Undervisning i oral helse Personer med utviklingshemming Prioriterte





































- Slides: 37
Undervisning i oral helse Personer med utviklingshemming
Prioriterte grupper Lov om tannhelsetjenesten: Den offentlige tannhelsetjenesten gir tilbud om gratis tannbehandling til personer med psykisk utviklingshemming over 18 år • A: Barn og ungdom 0 -18 år • B: Psykisk utviklingshemmede i og utenfor institusjon • C: Grupper av eldre, langtidssyke og uføre i institusjon og hjemmesykepleie • D: Ungdom som fyller 19 eller 20 år i behandlingsåret • Andre grupper som fylkeskommunen har vedtatt å prioritere
Hvorfor er tann- og munnstell viktig • • • Viktig for den generelle helsen Forebygge sykdom og lukt Appetitt og smak Viktig for utseende/selvfølelse Egne tenner: mat med tyggemotstand Vanskelig med løse erstatninger
Dårlig munnhygiene: innvirkning for den generelle helsen Stor mikrobevekst kan gi: • Slag og hjerteinfarkt • Bakteriell endokarditt • Lungebetennelse • Smerter i munnhulen virker bl. a. på appetitten
Sykdommer i tenner og munnhule • • Karies Gingivitt Periodontitt Soppinfeksjoner Foto frå Tk. MN v. Katrine Døsvik
Karies
4 AVGJØRENDE ÅRSAKER TIL KARIES Bakterier Tann Karies Sukker Tid
Gingivitt • Reversibel • Ikke festetap • Hevelse/rødhet/smerte/ blødning • Behandling: bedret renhold og tannsteinsrens
Periodontitt
Periodontitt • • • Irreversibel Festetap Behandling: tannsteinsrens og bedret oral hygiene, evt. kirurgi
Soppinfeksjoner • Røde slimhinner og hvitt belegg som kan skrapes bort • Årsak – Nedsatt immunforsvar – Antibiotika eller andre bakteriehemmende midler – Dårlig munnhygiene – Munntørrhet • Bedre renhold og evt. medikamentell behandling Bilde hentet fra frå Tk. MN v. Katrine Døsvik
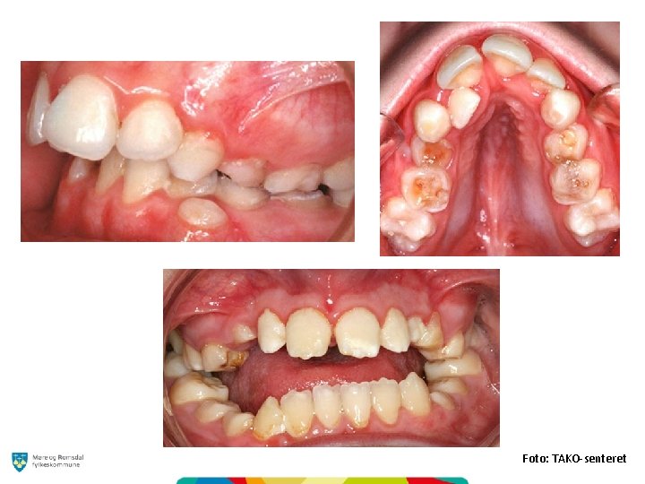
Kjennetegn og utfordringer ved enkelte syndromer og tilstander Foto: TAKO-senteret
Downs syndrom
Downs syndrom • • • Små tenner Korte røtter (OBS! periodontitt) Manglende tannanlegg Bittforstyrrelser Liten munn og slapp tunge, munnpuster Smal og kort gane
Cerebral Parese
Cerebral parese • • • Spise- og svelgevansker Slapp muskulatur Dårlig kontroll over hodebevegelser Manglende motorikk Slapp tunge og munnpusting Epilepsi
Autisme • 1 av 3 har epilepsi • 3 av 4 er utviklingshemmet • Atferdsavvik • Behandlingsvegring • Behov for rutiner og trygghet, struktur og tilvenning • Medisiner for tilleggsplager/sykdommer kan være utfordrende Illustr. : Pixabay
Prader-Willi syndrom • Spytt: seigt, tykt, redusert mengde • Sterk tannslitasje (attrisjon/bruksisme, erosjon) • Karies • Utviklingsforstyrrelser i tannemalje • Bittfeil • Forsinket tannfrembrudd • Spiserforstyrrelser/overspising Illustr. : Pixabay
Williams syndrom • Manglende tannanlegg • Uvanlig størrelse og form • Bittfeil pga kjevens størrelse, form og relasjon til hverandre • Overømfintlige for berøring i munn og ansikt • Nedsatt muskelspenst (mat og tale) • Pedagogiske hensyn; – Behandlingsvegring, overfølsomhet for lyd, engstelig Foto: Frambu
Generelle utfordringer for denne gruppen • Nedsatt munnmotorikk har innvirkning på: – Tannstilling – Språk – Matrester – Slapp muskulatur; problem for løse erstatninger – Hardt sambitt (muskelspenninger i tyggemuskelaturen) • Munntørrhet • Utypisk anatomi • Tann- og munnhygiene • Spasmer: bruk plastbestikk! Bilde: Pixabay
Utfordringer ved enkelte syndrom Foto: Frambu
Foto: TAKO-senteret
Epilepsi • Tannskader ved anfall – Problematisk med løse proteser Foto: Norsk Tannvern • Medisiner – Hypoplastisk (hovnet) tannkjøtt • Epinat/Fenytoin – Munntørrhet • Tegretol, Fenemal, Trimonil mm. Foto: Pixabay
Munntørrhet • Tørre og såre munnslimhinner: Vanskelig å snakke, tygge og svelge • Endret smaksopplevelse • Dårlig ånde • Problem med protesebruk • Økt fare for karies og soppinfeksjon • Skyldes ofte medikamenter • Pasienter som spiser og drikker lite er spesielt utsatt • Munnpuster
KARIES HOS EN MUNNTØRR PASIENT MUNNTØRR TUNGE
Hjelpemidler
Protesebørste Foto: Tk. MN v. Katrine Døsvik
Misfargede proteser Tannstein • Protesen legges i 1 del klorin og 4 deler vann i 1 time • Skyldes ofte, medisiner, røyk, snus, kaffe, te • Skyll godt! • Obs! Delproteser med metall tåler ikke klorin! • Rengjør protesen godt • Legg i 1 del vann og 1 del eddik, la ligge over natten • Børst med protesebørste • Ikke skrap med skarpe gjenstander
Når pasienten ikke vil ha hjelp… • Noen pasienter mener de klarer tann- og munnstellet selv, mens du som pleier er av en annen oppfatning. Hva gjør vi? • Forklare pasienten og pårørende situasjonen • Tålmodighet Illustr. : Pixabay
Eksempler på munnstellkort
Kosthold • Fokus på sunt kosthold, frukt, grønt og grønnsaker • Faste måltider, vann som tørstedrikk. • Ikke mat eller drikke etter tannpuss om kvelden (evt kun vann) • Unngå søt mat/drikke som belønning Foto: www. frukt. no
Eksempler • • Cola: 1, 5 l = 75 sukkerbiter Nugatti: 1 boks(500 g)= 150 s. b Ha. På: 1 glass(297 g) = 84. 5 s. b Jordbærsyltetøy, Lerum: (500 g)= 117, 5 s. b Jordbærsylte Squezy: (435 g)= 95. 5 s. b Leverpostei: = 4 s. b Skinke: = 0 s. b Grønsaker: = 0 s. b
Eksempler
Erosjoner
Syreinnhold i drikker
Vann er tingen rett fra springen! Scan. Stock. Photo Foto: Katrine Døsvik
Øvelse • Gå sammen to og to, og puss tennene på hverandre. Foto: Pixabay