TUMORES CARDACOS LUIS FELIPE RAMOS HURTADO RESIDENTE DE





























































- Slides: 61
TUMORES CARDÍACOS LUIS FELIPE RAMOS HURTADO RESIDENTE DE CARDIOLOGÍA Clinica Cardiovascular Santa Maria
GENERALIDADES • Tumores primarios muy raros • Tumores metastásicos • 75% son benignos • Linfomas y sarcomas • 50% son mixomas • Dx diferenciales • Enfermedad reumática • Endocarditis, Miocarditis, pericarditis • Vasculitis • 12% son asintomáticos • Técnicas diagnósticas
Relative Benign Tumors Incidence of Benign Tumors of the Heart Percentage of Group Adults Children Infants Myxoma 52 17 0 Papillary fibroelastoma 16 0 0 Lipoma 16 0 0 Rhabdomyoma 1 42 62 Fibroma 3 18 17 Teratoma 1 12 12 Hemangioma 6 5 4 Other tumors † 5 4 4
Relative Incidence of Primary Malignant Tumors of the Heart Percentage of Group Malignant Tumors Adults Children Infants Angiosarcoma 28 6 0 Rhabdomyosarcoma 11 41 50 Fibrosarcoma 8 18 17 Malignant fibrous histiocytoma 6 6 0 Osteosarcoma 7 0 0 Leiomyosarcoma 5 0 17 Myxosarcoma 3 6 0 Other sarcomas † 14 12 0 Undifferentiated sarcoma 12 12 17 6 0 0 Lymphoma
MANIFESTACIONES CLÍNICAS • Grandes simuladores • Tríada • Síntomas cardíacos • Embolización sistémica • Síntomas sistémicos • Manifestaciones clínicas dependen de • Ubicación anatómica • Tamaño • Efecto sobre estructuras adyacentes
MANIFESTACIONES CLÍNICAS • Aurícula izquierda • 80 -90% de tumores son mixomas benignos • Masa intracavitaria • Síntomas similares a EM • Súbitos, intermitentes, cambios de posición • EF • S 1 fuerte • Soplo holosistólico, soplo diastólico
MANIFESTACIONES CLÍNICAS • Aurícula derecha • 50% son sarcomas • Dx diferencial • Anomalia Ebstein de Valv tricúspide • Pericarditis constrictiva • Estenosis tricúspide • Síndrome carcinoide • EF • PVY elevada • Síntomas de falla derecha • Nuevo soplo sistólico o diastólico
MANIFESTACIONES CLÍNICAS • Ventriculares • Disnea, edema pulmonar, síncope • Edema periférico, hepatomegalia y ascitis • Soplos, galopes • Progresión mas rápida de síntomas • Intramurales
MANIFESTACIONES CLÍNICAS Arritmias • Compromiso intramural • Ubicación del tumor • Supraventriculares • Mixoma, sarcomas, hipertrofia lipomatosa • Bloqueo AV, asistolia • Angiomas y mesoteliomas • TV, FV, MS • Rabdomiomas y fibromas
MANIFESTACIONES CLÍNICAS Fenómenos embólicos • Izquierdos • ECV, infarto visceral, isquemia ext • Múltiples • Intentar recobrar material patológico • Derechos • Embolismo pulmonar • HTP y cor pulmonale
LABORATORIO DIAGNÓSTICO Rx tórax • Normal • Ofrece claves sobre un posible diagnóstico • Muchos diagnósticos diferenciales • Calcificaciones • Cardiomegalia global
LABORATORIO DIAGNÓSTICO Coronariografía • Cada vez con menos indicaciones • Enfermedades comórbidas • Defecto de llenado en lesiones intracavitarias • AI: Inyección en arteria pulmonar • Alto riesgo de embolización
LABORATORIO DIAGNÓSTICO Ecocardiografía • Test de tamizaje • Tamaño del tumor, movilidad, vecindad • Consecuencias hemodinámicas • Medio de contraste • TE • Mejor resolución • TT subóptima
LABORATORIO DIAGNÓSTICO TC • Gatillado EKG • Imágenes tridimensionales • Discriminación de densidad del tejido • Valoración de calcificación • Rabdomiomas • Fibromas • Teratomas • Mixomas • Compromiso pericárdico
LABORATORIO DIAGNÓSTICO RM • Información morfológica detallada • Excelente correlación con patología • Útil en detección de lipomas • Información sobre vascularización del tumor • Valoración de cavidades, pericardio y estructuras adyacentes • Información tridimensional
LABORATORIO DIAGNÓSTICO Medicina Nuclear • Estado hipermetabólico de los tumores • FDG • Diferenciación entre tumores y trombos • Tumores malignos con alto nivel de apoptosis Biopsia • Niños con sospecha de rabdomiomas • Definir histología si no es posible la Cx
TUMORES BENIGNOS MIXOMA AURICULAR • Neoplasia primaria cardiaca mas común en adultos • 75% en AI • 90% están entre 30 y 60 años • Principalmente en mujeres (66%) • Origen en fosa ovalis • Sospechar malignidad si esta en pared posterior • Tamaño promedio 5 -6 cm
TUMORES BENIGNOS MIXOMA AURICULAR • Patología • Pedículo unido a septum interatrial • Suave, gelatinosa y friable • 10% son calcificadas • Requiere identificación de cell mixomatosa • Focos de hematopoyesis extramedular
TUMORES BENIGNOS MIXOMA AURICULAR • Clínica • 70% tienen clínica cardiaca • 30% embolizan • Síntomas sistémicos en el 30 -40% • Clubbing, F. Raynaud • Daño de válvula mitral • Síntomas paroxísticos • Laboratorio • Alteración de HLG, hipergamaglobulinemia
Symptoms and Signs of Cardiac Myxoma * Variable Symptoms Incidence (%) Dyspnea 70 Paroxysmal dyspnea 25 Syncope 20 Palpitations 20 Chest pain 10 Embolic event 30 Fever 20 Weight loss 15 Signs Mitral systolic murmur 50 Mitral diastolic murmur 40 Loud S 1 40 Tumor plop 15 Laboratory Data Elevated ESR 30 Anemia 30 LA enlargement on CXR 10
TUMORES BENIGNOS MIXOMA AURICULAR • Puede ser múltiple y familiar • LAMB • NAME • Complejo Carnex • Mutación de línea germinal PRKAR 1 A
TUMORES BENIGNOS MIXOMA AURICULAR • Familiar • 10% de los mixomas • Aparición mas temprana • Múltiples y recurrentes • Ubicación inusual • Asociación con enfermedades dermat y endocrin.
Diagnostic Criteria for Carney Complex * Clinical Criteria 1. Spotty skin pigmentation with typical distribution (lips, conjunctiva and inner or outer canthi , vaginal and penile mucosa) 1. Spotty skin pigmentation with typical distribution (lips, conjunctiva and inner or outer canthi, vaginal and penile mucosa) 2. Myxoma (cutaneous and 2. Myxoma ( and mucosal) 3. Cardiac myxoma 4. Breast myxomatosis or fat-suppressed MRI findings suggestive of this diagnosis 5. Primary pigmented nodular adrenocortical disease or paradoxical positive response of urinary glucocorticosteroids to 5. Primary pigmented nodular adrenocortical disease or paradoxical positive response of urinary dexamethasone administration during Liddle's test dexamethasone administration during Liddle's 6. Acromegaly due to growth hormone-producing adenoma 7. Large cell calcifying Sertoli cell tumors or characteristic calcification on testicular ultrasonography 7. Large cell calcifying Sertoli cell 8. Thyroid carcinoma or multiple, hyperechoic nodules on thyroid ultrasonography, in a young patient 8. Thyroid carcinoma or multiple, hyperechoic nodules on thyroid 9. Psammomatous melanotic schwannoma 10. Bule nevus, epithelioid blue nevus (multiple) 10. Bule nevus, 11. Breast multiple)) 11. Breast ductal adenoma (multiple 12. Osteochondromyxoma Supplemental Genetic Criteria 1. Affected first-degree relative 2. Inactivating mutation of the PRKAR 1 α gene 2. Inactivating mutation of the PRKAR 1α
TUMORES BENIGNOS MIXOMA AURICULAR • Rx • 50% tienen AI grande y signos de HTP • 30% Rx normales • Ecocardiografía • Diagnóstico • Identificar sitio de unión del tumor • Descartar compromiso valvular • Descartar masas múltiples • Planear cirugía • Control Pos. Qx
TUMORES BENIGNOS MIXOMA AURICULAR • Tratamiento quirúrgico • Resección del tumor • Aproximación por AD • Recidivas • Resección incompletas • Crecimiento de segundo tumor • Implantación intracardíaca del primario
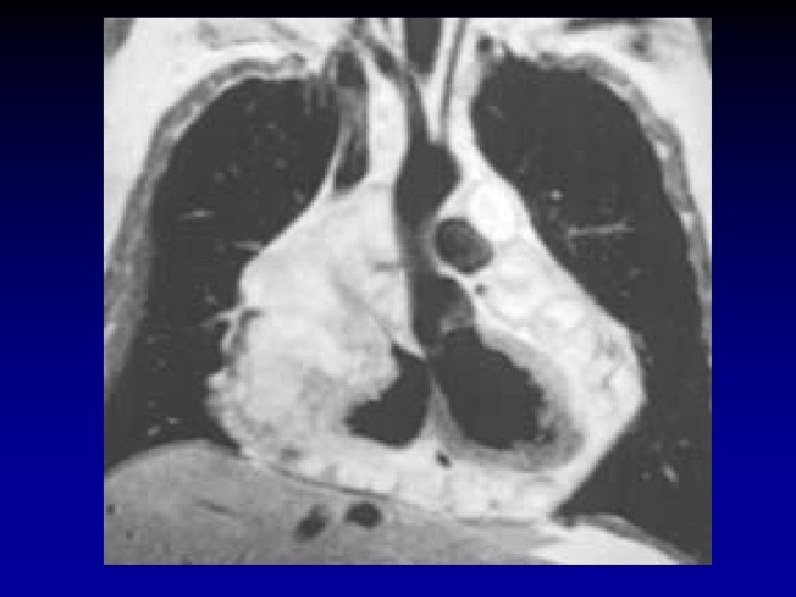
TUMORES BENIGNOS FIBROELASTOMA PAPILAR • Frecuencia en autopsias 0. 0017 -0. 33 • 80 -90% son encontrados en endocardio valvular • Daño valvular previo • 90% son únicos • Diámetro promedio 8 mm (40 mm) • Incidencia similar en hombres y mujeres • Edad promedio de detección 60 años
TUMORES BENIGNOS FIBROELASTOMA PAPILAR • Histológicamente parece una pelota rizada • Clínica • Puede embolizar • Muerte súbita • Ecocardiografía • TT: sensibilidad 62% • TE: sensibilidad 77%
TUMORES BENIGNOS FIBROELASTOMA PAPILAR • Tratamiento • Resección completa • Cirugía conservadora de válvula • No recurrencias • Anticoagulación ? ?
• Fig 63 -8 braunwald
TUMORES BENIGNOS RABDOMIOMA • Neoplasia primaria mas fcte en niños • Ubicadas en ventrículos y septo • Masas únicas o múltiples • Tamaño 0. 2 -2 cm • Histología • Cells vacuoladas, grandes, citoplasma esparcido • Cells en araña • Características de fibras musculares estriadas
TUMORES BENIGNOS RABDOMIOMA • Clínica • Depende de ubicación del tumor • Arritmias • ICC • Muerte in utero • Ecocardio • Masas murales múltiples • Intramurales • Lobuladas • Homogéneas • RM
TUMORES BENIGNOS RABDOMIOMA • Tratamiento • 50% con regresión espontánea • Cirugia • Masas múltiples o grandes considerar biopsia
TUMORES BENIGNOS FIBROMAS • Neoplasia congénita • Derivada de fibroblastos • Segundo tumor mas frecuente en niños • Edad promedio de presentación 3 años • 33% son menores de 1 año • No predilección por sexo o raza • Tumores grandes 3 -10 mm • Ubicados en masa ventricular • Solitarios, circunscritos, firmes, blanco-gris, calcificación central, no encapsulados
TUMORES BENIGNOS FIBROMAS • Clínica • 70% son sintomáticos • Causan interferencia mecánica al flujo • Falla cardiaca (21%) • Muerte súbita (14%) • TV (13%) • Dolor torácico (3. 5%) • Ecocardiografía • Masa ecogénica intramural
TUMORES BENIGNOS FIBROMAS • Tratamiento • Reto quirúrgico • Extensiones o satélites • Resección aun en asintomáticos • Buen resultado aun con resección parcial
TUMORES BENIGNOS HEMANGIOMAS • Tumores vasculares benignos • < 2% de los tumores del corazón • 75 casos reportados en el mundo • Tipos histológicos • Circunscrito, uniforme • Infiltrantes • Epicardio, miocardio, cavidades cardiacas • Predilección por hombres
TUMORES BENIGNOS HEMANGIOMAS • Edad promedio del Dx es 43 años • Evolución variable • Involución • Paran de crecer • Crecimiento progresivo • Arritmias • Obstrucción TSVD • Tto • Resección • RT • Esteorides e IFN
TUMORES BENIGNOS LIPOMA E HIPERTROFIA LIPOMATOSA • Hamartoma con depósito de grasa • Mujeres, obesas, ancianas • Septun interatrial, porción superior o posterior • Protrución en AD • Clínica • Arritmias supraventriculares • Obstrucción de VCS • Ecocardio • Masa ecogénica, septal, bilobulada • Tto: resección quirúrgica
TUMORES MALIGNOS SARCOMAS • Derivados de tejido mesenquimal • Amplia variedad de tipos morfológicos • Angio, rabdomio, fibro, osteosarcomas • Mas frecuente entre 3 -5 década • Clínica • Determinada por ubicación y tamaño • Disnea • ICC derecha • Dolor torácico en el 25% • Derrame pericárdico (hemorrágico)
TUMORES MALIGNOS SARCOMAS • Dx • 75% metastásicos al momento del Dx • Ecocardio TE • TAC, RM (grado de infiltración) • Bx endomiocárdica • Px • Muerte en pocas semanas hasta 2 años • Supervivencia media 6 -12 meses • Muerte: infiltración, obstrucción, metástasis
TUMORES MALIGNOS SARCOMAS • Tratamiento • Resección quirúrgica (50%) • La posibilidad de Cx completa da Px • QT - RT • Transplante • Mortalidad a 1 año • Recurrencia o metástasis
TUMORES MALIGNOS ANGIOSARCOMAS • 30% de los sarcomas • Relación 3: 1 (Hombre : Mujer) • Predilección por AD • Intracavitario o infiltración difusa • Clínica • Falla cardiaca • Taponamiento • Síntomas sistémicos
TUMORES MALIGNOS RABDOMIOSARCOMAS • Mas frecuente en niños • 10% de sarcomas primarios • Infiltración difusa del miocardio • Rabdomioblastos • Pueden comprometer pericardio
TUMORES MALIGNOS FIBROSARCOMAS • 5 -10% de los sarcomas • Consistencia de carne de pescado • Compromiso de mas de una cámara cardiaca • Compromiso pericárdico OSTEOSARCOMAS • 5 -10% de los sarcomas • Adultos • AI • Calcificación
TUMORES MALIGNOS LEIMIOSARCOMAS • 10% de los sarcomas • Derivadas de células de músculo liso • Segunda década de la vida • TC: masa de baja atenuación • Compromiso de venas pulmonares INDIFERENCIADO • 25% de los sarcomas • Auricula izquierda
TUMORES MALIGNOS LINFOMAS • Incidencia en aumento • Edad media de 64 años • Relación hombre/mujer (3: 1) • Nace en lado derecho • Diámetro de 3 -12 cm • Clínica • Falla derecha refractaria (52%) • Derrame pericárdico (50%) • Dolor torácico (17%) • Arritmias y taponamiento (12%)
TUMORES MALIGNOS LINFOMAS • Dx • Ecocardio TE • TC y RM • Citologia de líquido pericárdico • Bx endomiocárdica (50%) • Tratamiento • QT y RT (deterioro) • Transplante MO
TUMORES CARDÍACOS LUIS FELIPE RAMOS HURTADO RESIDENTE CARDIOLOGÍA UPB