U 06 17135 945740330 Tx Jan 96 creatinine

  • Slides: 9
Download presentation
U 06 -17135 #945740330 • Tx Jan 96, creatinine 140 • Recent creatinine to

U 06 -17135 #945740330 • Tx Jan 96, creatinine 140 • Recent creatinine to 180 following Cy dose but on monotherapy • Rejection ?

59 year-old woman with CRF 2° to PKD Cadaveric kidney transplant Jan 1996 with

59 year-old woman with CRF 2° to PKD Cadaveric kidney transplant Jan 1996 with slow development of renal function with baseline 120 -140 reached in March. Pneumocystis pneumonia – put on Septra Rapid rise creatinine to 260 in May. Biopsy showed a variety of chronic changes and creatinine settled back to baseline over several months. Serum creatinine rose to 160 in April 2006 and appears to be slowly rising, mild proteinuria has developed.

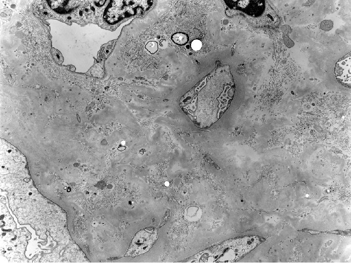
1996 Renal biopsy • Diagnosis: – Focal hyaline arteriolar change with probable consequent glomerulus

1996 Renal biopsy • Diagnosis: – Focal hyaline arteriolar change with probable consequent glomerulus sclerosis (1/7), possibly due to cyclosporine toxicity. – Focally marked fibrous intimal arterial thickening consistent with early chronic rejection. – g 0 cg 0 i 0 ci 1 t 0 ct 1 v 0 cv 2 ah 1

IF • Absence of glomeruli • C 4 d: negative

IF • Absence of glomeruli • C 4 d: negative

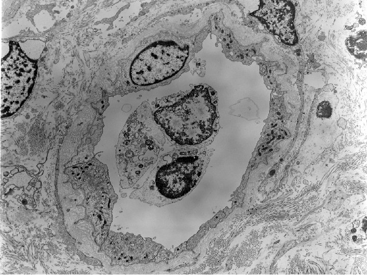
Diagnosis Renal Biopsy: • Essentially end stage kidney with nearly complete glomerulosclerosis but with

Diagnosis Renal Biopsy: • Essentially end stage kidney with nearly complete glomerulosclerosis but with clear cut intimal arteritis in one large artery. Probable acute vascular rejection superimposed on some previous process which led to the glomerulosclerosis. • Rule out pyelonephritis • Peritubular capillary basement membrane multilayering. • G 0 CG 0 I 2 CI 3 T 0 CT 3 V 1 CV 2 AH 0 MM 0

C 4 d

C 4 d