UNE PARALYSIE DES NERFS MIXTES REVELANT UN INFARCTUS






















- Slides: 22
UNE PARALYSIE DES NERFS MIXTES REVELANT UN INFARCTUS BULBAIRE LATERAL: à propos d’un cas N. Mrabet, S. Esseghaier, A. Baccar, N. Achour, N. Saddoud, CH. Chammakhi, M. H. Daghfous Service d’Imagerie médicale Hôpital Habib Thameur. Tunis
INTRODUCTION ¡ ¡ Le diagnostic des accidents vasculaires du tronc cérébral nécessite une bonne connaissance de la clinique et de l’anatomie fonctionnelle de celui ci. L’imagerie par résonance magnétique (IRM) grâce à son excellente résolution en contraste et ses acquisitions multi-planaires constitue le moyen d’imagerie incontournable pour confirmer le diagnostic et préciser la prise en charge ultérieure.
RAPPEL ANATOMIQUE ¡ ¡ ¡ Le tronc cérébral est composé de haut en bas par le mésencéphale, le pont et le bulbe. Les 3 étages du tronc sont anatomiquement complexes et le sièges des noyaux des nerfs crâniens qui sont connectés avec le cortex cérébral, le thalamus et la moelle épinière. La vascularisation du tronc est assurée par des branches de l’artère vertébrale: artère cérébelleuse postéro inférieure(PICA), artère cérébelleuse antéro infèrieure(AICA), artère cérébelleuse supérieure(SCA) et l’artère communicante postérieure.
RAPPEL ANATOMIQUE
RAPPEL ANATOMIQUE VASCULARISATION DU TRONC CEREBRAL
RAPPEL ANATOMIQUE
MATERIELS ET METHODES ¡ ¡ ¡ o Homme âgé de 63 ans signes fonctionnels: dysphagie et dysphonie depuis 3 mois signes cliniques: o nystagmus rotatoire o déviation du corps vers la droite o paralysie de l’hémi-voile et de l’hémipharynx droits o hypœsthésie thermo-algique gauche Il a été exploré par une IRM cérébrale après une TDM cérébrale normale.
MATERIELS ET METHODES IRM cérébrale: *Général Electric (3 tesla) *antenne tête *séquences: l l l axiales T 1, T 2, FLAIR, diffusion et T 2* coronale et sagittale T 2 Angio-MR artérielle du polygone de Willis et des troncs supra aortiques par temps de vol (3 D TOF) et avec injection de Gadolinium.
RESULTATS ¡ ¡ Hypersignal latéral droit du bulbe sur les séquences T 2, FLAIR et de diffusion en discret hypersignal T 1. Les séquences d’Angio. MR en temps de vol 3 D TOF et avec injection de gadolinium montrent une occlusion distale de l’artère vertébrale droite en amont de la naissance de la PICA.
RESULTATS Séquences axiale et coronale T 2: hypersignal de la partie latérale droite du bulbe
Séquence axiale FLAIR : hypersignal de la partie latérale droite du bulbe
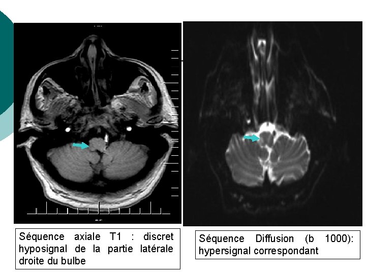
RESULTATS Séquence axiale T 1 : discret hyposignal de la partie latérale droite du bulbe Séquence Diffusion (b 1000): hypersignal correspondant
RESULTATS Séquence d’Angio-MR 3 D TOF du polygone de Willis: Occlusion distale de l’artère vertébrale droite (flèches). Remarquer la perméabilité de l’artère en amont (flèche courbe).
Séquence d’Angio-MR avec injection de Gadolinium et MIP des troncs supra -aortiques : Occlusion distale de l’artère vertébrale droite (flèches).
DISCUSSION Le syndrome de Wallenberg ou infarctus bulbaire latéral ou syndrome latéral du bulbe a été décrit pour la première fois par Adolf Wallenberg, un neurologue allemand qui a décrit les manifestations cliniques (1895) et publié les conclusions autopsiques (1901) des occlusions de l’artère inférieure et postérieure du cervelet.
DISCUSSION: ETIOLOGIES Occlusion de l’artère vertébrale ou de la PICA: ¡ Athérome(sujet âgé) ¡ Sujet jeune: anomalies du tissu conjonctif, dysplasie fibro-musculaire… ¡ Dissection de l’artère vertébrale>>>>> + post traumatique, après manipulation du rachis cervical ¡ Embolies septiques (endocardite infectieuse)
DISCUSSION: CLINIQUE Syndrome alterne: v du coté de la lésion: l signe de Claude Bernard Horner (avec myosis, ptosis et énophtalmie) l hémianesthésie de la face (lésion du noyau du V) l paralysie de l’hémi-voile, hémi-pharynx et de la corde vocale (troubles de la déglutition et dysphagie): atteinte des noyaux VIII, IX, X l syndrome vestibulaire (vertiges, nausées, vomissements, nystagmus) l Hémi-syndrome cérébelleux v du coté opposé: l Hémianesthésie des membres l marche instable
DISCUSSION : IMAGERIE La méthode d’imagerie idéale pour le diagnostic de l’infarctus bulbaire latéral doit être rapide, sure, permettre de faire le diagnostic différentiel entre ischémie et hémorragie et d’explorer dans le même temps le tronc cérébral et les vaisseaux intra et extra crâniens. ¡ Ceci est rendu possible grâce à l’avènement de l’IRM. ¡
DISCUSSION : IMAGERIE ¡ ¡ L’IRM permet de visualiser l’infarctus bulbaire quelque soit sa taille. En séquences conventionnelles, l’ischémie se traduit par une hypo intensité en T 1 dés les premières heures, une hyper intensité en T 2 et en FLAIR est notée dans 80% des cas à 24 H. La séquence FLAIR est la plus efficace et la plus performante pour l’exploration du tronc cérébral. Les anomalies de l’IRM de diffusion apparaissent avant la 6ème heure alors que la séquence T 2 est encore normale avec une spécificité dépassant 95%.
DISCUSSION : IMAGERIE ¡ ¡ L’angiographie est moins sensible que l’angio-RM; en effet elle ne visualise que les occlusions ou sténoses des gros vaisseaux (artère vertébrale+++, rarement des anomalies angiographiques au niveau de la PICA). La tomodensitométrie échoue la plus part du temps dans le diagnostic du syndrome de Wallenberg. Elle sera réalisée pour éliminer une hémorragie dans un contexte d’urgence étant donné sa disponibilité.
CONCLUSION ¡ ¡ L’anatomie du tronc cérébral est extrêmement complexe et des infarctus même minimes sont pourvoyeurs d’une symptomatologie clinique très riche et peuvent avoir des répercussions désastreuses. C’est grâce à l’avènement de l’IRM , et sous réserve d’une bonne connaissance de l’anatomie du tronc cérébral, qu’un radiologue est capable de faire une corrélation entre la clinique du patient et les anomalies radiologiques trouvées.
REFERENCES ¡ ¡ ¡ MR imaging of posterior fossa infarctions vascular territories and clinical correlations (radigraphics) spectrum of lateral medullary syndrome (american stroke association) pur infarctus médullaire latéral: corrélations radiocliniques de 130 patients( advanced access publication May 21, 2003) Patterns of d’infarctus médullaire latéral(american heart association 1998) neuro imagerie Masson DIETMAN