U 05 23444 810986310 Kidneypancreas transplant several years

  • Slides: 12
Download presentation
U 05 -23444 # 810986310 • Kidney-pancreas transplant several years ago. • Recent increase

U 05 -23444 # 810986310 • Kidney-pancreas transplant several years ago. • Recent increase in creatinine with some proteinuria. • Pancreas working well.

Case summary • This 45 year man had chronic renal failure pressured to be

Case summary • This 45 year man had chronic renal failure pressured to be on the basis of type I diabetes mellitus and after several years of peritoneal dialysis, he received a kidney/pancreas transplant on 31/12/1998 • His post-transplant course was complicated by a number of intra-abdominal problems requiring several laparotomies, bowel resection and ileostomy which was closed on 21/01/2000.

 • After all this he ended up with serum creatinine in the 160

• After all this he ended up with serum creatinine in the 160 – 180 mol/L range with normal glycemia. • Serum creatinine climbed above 200 mol/L in the Summer of 2005 and this climb continued to ~ 260 mol/L, resulting in a biopsy being performed on 7/12/2005. The biopsy was reported on 6/2/2006 leading to a request for review. Serum glucose levels remain normal. Trace proteinuria has been reported since 2001 with protein: creatinine ratio being variable in the 30 – 80 range.

IF • • • Ig. G- Moderate linear GBM staining. Ig. A- Negative. Ig.

IF • • • Ig. G- Moderate linear GBM staining. Ig. A- Negative. Ig. M- Trivial to mild mesangial staining. C 3 - Moderate vascular staining. C 1 q- Negative. Kappa- Negative. Lambda- Negative. Fibrin- Mild interstitial staining. Albumin- Moderate linear GBM staining.

Ig. G

Ig. G

Ig. M

Ig. M

C 3

C 3

Fibrin

Fibrin

Albumin

Albumin

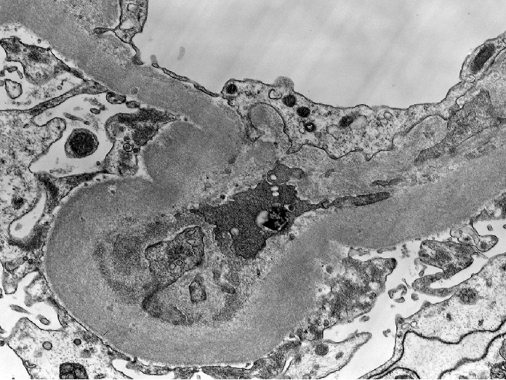
Diagnosis Renal Biopsy (7 yrs post-transplantation): -Diffuse glomerulosclerosis with features suggesting recurrent or de

Diagnosis Renal Biopsy (7 yrs post-transplantation): -Diffuse glomerulosclerosis with features suggesting recurrent or de novo diabetic nephropathy. -Moderate parenchymal atrophy and scarring. -Slight numbers of paramesangial deposits suggesting superimposed mild IC GN. Banff scores: g 0 cg 1 i 1 ci 2 t 0 ct 2 v 0 cv 2 ah 2 mm 2