U 06 306 12581591121 Cad Tx 14052004 Creatinine

  • Slides: 16
Download presentation
U 06 -306 #12581591/121 Cad Tx 14/05/2004 Creatinine 100 200 early December 2005. US

U 06 -306 #12581591/121 Cad Tx 14/05/2004 Creatinine 100 200 early December 2005. US normal. Original disease Ig. A nephropathy.

Original kidney disease: Buerger’s Ig. A Cadaveric kidney transplant May 2004 - post discharge

Original kidney disease: Buerger’s Ig. A Cadaveric kidney transplant May 2004 - post discharge baseline creatinine 110 -120 µmol/L Serum creatinine 14/07/05: 104 Serum creatinine 29/11/05: 168. Patient claims flu-like illness with dehydration Repeat creatinine 167. Follow-up creatinine missed. Biopsy planned post holidays MVA 04/01/06 Creatinine 262 blood and protein in urine Biopsy 06/01/06 Creatinine 209 13/01/06 Creatinine 178

 • • • IF Ig. G- Negative Ig. A- Negative Ig. M- Negative

• • • IF Ig. G- Negative Ig. A- Negative Ig. M- Negative C 3 - Moderate vascular and mild punctate mesangial staining C 1 q- Negative Kappa- Negative Lambda- Negative Fibrin- Moderate interstitial staining Albumin- Negative C 4 d- Negative

C 3

C 3

C 3

C 3

Fibrin

Fibrin

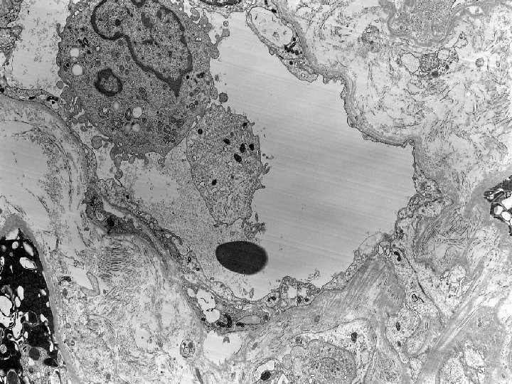
Diagnosis: Renal Biopsy (20 months posttransplantation): Acute tubulointerstitial rejection (Type IB) with signs of

Diagnosis: Renal Biopsy (20 months posttransplantation): Acute tubulointerstitial rejection (Type IB) with signs of acute tubular injury and regeneration. Probable early chronic transplant glomerulopathy, suggested by Electron Microscopy. (G 0 CG 0 I 2 CI 2 T 3 CT 2 V 0 CV 2 AH 0 MM 1)

U 06 -6159 #233852130 Cad tx May 2004, Acute rejection Jan 2006!! Creat 120

U 06 -6159 #233852130 Cad tx May 2004, Acute rejection Jan 2006!! Creat 120 -240. Creat stable 180 Why didn’t it go down to baseline?

IF • • • Ig. G-negative Ig. A- negative Ig. M- negative C 3

IF • • • Ig. G-negative Ig. A- negative Ig. M- negative C 3 - mild vascular staining C 1 q-negative Kappa-negative Lambda-negative Fibrin- moderate interstitial staining Albumin- negative C 4 d- negative

C 3

C 3

C 3

C 3

Fibrin

Fibrin

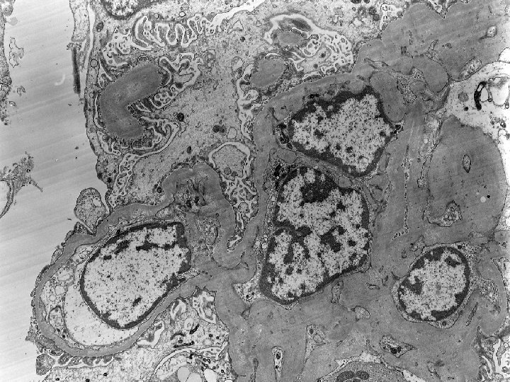
Diagnosis: Renal Biopsy(2 years post-transplantation): Moderate parenchymal scarring and tubular loss with chronic inflammation.

Diagnosis: Renal Biopsy(2 years post-transplantation): Moderate parenchymal scarring and tubular loss with chronic inflammation. Borderline changes with focal moderate tubulitis. EM is pending. Banff scores: (G 0, CG 0, I 2, CI 2, T 2, CT 2, V 0, CV 2, AH 1, MM 0)