TUMOR CUTANEO SOLITARIO EN MUJER DE 30 AOS





























- Slides: 29
TUMOR CUTANEO SOLITARIO EN MUJER DE 30 AÑOS LESION CUTANEA EN VARON DE RAZA BLANCA Vidal-Abarca Gutiérrez, I. López Poveda MJ Oviedo Ramírez MI. Martínez Barba E. H. U. Virgen de la Arrixaca 5 de Noviembre de 2010 Murcia
Datos Clínicos § Varón de 44 años de raza blanca. § Antecedentes de rosácea. §Lesión pigmentada frontal derecha de años de evolución con cambio en la coloración y el tamaño en los últimos 12 meses.
Datos Clínicos • Autoaplicación en una ocasión de podofilino y 5 -fluouracilo vía tópica.
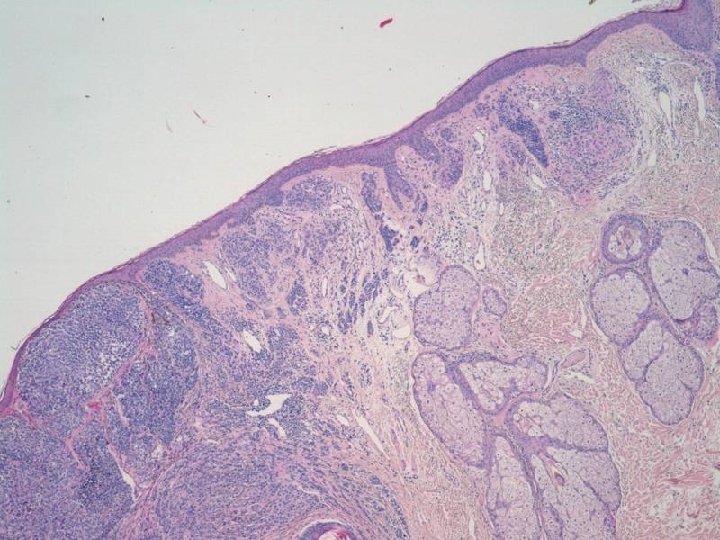
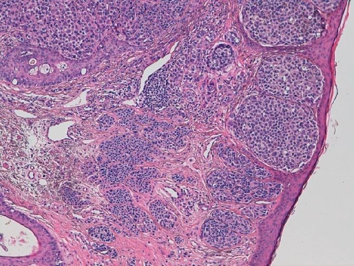
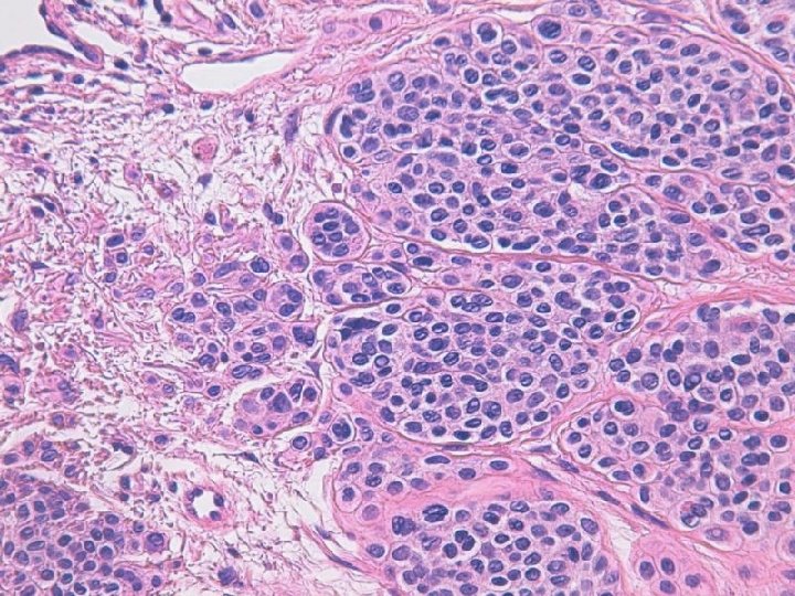
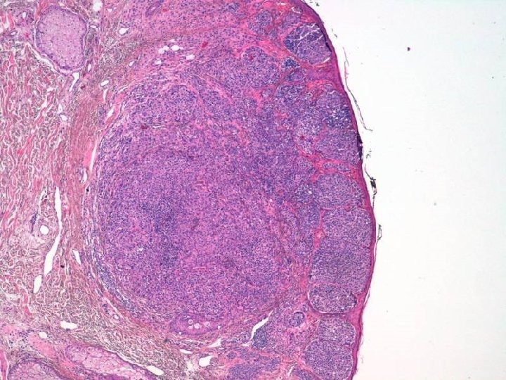
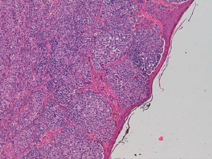
Examen Macroscópico Biopsia escisional Fragmento de piel de 1, 5 x 0, 8 x 0, 5 cms con lesión excrecente de color pardo claro de bordes irregulares, de 0, 5 x 0, 5 cm. Márgenes quirúrgicos libres a 1 mm del más cercano.
INMUNOHISTOQUIMICA
MELAN-A
Ki-67
DIAGNOSTICO Melanoma dérmico originado sobre nevus melanocítico preexistente Tipo Miescher, no ulcerado, Nivel 4 de Clark, breslow de 1, 92 mms.
• El término “nevus melanocítico” comprende un grupo de subtipos clínica y patológicamente distintos. • Ackerman y cols en 1990 propone una clasificación en relación a la morfología clínica de la lesión. Lesión plana Nevus Plano Lesión endofítico Nevus de Miescher Lesión exofítica Nevus de Unna
Nevus Plano Proliferación localizada en la unión dermoepidérmica y dermis papilar. Nevus endofítico Proliferación localizada en dermis reticular. Nevus exofítico Proliferación localizada en dermis papilar.
Nevus Plano Nevus de Miescher Nevus de Unna
• La asociación o coexistencia de nevus y melanoma maligno se ha descrito frecuentemente. • El melanoma surgido melanocítico infrecuente. de un nevus intradérmico es muy
• Únicamente 4 casos descritos desde 1962. • En 3 de los 4 casos publicados el componente de melanoma maligno se desarrolló debajo de los nidos de células névicas. • En uno de los casos las células de melanoma maligno se encontraban entremezcladas con las células névicas.
En el presente caso se observa la particularidad de que el componente de nevus se localiza lateralmente al melanoma y en continuidad con éste.
• El riesgo de malignización en otros nevus es variable. • El riesgo de malignización en los nevus congénitos de gran tamaño es del 3, 8 al 18 %, siendo bajo en los pequeños y de tamaño medio. • El melanoma maligno originado en un nevus displásico se presenta en 1: 3000 personas al año.
DIAGNOSTICO DIFERENCIAL • Nevus de Spitz. • Nevus de Miescher anciano.
GRACIAS