Typy svalov tkn Kontrakce rst a regenerace Rychl




















- Slides: 20
Typy svalové tkáně Kontrakce růst a regenerace Rychlá, ovládaná vůlí po poškození nemnoží se Rychlá Autonomní neregeneruje (? ) Pomalá Autonomní dle potřeby růst regeneruje plně
Charakteristika svalové tkáně Schopnost kontrakce – myofilamenta Aktin a myosin a) pravidelně se střídající A a M – sval příčně pruhovaný b) nepravidelně uspořádaná myofilamenta – sval hladký Regulace kontrakce – Ca 2+ ionty – hladké endoplazmatické retikulum (SARKOPLAZMATICKÉ) Sarkoplazma – cytoplazma sval. buněk Sarkolema – plazmatická membrána + baz. Membrána Vývoj – z mesodermu
Sval příčně pruhovaný Sval kosterní + Sval srdeční Pravidelné uspořádání myofibril – Aktin – izotropní světlé úseky – Myosin – anizotropní tmavé úseky Nejmenší kontraktilní jednotka pp svalu SARKOMERA uprostřed anizotropní úsek + kolem část izotropního
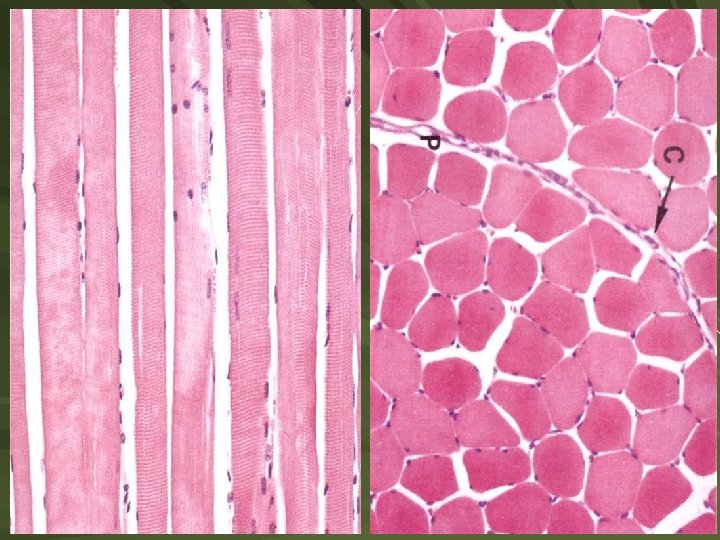
Kosterní sval Rychlá, vůlí ovládaná kontrakce Morfologická jednotka - Syncytium - mnohojaderné svalové vlákno, dlouhé až 30 cm - Jádra syncytia na periferii těsně pod plazmatickou membránou Uspořádání vláken ve svalu: Sval Svazek vláken - fasciculus Svalové vlákno Myofibrily Myofilamenta Sarkomera - uprostřed izotropního úseku se aktinová myoflamenta upínají do Z-linie – mezi Z liniemi sarkomera
ENDOMYSIUM - vazivo kolem svalového vlákna - bazální lamina + retikulární vlákna, kapiláry PERIMYSIUM - kolem fascikulu svalových vláken, řídké kolagenní vazovo EPIMYSIUM – obaluje sval
Uspořádání myofibril
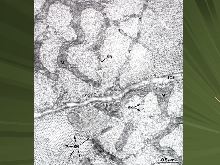
T- systém
Vývoj kosterní svaloviny – myoblasty, myotuby
Svalovina srdeční Morfologická jednotka - Buňka – kardiomyocyt - cylindrický nebo Y tvar - jádra uprostřed - kardiomyocyty spojeny interkalárními disky Uspořádání srdeční svaloviny: Prostorová síť navzájem propojených kardiomyocytů - mezi buňkami řídké vazivo s četnými kapilárami
Interkalární disk
T- systém srdečního svalu
Hladký sval Pomalá, vůlí neovládaná kontrakce Morfologická jednotka svalová buňka - Vřetenovitého tvaru, eosinofilní cytoplazma bez žíhání - Jádra tyčinkovitá s kondenzovaným chromatinem Uspořádání svalu: - těsně k sobě připojené svalové buňky spojené dezmosomy a nexy tvoří snopce nebo souvislé vrstvy orgánů - mezi buňkami jemná retikulární vlákna, málo kapilár
Kontrakce hladkého svalu