLEOTIDES ARE ADDED RESULT: 2 IDENTICAL DNA MOLECULES
CELL DIVISION
GOALS • DESCRIBE THE MAIN EVENTS IN THE CELL CYCLE, INCLUDING THE DIFFERENCES IN PLANT AND ANIMAL CELL DIVISION: CONCEPTS, NOT NAMES • LIST IN ORDER AND DESCRIBE THE STAGES OF MITOSIS
WHY DO CELLS DIVIDE? • AFTER REACHING A CERTAIN SIZE, CELLS HAVE DIFFICULTY BRINGING IN NUTRIENTS • THERE ARE 3 PHASES OF THE CELL CYCLE: • INTERPHASE-CELLS GROW AND PREPARE TO DIVIDE • MITOSIS (M PHASE)-WHERE THE NUCLEUS DIVIDES • CYTOKINESIS-WHERE THE CYTOPLASM DIVIDES, RESULTING IN 2 DAUGHTER CELLS
CELL CYCLE: INTERPHASE • 3 PHASES • G 1 -CELLS GROW, MAKE NEW PROTEINS & ORGANELLES • S-DNA IS REPLICATED • G 2 -ORGANELLES ARE PRODUCED IN PREPARATION FOR DIVISION
ANATOMY OF A CHROMOSOME:
1 ST STAGE 1. NUCLEAR ENVELOPE DISAPPEARS 2. CHROMATIN CONDENSES INTO CHROMOSOMES 3. SPINDLE FIBERS FORM & ATTACH TO CENTROMERES 4. CENTRIOLES MOVE TO OPPOSITE ENDS OF THE CELL 5. THE NUCLEOLUS DISAPPEARS
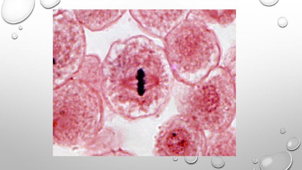
2 ND STAGE • THE SPINDLE FIBERS PULL ON THE CENTROMERES TO ALIGN THE CHROMOSOMES AT THE EQUATOR
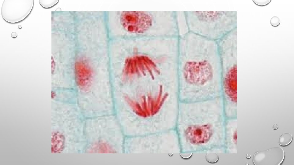
3 RD STAGE • THE SPINDLE FIBERS PULL ON THE CENTROMERES AND PULL THE SISTER CHROMATIDS APART TOWARDS EACH POLE (CENTRIOLES)
4 TH STAGE 1. NUCLEAR ENVELOPES FORM 2. CHROMOSOMES DECONDENSE INTO CHROMATIN 3. SPINDLE FIBERS DISAPPEAR 4. NUCLEOLUS REAPPEARS 5. CLEAVAGE FURROW (ANIMALS) OR CELL PLATE (PLANTS) FORM *FOLLOWED BY CYTOKINESIS TO FORM TWO DAUGHTER CELLS
https: //www. youtube. com/watch? v=Jc. ZQkmooy. Pk#t=22
- Slides: 87