Une femme de 40 ans dcrit des douleurs













































- Slides: 45
Une femme de 40 ans décrit des douleurs des chevilles apparues en décembre 2009, insuffisamment soulagées par la prise d’antalgiques mais répondant bien aux AINS. ATCD : HTA traitée par Avlocardyl, une grossesse, pas d’antécédent de faussecouche, pas d’antécédent thromboembolique. Vous la voyez pour la 1ère fois début février 2010 car sont apparues secondairement des douleurs très invalidantes du genou gauche, du poignet droit et du coude droit. L’examen clinique montre encore un empâtement des chevilles, révèle des douleurs à la pression du poignet droit et réveille des douleurs du coude droit à la mobilisation. L’auscultation cardio-pulmonaire est par ailleurs normale, la pression artérielle est à 11/6, le poids est à 71 kg pour 1 m 65. Vous réalisez des radiographies standard : chevilles, genoux, mains et poignets qui sont sensiblement normales ainsi qu’un bilan biologique: hémoglobine : 13, 8 g/d. L, globules blancs 5 400/mm 3, plaquettes 195 000/mm 3, VS : 8 mm/h, CRP : 3 mg/L.
Question 1 : A ce stade de la démarche diagnostique, quels examens complémentaires demandez-vous ? A – Anticorps antinucléaires B – Facteur rhumatoïde C – Enzyme de conversion D – Sérodiagnostic de parvovirus B 19 E – Radiographies de thorax
Question 1 : A ce stade de la démarche diagnostique, quels examens complémentaires demandez-vous ? A – Anticorps antinucléaires B – Facteur rhumatoïde C – Enzyme de conversion D – Sérodiagnostic de parvovirus B 19 E – Radiographies de thorax
Le facteur rhumatoïde est positif à 132 U (normale < 14, technique immunoturbidimétrique), la sérologie de Lyme est positive en Ig. G, parvovirus B 19 négatif, les anticorps antinucléaires sont positifs à 1/1280 de fluorescence homogène. Voici la radiographie de thorax :
Question 2 : Tous les examens précédents sont normaux hormis les Ac antinucléaires à 1/640 fluorescence homogène, votre diagnostic hésite toujours entre PR débutante et lupus systémique. Quels éléments sémiologiques cliniques seront en faveur du diagnostic de lupus ? A – Phénomène de Raynaud B – Photosensibilité C – Ulcérations buccales D – Chute anormale des cheveux E – Xérostomie et/ou xérophtalmie
Question 2 : Tous les examens précédents sont normaux hormis les Ac antinucléaires à 1/640 fluorescence homogène, votre diagnostic hésite toujours entre PR débutante et lupus systémique. Quels éléments sémiologiques cliniques seront en faveur du diagnostic de lupus ? A – Phénomène de Raynaud B – Photosensibilité C – Ulcérations buccales D – Chute anormale des cheveux E – Xérostomie et/ou xérophtalmie
Tous les lupus systémiques n’ont pas le masque de loup!
Question 3 : Afin de mieux différencier PR débutante et lupus systémique, vous demandez quelques examens biologiques complémentaires, lesquels peuvent vous apporter un argument en faveur du lupus ? A – Anticorps antipeptide citrulliné B – Anticorps anticardiolipine C – Anticorps antiprothrombinase D – Bandelette urinaire E – Anticorps anti-Sm F – Test de Farr
Question 3 : Afin de mieux différencier PR débutante et lupus systémique, vous demandez quelques examens biologiques complémentaires, lesquels peuvent vous apporter un argument en faveur du lupus en cas de positivité ? A – Anticorps antipeptide citrulliné B – Anticorps anticardiolipine C – Anticorps antiprothrombinase D – Bandelette urinaire E – Anticorps anti-Sm F – Test de Farr
Critères de classification ACR 1982 modifiés 1997 1) Eruption malaire en ailes de papillon 2) Eruption de lupus discoïde 3) Photosensibilité 4) Ulcérations buccales ou nasopharyngées 5) Polyarthrites non érosives 6) Pleurésie ou péricardite 7) Atteinte rénale : protéinurie > 0, 5 g/24 h ou +++ ou cylindres urinaires 8) Atteinte nerveuse : convulsions ou psychoses 9) Atteinte sanguine : anémie hémolytique avec hyperréticulocytose ou leucopénie < 4 000/mm 3 ou lymphopénie < 1 500/mm 3 ou thrombopénie < 100 000/mm 3 10) Désordres immunitaires : anticorps anti-DNA natif ou anticorps anti-Sm ou sérologie syphilitique faussement positive ou présence d’une concentration anormale d’Ig. G ou d’Ig. M anticardiolipine, ou présence d’un anticoagulant circulant 11) Présence d’un titre anormal d’anticorps antinucléaires L’association de 4 critères est nécessaire pour obtenir le diagnostic de maladie lupique
Délai d’apparition des ANA dans le lupus - 130 lupus/5 millions de personnes du personnel de l’armée US - Apparition des auto-anticorps en moyenne 3, 3 ans avant le diagnostic de lupus - Les anti-DNA apparaissent en moyenne 2, 2 ans avant le diagnostic Arbuckle MR. N Engl J Med 2003; 349: 1526
IF sur lignées Hep 2 : attention au seuil de positivité Positivité ≥ 1/80
Positivité des AAN dans une population témoin • ≥ 1/40 = 31, 7 % • ≥ 1/80 = 13, 3 % • ≥ 1/160 = 5, 0 % • ≥ 1/320 = 3, 3 % A partir d’une population témoin âgée de 21 à 60 ans ; n = 125 Pas de différence significative selon les tranches d’âge (21 -30, 31 -40, 41 -50, 51 -60) Tan. Arthritis Rheum 1997; 40: 1600
IF sur lignées Hep 2 : Type de fluorescence • homogène • mouchetée • nucléolaire • type centromère
Anticorps anti-DNA natif: Valeur diagnostique du test de Farr • Sensibilité = 75 % • Spécificité = 97 % • VPP = 97 % • VPN = 54 % seuil de positivité à 12 Avina-Zubieta. Lupus 1995; 4: 370
Typage des ANA solubles: ELISA, OUCHTERLONY, BLOT • SSA/SSB: 30 % • Sm: très spécifiques, 30% • RNP ou U 1 RNP ou sn RNP: 40% • autres ENA: anti PCNA. .
Antiphospholipides • VDRL • Ac anticardiolipine • Antiprothrombinase
Valeur diagnostique des ANA et APL
Question 4 : Le test de Farr est négatif, il n’y a pas d’anticorps anticardiolipine, pas d’antiprothrombinase, pas d’anticorps anti-CCP. Le profil électrophorétique est normal. La bandelette urinaire est négative. Votre diagnostic hésite toujours entre PR débutante et lupus systémique. Nous sommes à 6 mois d’évolution du rhumatisme inflammatoire, quelle décision prenez-vous alors, les douleurs articulaires étant bien contrôlées par les AINS mais avec une dépendance évidente A – Mise sous corticoïdes B – Introduction du Plaquenil C – IRM ou écho mains et poignets D – Contrôle des anticorps anti-CCP E – Echocardiographie
Question 4 : Le test de Farr est négatif, il n’y a pas d’anticorps anticardiolipine, pas d’antiprothrombinase, pas d’anticorps anti-CCP. Le profil électrophorétique est normal. La bandelette urinaire est négative. Votre diagnostic hésite toujours entre PR débutante et lupus systémique. Nous sommes à 6 mois d’évolution du rhumatisme inflammatoire, quelle décision prenez-vous alors, les douleurs articulaires étant bien contrôlées par les AINS mais avec une dépendance évidente A – Mise sous corticoïdes B – Introduction du Plaquenil C – IRM ou écho mains et poignets D – Contrôle des anticorps anti-CCP E – Contrôle du test de Farr
Délai d’apparition des ANA dans le lupus - 130 lupus/5 millions de personnes du personnel de l’armée US - Apparition des auto-anticorps en moyenne 3, 3 ans avant le diagnostic de lupus - Les anti-DNA apparaissent en moyenne 2, 2 ans avant le diagnostic Arbuckle MR. N Engl J Med 2003; 349: 1526
Critères de classification ACR 1982 modifiés 1997 1) Eruption malaire en ailes de papillon 2) Eruption de lupus discoïde 3) Photosensibilité 4) Ulcérations buccales ou nasopharyngées 5) Polyarthrites non érosives 6) Pleurésie ou péricardite 7) Atteinte rénale : protéinurie > 0, 5 g/24 h ou +++ ou cylindres urinaires 8) Atteinte nerveuse : convulsions ou psychoses 9) Atteinte sanguine : anémie hémolytique avec hyperréticulocytose ou leucopénie < 4 000/mm 3 ou lymphopénie < 1 500/mm 3 ou thrombopénie < 100 000/mm 3 10) Désordres immunitaires : anticorps anti-DNA natif ou anticorps anti-Sm ou sérologie syphilitique faussement positive ou présence d’une concentration anormale d’Ig. G ou d’Ig. M anticardiolipine, ou présence d’un anticoagulant circulant 11) Présence d’un titre anormal d’anticorps antinucléaires L’association de 4 critères est nécessaire pour obtenir le diagnostic de maladie lupique
Erosions vues en IRM au cours d’une PR
Question 5 Quels examens sont utiles pour la surveillance ophtalmologique des antipaludéens de synthèse : a) Contrôle de l’acuité visuelle b) Fond d’oeil c) Evaluation de la vision des couleurs d) Electrorétinogramme e) PEV
Question 5 Quels examens sont utiles pour la surveillance ophtalmologique des antipaludéens de synthèse : a) Contrôle de l’acuité visuelle b) Fond d’oeil c) Evaluation de la vision des couleurs d) Electrorétinogramme e) PEV
Toxicité oculaire des antipaludéens de synthèse
Question 6 Vous voyez la patiente après 3 mois de traitement par Plaquenil. Elle est alors totalement asymptomatique. Vous vous rendez alors compte que dans son bilan biologique vous avez oublié un marqueur biologique essentiel à visée diagnostique A – a galactosidase B – Anticorps anti- 2 -glycoprotéine 1 C – Anticorps anti-topoisomérase 1 D – Anticorps anti-J 01 E – Anticorps anti-histone
Question 6 Vous voyez la patiente après 3 mois de traitement par Plaquenil. Elle est alors totalement asymptomatique. Vous vous rendez alors compte que dans son bilan biologique vous avez oublié un marqueur biologique essentiel à visée diagnostique A – a galactosidase B – Anticorps anti- 2 -glycoprotéine 1 C – Anticorps anti-topoisomérase 1 D – Anticorps anti-J 01 E – Anticorps anti-histone
Anticorps anti-histone • Sont détectés par technique ELISA • Retrouvés dans 41 à 51 % des lupus systémiques, dans 64 à 80 % des lupus induits • Spécificité de la reconnaissance des anti-histone par facteur décroissant H 1 > H 2 B > H 2 A > H 3 > H 4 • Y penser si fluorescence homogène sans anti-DNA
Médicaments inducteurs de lupus selon Vergne et coll. légèrement modifié Médicaments pour lesquels la relation de cause à effet est établie
Médicaments qui relèvent du cas clinique ou pour lesquels la relation n’est pas définitivement établie Le niveau d’imputabilité de chacun de ces médicaments peut être variable, se référer à chaque médicament individuellement avant de prendre une décision thérapeutique. Pour liste plus complète consulter la banque de données BIAM
Lupus induit: clinique - moindre prédominance féminine (2 femmes pour un homme vs 8 à 1 O pour un). - Lupus peu sévère - Signes articulaires à type d’arthralgies et/ou d’arthrites sont les plus fréquents (80 à 90 % des cas), - myalgies (jusqu’à 50 % des cas), - signes cutanés (25 à 53 % des cas), vespertilio, alopécie, lupus discoïde et ulcérations muqueuses sont rares: Le plus souvent il s’agit d’un érythème à type de photosensibilité - sérites (pleurésie et péricardite), fièvre, hépatomégalie, splénomégalie. - Ni manifestation neurologique centrale, ni atteinte rénale. - Rares atteintes rénales rapportées avec la D-pénicillamine, l’hydralazine, le propylthiouracile, la procaïnamide, certains anticonvulsivants et la griséofulvine.
Lupus induit: biologie - Rare anémie, leucopénie, thrombopénie - AAN homogènes, parfois mouchetés - Ac antihistones présents dans 80% des cas (mais 20% des lupus systémiques), très évocateurs du diagnostic en l’absence d’anti. DNA - Ac anti Sm et SSA/SSB habituellement absents - Anti. DNA double brin possibles avec minocycline, D-pénicillamine, étanercept, infliximab et certains bêtabloquants
Lupus induit: anti-TNF - 11% AAN ≥ 1/40 PR traités 6 mois Etanercept, 15% positivent le test de Farr - possible DNA natif double brin -0, 22% de lupus induit PR traitée par Infliximab
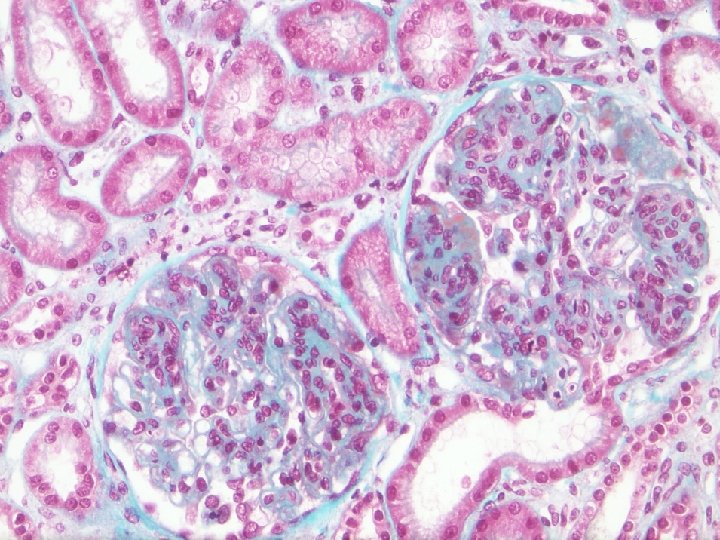
Question 7 Vous revoyez la patiente en Juillet 2010 pour des œdèmes de MI, la protéinurie est à 2, 5 g/24 h La TA est à 125/76, la créatinine à 87 m. Mol/L. La PBR est en faveur d’une glomérulonéphrite proliférative segmentaire et focal avec un index d’activité à 6/12 et un index de chronicité à 0/24. Quel traitement proposez vous? a) Bolus IV de méthylprednisolone b) prednisone à 20 mg/j c) Introduction du MTX d) Introduction du MMF e) Mise sous Rituximab
Question 7 Vous revoyez la patiente en Juillet 2010 pour des œdèmes de MI, la protéinurie est à 2, 5 g/24 h La TA est à 125/76, la créatinine à 87 m. Mol/L. La PBR est en faveur d’une glomérulonéphrite proliférative segmentaire et focal avec un index d’activité à 6/12 et un index de chronicité à 0/24. Quel traitement proposez vous? a) Bolus IV de méthylprednisolone b) prednisone à 20 mg/j c) Introduction du MTX d) Introduction du MMF e) Mise sous Rituximab
Atteinte rénale: Classification de l’OMS Classe I : glomérules optiquement normaux (dépôts mésangiaux d’Ig en IF) Classe II : atteinte mésangiale avec épaississement et prolifération cellulaire ; IF positive Classe III : glomérulonéphrite segmentaire et focale : prolifération endo- et/ou extracapillaire avec moins de 50% des glomérules touchés Classe IV : glomérulonéphrite proliférative diffuse : atteinte endo- et parfois extracapillaire avec atteinte de plus de 50 % des glomérules Classe V : glomérulonéphrite extramembraneuse Classe VI : glomérulonéphrite avec sclérose évoluée