ULCERE CUTANEE Classificazione e terapia NEGRI STEFANO SERVIZIO


































































































- Slides: 98
ULCERE CUTANEE Classificazione e terapia NEGRI STEFANO SERVIZIO ANATOMIA PATOLOGICA
Introduzione Ulcere di differenti etiologie, profondità e superficie devono essere trattate in maniera differente e presentano prognosi diverse. Normalmente la guarigione di una ulcera proviene dalla proliferazione delle cellule epidermiche dei follicoli piliferi.
La guarigione dai bordi dell’ulcera è presente, ma inefficace per ulcere più grosse di pochi cm. La guarigione di una ulcera in assenza di derma porta alla formazione di cicatrice. Per cui le ulcere estese e profonde e le ulcere senza gli annessi cutanei risultano di difficile guarigione.
Classificazione delle ulcere n n n ulcere diabetiche ulcere vascolari ulcere da pressione
Ulcere diabetiche Possono essere interamente neuropatiche, interamente vascolari o causate da entrambe le cause. A ciò si associano cause infettive e traumatiche. L’ incidenza nei diabetici varia a seconda degli studi dal 4% al 11%.
5 gradi per classificare queste ulcere (Wagner grading system): grado 1: superficiale grado 2: ulcera ai legamenti, tendini, capsula articolare, fascia grado 3: ulcera profonda con infezione o osteomielite grado 4 e 5: localizzata ed estensiva grangrena, rispettivamente
Queste ulcere sono a rischio di amputazione a causa di gangrena o di infezione. Lo stato della vascolarizzazione è un fattore predittivo sulla guarigione o sulla persistenza dell’ulcera
Maschio di anni 58 (P. E. ) con ulcera diabetica al piede di destra. Amputazione del IV e V dito del piede omolaterale.
Ulcere vascolari La causa risiede nell’incompetenza delle valvole delle vene delle gambe con aumento della pressione venosa e quindi del microcircolo con aumento del flusso nello spazio peri-vascolare di larghe molecole, incluso il fibrinogeno.
Il fibrinogeno polimerizza in fibrina, crea trombi che impediscono gli scambi di sostanze nutritizie, la diffusione di ossigeno e di fattori di crescita Classificate i 4 stadi (sec. NPUAPFPU)
Stadio 1: eritema con cute intatta Stadio 2: ulcera superficiale Stadio 3: ulcera profonda senza interessamento della fascia Stadio 4: ulcera interessante la fascia, il muscolo e le ossa Raramente, al contrario delle ulcere diabetiche progrediscono sino alla osteomielite o alla gangrena
Donna (Z. A. ) di anni 80 con ulcera alla gamba di sinistra delle dimensioni di cm 11 x 8 formatasi da circa 2 anni; operata di by pass. Vascolarizzazione sufficiente.
13 -3 -06
22 -3 -06
2 -5 -06
Maschio di anni 68 con ulcera alla gamba di sinistra delle dimensioni di cm 20 x 15 presente da circa 12 anni. Già trattato con innesto autologo (autotrapianto) e con lembi bioingegnerizzati di epidermide (Modena)
30 -3 -06
2 -5 -06
Donna di anni 82 (R. L. ) con ulcera alla gamba di destra delle dimensioni di cm 9 x 7 formatasi da circa 1 anno e mezzo e ingravesciente nonostante le terapie tradizionali effettuate
Dopo 3 settimane dalla biopsia…
Copertura con garza grassa
Confronto dopo 21 giorni
5/10/05
Aprile 2006
Ulcere da pressione Derivano da pressione o frizione; di solito si localizzano in regione sacroiliaca. Sovente sono interessate persone allettate o costrette in carrozzina in quanto anziani, paralizzati, malati. Interessa dal 5 all’ 8 % dei Pazienti ospedalizzati.
Classificati nei stessi 4 stadi delle ulcere venose Di solito sono superficiali (stadio 1 o 2)
Prima linea di terapia
Terapie delle ulcere diabetiche Curare la patologia di base La maggior parte guariscono se trattate adeguatamente con pulizia, medicazioni topiche, scarico dell’arto Alcuni tuttavia sono resistenti al trattamento e necessitano chirurgia di tipo vascolare.
Terapia delle ulcere venose Curare la patologia di base. Pulizia dell’ulcera. Bendaggio compressivo per favorire il ritorno venoso (un review di 1. 200 casi ha dimostrato che nessuna terapia è migliore di questa). Dal 50 - 80% guarisce in circa 2 - 3 mesi.
Terapia delle ulcere - da pressione Prevenzione (spesso sono espressione di negligenza) La maggior parte delle ulcere in stadio 1 e 2 guarisce dopo 1 - 2 settimane con le terapie standard (utilizzo di materassi e cuscini idonei, spostare il Paziente spesso, pulizia dell’ulcera). Quelle in stadio III e IV di solito impiegano 6 - 12 settimane.
Seconda linea di terapia - Apligraf E’ il primo presidio terapeutico approvato dalla FDA (food and drug administration) nel 1998 contenente cellule viventi allogeniche. E’ costituito da fibroblasti e cheratinociti di prepuzio di neonato seminati su matrice di collagene di bovino.
Aprigraf stimola la rigenerazione fibrovascolare e la riepitelizzazzione tramite 3 meccanismi: . innesto di cute; . chiusura dell’ulcera con riepitelizzazione dai margini; . stimolazione della guarigione dell’ulcera tramite il rilascio di fattori di crescita e componenti della matrice extra-cellulare.
Apligraf non stimola risposta immune né contro il collagene bovino, né contro gli antigeni HLA di classe 1 dei fibroblasti e dei cheratinociti. Questo perché le cell. di Langerhans (che nella cute sono le uniche cell. che esprimono antigeni di classe II, per cui responsabili della sorveglianza immunitaria) non vengono coltivate.
Dermagraft Approvato dalla FDA nel 2001. Utilizza fibroblasti derivati da derma di prepuzio di neonato su supporto di acido glico Il meccanismo di azione pare essere legato alla produzione di fattori di crescita e di componenti di matrice extracellulare come collagene, laminina, fibronectina e glicosaminoglicani.
Alloderm Matrice dermica acellulata proveniente da cute di cadavere. Congelato e stabilizzato biochimicamente.
Banche della pelle Da cadavere donatore
Tissue engineering da cellule autologhe Epicel - solo cheratinociti Laserkin - cheratinociti su supporto di acido ialuronico (Fidia)
Nostri Prodotti solo cheratinociti / cheratinociti su supporto di collagene / fibroblasti su supporto di collagene / cheratinociti e fibroblasti su supporto di collagene /
Frammento cutaneo Il frammento cutaneo (è sufficiente punch di cm 0, 6) viene trattato con un enzima (collagenasi) per separare l’epidermide dal derma.
solo cheratinociti
Lembo 19° giorno
Esame Istologico I limiti del lembo epidermico così ottenuto, che ne riducono la possibilità d’impiego clinico, sono il ridotto spessore e la conseguente fragilità.
Risulta quindi evidente la necessità di impiegare un supporto idoneo da utilizzare come “carrier” per le cellule in coltura.
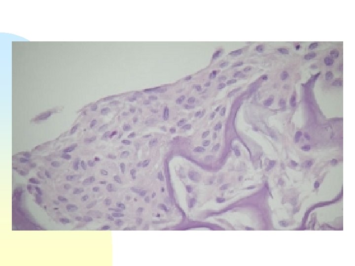
cheratinociti su supporto di collagene
Ematossilina - eosina 10 x
Ematossilina - eosina 20 x
Ematossilina - eosina 40 x
Strato basale
Strato spinoso
Strato granuloso e corneo
ICH - P 63 Evidenzia le cellule del compartimento staminale basale -
ICH - Mib 1 Evidenzia le cellule basali in mitosi
ICH - HMB 45 Evidenzia i melanociti giunzionali
fibroblasti su supporto di collagene
cheratinociti e fibroblasti su supporto di collagene
Seminati su supporto di collageno 500. 000 fibroblasti UMANI/cm 2 40. 000 cheratinociti/cm 2 DOPO 10 GIORNI….
Ematossilina Eosina - 10 x
Ematossilina Eosina - 20 x
Ematossilina Eosina - 10 x
ICH: cheratina AE 3 - 2, 5 x
ICH: collageno IV
Normative
GAZZETTA UFFICIALE SERIE GENERALE N. 57 DEL 9/3/2007 MINISTERO DELLA SALUTE DECRETO 5 dicembre 2006 Utilizzazione di medicinali per terapia genica e per terapia cellulare somatica al di fuori di sperimentazioni cliniche e norme transitorie per la produzione di detti medicinali. IL MINISTRO DELLA SALUTE Visto il decreto legislativo 24 giugno 2003, n. 211; Visto il decreto ministeriale 2 marzo 2004 "Istituzione di una banca dati per il monitoraggio della terapia genica e la terapia cellulare somatica" pubblicato nella Gazzetta Ufficiale n. 97 del 26 aprile 2004 e in particolare l'art. 1, comma 1, che consente di impiegare esclusivamente nell'ambito di sperimentazioni cliniche preparazioni per terapia genica e terapia cellulare somatica per le quali non sia stata rilasciata l'autorizzazione di cui all'art. 6, comma 1, del decreto legislativo 24 aprile 2006, n. 219; Visto il decreto legislativo 24 aprile 2006, n. 219; Considerato che allo stato attuale delle conoscenze scientifiche vengono utilizzati medicinali per terapia cellulare somatica clinicamente e scientificamente consolidati e pertanto da non sottoporre all'iter autorizzativo previsto per le sperimentazioni cliniche di medicinali di cui al decreto legislativo 24 giugno 2003, n. 211;
Decreto ministro Turco Riguarda: n n laboratori in strutture pubbliche o ad esse equiparate; impieghi clinicamente e scientificamente consolidati (cornea, condrociti, pelle) su singoli Pazienti;
E’ necessario: n parere favorevole comitato etico; n consenso informato del Paziente; n che il laboratorio operi sotto la responsabilità di un direttore con almeno 2 anni di documentata esperienza; n autorizzazione regionale;
. . e che la produzione sia: n non a scopo di lucro; n in linea con i requisiti richiesti dall’ISS (da definirsi); n attiva da almeno due anni.