Unit 05 Tissues Latin Word Write Prefix Root




























































- Slides: 60
Unit 05 Tissues
Latin Word Write Prefix, Root, Suffix Definition Epi- Prefix Above Theli Root Nipple; Teat -um Suffix Structure; tissue; thing Matrix Root Womb Inter Prefix between Squamous Root Scale Pseudo- Prefix False Endo- Prefix Inner Exo- Prefix Outer Mero- Prefix Partially Apo- Prefix Away from Holo- Root Whole; Entire Crine Root Secrete Lumen Root Light (cavity or channel) -blast Suffix Germ; sprout Lacunae Root Unfilled gap or space
Write 5. 1 Introduction
Write Objective 5. 1. 1 I can identify the components that make up a tissue.
Listen Tissues Cells Matrix (Intercellular Matrix)
Write • Tissues are composed of: Tissues • Cells • Groups/layers of cells with similar structure working together to carry out a certain function. • Matrix • Fluid and other substances surrounding the cells Tissue Matrix (Intercellular Substance) Cells
Write Objective 5. 1. 2 I can list the four major categories of human body tissues and how they are classified.
Write Muscle 3 Epithelium 9 All Body Tissues Nervous 1 4 Types of Tissue Connective 6
Write Tissue Classification • Body tissues are classified by their cellular structure and function.
Write 5. 2 Epithelial Tissues
Write Objective 5. 2. 1 I can identify and define the general characteristics and functions of epithelial tissue.
Free Surface Basement Membrane Connective Tissue
Write Epithelial Tissue General Characteristics Structure Function • Free surface and basement membrane • Protective coverings • No blood vessels • Cells are tightly packed (very little matrix) • Divide quickly • Secretion • Absorption • Sensory Reception
Write Objective 5. 2. 2 I can identify and classify the 9 types of epithelial tissue.
Write Epithelial Tissue Classification • Epithelial tissue is classified by: • Cell type • # of layers
Write and Draw Cuboidal Epithelial Cell Types Squamous Columnar Simple = 1 layer Stratified = More than 1 layer
Number of Layers Specialized Glandular Cell Type Transitional
Stratified Squamous
Simple Columnar
Simple Columnar
Stratified Columnar
Simple Squamous Epithelium Composed of: • Squamous Cells • 1 Layer Characteristics: • Diffusion/Filtration • Easily Damaged • Quickly Reproduce Locations • Alveoli (Lungs) • Capillaries • Blood/Lymph Vessels • Parietal Membranes Basement Membrane Connective Tissue
Simple Cuboidal Epithelium Composed of: • Cuboidal Cells • 1 Layer Characteristics: • Nucleus in center • Secretion/absorption • Surrounds a lumen Locations • Ovaries • Kidneys • Ducts of glands Lumen
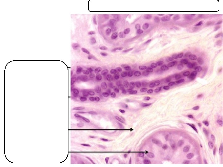
Simple Columnar Epithelium Composed of: • Columnar Cells • 1 Layer Characteristics: • Nuclei at same level • Elongation = protection • Secretion/Absorption • Microvilli/Cillia • Goblet Cells = mucous Locations • Trachea • Uterus • Digestive Tract Goblet Cell Basement Membrane Connective Tissue
Psuedostratified Columnar Epithelium Composed of: • Columnar Cells • 1 Layer Characteristics: • Nuclei at different levels • Elongation = protection • Secretion/Absorption • Microvilli/Cillia • Goblet Cells = mucous Locations • Respiratory tract Goblet Cell Basement Membrane Connective Tissue
Stratified Squamous Epithelium Composed of: • Squamous Cells • Multiple Layers Characteristics: • Thick • Provides Protection Locations • Epidermis of Skin Basement Membrane Connective Tissue
Stratified Cuboidal Epithelium Composed of: • Cuboidal Cells • 2 -3 Layers Characteristics: • Lines a lumen • Protection of glands Lumen Locations • Mammary glands • Sweat glands • Salivary glands Lumen
Stratified Columnar Epithelium Composed of: • Columnar Cells • Multiple Layers Characteristics: • Bottom layer more cuboid Basement Membrane Connective Tissue Locations • Urethra • Vas Deferens • Pharynx
Transitional Composed of: • Cuboidal • Multiple layers Characteristics: • Stretchy Locations • Bladder • Urinary Tract
Glandular Composed of: • Specialized cells Characteristics: • Found within cuboidal/columnar epithelium tissue Locations • Glands
Write Objective 5. 2. 3 Students will be able to describe the structure and function of a gland.
Glands • Gland • Structure: • Composed of one or more specialized cells. • Function: • To secrete substances
Write Objective 5. 2. 4 Students will be able to differentiate between endocrine and exocrine glands
Endocrine and Exocrine glands Endocrine Exocrine • Secrete inside • Examples: • Secrete outside • Lots • Endocrine system • Examples • Sweat glands • Mammary glands
Write Objective 5. 2. 5 Students will be able to differentiate between the three types of specialized glandular cells and how they work.
• Merocrine • “partial secretion” • Release watery fluid via exocytosis • Apocrine • “away from secretion” • Top part is lost in secretion • Holocrine • “whole secretion” • Entire cell is lost in secretion
Write 5. 3 Connective Tissue
Write Objective 5. 3. 1 Students will understand the general characteristics of connective tissue.
Write Connective Tissue General Characteristics Structure • Cells are farther apart • More Matrix • Can divide • Blood Vessels/Blood Supply Function • Bind Structures • Provide Support/Protection • Fill spaces • Store fat • Produce Blood • Fight infections • Repair tissue damage
Write Objective 5. 3. 2 Students will be able to identify the components of connective tissue
Write Epithelial Tissue Classification • Connective Tissue are classified by • Cell type • Fiber composition in the matrix
Write and Draw Connective Tissue Cell Types • Fibroblasts • Star shaped • Produce fibers into the matrix • Macrophages • Defensive cells that eat invaders via phagocytosis • Mast Cells • Release heparin which prevents blood clotting • Release histamine which causes inflammation
Write Collagenous Connective Tissue Fibers Elastic Reticular Thick Fibers Thin fibers composed of collagen of elastin protein of collagen protein Long parallel bundles Branches Highly branched Flexible; only slightly elastic Create delicate supports Stretch easily and resumes shape Resists pulling forces Example: Ligament and tendons Example: Vocal cords Example: Lymph tissue
Write and Draw Connective Tissue Fibers • Collagenous Fibers • Thick fibers composed of collagen protein • Long parallel bundles • Flexible; only slightly elastic • Resist pulling forces • Example: Ligaments and Tendons • Elastic Fibers • Thin fibers composed of elastin protein • Form branches • Stretch easily and resume original shape • Example: vocal cords • Reticular Fibers • Thin fibers composed of collagen • Highly branched • Create delicate supports
Write Objective 10 Students will able to categorize the 6 connective tissues as either Connective Tissue Proper or specialized Connective Tissue
Two Types of Connective Tissue Proper • Loose Connective Tissue • Adipose Tissue • Dense Connective Tissue Specialized Connective Tissue • Cartilage • Bones • Blood
Write Objective 11 Students will able to identify the 6 connective tissue types based on their composition and looks.
Loose Connective Tissue Composed of: • Spread out fibroblast cells • Many collagenous and elastic fibers spread out Characteristics: • Forms delicate thin membranes • Bind skin to organs • Fills space b/w muscles Locations • All over body
Loose Connective Tissue Composed of: • Very few fibroblasts • Collagen and elastic fibers densely packed Characteristics: • Binds body parts together • Poor blood supply = slow regeneration • Resistant to force Locations • Tendons (bone to muscle) ligaments (bone to bone)
Adipose Tissue Composed of: • Adipocytes Characteristics: • Cushions joints • Stores fat for energy Locations • Under the skin • Abdominal cavity • Around kidneys
Cartilage Composed of: • Chondrocytes • Collagen Fibers • Lacunae Characteristics: • Rigid • Support • Protection • Attachment Locations • Ribs • Ear • Nose • Joints
Bone Composed of: • Mineral Salts (calcium) • Osteocytes • Collagen Fibers Characteristics: • Most Rigid • Internal Support • Protection • Muscle Attachment • Central Canal • Osteons (concentric circles) Locations • Skeleton
Blood Composed of: • RBC • WBC • Platelets • Plasma Characteristics: • Transports • Immune System Locations • Arteries and Veins
Write Objective 11 Students will be able to
Write Objective 11 Students will understand the general characteristics of muscle tissue.