TUMEURS ET KYSTES DE LOVAIRE Les tumeurs de




















- Slides: 20
TUMEURS ET KYSTES DE L’OVAIRE Les tumeurs de l’ovaire sont fréquentes mais bénignes dans 90% des cas Les tumeurs malignes sont rares mais graves correspondant à 15% des K. génitaux.
GENERALITES l TUMEURS BENIGNES: l’attitude médicale est guidée par les objectifs suivants: – Reconnaître l’organicité (seules tumeurs organiques doivent être opérées) – Ne pas ignorer un K. de l’ovaire débutant. – Réaliser un TT conservateur afin de préserver la fécondité.
GENERALITES ( 2 ) l Pour le CANCER DE L’OVAIRE: – Femme de tous les âges mais surtout après 50 ans. – Caractéristiques principales: l l Rareté: moins de 15% des k. génitaux, 1 femme/70 sera atteinte d’un K. ovarien contre 1/11 pour le K. du sein Pronostic redoutable : lié à une découverte tardive(70% des K. ovariens diagnostiqués au stade 3 et 4) responsable d’ une mortalité élevée (moins de 40% de survie à 5 ans) – Mais : progrès thérapeutiques avec l’apparition de drogues très actives = nouvelles molécules (Taxanes…. )
DIAGNOSTIC DES TUMEURS DE L’OVAIRE l Circonstances de découverte: – Symptômes : pesanteurs pelviennes, dysménorrhée, métrorragies ou douleurs du pelvis. l Ou découverte systématique (TV ou US) – Ex. clinique : masse latéro utérine = taille consistance, mobilité et sensibilité – Signes de malignité : altération de l’état général ou /et ascite – Parfois signes de compression pelvienne – Formes révélées par complication : torsion, hémorragie le plus souvent intra kystique, infection (K. dermoide)
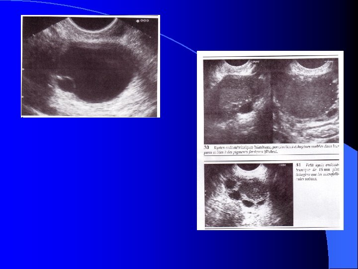
DIAGNOSTIC (SUITE) l EX. l complémentaires: Échographie : sonde externe et EEV = aspect échogène des T. solides et anéchogéne des kystes avec parfois structures mixtes: – Certains caractères en faveur de la bénignité : liquidien, uniloculaire à paroi fine – Nombreux intermédiaires : K. dermoide, mucineux ou endométriosiques. – En faveur de la malignité : hétérogénéité, contours irréguliers, cloisons épaisses et végétations – MAIS: la certitude diagnostique = examen histologique
DIAGNOSTIC (SUITE) l Examens complémentaires (suite): – Marqueurs tumoraux : CA 125 = N : inférieur à 35. Utilisé surtout pour suivre l’évolution de la maladie. – BILAN : si suspicion de malignité : l l l Scanner ou IRM. RX de thorax. Ponction d’ascite ou de la T. elle même. – Mais difficultés de dépistage : nécessité d’une population ciblée avec facteurs de risque = puberté précoce, ménopause tardive, infertilité, inducteurs de l’ovulation l l l Facteurs environnementaux : talc, amiante Alimentaires FAMILIAUX +++ de cancer de l’ovaire, sein, colon ou endomètre. Gène BRCA 1= risque de 50%de K. ovaire
TRAITEMENT l TUMEURS BENIGNES: – Chez la femme en période d’activité génitale = TT. chirurgical pour les tumeurs organiques: l l l Kystectomie par vidéo chirurgie Ovariectomie ou annexectomie si T. volumineuse Hystérectomie + annexes chez la femme en périménopause – Cas particulier de la femme enceinte: le plus souvent TT. en urgence pour complications(torsion ou hémorragie).
TRAITEMENT (SUITE 1) l TUMEURS MALIGNES: – Vidéo coelio pour confirmation du diagnostic ou laparotomie d’emblée: Bilan d’extension l Diagnostic étiologique l TT. En fonction du stade = classification de la FIGO l – Le plus souvent : association chirurgie et chimiothérapie.
CLASSIFICATION DES TUMEURS MALIGNES DE L’OVAIRE (FIGO) l STADE 1 : T. limitées aux ovaires avec: – Différents sous groupes = entre autres uni ou bilatéralité: 1 a à 1 c. STADE 2 : T. ovarienne uni ou bilatérale étendue au pelvis: 2 a à 2 c. l STADE 3 : T. ovarienne uni ou bilatérale avec métastases péritonéales en dehors du pelvis et/ou de métastases gg rétropéritonéales. l STADE 4 : idem + métastases à distance. l
TRAITEMENT DES T. MALIGNES (SUITE 2) l CHIRURGIE = Hystérectomie totale + annexes + ablation du grand épiplon et curage gg. (si chirurgie possible = si stade 1 à 2 parfois 3) – Cas particulier des T. border line : entre lésion bénigne et lésion maligne à traiter différemment en fonction de l’age. CHIMIOTHERAPIE = durée de 6 mois l RADIOTHERAPIE = contestée, plutôt en TT. complémentaire l
TRAITEMENT (SUITE 3) l INDICATIONS: – Stades 1 et 2 = CHIR + CHIMIO. – Stade 3 avec résidu post chirurgical minimum = CHIMIO + RX. THERAPIE – Au delà : CHIMIO et éventuelle CHIR. secondaire l BILAN D’EVALUATION après 6 cycles de CHIMIO: – Ex. clinique, scanner abdomino pelvien, CA. 125 – Si lésions persistent = pronostic réservé – Si bilan N. = indication de coelio ou laparotomie 2ème look avec biopsies: l l l Si P. négatifs = arrêt de la CHIMIO. Si P. positifs = RX THERAPIE ou de nouveau CHIMIO. SURVEILLANCE : EX clinique tous les 6 mois et 1 US. abdomino pelvien tous les ans
PRONOSTIC l DEPEND : – Précocité du Dg. = stade. – Grade histologique. – Caractère complet ou non de l’exérèse chirurgicale l MAIS : le pronostic global est sombre puisque 70% des patientes ont une extension abdominale au moment du Dg.
PRONOSTIC ( 2 ) l TAUX DE SURVIE A 5 ANS : – Stade 1 = 80 à 90% de survie – Stade 2 = 40 à 60% – Stade 3 = 10 à 15% – Stade 4 = moins de 5% l TT. PREVENTIF : pour les femmes à risque élevé (familial), proposer : – OP. – Ovariectomie bilatérale après 35 ans? ? ?
CONCLUSION l DEPISTAGE DIFFICILE. l DIAGNOSTIC l PRONOSTIC SOUVENT TARDIF. SOMBRE.